What is the difference between AKI and CKD?
AKI:
CKD:
Define AKI.
Defined as a rapid reduction in kidney function, leading to an inability to maintain electrolyte, acid-base and fluid homeostasis.
It is a medical emergency necessitating referral to a nephrologist for diagnosis and treatment.
What are the stages of AKI?
AKI Stage 1: Increase in sCr by ≥26 µmol/L, or by 1.5 to 1.9x the reference sCr.
AKI Stage 2: Increase in sCr by 2.0 to 2.9x the reference sCr.
AKI Stage 3: Increase in sCr by ≥3x the reference sCr, or increase by ≥354 µmol/L.
What are the three different types of AKI?
Pre-renal
Renal
Post-renal
What are features of pre-renal AKI?
Hallmark is reduced renal perfusion as part of generalised reduction in tissue perfusion or selective renal ischaemia.
No structural abnormality.
Which part of the normal response to reduced circulating volume fails in pre-renal AKI?
Normally:
Pre-renal AKI occurs when normal adaptive mechanisms fail to maintain renal perfusion.
What are causes of pre-renal AKI?
True volume depletion
Hypotension
Oedematous states
Selective renal ischaemia
Drugs affecting glomerular blood flow
What is this?

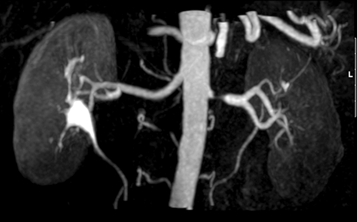
Renal artery stenosis
Which drugs can predispose patients to develop pre-renal AKI?
NSAIDs
Calcineurin inhibitors
ACEi or ARBs
Diuretics
What is the difference between pre-renal AKI and acute tubular necrosis?
Pre-Renal AKI is not associated with structural renal damage and responds immediately to restoration of circulating volume.
Prolonged insult leads to ischaemic injury.
Acute Tubular Necrosis does not respond to restoration of circulating volume. Epithelial cell casts would be seen in the urine on microscopy. Will end up with an element of CKD.
A 68 year old man with previously normal renal function is found to have a creatinine of 624μmol/l. Renal ultrasound shows the following appearance in both kidneys. What is the likely cause of his AKI?

Benign prostatic hypertrophy
What are features of post-renal AKI?
Hallmark is physical obstruction to urine flow (intra-renal obstruction):
What are common sites of obstruction in post-renal AKI?
Intra-renal obstruction
Ureteric obstruction (bilateral)
Prostatic/urethral obstruction
Blocked urinary catheter
What are different things which may cause obstruction in post-renal AKI?
Luminal: Stones, clots.
Mural: Malignancy (ureteric, bladder, prostate), BPH, urethral strictures.
Extrinsic compression: Malignancy (pelvic e.g. ovarian mass), prostatic hypertrophy.
What is the pathophysiology of obstructive uropathy?
GFR is dependent on the hydraulic pressure gradient. Obstruction results in increased tubular pressure. This results in an immediate decline in GFR.
Immediate relief of obstruction restores GFR with no structural damage e.g. via urethral catheter insertion provides immediate relief.
Alternative is subrapubic catheter if urethral not possible.
What does prolonged obstructive uropathy result in?
Glomerular ischaemia
Tubular damage
Long-term interstitial scarring
What is the cause of intrinsic renal AKI?
Pathophysiology is more diverse.
Hallmark is CELLULAR/INTRINSIC DAMAGE.
Where is the abnormality in intrinsic renal AKI?
Vascular disease (e.g. vasculitis).
Glomerular disease (e.g. glomerulonephritis).
Tubular disease (e.g. ATN).
Interstitial disease (e.g. analgesic nephropathy).
What are the most common causes of intrinsic renal AKI?
Direct tubular injury: Most commonly ischaemic.
Endogenous toxins:
Exogenous toxins - contrast, drugs:
What are common mechanisms of intrinsic renal injury?
Immune dysfunction causing renal inflammation:
Infiltration/Abnormal protein deposition:
Which 2 measures can be used to predict severity of AKI?
The two measures used to define the severity of AKI are SERUM CREATININE and URINE OUTPUT
Why do some cases of AKI resolve?
Acute wounds heal via four phases:
Pathological responses to renal injury are characterized by imbalance between scarring and remodeling. Replacement of renal tissue by scar tissue results in chronic disease.
What are the stages of CKD?
Stage 1: Kidney damage with normal GFR: >90ml/min; Prevalence: 3.3%
Stage 2: Mild decreased GFR: 60-89ml/min; Prevalence: 3%
Stage 3: Moderate decreased GFR: 30-59ml/min; Prevalence: 4.3%
Stage 4: Severe decreased GFR: 15-29ml/min; Prevalence: 0.2%
Stage 5: End-stage kidney failure, GFR: <15 or dialysis; Prevalence 0.2%
What are the most common causes of CKD?
Diabetes
Atherosclerotic renal disease
Hypertension
Chronic Glomerulonephritis
Infective or obstructive uropathy
Polycystic kidney disease