ALIMENTARY Flashcards

(113 cards)

1
Q

function of alimentary mucosa

A
  • secretion
  • absorption
  • barrier
  • protection
How well did you know this?
1
Not at all
2
3
4
5
Perfectly
2
Q

structures of the oral cavity

A

mouth and its structures
- vestibule
- tongue
- teeth
- salivary glands
- tonsils

How well did you know this?
1
Not at all
2
3
4
5
Perfectly
3
Q

how many layers is alimentary tract divided into

A

four

How well did you know this?
1
Not at all
2
3
4
5
Perfectly
4
Q

list the layers of the alimentary tract

A
  • mucosa
  • submucosa
  • muscularis externa
  • adventitia or serosa
How well did you know this?
1
Not at all
2
3
4
5
Perfectly
5
Q

types of mucosa in the oral cavity

A
  • lining mucosa
  • masticatory mucosa
  • specialised mucosawha
How well did you know this?
1
Not at all
2
3
4
5
Perfectly
6
Q

what is lining mucosa consisting of

A
  • lips, cheeks, soft palate,, floor of mouth
How well did you know this?
1
Not at all
2
3
4
5
Perfectly
7
Q

what is masticatory mucosa consisting of

A
  • hard palate, gingiva
How well did you know this?
1
Not at all
2
3
4
5
Perfectly
8
Q

what is specialised mucosa consisting of

A
  • sensation of taste - tongue
How well did you know this?
1
Not at all
2
3
4
5
Perfectly
9
Q

masticatory mucosa epithelium

A

keratinised orthokeratinised stratified squamous epithelium

How well did you know this?
1
Not at all
2
3
4
5
Perfectly
10
Q

cells of the hard palate

A
  • ortho and parakeratinised cells
How well did you know this?
1
Not at all
2
3
4
5
Perfectly
11
Q

in parakeratinised is nuclei present

A

no it is lost but are highly pyknotic (highly condensed)

How well did you know this?
1
Not at all
2
3
4
5
Perfectly
12
Q

purpose of deep proprial papillae in hard palate

A

to protect from frictional + shearing stress

How well did you know this?
1
Not at all
2
3
4
5
Perfectly
13
Q

stress level in lining mucosa

A

little mechanicals tress

How well did you know this?
1
Not at all
2
3
4
5
Perfectly
14
Q

epithelium of lining mucosa

A

non-keratinised stratified squamous epithelium

How well did you know this?
1
Not at all
2
3
4
5
Perfectly
15
Q

is proprial papillae deep or shallow in lining mucosa

A

shallow

How well did you know this?
1
Not at all
2
3
4
5
Perfectly
16
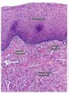
Q

name this tissuee

A

soft palate

How well did you know this?
1
Not at all
2
3
4
5
Perfectly
17
Q

name

A

lip

How well did you know this?
1
Not at all
2
3
4
5
Perfectly
18
Q

what does the lip eithelium transition from and to

A

thin keratinised to parakeratinised

How well did you know this?
1
Not at all
2
3
4
5
Perfectly
19
Q

what happens to the stratum granulosum in the lip

A

disappear

How well did you know this?
1
Not at all
2
3
4
5
Perfectly
20
Q

list the specialised mucosa

A

lingual papillae and associated taste buds

How well did you know this?
1
Not at all
2
3
4
5
Perfectly
21
Q

where does the lingual papillae cover the tongue

A

dorsal surface

How well did you know this?
1
Not at all
2
3
4
5
Perfectly
22
Q

what is found in the v shaped depression

A

circumvallate

How well did you know this?
1
Not at all
2
3
4
5
Perfectly
23
Q

what does sulcus terminalte separate tongue into

A

anterior 2/3 and posterior 1/3

How well did you know this?
1
Not at all
2
3
4
5
Perfectly
24
Q

direction of lingual muuscles

A

striated - allow flexibility and precision of movement - swallowing and speech

How well did you know this?
1
Not at all
2
3
4
5
Perfectly
25
list the four types of papillae
filiform fungiform foliate circumvallate
26
which papillae does not have a taste bud
filiform
27
name
filiform
28
shape of filiform
most smallest and abundant
29
epithelium of filiform pap.
keratinised stratified squamous epitheliumm
30
role of filiform
aid in movement of bolus no taste buds
31
name
fungiform
32
shape of fungiform
mushroom shaped and scattered amongst filiform as small dots
33
where is fungiform located
numerous near tip
34
name
foliate pap
35
what is foliate pap seperated by
cleftsw
36
what do glands empty into foliate pap
glands
37
name
circumvallate
38
shape of circumvallate
largest dome shaped 8-12
39
type of cells in taste buds
- neuroepithelial - support cells - basal cells
40
name
taste bud
41
5 stimuli of taste
- sweet - salty - sour - umami - bitter
42
how many specialised layers in teeth
3
43
list the specialised layers of teeth
- enamel - dentin - cementum
44
dental pulp bounded by
dentin, highly vascularised and nerve supply
45
is enamel cellular or acellular
acellular
46
what is enamel formed by
- ameloblasts - composed of rods
47
what happens to the ameloblasts once teeth emerges from gum during dev
it never forms again
48
name
dentin
49
what is the secretion in dentin
odonotoblasts - epithelial layer columnar
50
what happens once dentin is deposited the layer of odonotoblasts
dentin tubules
51
what is cementum
thin pale yellowish bone like calcified layer that covers root of tooth
52
what is cementum removedb y
abrasion
53
what is cementum secreted by
cementocytes that sit in lacunae
54
are cementum vascular or avascular
avascular
55
list the three major salivary glands
- parotid - submandibular sublingual
56
list the 4 minor salivary glands
buccal labial lingual palatine
57
what do salivary glands first develop as
from oral cavity epi.. as solid cord of cells that enter mesenchyme
58
what do the degeneration of innermost cells of cords leads to
canalisation and the cords become ducts and bulbous ends become secretory acini
59
list the ducts
secretory ducts intercalated intralobular excretory
60
name
oseophagus
61
epithelium of oesophagus
non-keratinised stratified
62
what is present in oesophagus
muscularis mucosa - thick in upper portion - aid in swallowing
63
where are mucous secreting glands present in oesophagus
- upper and lower parts of it with lamina propria - submucosa
64
muscularis externa of oesophagus layers
- striated in upper 1/3 - mixed in middle - smooth in lower 1/3
65
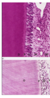
name
oseophagu
66
name the hot pink structure within the tissue and the name of the issue
submucosa glands in oseophagus
67
gastroesophageal junction mucosal changes
from stratified squampus (protective) to simple columanr (secretory)
68
name
gastroesophageal juncton
69
name the regions of stomach
fundic cardia pylorus
70
name
stomahc
71
purpose of rugae
allow stomach to distend when full
72
purpose of mammillated areas in stomach
grooves that allow increased sa for secretion
73
function of stomach
secretion ony
74
stomach cell types
- mucous secreting - parietal - chief cells - stem cells - enteroendocrine
75
what do chief cells secrete
protein
76
where are parietal cells found in stomach
neck region and upper part of gastric pits
77
where is chief cells found
base of gastric pits
78
what do mucous neck cells give rise to
surface mucous cells - occurs at isthmus
79
what does cardiac stomach contain
- mucous secreting cells + few parietal cells
80
what is in fundic stomach
- parietal cells
81
what is present in small intestine
villi
82
epithelium of small intestine
simple columnar
83
what are the absoprtive cells in small intestine called
enterocytes
84
what do goblet cells secrete
mucous
85
where are enteroendocrine cells found in small intestine
at base of absorptive cells
86
where are enterocytes found
brush border of microvilli
87
name
goblet cells
88
where are crypts of L. found
intestinal glands found at base of villi extend to muscularis mucosa
89
what do the brunners glands in small intestine open into
crypts
90
defining feature of duodenum
brunners glands in submucosa
91
defining feature in illeum
peyers patches
92
structures in large intestine
caecum colon rectum anal canal
93
function of large intestine
resorption of electrolytes and water and elimination of undigested food and waste
94
primary exocrine function of liver
production of bile
95
what does liver produe
bile, phospholipods and choelstrol
96
dual blood supply of liver
- hepatic portal vein > 75% deoxygenated blood - hepatic artery - 25% oxygenated blood
97
where is the venous blood supply from liver supplied from
intestine, pancreas and spleen
98
where do the 2 blood sources mix in liver before enterng liver at the hilum
porta hepatis
99
name of the tissue mass of liver
- parenchyma
100
where do the sinusoids drain in liver
central vein
101
what are hepatic sinusoids of liver lined by
endoehtlial cells fenestrated windows
102
what is the space of disse site of
exchange between blood and hepatocytes
103
where do hepatocytes produce and secrete bile into
canaliculi
104
what are canaliculi sealed by
zonula occludens - prevent leakage
105
what do canaliculi join to form
canal of herring - cuboidal cells - cholangiocytes
106
between lobules where do biles empty int
interlobular bile ducts @ portal triad
107
where does bile leave via
- common hepatic duct > cystic duct > gallbladder
108
epithelium of gallbladder
simple columnar epithelium and no SUBMUCOSA
109
what is pancreas divided into
head, body and tail
110
where does the pancreatic duct empty into duodenum via
hepatopancreatic sphincter of vater
111
defining feature in pancreas
islet of langerhans
112
the 3 principle cells in islet of l
alpha red beta orange delta blue
113