AMD Flashcards

(21 cards)

1
Q
A

Drusen AMD

How well did you know this?
1
Not at all
2
3
4
5
Perfectly
2
Q
A

Drusen AMD

How well did you know this?
1
Not at all
2
3
4
5
Perfectly
3
Q
A

Focal Hyperpigmentation AMD

How well did you know this?
1
Not at all
2
3
4
5
Perfectly
4
Q
A

Focal Hyperpigmentation AMD

How well did you know this?
1
Not at all
2
3
4
5
Perfectly
5
Q
A

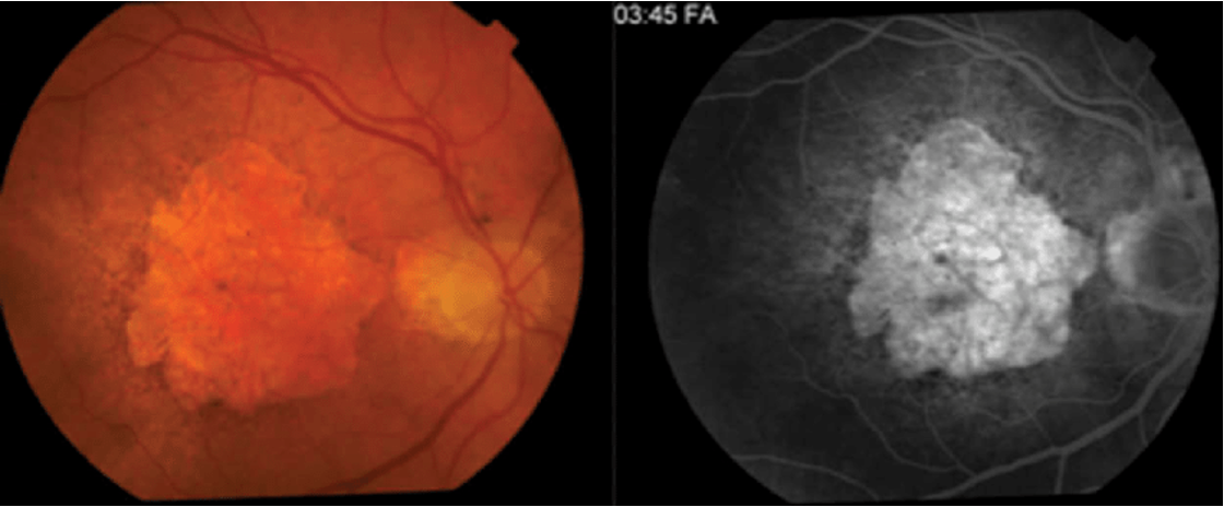
Geographic atrophy late AMD

How well did you know this?
1
Not at all
2
3
4
5
Perfectly
6
Q
A

Geographic Atrophy late AMD

How well did you know this?
1
Not at all
2
3
4
5
Perfectly
7
Q
A

Clinical Features of Late AMD: Geographic Atrophy

How well did you know this?
1
Not at all
2
3
4
5
Perfectly
8
Q
A

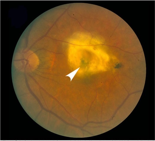
Clinical Features of Late AMD: Choroidal Neovascularisation

How well did you know this?
1
Not at all
2
3
4
5
Perfectly
9
Q
A

End stage of wet AMD, a disciform scar.
Neovascular AMD with haemorrhage.

How well did you know this?
1
Not at all
2
3
4
5
Perfectly
10
Q
A

Late WET AMD: Pigment Epithelial Detachment

How well did you know this?
1
Not at all
2
3
4
5
Perfectly
11
Q
A

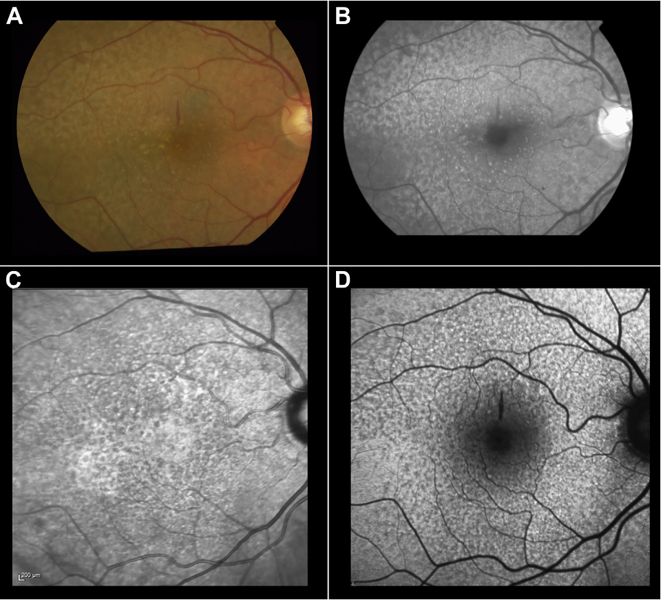
Reticular Pseudodrusen AMD

How well did you know this?
1
Not at all
2
3
4
5
Perfectly
12
Q
A

Drusen AMD OCT

How well did you know this?
1
Not at all
2
3
4
5
Perfectly
13
Q
A

This image shows an OCT scan through a highly disordered macula. The large dark ‘bubbles’ in the inner retina show the presence of intraretinal fluid.

How well did you know this?
1
Not at all
2
3
4
5
Perfectly
14
Q
A

In this image, the dark area is beneath the retina, but inner to the RPE – this demonstrates subretinal fluid.
There is also an elevated region beneath the retinal pigment epithelium, which indicates the presence of a neovascular membrane.

How well did you know this?
1
Not at all
2
3
4
5
Perfectly
15
Q
A

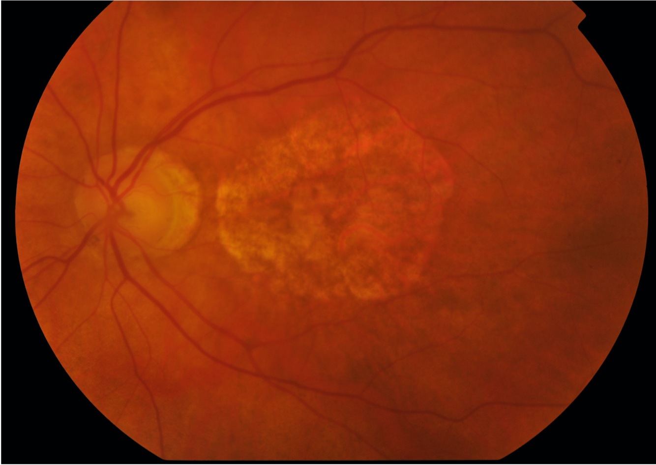
Geographic atrophy AMD

How well did you know this?
1
Not at all
2
3
4
5
Perfectly
16
Q
A

Clinical Investigation of AMD: fundus autofluorescence

17
Q
A
  • Tiny little speckles in macula called hard drusens
  • Cause lots of hard drusens, px is at risk of getting hard drusen AMD
18
Q
A
  • Lots of soft drusen in macula
  • Intermediate AMD
19
Q
A

– Lots of soft drusen in macula
- Focal pigmentary changes
- Intermediate AMD

20
Q
A
  • Neovascular membrane
  • Haemorrhage
21
Q
A
  • End stage dry amd
  • LARGE confluent drusens
  • Geographic atrophy