Anaphylaxis Flashcards

(9 cards)

1
Q

What is anaphylaxis?

A

A systemic hypersensitivity reaction to allergens.

How well did you know this?
1
Not at all
2
3
4
5
Perfectly
2
Q

What are the 2 types of anaphylaxis?

A
  1. Immunological - IgE
  2. Non-immunological - Non-IgE
How well did you know this?
1
Not at all
2
3
4
5
Perfectly
3
Q

Explain the pathophysiology of IgE, immunological anaphylaxis

A

-The allergen enters the body, B-cells produce antibodies in response to the allergen, called IgE antibodies.

-The IgE antibody binds to other immune cells, called mast cells. This is the first time it occurs and is known as sensitisation.

-The next time the allergen comes into contact with the persons immune system, it binds to IgE antibodies on mast cells and activates the mast cell. This leads to the release of:
(1) Cytokines: allows cells to communicate with each other and recruit other WBCs to be activated.
(2) Histamine: a potent vasodilator which dilates blood vessels and causes vessels to become leaky. Hence, this can lead to shock. It can also cause bronchospasm and swelling of the airway.

How well did you know this?
1
Not at all
2
3
4
5
Perfectly
4
Q

Explain the pathophysiology of non-immunological anaphylaxis, non-IgE

A

Instead of mast cells being stimulated by IgE antibodies, the allergen targets specific receptors on the mast cells and the same process occurs as the other.

How well did you know this?
1
Not at all
2
3
4
5
Perfectly
5
Q

What are the clinical features of anaphylaxis?

A

Facial swelling
Widespread erythematous or urticarial rash
Swelling of the throat and tongue - may lead to respiratory stridor or hoarse voice
Hypotension
Tachycardia

A: Swelling of the tongue and/or throat –> Hoarse voice or stridor

B: respiratory wheeze, SOB,

C: hypotension, tachycardia

How well did you know this?
1
Not at all
2
3
4
5
Perfectly
6
Q

What is the management of anaphylaxis?

How often should you repeat IM adrenaline?

A

IM adrenaline injected immediately into the anterolateral aspect of the middle third of the thigh.

Repeat every 5 minutes if necessary

How well did you know this?
1
Not at all
2
3
4
5
Perfectly
7
Q

What investigation is indicative of an anaphylactic reaction?

A

Serum tryptase - can remain high up to 12 hours following an acute episode of anaphylaxis.

How well did you know this?
1
Not at all
2
3
4
5
Perfectly
8
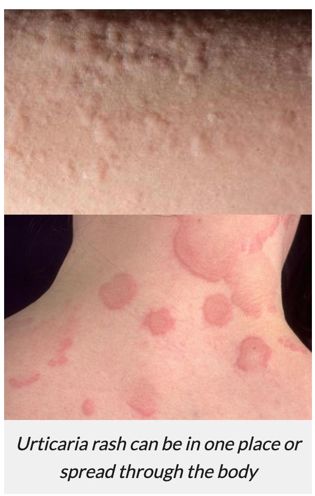
Q

Look at this picture of an urticarial rash

A

An itchy, raised red rash that appears on the skin.

How well did you know this?
1
Not at all
2
3
4
5
Perfectly
9
Q

What are the common causes of an anaphylactic reaction?

A

Food e.g. nuts which is most common in children
Drugs e.g. Penicillin
Venom e.g. wasp sting

How well did you know this?
1
Not at all
2
3
4
5
Perfectly