ANATOMY Flashcards

(4 cards)

1
Q

Letter H points to the

A

MEDIAL MALLEOLUS

How well did you know this?
1
Not at all
2
3
4
5
Perfectly
2
Q

In most people where is the conus medullaris located

A

L1-L2

How well did you know this?
1
Not at all
2
3
4
5
Perfectly
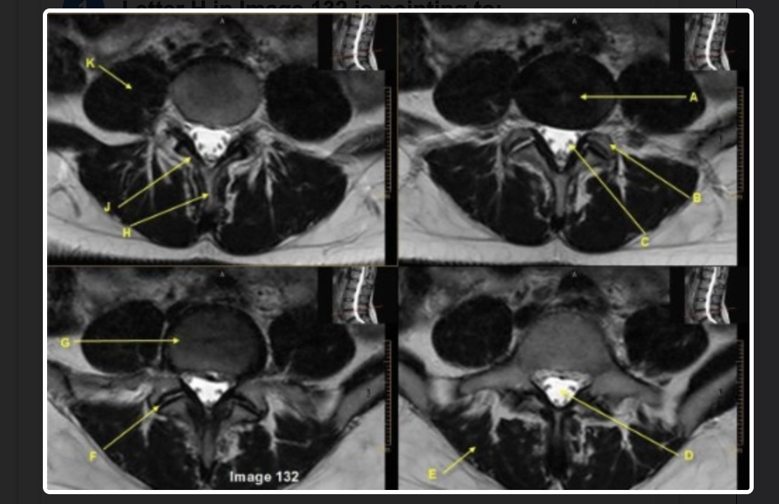
3
Q

LETTER H IS
A. Lamina
B. Pedicle
C. Facet joint
D. Spinal canal
E. Spinous process

A
How well did you know this?
1
Not at all
2
3
4
5
Perfectly
4
Q
A
How well did you know this?
1
Not at all
2
3
4
5
Perfectly