

What are the borders of the anterior and posterior triangle of the neck?

What are the contents of the carotid sheath?
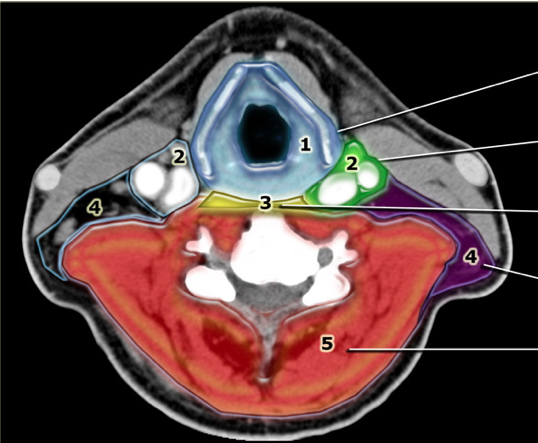
What are the landmarks for inserting a central line?

What are the branches of the external carotid?
Superior thyroid
Ascending pharyngeal
Lingual
Facial
Occipital
Posterior auricular
Superficial temporal
Maxillary
Describe the anatomy of the arterial great vessels

DEscribe the anatomy of the neck great veins

Where is the vegus nerve in the neck?
Next to the carotid in the carotid sheath.
What is the path of the hypoglossal nerve in the neck?

What is the path of the accessory nerve (XI) in the neck?

Describe the relations of the scalenus anterior

What innervates the SCM, and what are its actions?
Accessory (which sits on top of it).
Neck rotation
Lateral flexion
Neck flexion (bilaterally)
What innervates the trapezius muscles and what are its actions?
Accessory nerve.
Scapula elevation
Scapula depression
Neck and head extension
Idetify the cervical plexus

What is the arterial supply to the oesophagus?
Inferior thyroid
Oesophageal branches of aorta
Left gastric
What is the venous drainage of the oesopgagus?
Inferior thyroid
Azygous
Left gastric
What is the arterial supply to the trachea?
Inferior thyroid
Internal thoracic
What is the venous drainage of the trachea?
Inferior thyroid




Where is the phrenic nerve in the neck?
Very deep!
