Anemi Flashcards

(45 cards)

1
Q

Hva slags medisinsk betydningen har anemi?

A

Global prevalens:
- Minst 1/4 av jordens befolkning er anemiske

Anemi forårsaker masse nedsatt helse og Quality of life (QoL)

Stort u-landsproblem:
- Jernmangel

Kvinner er mer anemiske enn menn

Hemoglobinopatier er vanlig og knyttet til malariasykdommen

How well did you know this?
1
Not at all
2
3
4
5
Perfectly
2
Q

Hva er viktig når de kommer til anemi?

A

Anemi er ingen diagnose!

Anemi er redusert B-Hb konsentrasjon; konsekvens er redusert oksygentransport

Årsaken må identifiseres

How well did you know this?
1
Not at all
2
3
4
5
Perfectly
3
Q

Hva er normalområdene for Hb for kvinner og menn?

A

Kvinner: Hb 11.5-15.5
Menn: Hb 13.5-17

Husk:
- Mulig å falle fra 17 til 13.5 innenfor normalområdet; derfor viktig å sjekke habituelt nivå

Fall på 2 g/dL er patologisk

How well did you know this?
1
Not at all
2
3
4
5
Perfectly
4
Q

Hva vil skje med Hb-verdien ved akutt blødning?

A

Akutt blødning endrer erytrocyttmengden, men ikke Hb-konsentrasjonen initialt

How well did you know this?
1
Not at all
2
3
4
5
Perfectly
5
Q

Hva vil endringer i plasmavolum gjøre med Hb-konsentrasjonen?

A

Endring i plasmavolum endrer Hb-konsentrasjon, men ikke alltid erytrocyttmengden

How well did you know this?
1
Not at all
2
3
4
5
Perfectly
6
Q

Hvilke kompensasjosmekanismer har man ved anemi?

A

Økt hjertefrekvens

Økt slagvolum

Omfordeling av blodvolum:
- CNS, hjerte, lunger har høy prioritet
- Tarm, hud (blekhet), ekstremiteter har lav prioritet

Økt perifer O2 ekstraksjon

Økt 2,3-DPG (diphosphoglyceric acid) i erytrocytter

How well did you know this?
1
Not at all
2
3
4
5
Perfectly
7
Q

Hva er symptomer og tegn på akutt blødning, f.eks. ulcusblødning?

A

Hypovolemi:
- Takykardi
- Blek
- Perifert kald
- Cerebralt omtåket
- Høy puls
- Svimmel

Ortostatisk bloddtrykksfall > 25 mmHg

OBS!:
- Normal eller lett nedsatt Hb initialt

How well did you know this?
1
Not at all
2
3
4
5
Perfectly
8
Q

Hva er alvorlige symptomer og tegn ved anemi?

A

Dyspné i hvile:
- Hjertesvikt

Cerebral påvirkning:
- Synsforstyrrelse

Synkope i stående stilling:
- Utelukk hypovolemi

Transfusjon aktuelt v/disse symptomene:
- Mortalitet begynner ved Hb på 5 g/dL

How well did you know this?
1
Not at all
2
3
4
5
Perfectly
9
Q

Hvilke anemi-mekanismer finner man?

A

Redusert produksjon:
- Mangel på byggematerialer; Fe, B12, folat
- Bortfall av stimulerende hormon; EPO, thyroksin, kortisol, androgen
- Hemmende cytokiner ved inflammasjon
- Defekt fabrikk; benmargssykdommer; f.eks. aplastisk anemi og krefttilstander

Økt tap:
- Blødning
- Hemolyse

Genetiske betingelser:
- Talassemi
- Sigdcelleanemi

How well did you know this?
1
Not at all
2
3
4
5
Perfectly
10
Q

Hvordan inndeler man anemi etter erytrocyttstørrelse og hemoglobininnhold (MCV/MCH)?

A
How well did you know this?
1
Not at all
2
3
4
5
Perfectly
11
Q

Hvordan går man frem med anamnesen ved anemi?
Hvilke us. er aktuelle?

A

Spør om sykdommer som kan forklare anemien:
- Kronisk inflammatorisk sykdomstilstand?
- Autoimmunt, infeksjoner inkl. abcess
- Kreft?
- Nyresvikt?
- Endokrin svikt?
- Hjerteklaffprotese?
- Anoreksi?

Undersøkelse:
- Eksplorasjon med Hemofec
- Glossitt; glatt tunge?
- Abdominalus.; tumores og ømhet
- Skopier

How well did you know this?
1
Not at all
2
3
4
5
Perfectly
12
Q

Hvordan vurderer man produksjonen av erytrocytter?

A

Retikulocyttall:
- 0.7-2% (0.03-0.11 x 10^12/L)
- Se på andre cellerekker (hvite og trc)

Benmarg:
- Erytrpoiese > 20% med full differensiering

How well did you know this?
1
Not at all
2
3
4
5
Perfectly
13
Q

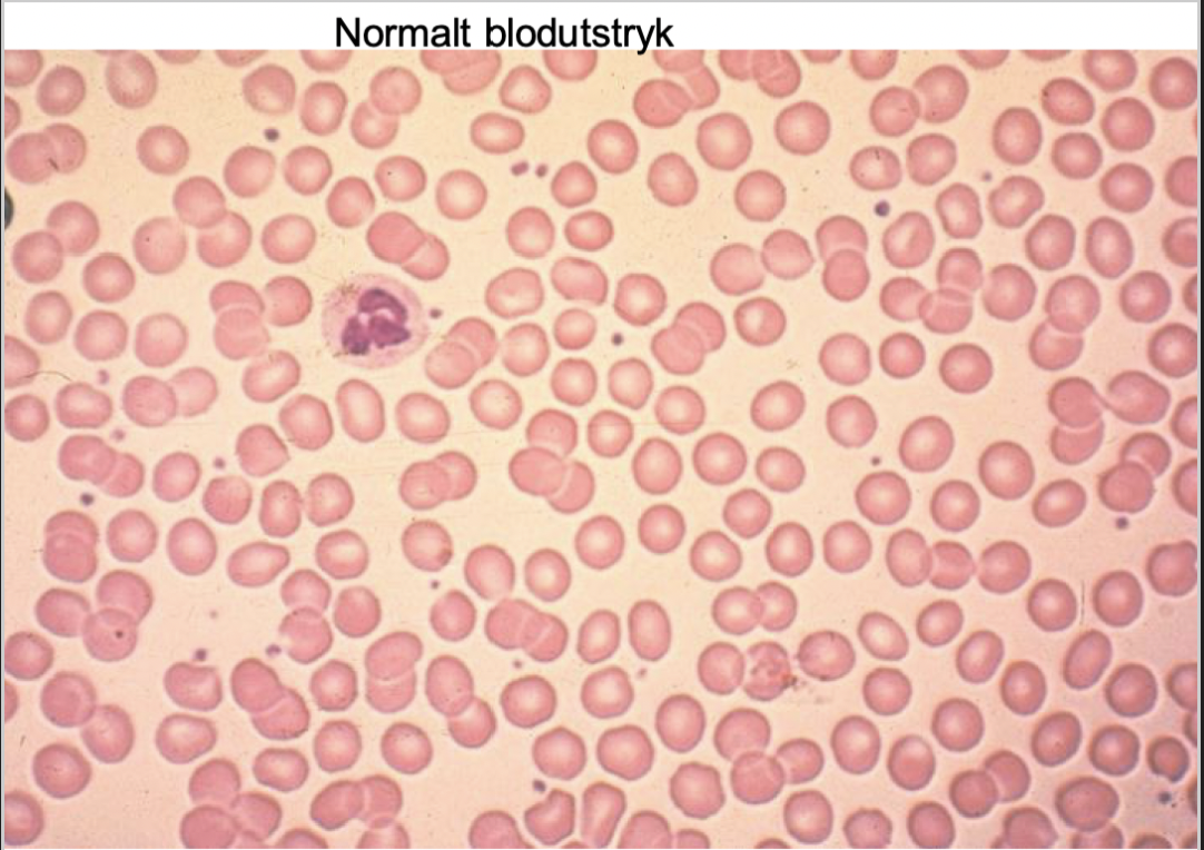
Hva ser man på ved blodutstryk?

A

Ser på:
- Mikrocytose, hypokromasi
- Makrocytose
- Sfærocytter (små, hyperkrome)
- Kjerneholdige RBC, retikulocytter
- RBC aggregasjon
- Fragmenterte RBC
- Inklusjoner; malaria

How well did you know this?
1
Not at all
2
3
4
5
Perfectly
14
Q

Når er det indikasjon for benmargsundersøkelse?

A

Ved mistanke om beinmargssykdom:
- Aplastisk anemi
- Leukemi
- Myelodysplasi
- Lymfom
- Myelomatose

Ved leukopeni eller trombocytopeni sammen med anemien

Unødvendig ved:
- Blødning
- Påvist mangel; Fe, B12, folat
- Hemolyse
- Inflammasjonsanemi
- Nyresvikt

How well did you know this?
1
Not at all
2
3
4
5
Perfectly
15
Q

Hvordan kan man vurdere mangel på jern?

A

S-ferritin < 20 = jernmangel:
- Ved samtidig inflammasjon kan jernmangel foreligge opp mot 50

Transferrinmetning (s-Fe/TIBCx100) < 10%
- Kan bekrefte diagnosen, men oftest unødvendig

Løselig transferrinreseptor økt

How well did you know this?
1
Not at all
2
3
4
5
Perfectly
16
Q

Hvordan kan man se mangel på jern ved blodutstryk?

A

Bevis på tomme lagre:
- Ikke fargbart jern i benmargsfragmenter

Funksjonell jernmangel gir små, hemoglobinfattige RBC:
- Mikrocytose (lav MCV)
- Hypokromasi (lav MCHC)

MCV < 74 skyldes alltid jernmangel hos pasienter med norsk etnisk bakgrunn

Ved lav MCV kan utredningen med en gang fokuseres på å finne årsaken til blodtap/jernmangel

How well did you know this?
1
Not at all
2
3
4
5
Perfectly
17
Q

Hva kan årsaken til jernmangelanemi være?

A

Skyldes vanligvis kronisk blodtap

Jernmangel hos menn skyldes gastrointestinalt blodtap til det motsatte er bevist

Menstruasjon/graviditet var vanligste årsak hos kvinner:
- MEN; ikke overse GI-blodtap av den grunn. Nåtidens premenopausale kvinner blør mindre vaginalt pga. gestagen prevensjon/hormonspiraler etv.

Nedsatt absorbsjon (f.eks. v/cøliaki) eller ekstremt kosthold er alle sjeldne

Bariatrisk kirurgi gir hyppig jernmangel

How well did you know this?
1
Not at all
2
3
4
5
Perfectly
18
Q

Hva er et viktig prinsipp ved jernmangelanemi?

A

Bare ca. 70% av GI-cancere har pos. hemofec

Derfor:
- Gastroskopi og evt. colonoskopi hos alle menn og kvinner over fertil alder
- Hos kvinner i menstruerende alder ved pos. hemofec eller ved annen klinisk mistanke

How well did you know this?
1
Not at all
2
3
4
5
Perfectly
19
Q

Hvordan behandler man jernmangelanemi?
Hva er ofte problemet med denne typen behandling?

A

Jerntabletter:
- Jern substitueres best med maks 1x daglig po., ofte er 3 dager i uken nok

I.v jern kan gis og ofte nødvendig etter bariatrisk kirurgi
- Ved graviditet er toleransen for po. jern enda dårligere

Manglende effekt av jernbehandling skyldes ofte dårlig compliance (pga. kvalme, obstipasjon mm.)
- Ved manglende compliance; prøv lavere dose. Prøv jerntabl. til natten for å sove over bivirkninger

20
Q

Hva menes med megaloblastanemi?

A

Sjelden anemiform med karakteristisk morfologi:
- Makroovalocytose og hypersegmentering i granulocytter i blod (> 5 segmenter)

Interferens med DNA syntese pga. B12- eller folatmangel fører til at kjernen modner langsomt og Hb-syntesen fortsetter

Fører til store og hemoglobinrike erytrocytter, dvs:
- ↑ MCV/MCH

Dette vil si:
- Lav Hb med høy MCV (> 105)
- Ofte lave hvite/trc
- Ineffektiv celleproduksjon med tegn til hemolyse
- LDH økt, ofte >10x normal
- s-B12/s-folat nedsatt

21
Q

Hvordan kan man vurdere mangel på vitamin B12?

A

s-B12 < 100 pmol/L er tegn på (ganske) sikker mangel

Funksjonell B12 mangel kan forekomme ved høyere verdier:
- Opp mot 200 pmol/L

Forhøyet s-homocystein og s-metylmalonsyre (MMA) i gråsonen; 100-200 pM

22
Q

Hvem er i faresonen for B12 mangel?
Hvilke symptomer er vanlig?

A

Pasienter med kronisk autoimmun gastritt (anemia perniciosa) har ofte autoantistoffer mot parietalceller (90%) og intrinsic factor (50%)

Nevrologiske symp. sjelden, men forekommer
- Typisk nevropati først i overex.

Nevrologiske symp. kan bedre betydelig ved behandling som bør gis iv. initialt

23
Q

Hvordan behandler man B12 mangel?

A

T.Behepan tabl. 2 mg dg i 1 mnd., så 1 mg dg. livet ut

Haster det (nevrologi):
- 1 mg cyanocobalamin im. dg. x 5 deretter depotpreparat med hydroxycobalamin 1 mg hver 3. mnd.

Im; intramuskulært

24
Q

Hva er årsaken til folatmangel?
Hvordan behandles dette?

A

Malabsorbsjon:
- Cøliaki
- Ventrikkelreseksjon
- Bariatrisk kirurgi
- Crohns
- Antiepileptika; Fenytoin

Lavt inntak i kosten:
- Aleneboende menn
- Demente
- Alkoholikere
- Småbarn

Økt forbruk:
- Graviditet
- Amming
- Vekst
- Hemolyse
- Kreftsykdom

Behandling:
- Folinsyre 0.4 mg daglig eller multivitaminpreparater

25
Hvordan kan man vurdere mangel på folsyre?
S-folat< 5 nmol/L (normalverdi angis på 8) Forhøyet s-homocystein Normal s-meylmalonsyre ved ren folatmangel
26
Hva er den nest vanligste anemiårsaken?
Anemi ved inflammatorisk sykdom: - Sekundær-anemi Hyppigste årsak i sykehus: - Skyldes proinflammatoriske cytokiner (f.eks. IL-1, TNF) og at jern holdes intracellulært utilgjengelig for hematopoesen Alle sykdommer med systemisk inflammasjonsrespons av litt varighet og alvorlighetsgrad får dette
27
Hva trenger man ikke gjøre ved den nest vanligste anemi årsaken?
Anemi ved inflammasjon: - Klinisk benign; Hb synker sjelden under 9 - Behandling av anemien i. seg selv ikke nødvendig - Pasienten har en grunnsykdom som gir inflammasjon; viktig med diagnose og evt. behandling - Anemien reverseres spontant hvis grunnsykdommen bedres
28
Hva vil skje ved anemi ved kronisk sykdom/inflammasjon?
Cytokiner vil hemme erytropoiesen Lave retikulocytter Kan se: - Normo (mikro)-cytær - Normo (hypo)-krom Jerntilbudet til erytropoiesen nedsatt
29
Hvorfor vil jerntilbudet være lavt ved inflammasjon?
Hepcidin (akuttfaseprotein) fra lever hemmer ferroportinmediert jerneksport fra celler
30
Hvordan vil en anemi ved kronisk sykdom arte seg som (biokjemisk)?
Oftest normokrom/normocytær, men kan være hypokrom/mikrocytær Biokjemisk: - S-Fe er lav! - TIBC lav - TIBC-metning oftest over 10% - Ferritin normal eller høy - Inflammasjonstegn (akutt-fasereaksjon) f.eks.: `- ↑ CRP` `- ↑ SR` `- ↑ Polyklonale immunoglobuliner` `- ↑ Haptoglobin` `- ↓ Albumin` `- ↓ Transferrin` Normalt eller økt benmargsjern: - Jernet fra "overflødige" RBC lagres i makrofager Ferritinsyntesen øker pga. økt intracellulær jernmengde, og pga. cytokinvirkning (akutt faseprotein) Erytropoiesen får nedsatt effektivt jerntilbud Nedsatt EPO-respons på anemien
31
Hva kan man finne ved anemi sekundært til beinmargssykdom?
Oftest **avvik i hvite og trombocytter samtidig** Lett makrocytose vanlig Lave retikulocytter i forhold til Hb Diagnose: - Beinmargsundersøkelse Umodne hvite og erytroide forstadier i perifert blod vanlig (kjerneholdige røde) RBC-patologi: - Anisocytose - Dråpeformet perifert, særlig ved margfibrose Ved "dry tap" ved BM-aspirat (fibrose eller svært cellerik marg): - Ta biopsi
32
Hvilke lidelser kan gi anemi sekundært til beinmargssykdom?
Leukemi Myelodysplasi Lymfom/myelomatose Myelofibrose Metastaser Aplastisk anemi
33
Hvordan foregår hemolysen (enkelt skissert)?
34
Hvordan kan man vurdere økt nedbrytning (hemolyse)?
Hb-verdi Retikulocytter > 0.1 eller 2% LDH > 240 U/L Haptoglobin < 0.1 g/L Bilirubin > 25 umol/L - Overvekt av ukonjugert bilirubin Ved normal LDH og haptoglobin kan signifikant hemolyse utelukkes Oftest har man bare 4 av 5 elementer pos. blant hemolyseprøvene Kan ha pågående hemolyse uten fall i Hb - Kompensert hemolyse
35
Gi noen eks. på typer av hemolyse.
Hemoglobindefekter: - Sigdcelleanemi - Thalassemi Membrandefekter: - F.eks. arvelig sfærocytose Glukosemetabolisme: - Mangler glukose-6-fosfat dehydrogenase (G6PD) - Pyruvatkinase Immunologisk (antistoffer): - AIHA - Kuldeagglutininsykdom - ABO-inkompatibilitet Mekanisk: - Jetstrømmer i sirkulasjonen f.eks. paravalvulær flow - Trombotisk trombocytopen purpura (TTB) - Løping - Marsjering
36
Hvilken immunologisk metode er mulig for å vurdere årsaken til hemolysen?
Direkte Antiglobulin Test (DAT/Coomb´s test): - Er det antistoff eller komplement på erytrocyttene? Immunologisk mekanismen: - "Varmeantistoff"; IgG - "Kuldeantistoff"; C3d
37
Hvilke medfødte hemolytiske anemier har man? Hvordan er utbredelsen?
RBC-membraneffekter: - Kongenitt sfærocytose og elliptocytose Heminoglobinopati: - Thalassemi - Sigdcelleanemi RBC-enzymdefekter: - G6PD; Glukose-6-fosfatdehydrogenase - Pyruvat kinase
38
Hvordan er diagnostikken ved medfødt hemolytisk anemi? Hva er det som kliniker er viktig at man har i bakhodet?
EMA test: - Patologisk ved hereditær sfærocytose Hemoglobinelektroforese: - Ved mistanke om hemoglobinopati; 𝛽-thalassemi, sigdcelleanemi Enzymanalyse i RBC **Tenk genetisk bakgrunn** Sub-Sahara: - Sigd, G6PD Midtøsten/middelhavet - 𝛽-thalassemi => Hb-elfo Fjerne Østen: - 𝛼-thalassemi => gentest
39
Hva er AIHA?
**Autoimmun (antistoffmediert) hemolytisk anemi** Idiopatisk; 30% Sekundær til lymforproliferativ sykdom Sekundær til autoimmun sykdom; SLE Sekundær til infeksjon: - Mononukleose - Mykoplasma - Medikamenter Transfusjon/mor-barn-Rh-uforlikelighet
40
Hva kan funn ved AIHA være?
Varmeantistoffer: - IgG ved Coomb´s test Fagocytose i RES (milt, lever) Lett makrocytose, sfærocytter, aggregasjon i utstryk Høye retikulocytter/LDH/bilirubin, lav haptoglobin Kan være alvorlig hemolyse: - Transfusjon ved livstruende anemi. Blodbank må gi siste beste blod | RES; retikuloendoteliale systemet
41
Hva slags behandling har man ved AIHA ved IgG?
Behandling: - Prednisolon 1 mg/kg/døgn - Gradvis reduksjon ved bedring til evt. seponering Ved steroidresistens/bivirkninger: - Splenektomi - Anti CD20 antistoff (rituximab) + evt. annen immunsuppresjon
42
Hva er mekanismen og årsaken til AIHA med kuldeantistoff?
IgM: - Ofte agglutinerende, **komplement**-avhengig intravaskulær hemolyse Årsak: - Akutt infeksjon; mononukleose/mycoplasma Kronisk kuldeagglutininsykdom: - Monoklonalt IgM produseres av et meget langsomtvoksende malignt lymfom. Ofte gamle pasienter Intravaskulært: - Hemolyse fjernes i blodomløpet Ekstravaskulært: - Fjernes i milt og RES
43
Hvordan er klinikken og behandlingen ved AIHA med kuldeantistoff?
Raynaud-likt, akrocyanose: - Kalde blå hender, nese og føtter Behandling: - Anti CD20-antistoff (Rituximab) + cytostatika - Komplementhemmere - Unngå kuldeeksposisjon - Transfusjoner med blodvarmer
44
Hva mener man med mikroangiopatisk hemolyse?
Kan f.eks. være: - Disseminert intravaskulær koagulasjon (DIC) - Trombotisk trombocytopenisk purpura (TPP) - Hemolytisk-uremisk sykdom (HUS) Fellestrekk: - RBC-fragmenter i utstryk Årsak: - Skade på erytrocytter som skjæres på fibrintråder i mikrosirkulasjonen
45
Hvilken type hormonmangel kan gi anemi?
Nyresvikt: - Lav erythrpoietin - Høy kreatinin Hypotyreose: - Lav tyreose - Høy TSH Addison: - Lav kortisol Testosteronsvikt: - Obs; forskjell mellom mann/kvinne