Anémie 2 Flashcards

(75 cards)

1
Q

Nommer les 6 principaux types d’anémies non-régénératives.

A
  1. Anémie par déficience en fer
  2. Anémie de condition inflammatoire
  3. Anémie associée à la maladie rénale
  4. Anémie associée à une déficience hormonale
  5. Anémie associée à l’hyperoestrogénisme
  6. Maladies de moelle osseuse
How well did you know this?
1
Not at all
2
3
4
5
Perfectly
2
Q

Nommer l’espèce chez laquelle on retrove des globules rouges de cette forme.

A

Des alpagas

How well did you know this?
1
Not at all
2
3
4
5
Perfectly
3
Q

Quelle type d’anémie est la plus commune en médecine vétérinaire?

A

Anémies non-regénératives

How well did you know this?
1
Not at all
2
3
4
5
Perfectly
4
Q

Nommer les deux causes principales d’une anémie non-régénérative.

A
  1. Diminution de l’érythropoïèse
  2. Érythropoïèse inefficace
How well did you know this?
1
Not at all
2
3
4
5
Perfectly
5
Q

Nommer 3 causes d’une diminution de l’érythropoïèse.

A
  1. Anémie d’inflammation
  2. Maladie rénale
  3. Maladie chronique
How well did you know this?
1
Not at all
2
3
4
5
Perfectly
6
Q

Nommer 3 causes d’une érythropoïèse inefficace.

A
  1. Déficience en vit. B12, folate, Fe
  2. Destruction des précurseurs
  3. Myélodysplasie
How well did you know this?
1
Not at all
2
3
4
5
Perfectly
7
Q

Quand est-ce qu’on peut observé une anémie par déficience en fer? (2)

A
  1. Jeunes (manque d’apport ou parasites)
  2. Adultes (pertes chroniques de sang a/n GI ou saignements internes)

Anémie légère à sévère

Anémie légère à sévère, PEU FRÉQUENT!

How well did you know this?
1
Not at all
2
3
4
5
Perfectly
8
Q

Expliquer l’étiologie et la pathogénèse d’une anémie par déficience en fer.

A

La synthèse d’Hg est diminuée ce qui augmente le nombre de divisions cellulaires pour essayé de comblé les besoins.
–>Une anémie par déficience en fer devient microcytaire + hypochrome

How well did you know this?
1
Not at all
2
3
4
5
Perfectly
9
Q

Nommer les 3 changements de laboratoires possibles lors d’une anémie par déficience en fer.

A
  1. Habituellement non régénérative mais parfois légèrement régénérative
    –>En fonction de l’étiologie: manque d’apport vs pertes chroniques de sang
  2. Poïkilocytose possible (GRs de forme anormale)
  3. Thombocytose possible
How well did you know this?
1
Not at all
2
3
4
5
Perfectly
10
Q

Nommer le type d’anémie présent

A

Anémie par déficience en fer
Cellules sont hypochromes!

How well did you know this?
1
Not at all
2
3
4
5
Perfectly
11
Q

Comment est-ce qu’on peut confirmer une anémie par déficience en fer?

A

Indices de fer:
1. diminution du fer serique
2. Augmentation de la capacité de liaison de la transferrine
3. Diminution de la ferritine sérique
4. Diminution de la % de saturation en fer
5. Augmentation de la transferrine
6. Diminution des réserves de fer dans la moelle osseuse

How well did you know this?
1
Not at all
2
3
4
5
Perfectly
12
Q

Est-ce que la diminution du fer sérique est une bonne paramètre pour diagnostiqué une anémie par déficience en fer? (2)

A
  • Pas vraiment spécifique, également notée lors d’anémie de condition inflammatoire
  • Chez le chien et le cheval, il a été démontré que l’administration de glucocorticoïdes entraîne une** fausse ⬆️ de la valeur sérique du fer**
How well did you know this?
1
Not at all
2
3
4
5
Perfectly
13
Q

Est-ce que l’augmentation de la capacité de liaison de la transferrine (TIBC) est une bonne paramètre pour diagnostiqué une anémie par déficience en fer? (2)

A

–>Mesure indirecte de la transferrine
* Habituellement, le TIBC est normal lors de déficience en fer chez le chien et le chat, mais est augmenté chez les ruminants, chevaux et porcs

How well did you know this?
1
Not at all
2
3
4
5
Perfectly
14
Q

Comment est-ce qu’on mesure une augmentation de la capacité de liaison de la transferrine (TIBC)?

A
  1. Ajout de fer au sérum (pour saturer le transferrin)
    –>Dosage (UIBC: unbound IBC)
  2. Fer lié artificiellement (UIBC) + Fer total = TIBC
    –>Lors de déficience en fer UIBC augmente, donc TIBC augmente
How well did you know this?
1
Not at all
2
3
4
5
Perfectly
15
Q

Comment est-ce qu’on calcule une diminution du % de saturation en fer?

A

Fer sérique/TIBC

How well did you know this?
1
Not at all
2
3
4
5
Perfectly
16
Q

Quel paramètre nous permet de différencier l’anémie de condition inflammatoire de l’anémie par déficience en fer?

A

Une diminution de la ferritine sérique

Disponible pour le chien, le chat et le cheval.

How well did you know this?
1
Not at all
2
3
4
5
Perfectly
17
Q

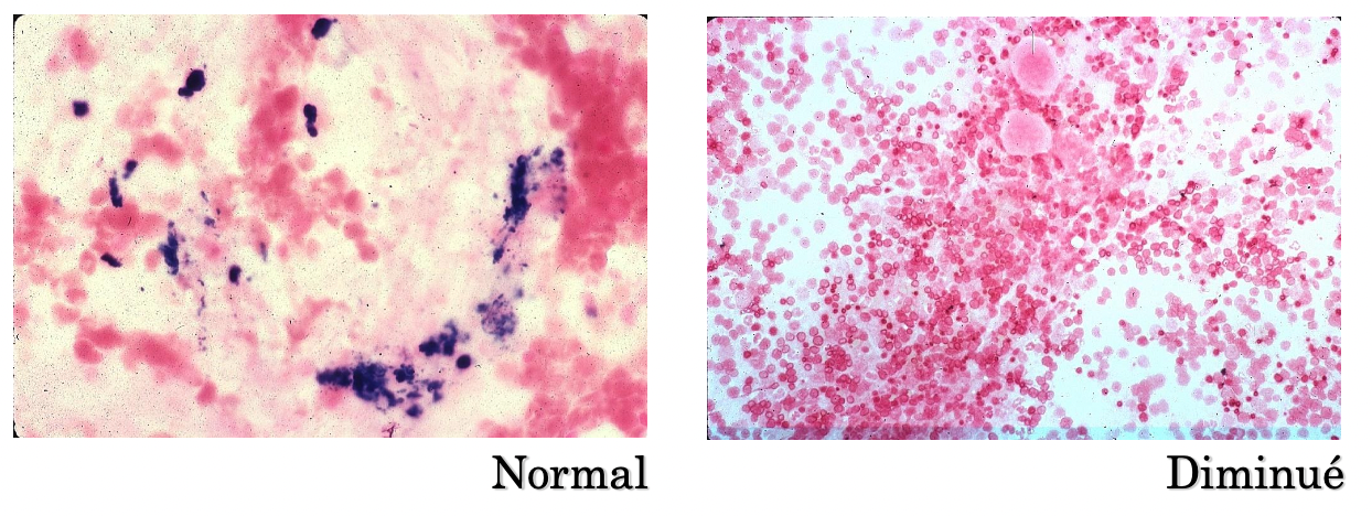
Voici deux échantillons de la moelle osseuse. Laquelle des deux est normal?

A

Fer coloré en mauve

How well did you know this?
1
Not at all
2
3
4
5
Perfectly
18
Q

Nommer les 4 principaux charactéristiques d’une anémie de condition inflammatoire.

A
  • Très commune
  • Causée par un processus inflammatoire
    –>Infectieux, néoplasique…
  • Anémie légère à modérée
  • Anémie souvent sous clinique
How well did you know this?
1
Not at all
2
3
4
5
Perfectly
19
Q

Expliquer les 3 possibilités causes d’une anémie de condition inflammatoire.

A
  1. Dérégulation de l’homéostasie du fer
  2. Diminution de la prolifération des cellules souches érythroïdes
  3. Réponse diminuée à l’érythropoïétine
How well did you know this?
1
Not at all
2
3
4
5
Perfectly
20
Q

Expliquer la pathogénie de la dérégulation de l’homéostasie du fer qui cause une anémie de condition inflammatoire

A

Mécanisme évolutif qui protège l’individu lors d’un foyer inflammatoire.
–>L’hepcidine est produit par les hépatocytes lors d’un foyer inflammatoire (rôle: régulateur du métabolisme du fer, dégrade la ferroportine qui est responsable du transport du fer)
–> Ce mécanisme favorise la séquestration du fer dans les macrophages et les hépatocytes et inhibe l’absorption du fer au niveau intestinal

How well did you know this?
1
Not at all
2
3
4
5
Perfectly
21
Q

Nommer les 3 signes cliniques (résultats de labo) observées lors d’une anémie de condition inflammatoire.

A
  1. Changements hématologiques:
    –>Anémie légère à modérée
    –>Normocytaire normochrome NR
    –>Aucune évidence de pathologies de GR
  2. Diminution du fer sérique
    –>Augmentation des réserves de fer (ferritine, hémosidérine)
  3. Évidence d’une inflammation
    –>Changements a/n des GB, trouvailles cliniques, etc.
How well did you know this?
1
Not at all
2
3
4
5
Perfectly
22
Q

Nommer le type d’anémie qui est la 2ième cause la plus fréquente en med vet.

A

Anémie associée à la maladie rénale

Signes associés principalement à la maladie rénale

How well did you know this?
1
Not at all
2
3
4
5
Perfectly
23
Q

Vrai ou faux: une anémie associée à la maladie rénale peut être sévère et régénérative

A

Faux, peut être sévère, non régénérative

How well did you know this?
1
Not at all
2
3
4
5
Perfectly
24
Q

Nommer les 4 origines possibles d’une anémie associée à la maladie rénale

A
  1. Diminution de la production d’érythropoïétine (EPO)
  2. Demi-vie des GR plus courte
  3. Possibles saignements (urémie)
  4. Condition inflammatoire concomitante
How well did you know this?
1
Not at all
2
3
4
5
Perfectly
25
Nommer les 3 maladies qui peuvent causé une anémie associée à une déficience hormonale.
1. Hypothyroïdie 2. Hypoadrénocorticisme Anémie souvent masquée!! 3. Hypopituitarisme
26
Nommer les 3 caractéristiques d'une anémie associée à une déficience hormonale
1. Légère à modérée NR 2. Normocytaire 3. Normochrome
27
Expliquer la pathophysiologie de comment une hypothyroïdie peut causé une anémie.
Les hormones thyroïdiennes stimulent l’érythropoïèse et augmentent la demande cellulaire pour l’oxygène
28
Expliquer la pathophysiologie de comment une hyperadrénocorticisme peut causé une anémie.
Déficience en cortisol, aldostérone et +/- androgènes Composante de perte de sang possible
29
Expliquer la pathophysiologie de comment une hypopituitarisme peut causé une anémie.
Déficience en cortisol, en androgènes, T4
30
Chez quelles espèces est-ce qu'on retrouve une anémie associée à l’hyperoestrogénisme? (2)
Chien et le furret
31
Nommer les 4 sources d'hyperoestrogénisme possible.
1. Ovaires (femelle) 2. Tumeur de Sertoli 3. Séminome 4. Iatrogénique -->Diethylstilbestrol pour l’incontinence urinaire -->Crèmes topique pour ménopause (usage par proprio, exposition de l'animal)
32
Qu'est ce qui se passe lors de la phase aiguë d'une anémie associée à l’hyperoestrogénisme?
Leucocytose **neutrophilique** et **thrombocytopénie** * Typiquement: absence d’anémie ## Footnote Quelques jours après l'administration de doses toxiques ou d'hypersécrétion d'estrogènes
33
Qu'est ce qui se passe lors de la phase chronique (+3 semaines) d'une anémie associée à l’hyperoestrogénisme?
-Anémie = derniers des changements (3-4 semaines) * Normocytaire, normochrome, NR * Habituellement associée à une **pancytopénie**
34
Nommer quelques étiologies possibles de l'anémie associée à l’hyperoestrogénisme.
EN GROS: MÉCANISME MAL COMPRIS -->Nécrose et inflammation notées (pancytopénie) 1. interférence avec le développement des cellules 2. altération de l’utilisation du fer (cellules érythroïdes) 3. inhibition de la production de facteurs de croissances
35
Qui suis-je? Condition qui peut affecter plusieurs lignées cellulaires ou seulement la lignée érythroïde qui cause une anémie non régénérative.
Maladies de la moelle osseuse
36
Nommer 3 types de maladies de la moelle osseuse qui affectent plusieurs lignées cellulaires.
1. Aplasie médullaire (insulte à la MO) 2. Myélophtisie (remplacement de la MO) 3. Myélonécrose -->considérez le chevauchement!
37
Expliquer le type d'anémie qui résulte d'une aplasie médullaire.
=Une anémie aplasique -->Anémie **NR** -->L'anémie est fréquemment le **dernier changement **(après une leucopénie et une thrombocytopénie)
38
Nommer 4 causes possibles de l'aplasie médullaire.
1. Médicaments ou toxines -->oestrogène, fenbendazole, TMS, phénobarbital, agents chimios 2. Agents infectieux 3. Médiation immunitaire et auto-immune 4. Idiopathique
39
Nommer 3 agents infectieux qui peut causé une aplasie médullaire.
Parvovirus, E.canis, FeLV
40
Nommer 3 maladies de la moelle osseuse causant une atteinte sélective de la lignée érythroïde.
1. Érythroblastopénie chronique acquise 2. Dysérythropoïèse 3. Anémie associé au FeLV
41
Nommer 3 caractéristiques de l'érythroblastopénie chronique acquise (pure red cell aplasia).
1. MO de cellularité normale ou diminuée 2. Comptage leucocytaire dans les normes, **anémie souvent sévère** 3. Disparition des cellules érythroïdes ## Footnote Note: Primaire ou secondaire
42
Qu'est ce qur l'EBCA primaire?
Destruction à médiation immunitaire des précurseurs érythroïdes
43
Comment est-ce qu'on peut faire le diagnostic d'un EBCA primaire?
1. Réponse favorable à un traitement immunosuppresseur 2. Un test de Coombs positif (résultat positif rare)
44
Nommer la principale différence entre une AHMI non-régénérative et l'EBCA ("pure red cell aplasia")
1. Dans l'AHMI non-régénérative: présence d'une **hyperplasie érythroïde** ±myélofibrose, arrêt de maturation, virage à gauche de la maturation érythroïde 2. Dans l'EBCA: **aplasie érythroïde (absence de précurseurs)**, ± myélofibrose
45
Qu'est ce que l'EBCA secondaire?
Séquelle d’une infection par le **parvovirus** ou secondaire à l’**administration d’érythropoïétine recombinante**
46
Nommer 2 causes d'EBCA secondaire chez le chat.
Infections par: 1. Parvovirus 2. FeLV/FIV -->FeLV *du sous-groupe C* Le seul capable de cibler les cellules érythroïdes immatures spécifiquement
47
Est-ce que les anémies suivants sont des anémies NR ou R? * Anémie infectieuse équine * Anémie par intoxication au plomb * Anémie par déficience en acide folique ou Vit B12
Toutes non régénératives
48
Nommer 3 changements de laboratoire observées lors d'anémie par l’empoisonnement au plomb
1. Anémie légère à modérée 2. Ponctuation basophile 3. Rubricytose inappropriée
49
Comment est-ce qu'on diagnostic les anémies par l’empoisonnement au plomb?
Dosage du plomb sanguin (hépariné)
50
Pourquoi est-ce que l'anémie est fréquemment le dernier changement à survenir lors d'une aplasie médullaire?
L'atteinte de la moelle va être plus apparente chez les lignées en division rapide. Parce que les GRs on une longue demi-vie, ils restent en circulation plus longtemps.
51
Nommer la condition à droite. Quelles lignées cellulaires sont affectés par cette changement?
Aplasie médullaire * Toutes les lignées cellulaires * La MO est alors remplacée par des cellules stromales ## Footnote Une insulte à la MO → dommages aux cellules hématopoïétiques → aplasie de la moelle osseuse
52
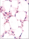
Qu'est ce que la myélopthisie?
Remplacement des cellules hématopoïétiques par des cellules anormales: néoplasiques ou non néoplasiques
53
Nommer la condition présente sur cette photo
Myélopthisie ## Footnote Infiltration par des cellules néoplasiques d’origine lymphoïde, myéloïde ou métastatique
54
Qu'est ce que la myélofibrose?
Présence d’une quantité excessive de **collagène** ou de **réticuline** (remplacement du tissu hématopoïétique) -->Souvent une séquelle d’une atteinte de la MO: nécrose, néoplasme ou inflammation
55
Nommer la condition présente sur cette photo
Myélofibrose chez un chien anémique
56
Nommer la condition présente sur cette photo
Myélofibrose chez un chien anémique
57
Qu'est ce que la myélonécrose?
Une **séquelle** de plusieurs étiologies * Les régions nécrotiques deviennent hypocellulaires * Les cellules sont remplacées par des débris nécrotiques éosinophiliques (+/- macrophages)
58
Nommer la condition présente sur cette photo a/n de la moelle osseuse.
Myélonécrose
59
Nommer 7 causes possibles de la myélonécrose.
1. Septicémie/endotoxémie 2. Infection virale (PIF, FeLV, parvo) 3. Infection par E. canis 4. Certains médicaments 5. Un néoplasme 6. CIVD 7. Une ischémie
60
Nommer 2 changements de laboratoire observées lors de EBCA
1. Anémie normocytaire et normochrome NR SÉVÈRE 2. Comptages leucocytaire et plaquettaire habituellement normaux ou peuvent être élevés ## Footnote NOTE: sphérocytes sont rares
61
Comment est-ce qu'on peut diagnostiquer un EBCA?
Rappel: le EBCA = maladie de la MO qui cause une atteinte sélective de la lignée érythroïde Examen de la MO: les lignées granulocytaires et plaquettaires sont intactes, mais les précurseurs érythroïdes sont excessivement rares.
62
Nommer les deux causes de la dysérythropoïèse?
1. **Maturation érythroïde incomplète avec des anomalies morphologiques** (noyaux de formes anormales, multinucléation, fragmentation nucléaire, inclusions cytoplasmiques, etc.) 2.** Érythropoïèse inefficace**
63
Quand est-ce qu'on peut observé la dysérythropoïèse? (3)
1. Chats malades infectés par le FeLV (FIV dans certains cas) -->Anémie non régénérative de type macrocytaire 2. Maladies héréditaires: -->Caniches: Macrocytose du Caniche -->English Springer Spaniels: Dysérythropoïèse familiale
64
Vrai ou faux: La présence d’une anémie macrocytaire non régénérative devrait toujours éveiller les soupçons d’une infection par le FeLV
VRAI
65
Nommer les caractéristiques d'une anémie associé au FeLV
Environ 50% des chats infectés par le FeLV vont devenir **anémiques** -->Sévérité variable, habituellement NR --> Parfois macrocytaire -->Anémie régénérative secondaire à médiation immunitaire
66
Qu'est ce que l'anémie infectieuse équine?
Affecte chevaux, poneys, mules et ânes Rare, mais **MADO** Causée par un lentivirus
67
Nommer les 4 phases d'infection de l'anémie infectieuse équine.
1. **Aiguë** : signes durant 3-5 jours, fièvre, œdème, hémorragies (pétéchies). 2. **Subaiguë :** épisodes fébriles et des signes cliniques de la phase aiguë 3. **Chronique** : épisodes à tous les 5 mois ou +; perte de poids 4. **Porteur**: animal asymptomatique.
68
Nommer les 2 les signes cliniques de l'anémie infectieuse équine lors des phases aiguë/subaiguë (épisodes de fièvre)
1. Anémie de sévérité variable -Diminution de la durée de vie et de la production des GRs -Hémoglobinurie possible (hémolyse intravasculaire) lors de phase aigue 2. Thrombocytopénie = CHANGEMENT LE + FRÉQUENT
69
Comment est-ce qu'on fait le diagnostic finale d'anémie infectieuse équine?
Test de Coggins
70
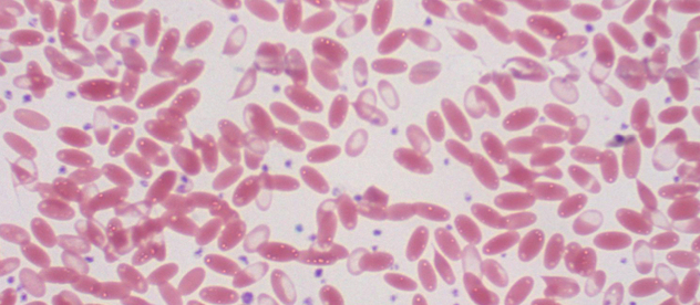
Nommer les 3 types de signes cliniques observés lors d'une anémie par empoisonnement au plomb.
Signes cliniques * Nerveux * Digestifs * Hématologiques
71
Expliquer la pathogénie de l'anémie causé par l’empoisonnement au plomb.
1. Diminution de la synthèse d’hème -->Inhibition enzymatique (ALA-dehydratase, Ferrochelatase) 2. Diminution de la synthèse de la globine
72
Nommer les anomalies présents sur les frottis. Quel pathologie est le plus probable?
Présence de ponctuation basophile et rubricytose inappropriée = Anémie par l’empoisonnement au plomb
73
Chez quelle race de chien est-ce qu'on peut observée une anémie par déficience en acide folique ou Vit B12?
Maladie héréditaire chez les Schnauzers géants ## Footnote OTHERWISE = RARE!
74
Nommer 4 signes d'une déficience en acide folique ou Vit B12
* Macrocytes * Corps de HJ * Asynchronie de maturation * Neutrophiles hypersegmentés
75
Nommer l'anomalie présente sur cette lame.
Neutrophile hypersegmenté