Aneurysms Flashcards

(24 cards)

1
Q

Define aneurysm

A

Abnormal, permanent focal dilation of an artery.
Typically >1/5x expected AP diameter

How well did you know this?
1
Not at all
2
3
4
5
Perfectly
2
Q

What is the difference between a true and a false aneurysm?

A

True involve dilation of all three layers of the vessel wall - classified morphologically as fusiform (both sides) or saccular (one side)
False aka psuedoaneurysm- blood leaks out of a vessel but is contained within the surrounding connective tissue rather than the wall. Example = aortic dissection

How well did you know this?
1
Not at all
2
3
4
5
Perfectly
3
Q

What are some risk factors for an aneurysm?

A

HTN and smoking - present in 90% of patient
Atherosclerosis - migration of smooth muscle weakness the wall, atherosclerosis affect vaso vasorum tweaking wall
Vasculitis
Infection - tertiary syphysilic and saccular aneurysm in proximal aorta
Congenital - Marfan syndrome, Ehlers-Danlos syndrome and other connective tissue diseases predisopse to aneurysm and dissection due to medial degeneration and loss of elasticity
As part of other congential heart disease syndromes
Family hsitory

How well did you know this?
1
Not at all
2
3
4
5
Perfectly
4
Q

What are some potential complications of an aneurysm?

A

Rupture - inc risk with greater dilation, fatal blood loss
Thrombosis - altered haemodynamics leads to thrombus, which can extend and obstruct the vessel
Embolism - thrombus fragment occlude distal vessels = acute ischaemia
Pressure - compresses adjacent structures - dysphagia (press on oesophagus)

How well did you know this?
1
Not at all
2
3
4
5
Perfectly
5
Q

What are the most common locations of an arterial aneurysm?

A

Infrarenal aorta
Thoracic aorta
Suprarenal aorta
Popliteal artery
Iliac artery
Femora
Splenic
Hepatic
Circle of Willis

How well did you know this?
1
Not at all
2
3
4
5
Perfectly
6
Q

What are the symptoms of a non-ruptured aortic aneurysm?

A

Typically asymptomatic
May present with non-specific abdominal pain
Pulsatile and expansile mass in abdomen - describe as heart dropped
Back pain - due to compression of retroperitoneal structures - poor prognostic sign
If inflammatory - pain, malaise, weight loss - only 10% AAA mostly younger patients.

How well did you know this?
1
Not at all
2
3
4
5
Perfectly
7
Q

What is the difference between inflammatory and atherosclerotic AAA?

A

Atherosclerosis - thinning and focal destruction of underlying media - enables dilation due to connective tissue degradation, norm bland, laminated poorly organised thrombus fills most of segment.

Inflammatory - dense periaortic fibrosis, contains abundant chronic inflammatory cells in response to antigen in the wall, results in scarring around the aorta and proteases secreted by immune cells break down the ECM

How well did you know this?
1
Not at all
2
3
4
5
Perfectly
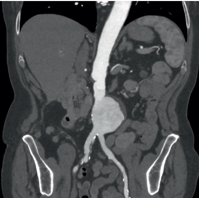
8
Q

What is shown in the image below?

A

Fusiform AAA

How well did you know this?
1
Not at all
2
3
4
5
Perfectly
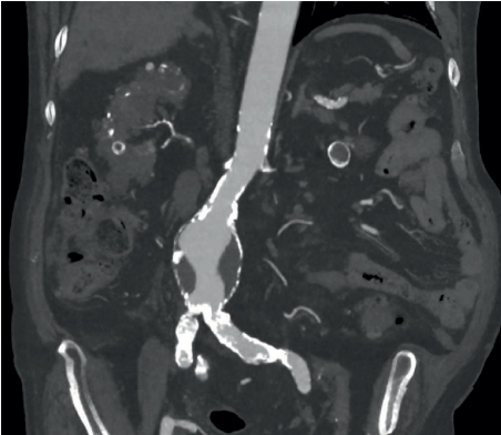
9
Q

What is shown in the image below?

A

Saccular AAA

How well did you know this?
1
Not at all
2
3
4
5
Perfectly
10
Q

What investigations should be done for a patient with a suspected AAA?

A

Ultrasound - screening programme, very useful for peripheral aneurysms but aorta can be poorly visualised due to overlying bowel
CT angiography - acute setting if stable, AAA size and location, signs of (impending) rupture.
MR angiography - follow up - longer and limited scan not good for acute
Blood tests - inflammatory markers raised if infective/inflam AAA, presurgical bloods if operative, coag screen (elevated if rupture), FBC - ahaemia due to haemorrhage or raised WBC in infective AAA, blood culture is infective AAA.

How well did you know this?
1
Not at all
2
3
4
5
Perfectly
11
Q

What conservative management is often used for treatment of aortic aneurysm?

A

Smaller aneurysms - monitored and not require further treatment
Meds to manage HTN and reduce risk of atherosclerosis
Smoking cessation - reduce risk of aneurysm formation/enlargement

How well did you know this?
1
Not at all
2
3
4
5
Perfectly
12
Q

What are the different surgical methods for an elective repair of an non-surgical AAA?

A

Endovascular aneurysm repair
Open surgical repair

How well did you know this?
1
Not at all
2
3
4
5
Perfectly
13
Q

What AAA patients may be offered unruptured AAA repair?

A

Symptomatic
Asymptomatic, larger than 4.0cm and grown by >1cm in 1yr.
Asymptomatic >=5.5cm
Keep ideas is when risk of rupture and death is greater than risk of complications including death from surgical repair

How well did you know this?
1
Not at all
2
3
4
5
Perfectly
14
Q

What is an endovascular aneurysm repair?
Pros/cons

A

A synthetic graft is introduced percutaneously via the femoral artery and placed in the aneurysmal segment, excluding aneurysm from the aortic blood flow
+ less invasive
- higher failure rate
- possibility of leak around stent into aneurysm sac ‘endoleak’ if poor seal
- higher mortality long term

How well did you know this?
1
Not at all
2
3
4
5
Perfectly
15
Q

What is an open surgical repair for an AAA?
Pros/cons

A

Synthetic graft to replace the aneurysmal segment of the aorta.
+ more definitive repair
+ improved long term outcomes
- increased risk in the immediate postoperative period, including morbidity and mortality
Often only appropriate in patients without multiple comorbidities.

How well did you know this?
1
Not at all
2
3
4
5
Perfectly
16
Q

What factors inc the risk of aneurysm rupture?

A

HTN
Inc diameter

17
Q

What is the common clinical presentation of aortic aneurysm rupture?

A

Hemodynamically unstable and collapse
Sudden and severe chest/abdominal pain
Shortness of breath
Dizziness
Weakness or numbness in the limbs
Syncope
Profoundly shocked or cardiac arrest
Rupture commonly retroperitoneal but is anteriorly haemorrhage into the peritoneal cavity - larger space more rapid and profound blood loss - fatal

18
Q

What is an aortic dissection?

A

Acute aortic syndrome - norm thoracic aorta due the high physical forces.
Medical emergency - potentially life threatening - tear in tunica intima of aorta - blood flows between wall layers
Seperating inner and outer layers of the vessel
False lumen has blood flow - not able to flow out - inc pressure in false lumen - grows to occlude true lumen or can rupture.

19
Q

What are the different classifications of an aortic dissection?

A

Stanford A - involves the ascending +/- descending aorta
Stanford B - involves the descending aorta only.

Debakey:
Type 1 - begins in ascedning extends to descending
Type 2 - limited to ascending
Type 3 - limited to descending usually below left subclavian artery.

20
Q

What is the key epidemiology of an AAA?

A

80% mortality in rupture
1 in 70 men >65yrs in UK
3000 deaths a year in England/wales from rupture AAA
90% are infrarenal

21
Q

What are some key differential diagnosis for a AAA?

A

Acute pancreatitis
Diverticulitis
Ureteric colic
Irritable bowel syndrome
Inflammatory bowel disease
Appendicitis
Ovarian torsion
Gastrointestinal haemorrhage
Mesenteric artery occlusion

22
Q

What is the screening programme for AAA in England?

A

Men aged 65yrs+
Can contact for self referral is not able to attend this appointment
Ultrasound scan to detect bulging or swelling of the aorta
Up to 15 mins
Results given at appointment.

23
Q

What are the different sizes of AAA?
How does this affect the follow up?

A

No <3cm - no
Small 3-4.4cm - repeat every 12months
Medium 4.5 -5.4cam repeat scan every 3 months
Large >5.5 referred to vascular surgeon.

24
Q

What scoring system is used to estimate mortality from an open ruptured aneurysmal repair?

A

Hardman index