Ankeltraume Flashcards

(12 cards)

1
Q

En 33-årig mand indbringes med Falck efter at være hoppet ned fra en halmballe og derved pådraget sig et vridtraume mod højre fodled. Nu kraftige smerter.

Den initiale vurdering. Hvad kigger du efter?

A

General ortopædkirurgisk tilgangsvinkel med henblik og fraktur og luksation:
Inspektion:
* Fejlstilling
* Misfarvning
* Hævelse

Palpation:
* Direkte smerter
* Indirekte smerter

Funktion:
* Bevægelighed
* Stabilitet

Neurovaskulære forhold:
* Puls
* Sensorisk og motorisk nervefunktion

How well did you know this?
1
Not at all
2
3
4
5
Perfectly
2
Q

Traumemekanismen. Hvilke forhold er du interesseret i?

A
  • I hvilken forbindelse opstod traumet?
  • Var der ydre påvirkninger, som fx tackling i fodbold, klemskade e.l?
  • Var traumet på egen niveau eller ved fald fra højde, fx en stige?
  • Har der været fejlstilling, som er reponeret primært?
  • Tidligere traumer mod samme ankel, operationer el.lign?
  • Prædisponerende faktorer, såsom neuropati fx. pga diabetes, rygning eller lignende.

I dette tilfælde er det vigtigt at få klarlagt om der er tale om supinations- eller pronationstraume.

How well did you know this?
1
Not at all
2
3
4
5
Perfectly
3
Q

Angiv indholdet af ottawa ankle rules

Hvad bruges de til?

A

Ottawa ankle rules anvendes til at vurdere nødvendigheden i at foretage billeddiagnostisk udredning ved skader på fodled, idet vridtraumer er den hyppigste skade i akutmodtagelsen og derfor må man have et regelsæt ift at undgå at tage unødigt mange røntgenbilleder.

Ifølge Ottawa ankle rules, er der indikation for at tage røntgenbillede ved fund af et af følgende:

  • Der er direkte ossøs smerte ved palpation af de distale 6 cm af laterale eller mediale malleols bagkant.
  • Direkte ossøs smerte ved palpation af os naviculare
  • Direkte ossøs smerte ved palpation af basis af 5 metatars.
  • Slutteligt vurderes patientens vægtbærende evne, både lige efter traumet og nu ved undersøgelsen. Er denne evne svært nedsat, bør der udføres konventionel 3-plads-røntgenundersøgelse.
How well did you know this?
1
Not at all
2
3
4
5
Perfectly
4
Q

Hvad hører ellers med til en god objektiv undersøgelse af et ankeltraume

A
  • Palpation af fibula i hele sin længde, specielt ved samtidig smerter ved mediale malleol grundet risiko for høj fibulafraktur, der typisk ses ved pronations-udadrotationsfraktur.
  • Indirekte ømhed undersøges med squeeze test af distale tibia og fibula, ca. 5-10 cm over ankelniveau
  • Palpation af kollaterale ligamenter under mediale malleol, lig. deltoideum og under laterale malleol, lig. talofibulare posterior et anterior samt lig. calcaneofibulare.
How well did you know this?
1
Not at all
2
3
4
5
Perfectly
5
Q

Der er svær hævelse omkring laterale malleol. Umiddelbart ingen svær fejlstilling. Du. finder direkte palpatoriske smerter svarende til laterale malleol. Kun antydningsvist ved mediale malleol. Der er normale neurovaskulære forhold. Patienten kan ikke støtte på foden.

Hvad gør du?

A

Jf. Ottwawa ankle rules opfyldes:
- Direkte palpatoriske smerter sv. laterale malleol.
- Patienten kan ikke støtte på foden.

Der er derfor indikation for bestilling af konventionel 3-plansrøntgenundersøgelse.

How well did you know this?
1
Not at all
2
3
4
5
Perfectly
6
Q

Hvad hvis foden var svær fejlstillet?

A

Ved svær fejlstilling bør man udføre grovreposition før røntgenoptagelse for at minimere led-, kar-, nerve- og hudpåvirkning.

How well did you know this?
1
Not at all
2
3
4
5
Perfectly
7
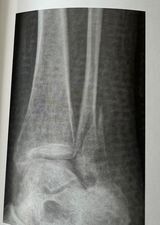
Q

Hvad viser røntgenbilledet?

A

Der ses lateral malleolfraktur med mindre subluksation af talocruralleddet. Ingen fraktur af mediale malloeol, ingen mistanke om syndesmoseruptur.

How well did you know this?
1
Not at all
2
3
4
5
Perfectly
8
Q

Hvordan kan malleolfraktur inddeles?

A

Kan foregå efter Lauge-Hansens klassifikation, som illustrerer, hvilke skader på ledbånd og knogle man kan forvente ved hhv. supinations- og pronationstraumer, suppleret med indad- eller udadrotation.
Ud fra traumemekanismen kan man således “forudse” skaderne.

I dette tilfælde er der tale om en supinations- udadrotationsfraktur.

(Supination = vægt på ydersiden og pronation = vægt på indersiden)

How well did you know this?
1
Not at all
2
3
4
5
Perfectly
9
Q

Hvornår er der indikation for operation ved malleolfraktur?

A

Ud fra Lauge-Hansens klassifikation opereres instabile og disloceret frakturer, hvor dislokationen over 2-3 mm som hovedregel berettiger til osteosyntese.

Hos ældre og diabetikere med angiopati/eller neuropati skal man altid overveje konservativ behandling, selv ved klassiske instabile frakturer.

How well did you know this?
1
Not at all
2
3
4
5
Perfectly
10
Q

Hvordan skal denne fraktur behandles?

A

Der er indikation for operativ behandling med osteosyntese vha. skinner og skruer fordi:
* der er for stor dislokation i bruddet
* der er mindre subluksation i talocruralleddet.

Indtil operationen kan foretages, skal der anlægges lav bagre gipsskinne og foden skal placeres i en skinne, som eleverer foden (Braunsskinne). Operationen bør ske hurtigst muligt før stor hævelse i foden, ellers kan man ikke opnå husddække efter osteosyntesen ved suturering.

Grundet immobilisering bør administration af tromboseprofylakse altid overvejes.

How well did you know this?
1
Not at all
2
3
4
5
Perfectly
11
Q

Beskriv kort det postoperative forløb

A
  1. Ofte anvendes bagre gipsskinne eller Walkerstøvle som supplement til osteosyntese. Bandagering hyppigst i 6 uger.
  2. Opstart med aktive bevægeøvelser for ankelled kort tid efter osteosyntese.
  3. Ved afsluttende helingskontrol med røntgen vurderes endvidere behovet for assisteret genoptræning med fysioterapeut eller egen træning efter instruks.
  4. Sutur- eller aggraffjernelse foregår ved egen læge.
  5. Der er national konsensus om tromboseprofylakse på 7-10 dage.
How well did you know this?
1
Not at all
2
3
4
5
Perfectly
12
Q

Angiv de største risikofaktorer for postoperative komplikationer

A

Alkoholisme
Rygning
Diabetes
Perifer neuropati og angiopati

How well did you know this?
1
Not at all
2
3
4
5
Perfectly