Anorectal abscess Flashcards

(18 cards)

1
Q

Anorectal abscesses are more common in

A

middle-aged males

How well did you know this?
1
Not at all
2
3
4
5
Perfectly
2
Q

Anorectal abscesses begin with

A

involvement of an anal crypt and its gland

How well did you know this?
1
Not at all
2
3
4
5
Perfectly
3
Q

Most common anorectal abscess location is

A

Perianal
- located close to the anal verge, often posterior midline
- superficial tender mass that may or may not be fluctuant

How well did you know this?
1
Not at all
2
3
4
5
Perfectly
4
Q

2nd most common location of anorectal abscess

A

Ischiorectal abscess
- tend to be larger, indurated, and well-circumscribed
- located more laterally on the medial aspect of the buttocks

How well did you know this?
1
Not at all
2
3
4
5
Perfectly
5
Q

Least common anorectal abscess location is

A

Supralavator (pelvirectal)

How well did you know this?
1
Not at all
2
3
4
5
Perfectly
6
Q

Remarks on postanal abscess

A

may not manifest cutaneous signs, but rectal pain and tenderness are invariably present

How well did you know this?
1
Not at all
2
3
4
5
Perfectly
7
Q

generally the only type of rectal abscess that can be adequately treated in the ED

A

Isolated perianal abscesses

Surgical referral [as outpatient] after drainage is suggested because fistula formation is not uncommon

How well did you know this?
1
Not at all
2
3
4
5
Perfectly
8
Q

Remarks on ischiorectal abscesses

A

“Horseshoe abscess”

Can be problematic and complicated as the ischiorectal fossa forms a large potential space on either side of the rectum, communicating behind it through the deep postanal space

How well did you know this?
1
Not at all
2
3
4
5
Perfectly
9
Q

Remarks on perirectal abscesses

A

often associated with constitutional symptoms

if complicated abscess is suspected, obtain CT or MRI

All perirectal abscesses should be drained in the OR.

How well did you know this?
1
Not at all
2
3
4
5
Perfectly
10
Q

Pain of anorectal abscesses

A

Pain worse immediately before defecation, is lessened after defecation, but persists between bowel movements

Pain is exacerbated by movement and sitting

How well did you know this?
1
Not at all
2
3
4
5
Perfectly
11
Q

Painful on rectal examination and are lateral to the anal verge

A

ischiorectal abscess

How well did you know this?
1
Not at all
2
3
4
5
Perfectly
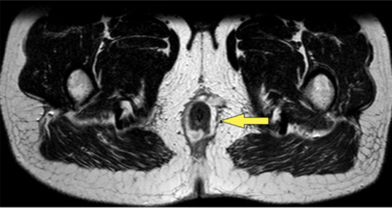
12
Q

a tender mass may be palpable on DRE of the rectal canal, often in the posterior midline

A

intersphincteric abscess
- pain is also aggravated by straining or coughing

Intersphincteric abscess encircling the rectum (Garg, 2019)

How well did you know this?
1
Not at all
2
3
4
5
Perfectly
13
Q

may be palpable on vaginal examination

A

Supralavator (pelvirectal) abscesses

How well did you know this?
1
Not at all
2
3
4
5
Perfectly
14
Q

often a clue to deeper abscesses

A

tender inguinal adenopathyT

How well did you know this?
1
Not at all
2
3
4
5
Perfectly
15
Q

Techniques in draining isolated perianal abscess

A
  1. Anesthesize with lidocaine with epinephrine
  2. Linear or cruciate incision
  3. Trimming the flaps is suggested to prevent closure, and packing is not required
How well did you know this?
1
Not at all
2
3
4
5
Perfectly
16
Q

Wound care post-drainage

A

Cover the wound with a bulky dressing

and have the patient take frequent warm baths starting the next day

antibiotics are not necessary after adequate drainage in healthy patients

24-hour follow up is recommended

17
Q

Indications for admission

A

Fever
Leukocytosis
Cellulitis

Diabetes
Immunosuppression
Valvular heart disease
Elderly

FaLCo, DIVE!

18
Q

Antibiotics for complicated anorectal abscess

A

Broad-spectrum antibiotics (e.g., pip-taz IV)

provide tetanus prophylaxis as needed