Antebrazo Flashcards

(11 cards)

1
Q

Que es la fx de Galeazzi?

A

Fx de radio
+
Luxacion de ulna distal

How well did you know this?
1
Not at all
2
3
4
5
Perfectly
2
Q

Que es la fx de Monteggia?

A

Fx de ulna
+
Luxacion de radio proximal

How well did you know this?
1
Not at all
2
3
4
5
Perfectly
3
Q

Cual es el tratamiento de fx de antebrazo?

A

Conservador: raro= riesgo de pseudoartrosis / Valido en niños

QX= Fijador externo (lesion severa de tej blandos) / RAFI

How well did you know this?
1
Not at all
2
3
4
5
Perfectly
4
Q

Complicaciones de las fx de antebrazo?

A
  • Sinostosis = osificacion heterotopica ( hueso con hueso -><-)
  • Sx compartimental
  • Pseudoatrosis
  • Consolidacion viciosa (pega chueco)
  • Refractura
How well did you know this?
1
Not at all
2
3
4
5
Perfectly
5
Q

Como se hace el dx de fx de radio distal?

A

Mecanismo de lesion
Deformidad de la muñeca
Dolor e incapacidad
Evaluar estado neurovascular de la mano
RX

How well did you know this?
1
Not at all
2
3
4
5
Perfectly
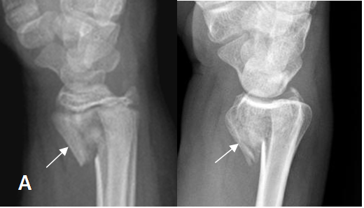
6
Q

Que es ?

A

FX CHAUFFER

How well did you know this?
1
Not at all
2
3
4
5
Perfectly
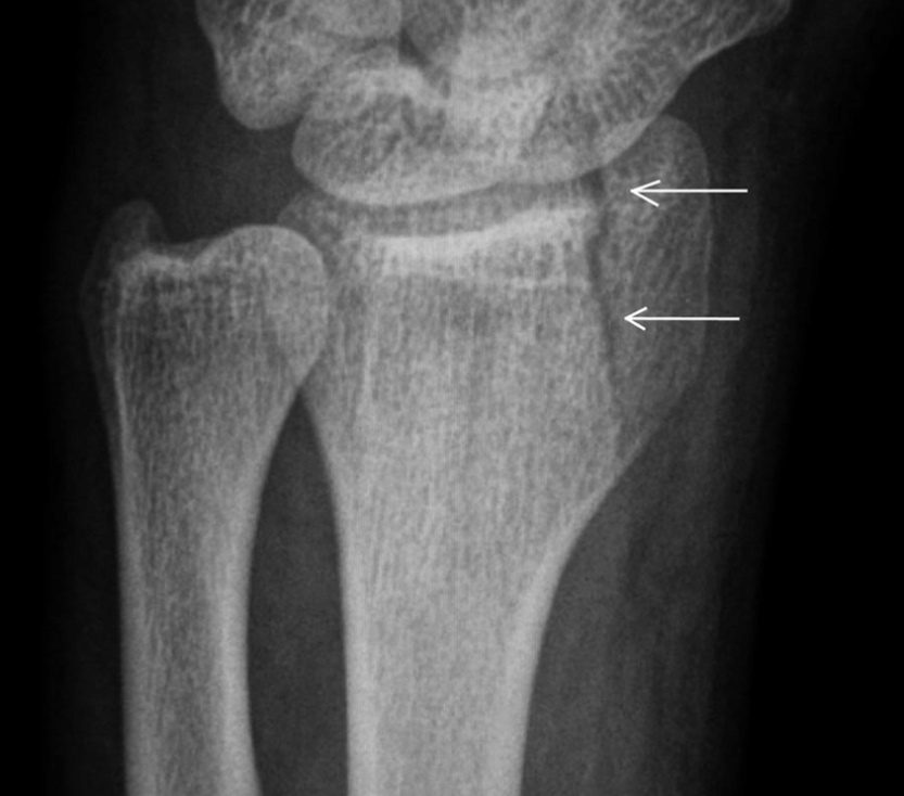
7
Q

Que es?

A

BARTON

How well did you know this?
1
Not at all
2
3
4
5
Perfectly
8
Q

Tx Conservador fx de radio distal?

A

Conservador= baja energia, baja dem funcional, desplazamiento minimo = YESO
+
Reducción cerrada

How well did you know this?
1
Not at all
2
3
4
5
Perfectly
9
Q

Complicaciones del tx conservador de fx de radio distal?

A

Neuropatia
Sx compartimental
ulceras x presion
desplazamiento del trazo de fx

How well did you know this?
1
Not at all
2
3
4
5
Perfectly
10
Q

Tx qx para fx de radio distal?

A

Qx= alta energia, expuestas, inclinacion radial -15°, incongruencia radio cubital
Fijacion externa, percutanea, INTERNA

How well did you know this?
1
Not at all
2
3
4
5
Perfectly
11
Q

Complicaciones del tx qx de radio distal?

A

Infeccion
perdida de la reduccion
lesion de tendonesno nervios

How well did you know this?
1
Not at all
2
3
4
5
Perfectly