Antibiotiques Flashcards

(88 cards)

1
Q

Monsieur C.C. 47 ans se présente à la clinique pour une rougeur à la jambe gauche.
Il y a une semaine, il a eu une piqûre d’insecte à la jambe. Depuis, la rougeur ne cesse d’augmenter et sa peau est très sensible. Il se dit fiévreux, mais n’a pas pris sa température.
Il ne prend aucun médicament et n’a pas d’allergie.

À l’examen physique:
TA 120/70, FC 80/min, FR 18/min
Température rectale 38,3oC
Peu souffrant
Chaleur, douleur et induration à la palpation de la jambe.

  1. Quel est le diagnostic le plus probable?
A

Cellulite

How well did you know this?
1
Not at all
2
3
4
5
Perfectly
2
Q

Quels éléments de l’histoire pourraient contribuer à identifier l’agent infectieux responsable de la cellulite de Monsieur C.C.? Quelles sont les questions supplémentaires pertinentes à demander à ce patient?

  • Allergie aux piqûres d’insectes
  • Ancien détenu
  • Antécédent de diabète
  • Hospitalisation récente
  • Immobilisation prolongée
  • Immunosuppression
  • Prise récente d’antibiotiques
  • Sports de contact
  • Utilisation de drogues intraveineuses
  • Voyage récent à l’étranger
A
  • Ancien détenu
  • Antécédent de diabète
  • Hospitalisation récente
  • Immunosuppression
  • Prise récente d’antibiotiques
  • Sports de contact
  • Utilisation de drogues intraveineuses
  • Voyage récent à l’étranger
How well did you know this?
1
Not at all
2
3
4
5
Perfectly
3
Q

Cellulite : questionner les facteurs de risque de quoi?

A
  • Facteurs de risque pour SARM communautaire (SARM-AC)
  • Facteurs de risque pour immunosuppression?
How well did you know this?
1
Not at all
2
3
4
5
Perfectly
4
Q

Facteurs de risque pour SARM communautaire (SARM-AC)

A

utilisation de drogues IV, ancien détenu, sport de contact, etc.

How well did you know this?
1
Not at all
2
3
4
5
Perfectly
5
Q

Questions à demander pour cellulite

A
  • Facteurs de risque pour SARM communautaire (SARM-AC)
  • Facteurs de risque pour immunosuppression
  • Diabète
  • Voyage à l’étranger récent
  • Type d’insecte
  • Métier
How well did you know this?
1
Not at all
2
3
4
5
Perfectly
6
Q

Monsieur C.C. 47 ans se présente à la clinique pour une rougeur à la jambe gauche.
Il y a une semaine, il a eu une piqûre d’insecte à la jambe. Depuis, la rougeur ne cesse d’augmenter et sa peau est très sensible. Il se dit fiévreux, mais n’a pas pris sa température.
Il ne prend aucun médicament et n’a pas d’allergie.

À l’examen physique:
TA 120/70, FC 80/min, FR 18/min
Température rectale 38,3oC
Peu souffrant
Chaleur, douleur et induration à la palpation de la jambe.

Monsieur C.C. est un homme sans antécédent médical. Il ne présente pas de facteur de risque particulier.

Quels sont les germes à considérer dans cette vignette clinique?

A

Cocci Gram positif : Staphylocoque aureus et Streptocoque du groupe A

Aussi possibles : Les groupes G et B sont aussi possibles

How well did you know this?
1
Not at all
2
3
4
5
Perfectly
7
Q

Monsieur C.C. 47 ans se présente à la clinique pour une rougeur à la jambe gauche.
Il y a une semaine, il a eu une piqûre d’insecte à la jambe. Depuis, la rougeur ne cesse d’augmenter et sa peau est très sensible. Il se dit fiévreux, mais n’a pas pris sa température.
Il ne prend aucun médicament et n’a pas d’allergie.

À l’examen physique:
TA 120/70, FC 80/min, FR 18/min
Température rectale 38,3oC
Peu souffrant
Chaleur, douleur et induration à la palpation de la jambe.

Dans le cas de la cellulite de Monsieur C.C., une culture de la peau est-elle indiquée?

A

Non

How well did you know this?
1
Not at all
2
3
4
5
Perfectly
8
Q

La culture de peau démontre quoi?

A

pourra seulement démontrer la flore cutanée du patient

How well did you know this?
1
Not at all
2
3
4
5
Perfectly
9
Q

Si cellulite avec écoulement de pus, quel examen faire?

A

faire une culture

How well did you know this?
1
Not at all
2
3
4
5
Perfectly
10
Q

Si cellulite avec hyperthermie ou atteinte de l’état général, quoi faire?

A

faire des hémocultures

How well did you know this?
1
Not at all
2
3
4
5
Perfectly
11
Q

Monsieur C.C. 47 ans se présente à la clinique pour une rougeur à la jambe gauche.
Il y a une semaine, il a eu une piqûre d’insecte à la jambe. Depuis, la rougeur ne cesse d’augmenter et sa peau est très sensible. Il se dit fiévreux, mais n’a pas pris sa température.
Il ne prend aucun médicament et n’a pas d’allergie.

À l’examen physique:
TA 120/70, FC 80/min, FR 18/min
Température rectale 38,3oC
Peu souffrant
Chaleur, douleur et induration à la palpation de la jambe.

Quel est le choix d’antibiothérapie le plus approprié pour Monsieur C.C.?

A

éphalosporine de première génération (ex : céfazoline) ou cloxacilline (de préférence IV)

How well did you know this?
1
Not at all
2
3
4
5
Perfectly
12
Q

Monsieur C.C. 47 ans se présente à la clinique pour une rougeur à la jambe gauche.
Il y a une semaine, il a eu une piqûre d’insecte à la jambe. Depuis, la rougeur ne cesse d’augmenter et sa peau est très sensible. Il se dit fiévreux, mais n’a pas pris sa température.
Il ne prend aucun médicament et n’a pas d’allergie.

À l’examen physique:
TA 120/70, FC 80/min, FR 18/min
Température rectale 38,3oC
Peu souffrant
Chaleur, douleur et induration à la palpation de la jambe.

Comment administrer l’atb? et pourquoi?

A

Mode d’administration IV à privilégier à cause de la fièvre

How well did you know this?
1
Not at all
2
3
4
5
Perfectly
13
Q

Une mère consulte pour son enfant de 7 mois qui semble avoir mal à l’oreille droite depuis la veille. Le bébé présente un épisode de rhinorrhée claire depuis 3 jours pour lequel la maman utilise abondamment le Salinex. Le poupon mange bien et est énergique. Il n’a pas fait de température au courant des derniers jours.

À l’examen physique:
TA 90/60, FC 125/min, FR 24/min
Température rectale 39,2oC
Bébé en bon état général, facilement consolable dans les bras de maman
Rougeur et opacification du tympan droit
Le reste de l’examen physique est non contributoire à part l’écoulement nasal clair abondant

Quel est le diagnostic le plus probable?

A

IVRS (infection des voies respiratoires supérieures) compliquée d’une otite moyenne aigüe (OMA) droite

How well did you know this?
1
Not at all
2
3
4
5
Perfectly
14
Q

Une mère consulte pour son enfant de 7 mois qui semble avoir mal à l’oreille droite depuis la veille. Le bébé présente un épisode de rhinorrhée claire depuis 3 jours pour lequel la maman utilise abondamment le Salinex. Le poupon mange bien et est énergique. Il n’a pas fait de température au courant des derniers jours.

À l’examen physique:
TA 90/60, FC 125/min, FR 24/min
Température rectale 39,2oC
Bébé en bon état général, facilement consolable dans les bras de maman
Rougeur et opacification du tympan droit
Le reste de l’examen physique est non contributoire à part l’écoulement nasal clair abondant

Quels éléments de l’histoire pourraient contribuer à bien sélectionner l’antibiothérapie adéquate pour traiter l’otite de ce bébé?

A
  • Allergie aux antibiotiques
  • Fréquentation de la garderie
  • Hospitalisation récente
  • OMA fréquentes
  • Traitement antibiotique récent
How well did you know this?
1
Not at all
2
3
4
5
Perfectly
15
Q

Une mère consulte pour son enfant de 7 mois qui semble avoir mal à l’oreille droite depuis la veille. Le bébé présente un épisode de rhinorrhée claire depuis 3 jours pour lequel la maman utilise abondamment le Salinex. Le poupon mange bien et est énergique. Il n’a pas fait de température au courant des derniers jours.

À l’examen physique:
TA 90/60, FC 125/min, FR 24/min
Température rectale 39,2oC
Bébé en bon état général, facilement consolable dans les bras de maman
Rougeur et opacification du tympan droit
Le reste de l’examen physique est non contributoire à part l’écoulement nasal clair abondant

Quels sont les pathogènes bactériens à considérer?

A
  • Streptococcus pneumoniae
  • Haemophilus influenzae non typable
  • Moraxella catarrhalis
  • Streptococcus pyogènes
How well did you know this?
1
Not at all
2
3
4
5
Perfectly
16
Q

Une mère consulte pour son enfant de 7 mois qui semble avoir mal à l’oreille droite depuis la veille. Le bébé présente un épisode de rhinorrhée claire depuis 3 jours pour lequel la maman utilise abondamment le Salinex. Le poupon mange bien et est énergique. Il n’a pas fait de température au courant des derniers jours.

À l’examen physique:
TA 90/60, FC 125/min, FR 24/min
Température rectale 39,2oC
Bébé en bon état général, facilement consolable dans les bras de maman
Rougeur et opacification du tympan droit
Le reste de l’examen physique est non contributoire à part l’écoulement nasal clair abondant

Si vous décidez de débuter une antibiothérapie à cet enfant, quel serait le choix de première intention selon le guide de l’INESSS OMA mars 2016?

A

Amoxicilline

How well did you know this?
1
Not at all
2
3
4
5
Perfectly
17
Q

vrai ou faux? pour un enfant de 7 mois avec OMA, il est toujours essentiel de vérifier la pertinence d’un traitement antibiotique pour les enfants de ce groupe d’âge.

A

Vrai

How well did you know this?
1
Not at all
2
3
4
5
Perfectly
18
Q

OMA, 7 mois. Il est toujours essentiel de vérifier la pertinence d’un traitement antibiotique pour les enfants de ce groupe d’âge. Critères à considérer…

A
  • âge
  • état général
  • premier épisode vs récidive
  • fréquentation de la garderie
  • allergie aux antibiotiques
  • antibiothérapie récente
  • comorbidité
How well did you know this?
1
Not at all
2
3
4
5
Perfectly
19
Q

Un garçon de 10 ans se présente avec sa mère pour une rougeur et un gonflement de la main gauche. Il y a environ 24 heures, l’enfant a été mordu par le chat de sa voisine. Une rougeur et un gonflement sont apparus progressivement. La mobilité de la main est préservée et l’enfant ne fait pas de fièvre. Il ne prend pas de médicament et n’a aucune allergie.

À l’examen physique:
TA 100/60, FC 80/min, FR 16/min
Température rectale 37,8°C
Souffrant
Rougeur, chaleur et gonflement sur le dos de la main, pire au versant cubital. Il y a 4 petites perforations cutanées en relation avec la morsure à proximité de la tê̂te du 5e métacarpien.

Quel est le diagnostic le plus probable?

A

Cellulite
Infection des tissus mous par morsure animale : au minimum une cellulite

How well did you know this?
1
Not at all
2
3
4
5
Perfectly
20
Q

Un garçon de 10 ans se présente avec sa mère pour une rougeur et un gonflement de la main gauche. Il y a environ 24 heures, l’enfant a été mordu par le chat de sa voisine. Une rougeur et un gonflement sont apparus progressivement. La mobilité de la main est préservée et l’enfant ne fait pas de fièvre. Il ne prend pas de médicament et n’a aucune allergie.

À l’examen physique:
TA 100/60, FC 80/min, FR 16/min
Température rectale 37,8°C
Souffrant
Rougeur, chaleur et gonflement sur le dos de la main, pire au versant cubital. Il y a 4 petites perforations cutanées en relation avec la morsure à proximité de la tê̂te du 5e métacarpien.

Quels sont les pathogènes bactériens à considérer?

A
  • Anaérobes
  • Pasteurella multocida
  • Staphylocoque aureus
  • Streptocoque bêtahémolytique du groupe A
How well did you know this?
1
Not at all
2
3
4
5
Perfectly
21
Q

Premier germe à considérer étant donné la source qui est une morsure de chat et la rapidité de l’évolution

A

Pasteurella multocida

How well did you know this?
1
Not at all
2
3
4
5
Perfectly
22
Q

Un garçon de 10 ans se présente avec sa mère pour une rougeur et un gonflement de la main gauche. Il y a environ 24 heures, l’enfant a été mordu par le chat de sa voisine. Une rougeur et un gonflement sont apparus progressivement. La mobilité de la main est préservée et l’enfant ne fait pas de fièvre. Il ne prend pas de médicament et n’a aucune allergie.

À l’examen physique:
TA 100/60, FC 80/min, FR 16/min
Température rectale 37,8°C
Souffrant
Rougeur, chaleur et gonflement sur le dos de la main, pire au versant cubital. Il y a 4 petites perforations cutanées en relation avec la morsure à proximité de la tê̂te du 5e métacarpien.

Les autres pathogènes que Pasteurella multocida causent une infection …

A

polymicrobienne
(en combinaison)

How well did you know this?
1
Not at all
2
3
4
5
Perfectly
23
Q

Un garçon de 10 ans se présente avec sa mère pour une rougeur et un gonflement de la main gauche. Il y a environ 24 heures, l’enfant a été mordu par le chat de sa voisine. Une rougeur et un gonflement sont apparus progressivement. La mobilité de la main est préservée et l’enfant ne fait pas de fièvre. Il ne prend pas de médicament et n’a aucune allergie.

À l’examen physique:
TA 100/60, FC 80/min, FR 16/min
Température rectale 37,8°C
Souffrant
Rougeur, chaleur et gonflement sur le dos de la main, pire au versant cubital. Il y a 4 petites perforations cutanées en relation avec la morsure à proximité de la tê̂te du 5e métacarpien.

Quel est le meilleur choix d’antibiothérapie dans le cas de la cellulite de ce garçon?

A

Traitement PO: amoxicilline /clavulanate de potassium (Clavulin®)

How well did you know this?
1
Not at all
2
3
4
5
Perfectly
24
Q

Monsieur S.P., 48 ans, fumeur, se présente à l’urgence pour toux et expectorations verdâtres depuis 48 heures. Il se plaint de forte fièvre et de frissons. Il ne prend aucun médicament et n’a pas d’allergie.

À l’examen physique:
TA 125/85, FC 130/min, RR 24/min, Saturation 95% AA
Température rectale 39,5°C
Poumons: crépitants de la portion supérieure du poumon droit (1/2 plage)
Le reste de l’examen physique est normal.

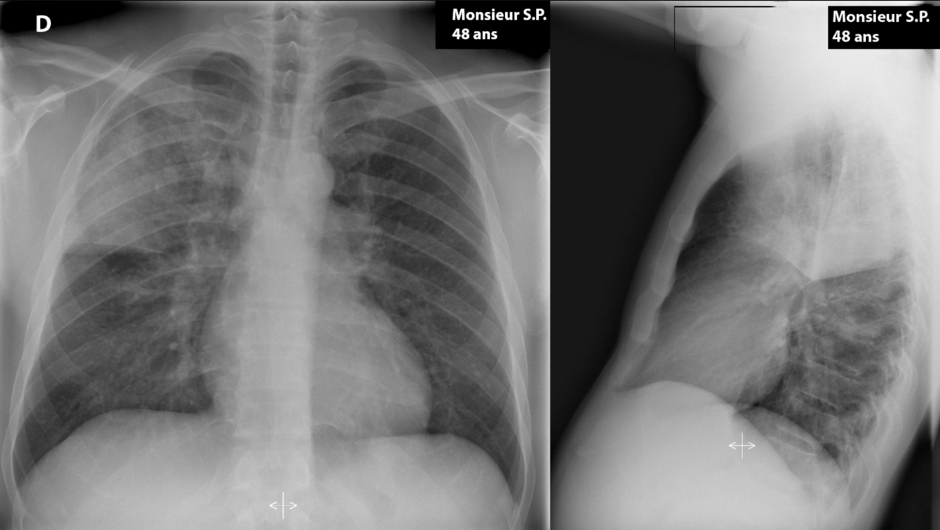
Quel est le diagnostic le plus probable?

A

Pneumonie du lobe supérieur droit
Infiltrat alvéolaire au lobe supérieur droit compatible avec une pneumonie acquise en communauté (PAC)

How well did you know this?
1
Not at all
2
3
4
5
Perfectly
25
Monsieur S.P., 48 ans, fumeur, se présente à l’urgence pour toux et expectorations verdâtres depuis 48 heures. Il se plaint de forte fièvre et de frissons. Il ne prend aucun médicament et n’a pas d’allergie. À l'examen physique: TA 125/85, FC 130/min, RR 24/min, Saturation 95% AA Température rectale 39,5°C Poumons: crépitants de la portion supérieure du poumon droit (1/2 plage) Le reste de l’examen physique est normal. Dans le cas de Monsieur S.P., quels sont les pathogènes bactériens à considérer?
* Haemophilus influenzae * Mycoplasma pneumoniae * Streptocoque pneumoniae
26
Pneumonie acquise en communauté : Pathogènes les plus fréquemment responsables (4)
* Streptococcus pneumoniae * Mycoplasma pneumoniae * Chlamydophila pneumoniae * Haemophilus influenzae
27
Pneumonie acquise en communauté : Autres pathogènes possibles (4)
* Legionella spp * Staphylococcus aureus * Bacilles Gram - * Virus du tractus respiratoire (influenza A et B, adénovirus)
28
Monsieur S.P., 48 ans, fumeur, se présente à l’urgence pour toux et expectorations verdâtres depuis 48 heures. Il se plaint de forte fièvre et de frissons. Il ne prend aucun médicament et n’a pas d’allergie. À l'examen physique: TA 125/85, FC 130/min, RR 24/min, Saturation 95% AA Température rectale 39,5°C Poumons: crépitants de la portion supérieure du poumon droit (1/2 plage) Le reste de l’examen physique est normal. La présentation clinique est plus suggestive d’une infection de quelle origine?
bactérienne : Streptococcus pneumoniae (dont celui résistant à la pénicilline) ou Haemophilus influenzae
29
Monsieur S.P., 48 ans, fumeur, se présente à l’urgence pour toux et expectorations verdâtres depuis 48 heures. Il se plaint de forte fièvre et de frissons. Il ne prend aucun médicament et n’a pas d’allergie. À l'examen physique: TA 125/85, FC 130/min, RR 24/min, Saturation 95% AA Température rectale 39,5°C Poumons: crépitants de la portion supérieure du poumon droit (1/2 plage) Le reste de l’examen physique est normal. Est-il nécessaire de faire une culture des expectorations pour Monsieur S.P.?
Non
30
Vrai ou faux? La radiographie pulmonaire est le seul test recommandé pour l’investigation de la pneumonie traitée en externe.
Vrai
31
Monsieur S.P., 48 ans, fumeur, se présente à l’urgence pour toux et expectorations verdâtres depuis 48 heures. Il se plaint de forte fièvre et de frissons. Il ne prend aucun médicament et n’a pas d’allergie. À l'examen physique: TA 125/85, FC 130/min, RR 24/min, Saturation 95% AA Température rectale 39,5°C Poumons: crépitants de la portion supérieure du poumon droit (1/2 plage) Le reste de l’examen physique est normal. Monsieur S.P. ne présente pas de critère d'hospitalisation. Selon le guide de l'INESSS Mars 2010, quel est le meilleur choix d’antibiothérapie de première intention pour ce patient ?
Clarithromycine
32
Traitement empirique de la pneumonie acquise en communauté (individu en santé et sans antibiotiques au cours des 3 derniers mois) : Traitement de 1ère intention
Clarithromycine x 7 jours ou Azithromycine x 5 jours
33
Traitement empirique de la pneumonie acquise en communauté (individu en santé et sans antibiotiques au cours des 3 derniers mois) : Traitement de 2e intention
Doxycycline x 10 jours
34
Monsieur S.P., 48 ans, fumeur, se présente à l’urgence pour toux et expectorations verdâtres depuis 48 heures. Il se plaint de forte fièvre et de frissons. Il ne prend aucun médicament et n’a pas d’allergie. À l'examen physique: TA 125/85, FC 130/min, RR 24/min, Saturation 95% AA Température rectale 39,5°C Poumons: crépitants de la portion supérieure du poumon droit (1/2 plage) Le reste de l’examen physique est normal. Quels sont les éléments de l'histoire / examen physique de ce patient qui vous inciteraient à l'hospitaliser (critères majeurs du score de Fine)? * Fréquence cardiaque > 100/min * Fréquence respiratoire > 24/min * Saturation < 90% à l'air ambiant * Température > 40 degrés Celcius * Tension artérielle systolique < 100 mmHg
* Saturation < 90% à l'air ambiant * Température > 40 degrés Celcius
35
critères majeurs du score de Fine sont ... (6)
* fréquence respiratoire > 30 par minute * confusion récente * hypotension < 90 mm Hg (systolique) * température > 40 °C * saturation < 90 % et * âge avancé du patient
36
Critères du CURN-65 - Pneumonie acquise en communauté
* C onfusion nouvelle * U rée > 7 mmol /L * R ythme respiratoire ≥ 30/min * Systolique BP < 90 mmHg, diastolique BP ≤ 60 mmHg * Âge ≥ 65 ans
37
Combien de points vaut un critère du CURN-65?
1
38
Madame L.P., 35 ans, se présente à la clinique pour de la fièvre et des frissons. Elle accuse de la pollakiurie, des brûlements mictionnels et un malaise au flanc droit. Elle se plaint aussi de nausées et a présenté un épisode de vomissement. Le tableau évolue depuis 24 heures. À l'examen physique: TA 120/70, FC 95/min, FR 18/min Température rectale 39°C La patiente est souffrante et faible Elle a une sensibilité à la palpation de la région sus-pubienne et à la loge rénale droite Quel est le diagnostic le plus probable ?
Pyélonéphrite aigüe à droite (infection urinaire haute)
39
Madame L.P., 35 ans, se présente à la clinique pour de la fièvre et des frissons. Elle accuse de la pollakiurie, des brûlements mictionnels et un malaise au flanc droit. Elle se plaint aussi de nausées et a présenté un épisode de vomissement. Le tableau évolue depuis 24 heures. À l'examen physique: TA 120/70, FC 95/min, FR 18/min Température rectale 39°C La patiente est souffrante et faible Elle a une sensibilité à la palpation de la région sus-pubienne et à la loge rénale droite Quels sont les autres diagnostics à considérer (diagnostic différentiel) pour Madame L.P.? (6)
* Abcès abdominal * Appendicite aigüe * Colique néphrétique infectée * Diverticulite aigüe * Salpingite * colite
40
Madame L.P., 35 ans, se présente à la clinique pour de la fièvre et des frissons. Elle accuse de la pollakiurie, des brûlements mictionnels et un malaise au flanc droit. Elle se plaint aussi de nausées et a présenté un épisode de vomissement. Le tableau évolue depuis 24 heures. À l'examen physique: TA 120/70, FC 95/min, FR 18/min Température rectale 39°C La patiente est souffrante et faible Elle a une sensibilité à la palpation de la région sus-pubienne et à la loge rénale droite Quelle est l'investigation initiale la plus appropriée pour cette patiente?
* Analyse (SMU) et culture d’urine (DCA) * Hémocultures x 2 * FSC * Ions * Urée-créatinine * Test de grossesse
41
Quels sont les éléments de l'analyse d'urine qui confirmeront le diagnostic d'infection urinaire?
* Bactéries * Leucocytes * Nitrites
42
Madame L.P., 35 ans, se présente à la clinique pour de la fièvre et des frissons. Elle accuse de la pollakiurie, des brûlements mictionnels et un malaise au flanc droit. Elle se plaint aussi de nausées et a présenté un épisode de vomissement. Le tableau évolue depuis 24 heures. À l'examen physique: TA 120/70, FC 95/min, FR 18/min Température rectale 39°C La patiente est souffrante et faible Elle a une sensibilité à la palpation de la région sus-pubienne et à la loge rénale droite Quels sont les pathogènes bactériens les plus probables chez Madame L.P.? * Entérobacter spp. * Entérocoque spp. * Escherichia coli * Klebsiella pneumoniae * Pseudomonas aeruginosa * Staphylococcus aureus * Staphylococcus saprophyticus
* Entérocoque spp. * Escherichia coli * Klebsiella pneumoniae * Staphylococcus saprophyticus
43
44
Madame L.P., 35 ans, se présente à la clinique pour de la fièvre et des frissons. Elle accuse de la pollakiurie, des brûlements mictionnels et un malaise au flanc droit. Elle se plaint aussi de nausées et a présenté un épisode de vomissement. Le tableau évolue depuis 24 heures. À l'examen physique: TA 120/70, FC 95/min, FR 18/min Température rectale 39°C La patiente est souffrante et faible Elle a une sensibilité à la palpation de la région sus-pubienne et à la loge rénale droite Madame L.P. n'est pas enceinte. Elle ne présente pas de comorbidité et n'a pas d'allergie aux antibiotiques. Quelle antibiothérapie est la plus appropriée pour cette patiente?
Ciprofloxacine
45
Madame L.P., 35 ans, se présente à la clinique pour de la fièvre et des frissons. Elle accuse de la pollakiurie, des brûlements mictionnels et un malaise au flanc droit. Elle se plaint aussi de nausées et a présenté un épisode de vomissement. Le tableau évolue depuis 24 heures. À l'examen physique: TA 120/70, FC 95/min, FR 18/min Température rectale 39°C La patiente est souffrante et faible Elle a une sensibilité à la palpation de la région sus-pubienne et à la loge rénale droite Madame L.P. n'est pas enceinte. Elle ne présente pas de comorbidité et n'a pas d'allergie aux antibiotiques. Quelle antibiothérapie autre que la ciprofloxacine est acceptée?
Trimethoprim - sulfamethoxazole (TMP-SMX) dans le traitement oral de la pyélonéphrite
46
Madame L.P., 35 ans, se présente à la clinique pour de la fièvre et des frissons. Elle accuse de la pollakiurie, des brûlements mictionnels et un malaise au flanc droit. Elle se plaint aussi de nausées et a présenté un épisode de vomissement. Le tableau évolue depuis 24 heures. À l'examen physique: TA 120/70, FC 95/min, FR 18/min Température rectale 39°C La patiente est souffrante et faible Elle a une sensibilité à la palpation de la région sus-pubienne et à la loge rénale droite Dans ce contexte clinique, une hospitalisation est-elle nécessaire pour Madame L.P.? Pourquoi?
Oui Si les nausées/vomissements de Madame L.P. ne sont pas contrôlés, elle ne sera pas capable de tolérer la médication PO et elle devra être hospitalisée
47
Critères d'hospitalisation en infection urinaire déterminés en fonction de ... (5)
* âge du patient * fonction rénale * état clinique du patient (signes vitaux, état général, besoin d'analgésie...) * capacité du patient à tolérer une médication PO (vomissements...) * autres pathologies associées / comorbidités (ex: urolithiase)
48
Une femme de 66 ans se présente à la clinique médicale pour une douleur abdominale. La douleur est présente depuis deux jours et semble se localiser plus spécifiquement à gauche. La dame est légèrement nauséeuse, mais n'a pas vomi. Il s'agit d'un premier épisode chez une dame habituellement en bonne santé. À l'examen physique: Bon état général TA 120/80, FC 80/min, FR 12/min, température buccale 38℃ Cou: Ø adénopathies Coeur: B1-B2 normal, Ø souffle Poumons: MV symétrique Abdomen: souple, péristaltisme normal, sensibilité FIG, Ø HSM MI: Ø oedème Quel est le diagnostic le plus probable?
Diverticulite aigüe
49
Quelles conditions cliniques et paracliniques pourraient laisser suspecter une diverticulite aigüe compliquée chez la patiente?
* Abdomen distendu * Bruits métalliques à l'auscultation de l'abdomen * Défense abdominale * Fièvre ≥ 38,3℃ * Pneumaturie * Vomissements abondants
50
Les diverticulites peuvent être classées comment?
* Diverticulite non compliquée * Diverticulite compliquée
51
Diverticulite non compliquée ou compliquée, laquelle est la plus fréquente?
Diverticulite non compliquée: la manifestation la plus fréquente (75 à 80%)
52
Comment se manifeste une diverticulite compliquée?
défini par la présence d'abcès, fistule, obstruction, ou perforation; plusieurs classifications existent
53
Un patient atteint de diverticulite doit être hospitalisé si ... (4)
* complication démontrée cliniquement ou à l'imagerie (intra-abdominale ou sepsis) * atteinte de l'état général, immunosuppression, âge avancé * symptômes sévères (ex. douleur importante, forte fièvre, nausées importantes, vomissements répétés) * ne tolére pas le traitement ou l'alimentation PO
54
Traitement diverticulite compliquée
En plus du traitement spécifique de la complication (drainage percutané, chirurgie, etc. ), le patient doit recevoir une antibiothérapie IV. Ce traitement antibiotique IV à large spectre dépasse les objectifs du cours.
55
Une femme de 66 ans se présente à la clinique médicale pour une douleur abdominale. La douleur est présente depuis deux jours et semble se localiser plus spécifiquement à gauche. La dame est légèrement nauséeuse, mais n'a pas vomi. Il s'agit d'un premier épisode chez une dame habituellement en bonne santé. À l'examen physique: Bon état général TA 120/80, FC 80/min, FR 12/min, température buccale 38℃ Cou: Ø adénopathies Coeur: B1-B2 normal, Ø souffle Poumons: MV symétrique Abdomen: souple, péristaltisme normal, sensibilité FIG, Ø HSM MI: Ø oedème Quel examen d'imagerie permettra de confirmer le diagnostic de la patiente (examen de choix)?
Tomodensitométrie abdominale + pelvienne
56
La diverticulite est évaluée par quel examen?
TDM de l'abdomen et du bassin avec un contraste hydrosoluble administré po et par voie rectale; un produite de contraste IV est également administré lorsqu'il n'est pas contre-indiqué
57
Cependant, chez environ 10% des patients on ne peut pas distinguer la diverticulite de quoi?
du cancer du côlon
58
chez environ 10% des patients on ne peut pas distinguer la diverticulite du cancer du côlon. Qu'est-ce qui est souvent recommandée 1 à 3 mois après la résolution de l'épisode pour évaluer l'existence d'un cancer?
la coloscopie
59
Dans le cas d'une diverticulite aigüe bactérienne, quels groupes de pathogènes sont probablement impliqués? (2)
* Bacilles Gram négatifs * Bactéries anaérobies
60
Des données émergentes suggèrent que la diverticulite aigüe est plus ________ qu'________ chez certains patients
Des données émergentes suggèrent que la diverticulite aigüe est plus **inflammatoire** qu'**infectieuse** chez certains patients
61
Diverticulite aiguë : le ________ peut être un déclencheur de cette inflammation
cytomégalovirus
62
une ________ active a été observée dans le tissu du côlon affecté chez plus des deux tiers des patients qui ont une diverticulite
réplication virale
63
Diverticulite aiguë : Dans un contexte infectieux, il faut suspecter quoi?
les bactéries de la flore intestinale
64
Quels sont des bons choix d'antibiotiques pour le traitement de la diverticulite aigüe non compliquée en traitement ambulatoire? * Amoxicilline (875 mg q 12h) * Amoxicilline (875 mg q 12 h) + clavulanate (125 mg q 12 h) * Cefprozil (500 mg q 12h) * Clarithromycine (500 mg q 12h) * Métronidazole (500 mg q 8 h) + fluoroquinolone (ex. ciprofloxacine 500 mg q 12 h) * Métronidazole (500 mg q 8 h) + triméthoprime/sulfaméthoxazole (800/160 mg q 12 h)
* Amoxicilline (875 mg q 12 h) + clavulanate (125 mg q 12 h) * Métronidazole (500 mg q 8 h) + fluoroquinolone (ex. ciprofloxacine 500 mg q 12 h) * Métronidazole (500 mg q 8 h) + triméthoprime/sulfaméthoxazole (800/160 mg q 12 h)
65
Les antibiotiques étaient ________ recommandés dans tous les cas de diverticulite ________, qu'elle soit compliquée ou non. Cependant, des données récentes suggèrent que les antibiotiques peuvent ne pas ________ l'évolution de la diverticulite ________ compliquée, par conséquent, les patients sélectionnés qui ont une diverticulite aigüe non compliquée peuvent être traités de manière ________.
Les antibiotiques étaient **traditionnellement** recommandés dans tous les cas de diverticulite **aigüe**, qu'elle soit compliquée ou non. Cependant, des données récentes suggèrent que les antibiotiques peuvent ne pas **améliorer** l'évolution de la diverticulite **non** compliquée, par conséquent, les patients sélectionnés qui ont une diverticulite aigüe non compliquée peuvent être traités de manière **conservatrice**.
66
Diverticulite aiguë : Si des antibiotiques sont utilisés, les choix d'antibiothérapie po doivent couvrir quoi?
les bacilles Gram négatifs ET les bactéries anaérobies
67
Les protocoles antibiotiques qui peuvent être utilisés po chez des patients ambulatoires pour lesquels le traitement est choisi comprennent combien de jours de traitement?
7 à 10 jours de traitement
68
69
Dans la diverticulite aiguë, le risque de récidive est de 50%. En ce qui concerne le traitement non pharmacologique, quel aliment pourrait être associé avec le développement d'une diverticulite?
Viande rouge
70
Vrai ou faux? Une étude de 2017 a suggéré une corrélation directe entre la consommation de viande rouge par semaine et l'incidence de diverticulite. Il n'y a pas d'association entre la consommation de noix, de graines, de maïs ou de maïs soufflé et le développement d'une diverticulite comme on le pensait auparavant.
Vrai
71
Après 48 heures sous cloxacilline, un patient de 60 ans se présente pour son suivi de traitement de cellulite à la jambe droite. À l'examen physique, il y a une zone de fluctuation de 7 cm au milieu de la rougeur et plusieurs furoncles aux deux jambes. Il ne fait pas de fièvre et les signes vitaux sont normaux. Quelle est la meilleure conduite dans ce cas-ci?
* Il faut drainer et cultiver la collection purulente (zone de fluctuation) * Il faut penser particulièrement au SARM-AC * Le changement d'antibiotique sera fait selon les résultats de culture
72
Une femme de 75 ans se présente à l'urgence pour une rougeur d'apparition fulminante au bras gauche. La patiente fait de la fièvre à 38,5°C. L'examen physique révèle des douleurs à la mobilisation passive et à la palpation légère de la zone érythémateuse. Quel est le diagnostic le plus probable?
Fasciite nécrosante
73
Traitement fasciite nécrosante
En plus de débuter des antibiotiques IV, il faut adresser la patient en chirurgie pour un débridement dans les plus brefs délai
74
Lors d'une cellulite de la main, identifier les complications locales pouvant nécessiter une intervention chirurgicale
* Abcès * Ténosynovite * Arthrite septique
75
Suite à une morsure animale, quelle est la mesure la plus utile pour prévenir l'infection?
Nettoyage de la plaie
76
Le traitement d’une morsure doit commencer d’abord et avant tout par quoi?
un nettoyage minutieux, jusqu’au fond des plaies. C’est une étape capitale dans la prévention de l’infection.
77
Traitement d’une morsure : Une irrigation abondante (>150 mL) avec du sérum physiologique sous pression diminue quoi?
les risques d’infection
78
Traitement d’une morsure : S’il y a lieu, on débride prudemment quoi?
les tissus dévitalisés et nécrosés
79
Traitement d’une morsure : Vrai ou faux ? La plupart des morsures ne nécessiteront pas d’antibiotiques
Vrai
80
Traitement d’une morsure : L’antibioprophylaxie est prescrite pour quoi?
plaies qui risquent de s’infecter ou les morsures chez les patients à risque
81
Traitement d'une morsure : Patients à risque ... (6)
* Localisation * Plaies punctiformes, surtout si elles sont profondes (dont les morsures de chat) * Plaies par écrasement * Plaies graves, nécessitant un débridement ou présentant une atteinte osseuse, articulaire ou tendineuse * Patient à risque: immunosuppression, diabète, maladie chronique, asplénie * Délai > 8-12 heures
82
Traitement d'une morsure : Patients à risque -> Décrire les localisations
visage ou tête, mains, pieds, près d’une articulation, organes génitaux
83
Lors du traitement d'une pneumonie dont la situation clinique est complexe (ex: score de Fine élevé), quels sont les examens complémentaires susceptibles de renseigner le clinicien sur le germe étiologique?
* Bronchoscopie * Hémocultures * Recherche d'antigènes urinaires
84
Le traitement initial de la pneumonie est toujours ...
empirique
85
Vrai ou faux? Actuellement, aucun test ne permet rapidement d'indentifier l’étiologie des pneumonies.
Vrai
86
Pneumonie : Les suggestions thérapeutiques sont modulées par quoi?
* la probabilité d’un germe selon le contexte épidémiologique (ambulatoire ou hospitalisé), * la présence de facteurs de comorbidité ou * la gravité de la pneumonie
87
Dans certains cas particuliers, il peut ê̂tre indiqué de faire des tests supplémentaires pour tenter d'identifier le germe responsable de la pneumonie ... (4)
* cultures d'expectoration * bronchoscopie avec lavage et culture * hémocultures * recherche d’antigène urinaire de pneumocoque et légionnaire
88
Pourquoi est-il important d’éliminer la possibilité d’une grossesse lors d'une infection urinaire chez une femme en âge de procréer?
* Certains antibiotiques sont contre-indiqués pendant la grossesse (ex : fluoroquinolones) * Il faut éliminer la possibilité d’une grossesse anormale (ex : grossesse ectopique...) * Une femme enceinte qui présente une infection urinaire doit faire l’objet d’une prise en charge spécifique * Une infection urinaire à Streptocoque du groupe B chez la femme enceinte augmente les risques de complications périnatales * Si une investigation radiologique est nécessaire pour préciser le diagnostic, la présence d’une grossesse modifiera le choix de l’imagerie