Briefly describe the wall of an artery
The wall of an artery consists of the tunica intima (innermost layer), tunica media (middle layer), and tunica adventitia (outermost layer).
What is an aortic dissection?
An aortic dissection is a tear in the intimal layer of the aortic wall, causing blood to flow between and splitting apart the tunica intima and media.
Differentiate between acute and chronic aortic dissection
It can be defined as acute (when diagnosed ≤14 days) or chronic (when diagnosed >14 days).
Who is commonly affected by aortic dissection?
They are more common in men and in patients with connective tissue disorders and have a peak onset between 50-70yrs.
Briefly describe the pathophysiology of aortic dissection
Aortic dissections from the initial intimal tear can progress distally, proximally, or in both directions from the point of origin. Anterograde dissections propagate towards the iliac arteries and retrograde dissections propagate towards the aortic valve (at the root of the aorta).

What are the 2 classification systems for aortic dissection?
Stanford Classification and DeBakey Classification.
Briefly describe Stanford Classification
The Stanford classification divides aortic dissection into two groups, A and B:
Briefly describe DeBakey Classification
The DeBakey classification groups aortic dissections anatomically:

Explain the various DeBakey Classifications

Type I
Type II
Type III
What are the risk factors for aortic dissection?
What is shown in the image?

Histopathology of a thoracic aortic dissection, demonstrating the separation of the tunica intima and tunica media.
What are the clinical features of aortic dissection?
The characteristic presentation of an aortic dissection is of a tearing chest pain, classically radiating through to the back, yet the diagnosis is often challenging and many be a more subtle presentation.
The most common clinical signs include tachycardia, hypotension, new aortic regurgitation murmur, or signs of end-organ hypoperfusion.
What are the signs of end-organ hypoperfusion?
Reduced urine output, paraplegia, lower limb ischaemia, abdominal pain secondary to ischaemia or deteriorating conscious level.
Why does hypotension occur following an aortic dissection?
Secondary to hypovolaemia from blood loss into the dissection or cardiogenic from severe aortic regurgitation or pericardial tamponade.
What investigations should be ordered for aortic dissection?
Note: laboratory
Baseline blood tests (FBC, U&Es, LFTs, troponin, coagulation) with a crossmatch of at least 4 units, in addition to an arterial blood gas to aid initial assessment. An ECG should also be performed to exclude any cardiac pathology.
What investigations should be ordered for aortic dissection?
A computed tomography (CT) angiogram is recommended to diagnose aortic dissection as first line imaging. This will also allow classification, establish the anatomy of the dissection, and assist surgical planning.
A transoesophogeal ECHO can also provide useful information but is operator dependent.
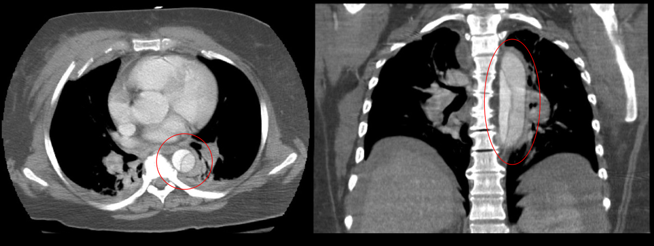
What is shown in the image?

CT Chest of Stanford Type B Aortic Dissection.
What is the immediate management of aortic dissection?
Urgent initial assessment is required, as for any other critically ill surgical patient.
Start high flow oxygen and gain IV access (x2 large bore cannulas); fluid resuscitation should be done cautiously.
Briefly differentiate for the management of Stanford Type A and Type B dissection
Stanford Type A dissections should be managed surgically in the first instance and carry a worse prognosis than Type B dissections. Any uncomplicated Type B dissections can usually be managed medically.
What follow up is needed for aortic dissection?
Following initial management, all patients need lifelong antihypertensive therapy and surveillance imaging, due to the high risk of developing further dissection or other complications.
How frequent is surveillance imaging following aortic dissection?
Imaging would usually be at 1, 3 and 12 months post-discharge, with further scans at 6-12 month intervals thereafter depending on the size of the aorta.
Briefly describe the treatment for Type A dissections
Type A dissections carry a high mortality if left untreated and these cases should be discussed urgently with a cardiac or vascular surgeon. They will most likely require transfer to a cardiothoracic centre.
The surgery involves removal of the ascending aorta (with or without the arch) and replacement with synthetic graft.
Any additional branches of the aortic arch that are involved will require reimplanation into the graft (i.e. brachiocephalic artery, left common carotid artery, left subclavian artery), with long Type A dissections involving the descending and possibly abdominal aorta may require staged procedures.
Briefly describe the treatment for Type B dissections
Uncomplicated Type B dissections are best managed medically, with good survival rates. First line treatment is management of hypertension with intravenous beta blockers (labetalol).
In the acute setting, endovascular repair is not recommended due to the risk of retrograde dissection, therefore medical management remains gold standard. Surgical intervention in Type B dissections is only warranted in the presence of certain complications, such as rupture, renal, visceral or limb ischaemia, refectory pain, or uncontrollable hypertension.
Type B dissections can go on to be chronic, with continued leakage into the dissection, even if a stent has been placed. The most common complication of chronic disease is the formation of an aneurysm. These present further surgical problems, with endovascular repair offering a better survival chance.
Why are IV beta-blockers used to manage hypetension in aortic dissection?
The aim of this therapy is to rapidly lower the systolic pressure, pulse pressure, and pulse rate to minimise stress of the dissection and limited further propagation.