describe the classification of aortic dissection?
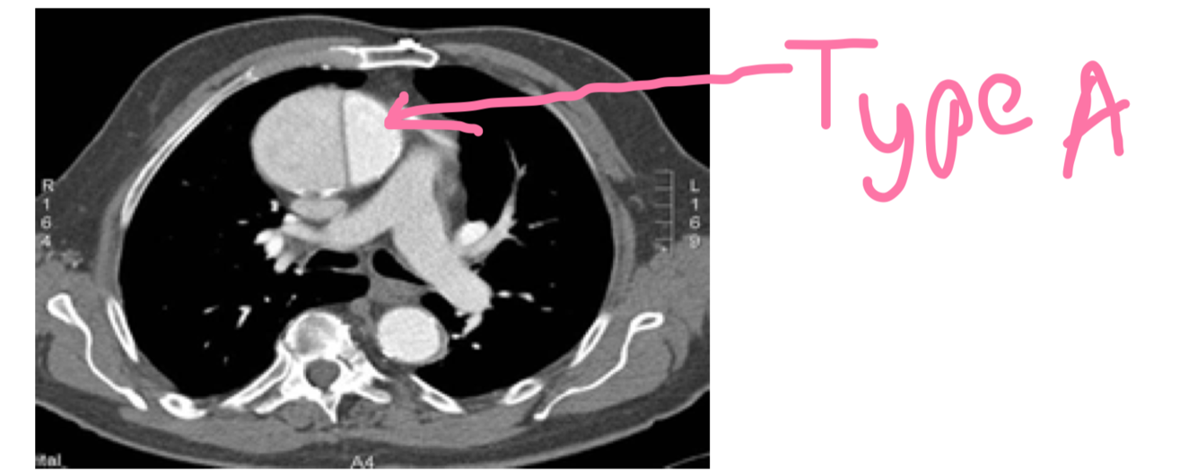
Type A : Ascending aorta ( most common ) 70% - retrosternal chest pain
Type B: Descending aorta ( distal to the left subclavian artery) 30% - interscapular pain
define aortic dissection
condition where the tear in the aortic intima allows the blood to surge into the aortic wall -> causing a split between the inner and outer tunica media-> creating a false lumen

summarise the epidemiology of aortic dissection?
most common in males aged 40-60 years
give the cause and common risk factors for aortic dissection?
usually preceded by degenerative changes in the smooth muscle of the aortic media
HYPERTENSION
what are the main presenting symptoms of aortic dissection?
MAIN SYMPTOM: sudden central ‘tearing’ pain, it may radiate to the back in between the shoulder blades (it can mimic MI)
Other symptoms caused by obstruction of branches of the aorta:
what are the features of Marfan’s syndrome?
tall stature
arachnodactyl
pectus excavatum
hypermobile joints
high arched palate
narrow face
What are the features of Ehler’s danlos syndrome that can help in the diagnoses of aortic dissection?
Type IV Ehlers-Danlos syndrome predisposes to both aneurysms and/or dissections
Features include translucent skin, easy bruising, hypermobility of small joints, and premature ageing of the skin (acrogeria)
what are the signs of aortic dissection on physical examination?
This may indicate:
6. Signs of Aortic Regurgitation
what is pulsus paradoxus and what may it indicate?
abnormally large decrease in systolic blood pressure and pulse wave amplitude during inspiration
This may indicate:
Tamponade
Pericarditis
Chronic sleep apnoea
Obstructive lung disease
what are the signs of aortic regurgitation?
high volume collpasing pulse
early diastolic murmur over aortic area
what are the appropriate investigations for aortic dessection
bloods
CXR
ECG
CT Thorax/CT angiogram- ORDERED AS SOON AS SUSPECTED
what bloods do you need in aortic dissection?
FBC- anaemia may present in haemorrhage
X match 10 units of blood- prep for surgery
U and Es- check renal function ( may be compromised)
LFTs may be compromised
lactate- indicative of malperfusion ( may be elevated)
cardiac enzymes- exlcude MI
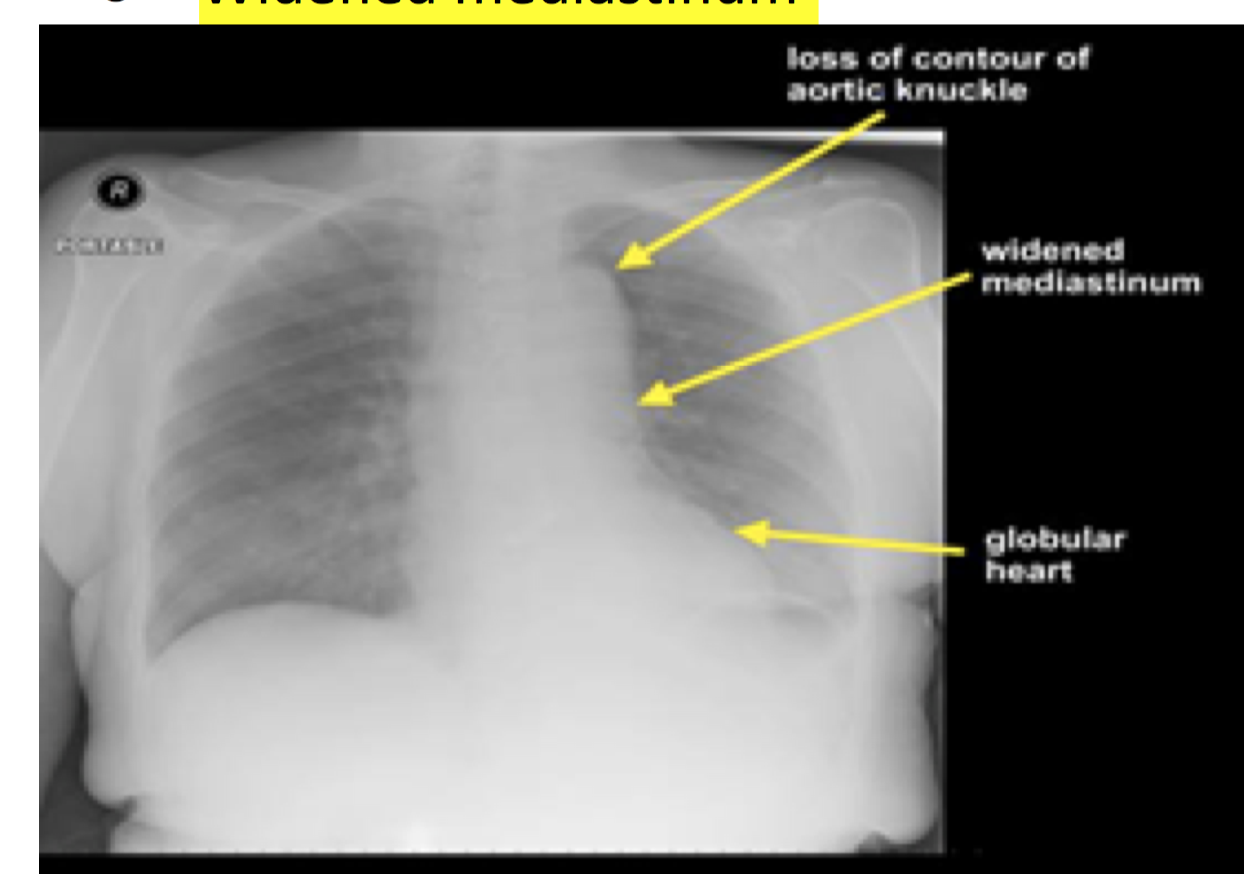
what can be seen on the CXR in aortic dissection?
( exclude other pulmonary causes of chest pain )
widened mediastinum

what can be seen on the ECG in aortic dissection?
may be normal
if ostia of right coronary artery is compromised-> get signs of:
What can be seen on the CT thorax/aniogram in aortic dissection?
ordered as soon as suspected- include chest,abdo and pelvis to visualise the extent of aneurysm and to see if its suitable for an endo vascular repair
=> shows false lumen

what investigations should you consider in a patient suspected of aortic dissection?
D-dimer: should be positive
Magnetic resonance angiography: very accurate to show intimal flap but rarely used in an acute setting due to difficulty to obtain
Trans-thoracic echo: may show the intimal flap – done more in the emergency department or op theatre if there is any question about diagnosis or CTA is unavailable or contraindicated