Aortic dissection (Complete*) Flashcards

(24 cards)

1
Q

How does aortic dissection occur?

A

Tear in the tunica intima causes a false lumen for blood to flow through

How well did you know this?
1
Not at all
2
3
4
5
Perfectly
2
Q

What are the risk factors for aortic dissection?

A

Hypertension

Trauma

Bicuspid aortic valve

Connective tissue disorders (e.g. Ehler’s-danlos syndrome, Marfan’s syndrome)

Turner’s syndrome and Noonan’s syndrome

Pregnancy (Due to hormonal effect on vasculature)

Syphillis (Lesions tend to target aorta)

Cocaine/amphetamine use (Produces abrupt severe hypertension)

How well did you know this?
1
Not at all
2
3
4
5
Perfectly
3
Q

What are the main signs/symptoms of aortic dissection?

A

Symptoms:

Ripping chest pain/interscapular pain

  • Radiates to the back

Syncope

Signs:

Weak or absent pulses

Radio-radial or radio-femoral delay

Variation in systolic blood pressure between both arms (> 20 mmHg)

New onset early-diastolic murmur (aortic regurgitation)

Hypertension

Symptoms depending on how large the dissection is:

Syncope

Renal failure

Bowel/limb ischaemia

How well did you know this?
1
Not at all
2
3
4
5
Perfectly
4
Q

What are the main characteristics of aortic dissection chest/back pain?

A

Pain located in chest or interscapular which radiates to the back

Maximal pain on onset

Described as ripping/tearing

How well did you know this?
1
Not at all
2
3
4
5
Perfectly
5
Q

What are some distinguishing features of a forward tear and backward tear?

A

Complications of a forward tear:

Unequal arm pulses and BP

Stroke

Renal failure

Complications of a backward tear

Aortic regurgitation

Inferior MI: Usually because right coronary artery affected

N.B. Backward tear means its enlarging against blood flow (e.g. toward heart). Forward tear is along direction of blood flow

How well did you know this?
1
Not at all
2
3
4
5
Perfectly
6
Q

What type of murmur is heard in patients with aortic regurgitation?

A

Early-diastolic murmur

How well did you know this?
1
Not at all
2
3
4
5
Perfectly
7
Q

What are the two types of aortic dissection according to the Stanford criteria?

A

Type A: Dissection occured in ascending aorta (2/3rd)

Type B: Dissection occured in descending aorta (1/3rd)

How well did you know this?
1
Not at all
2
3
4
5
Perfectly
8
Q

What investigations should be done in patients suspected of having aortic dissection?

A

A-E approach first before investigations as they present acutely unwell

Bedside:

Basic obs: Assess haemodynamic status

ECG: Non specifc or no ECG changes (May show ischaemia if it affects coronary arteries however)

Bloods:

VBG

Troponin: May be raised

D-dimer: May be positive

Coagulation screen + G&S: Prep for surgery

U&Es: Monitor for renal impairment

LFTs: Baseline

Imaging:

CXR: Widened mediastinum

CTA: 1st line diagnostic For stable patients with planned surgery. Would show a false lumen.

Transoesophageal echocardiography (TOE): For patients too unstable for CTA

How well did you know this?
1
Not at all
2
3
4
5
Perfectly
9
Q

When would you choose CTA over transoesophageal ECHO and vice versa?

A

CTA: For stable patients suitable for surgery

Transoesophageal echocardiography (TOE): For patients too unstable for CTA

How well did you know this?
1
Not at all
2
3
4
5
Perfectly
10
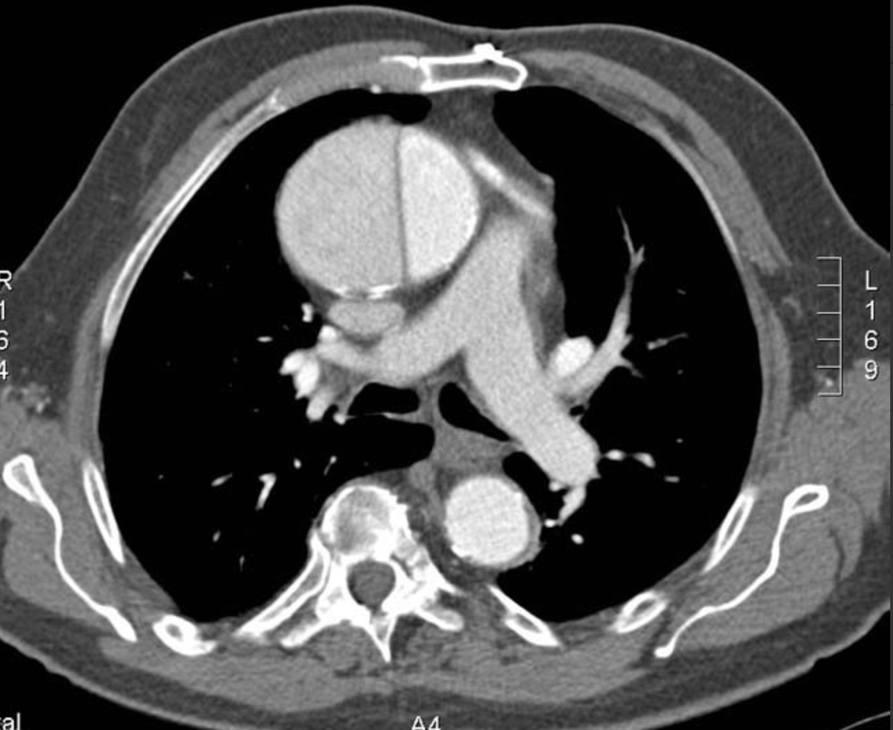
Q

What type of aortic dissection can be seen on this image?

A

Type A

Can see flap in the ascending aorta

How well did you know this?
1
Not at all
2
3
4
5
Perfectly
11
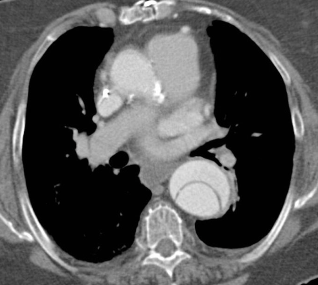
Q

What type of aortic dissection can be seen on this image?

A

Type B

Can see flap in desecending aorta

How well did you know this?
1
Not at all
2
3
4
5
Perfectly
12
Q

What findings on CXR may be seen in aortic dissection?

A

Widened mediastinum

Double or irregular aortic contour

N.B. 10-15% of patients have a normal CXR

How well did you know this?
1
Not at all
2
3
4
5
Perfectly
13
Q
A
How well did you know this?
1
Not at all
2
3
4
5
Perfectly
14
Q

What blood test, if negative, lowers likelihood of aortic dissection?

A

D-dimer

N.B. Doesnt exclude but likelihood of dissection is very low

How well did you know this?
1
Not at all
2
3
4
5
Perfectly
15
Q

What is the management plan for type A dissections?

A

Urgent discussion with on-call vascular and/or cardiothoracic team and critical care team

A-E approach

Cardiac monitoring

  • Arterial line for continous BP monitoring

Medicine:

First-line: IV labetolol

Second-line: IV calcium channel blockers

  • Nicardipine
  • Non-dihydropyridine agents (e.g. verapamil)

Refractory cases: IV nitrates or sodium nitroprusside

IV opiate analgesia

  • Pain management can help reduce sympathetic tone

Surgical: Definitive management

Open surgical repair (e.g. aortic synthetic graft)

How well did you know this?
1
Not at all
2
3
4
5
Perfectly
16
Q

What is the definitive management for type A dissections?

A

Aortic synthetic graft

17
Q

What HR and BP measurements should a patient with type A aortic dissection be within prior to surgical intervention?

A

100-120mmHg systolic

HR 60-80 bpm

18
Q

What is used second-line in management of BP in patients with dissection

A

IV calcium channel blockers

  • Nicardipine
  • Non-dihydropyridine CCBs
19
Q

What is used in management of refractory hypertension?

A

IV nitrates
or
IV sodium nitroprusside

20
Q

What is the management plan for type B aortic dissection?

A

Urgent discussion with on-call vascular and/or cardiothoracic team

A-E approach

Cardiac monitoring

  • Arterial line for continous BP monitoring

Medicine:

First-line: IV labetolol

Second-line: IV calcium channel blockers

  • Nicardipine
  • Non-dihydropyridine agents

Refractory cases: IV nitrates or sodium nitroprusside

IV opiate analgesia

  • Pain management can help reduce sympathetic tone

Surgical:

Complicated type B dissection:

Endovascular stent graft placement

  • Aka TEVAR (thoracic endovascular aortic repair)
21
Q

Why is labetalol used in management of BP in aortic dissection?

A

Labetalol has a combination of beta and alpha blocker effects therefore preventing tachycardia secondary to rapid BP lowering.

22
Q

Type B dissections are mostly managed conservatively except in cases of complicated tears.
What are considered complicated type B dissections?

A

Any of the following:

  • Aortic rupture
  • Impending rupture
  • Refractory hypertension
  • Rapidly expanding aortic diameter
  • Malperfusion due to branch vessel occlusion or aortic lumen compression
  • Ongoing pain
23
Q

What type of surgical intervention is indicated for complicated Type B dissections?

A

Endovascular stent graft

24
Q

How does the management plan differ between type A and B aortic dissections?

A

Type A can undergoe surgical management (e.g. aortic graft)

Type B is managed mainly conservatively if uncomplicated