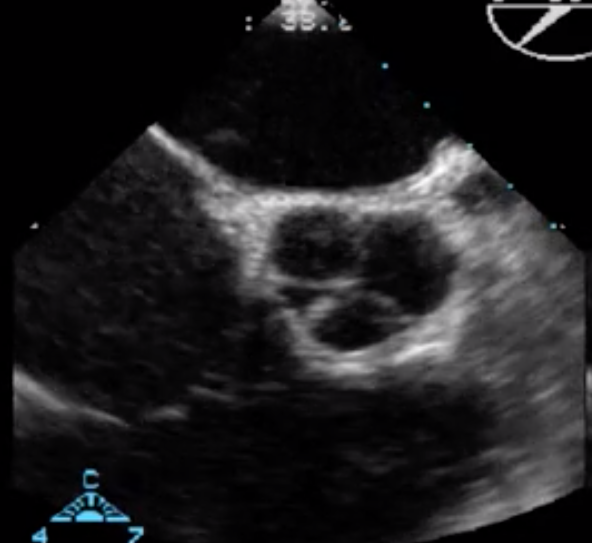
Label the Aortic Valve Cusps in the Aortic Valve Short Axis

Non-Coronary Cusp nearest to the interatrial septum (Does not have a coronary artery)
Left Coronary Cusp is NOT on the Right side
Right coronary cusp near the right heart at the bottom of the screen

What are the 5 views to evaluate the aortic valve?
Mid-esophageal Aortic Valve Short Axis
Mid-esophageal Aortic Valve Long Axis
Mid-esophageal 5 chamber view
Deep Transgastric Long Axis
Transgastric Long Axis
How do you determine which coronary cusp is which in the long axis?

Right Coronary Cusp = Bottom of the Screen
Left or NON Coronary Cusp = Top of the Screen
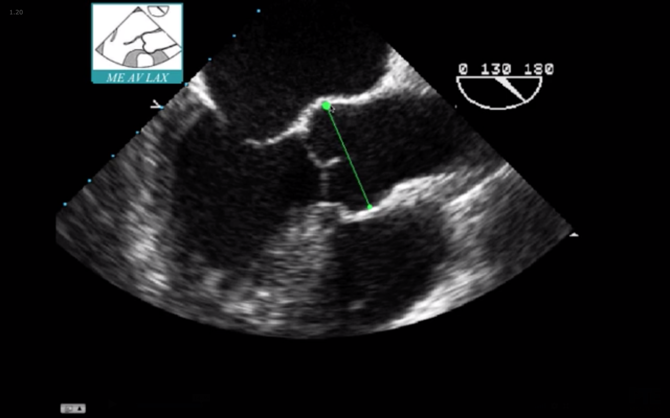
What is the measurement seen here?

Sinus of Valsalva

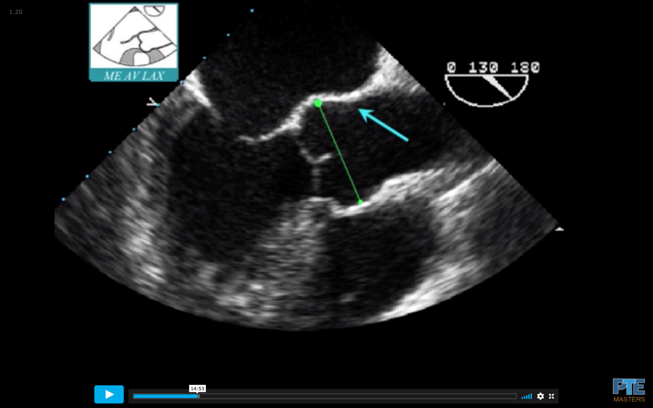
What is the blue arrow indicating?

Sinotubular Ridge or Sinuotubular Junction

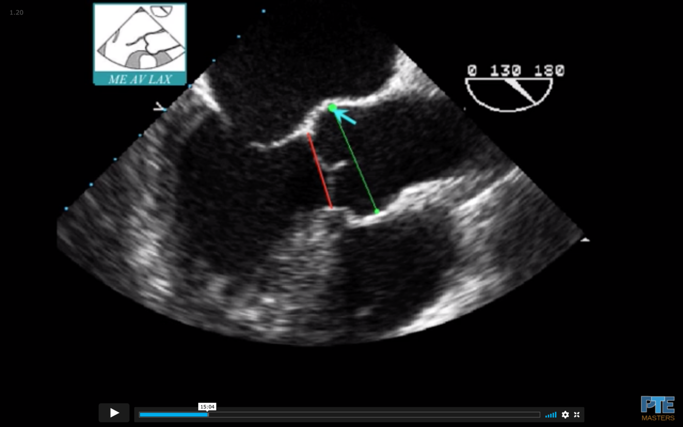
What is seen in red?

Aortic Annulus

What is the normal size of the Aortic Root in an adult?
What measurement is termed dilated?
Normal = < 40 mm (4.0 cm)
Dilated = >40 mm
Why is the deep transgastric long axis view used to assess the aortic valve? (2 major measurement reasons)
Align Doppler parallel to blood flow through aortic valve
1. Measure Cardiac Output
2. AV Area by continuity equation
3. Dimensionless index to assess Aortic Stenosis
Draw a Pressure Volume loop of cardiac cycle labeling:
Systole
Diastole
Opening and closing of Mitral and Aortic Valves
Solid Line = Systole
Dotted Line = Diastole
MO and AO = Opening of Left sided valves
MC and AC = Closing of Left sided valves

What are the 3 phases of LV change for aortic insuffiency?
List what happens from the compensated AI form to the decompensated AI in terms of:
LV End Diastolic Volume
LV End Systolic Volume
Shortening Fraction
LVEF%
Summary:
LVEDD rises (Heart dilates)
LVESD rises (Due to dilation)
Sarcomere Fraction Drops (Falls of Frank Starling Curve)
EF% drops

What is the initial medical/surgical management of AI patients?
Serial TTE to look for:
1. LV dysfunction
2. Dilation
When you evaluate for AI, what are the goals of TEE?
What are the 7 ways to quantitatively assess severity of AI?
What TEE view is utilized to assess AI Jet / LVOT diameter to assess quantitatively for AI?
Mid Esophageal Aortic Valve Long Axis
AI Jet / LVOT diameter to assess quantitatively for AI:
What determines:
Mild (1-2+) vs. Moderate (2-3+) vs. Severe (3-4+)?
Mild (1-2+) = <25%
Moderate (2-3+) = 25-64%
Severe (3-4+) = >65%
What TEE view is utilized to assess AI area / LVOT area?
ME AV Short Axis
A.I. area / LVOT area criteria for:
Mild AI?
Moderate AI?
Severe AI?
AI area / LVOT area criteria for:
Mild AI = <5%
Moderate AI = 5-59%
Severe AI = >60%
What TEE view using jet depth is best used to quantify A.I. severity?
ME Long Axis
How do you quantify Jet Depth in the Mid-Esophageal Long axis view?
Include:
Trivial
Mild
Moderate
Severe
Trivial = LVOT
Mild = Mid Anterior Leaflet of Mitral Valve
Moderate = Tip of Anterior Leaflet of Mitral Valve
Severe = Papillary Muscle Head
What are the two TEE views you could assess vena contracta to determine A.I. severity?
Mid Esophageal Long Axis
What are the two criteria used to measure the vena contracta to determine A.I. severity?
Width = > 6mm
Area = > 7.5 mm2
What TEE views are used to determine slope of the AR Jet Decay?
TG Deep Long Axis
TG Long Axis
What are the criteria for determining AI severity using slope of the AR Jet Decay in the TG TEE views?
>/= 2 m/s for Moderate A.I.
>/= 3 m/s for Severe A.I.