Carney Complex
Abnormal skin pigmentation
Atrial/cutaneous myxomas
endocrine abnormalities
asst w large cell calcifying sertoli cell tumor

Atrial myxoma
most common primary tumor of heart
may show heterologous elements/hematopoieisis
R atrial tumors (familial)
L atrrial tumors (sporadic)
+calretitin, CD34, CD31
PRKAR1 mx

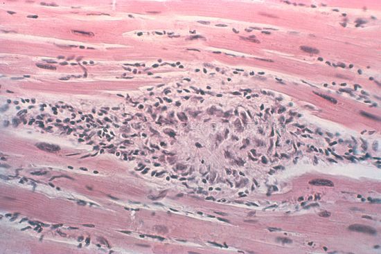
idiopathic giant cell myocarditis
severe fatal disorder affecting young healthy adults
asociated with autoimmune diseases
presentation: congestive heart failure,necrosis, mixedinfiltrate, giant cells WITHOUT granulomas

cardiac sarcoidosis
necrosis uncommon
whites = blacks
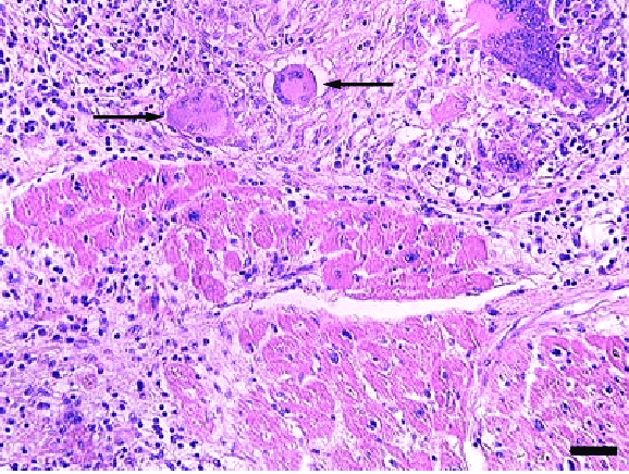
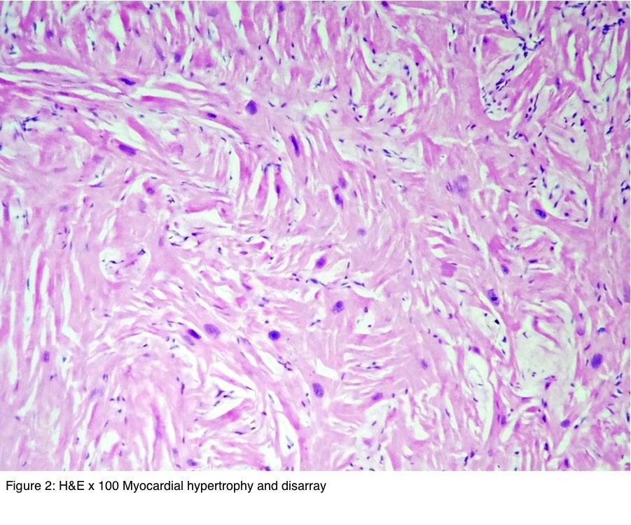
hypertrophic cardiomyopathy
mx in genes encoding sarcomeric proteins
Beta myosin heacy chain

Dilated cardiomyopathy
ass’t with beta myosin heavy chain mx, and DMD mx (dystrophin)
Hereditary forms mostly AD
Chagas disease
trypanasoma cruzi
infection of myocytes
Reduviid bug (kissing bug)
C shaped organism with undulating membranes
Aschoff bodies
collections of plump macrophages and lymphocytes and plasma cells in Rheumatic heart disease
RHD:most common cause of mitral stenosis, caused by Strep pyogenes (GAS) beta hemolytic

Amyloid
Primary: plasma cell dyscrasia
Secondary: inflammation
age related systemic senile amyloid:transthyretin
Metachromatic w/crystalviolet. other stains:congored, toluidine blue, and thioflavine
Congo red sections should be thicc(10um)
vascular amyloid usually causeshemorrhage (notthrombosis)
most common types in lung: AL, AA, transthyretin
Papillary fibroelastoma
Benign
primary cardiac yumor affecting valves (aortic)
similar appearance to Lambl’s excrescenses
EVG highlighs elastic component

intramural cardiac myofibroma
hamartomatous. usually single. may have calcs/cysticdegeneration
myofibroblastic origin
See in GORLIN syndrome
PTC mx
+vimentin, SMA, - S100, desmin, myoD
Gorlin syndrome
nevoid basal cell carcinoma syndrome
low frequency of intramural cardiac myofibromas
PTC mx
9q22.3
Eosinophilic myocarditis
Ddx: hypersensitivity myocarditis (abx antiD, antiC)
Hypereosinophilic syndrome
allergy
Parasitic infection
hematologic makignancy
cardiac allograft vasculopathy
Main cause of death in long term transplant
itimal thickening
inflammatory infiltrate with or w/out myocyte damage
Quilty effect: dense endocardial lymphocytic infiltrate. NO ADVERSE prognostic
cardiac rhabdomyoma
multiple well circumscribed tumor nodules
large vacuolated cells
MOST common cardiac tumor in kids
50% of kids with tuberous sclerosis
non-invasive, non metastasizing, may regress
+desmin, vimentin,actin, myoglobin
tuberous sclerosis
mutations in TSC1 (hamartin)
and TSC2 (tuberin)
may have angiomyolipomas
hereditary hemochromatosis
HFE gene mx C282Y
Alkaptonuria
Blue/blackpigmentation in tissues/urine
due to increased homogentisic acid
stages of myovcadial infarction
<12 hours No microscopic change
24 hours; coagulative necrosis with wavu fibers (elongated/narrow). some neutrophils in spaces
3-4 days Dense neuts
7-10 days removal of dead myocytes by M0
10-14 days granulation tissue, hyperemic
>14 days, fibrous scar
HACEK organisms
Infective endocarditis
Haemophilus aphrophilus
Actinobacilus actinomycetemcomitans
Cadiobacterium hominis
Eikenella corrodens
Kingella kingii
Found in culture negative endocarditis
Although Staph epi most common on prosthetic valves
Mitral valve prolapse
myxomatous degeneration of mitral valve
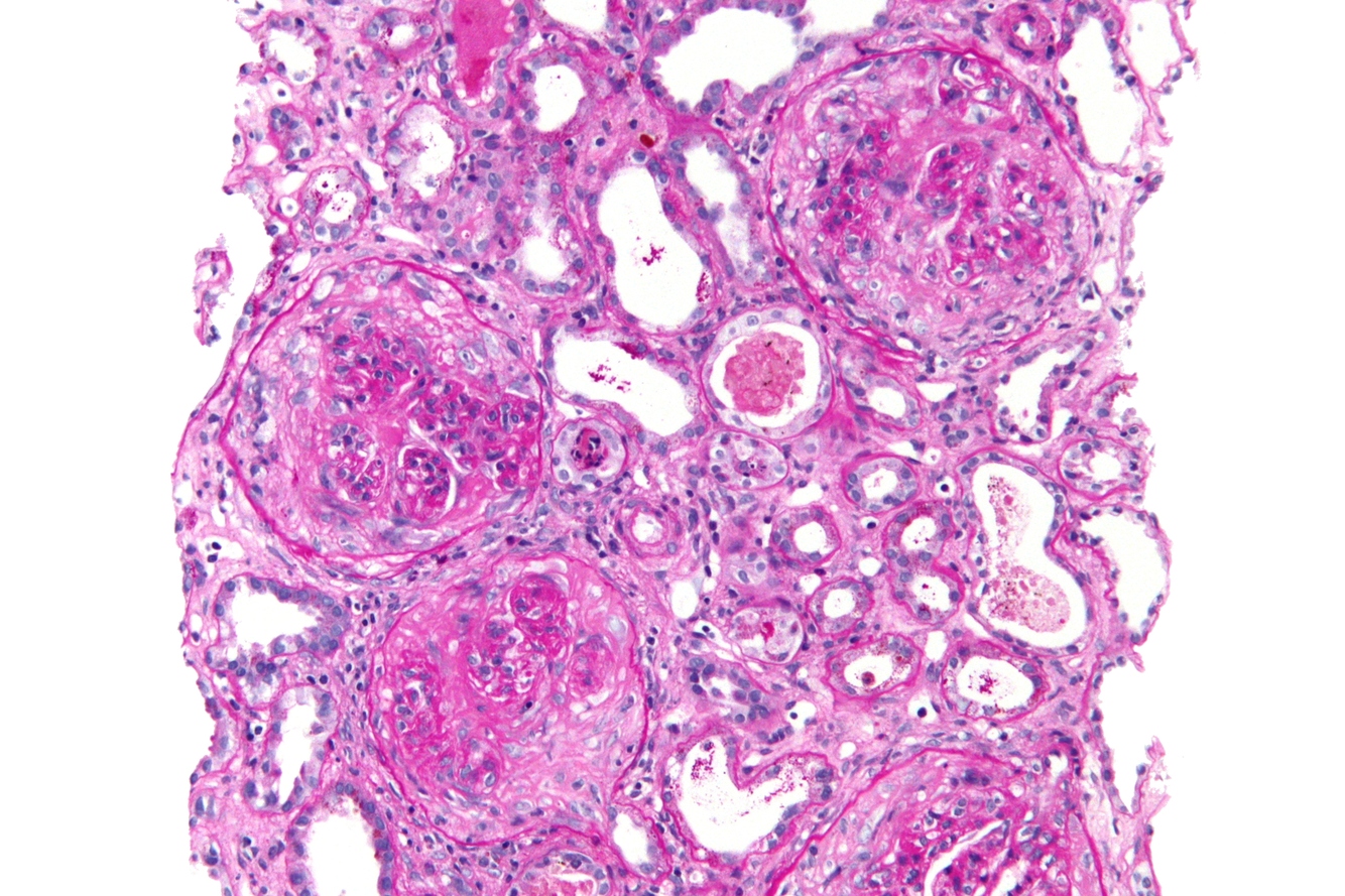
Goodpasture’s disease
anti GBM disease
can also be seen in small vessel (ANCA) vasculitis
Histology: crescentic glomerulonephritis with linear IgG and C’ on basement mmb
Ab against proteinase 3 (cANCA) or myeloperoxidase (pANCA)
limited to ffecting glomerularand alveolar caps (not small arteries)
linearIgG can be seen in antiGBM, fibrillary glomerulonephropathy, and diabetic glomerulosclerosis

ANCA vasculitis
see livedo reticularis, net-line pattern of red-blue skin discoloration
pulmonary renal syndrome
Wegener’s granuomatosis
(granulomatosis with polyangitis if you aren’t a Nazi)
nose sinuses throat, lungs, kidneys
cough +blood in urine
granulomatous necrotizing inflammation of lungs/sinuses
target is cANCA