Anatomy of the appendix
The appendix (or vermiform appendix; also cecal [or caecal] appendix; vermix; or vermiform process) is a blind-ended tube connected to the cecum, from which it develops in the embryo. The cecum is a pouchlike structure of the colon, located at the junction of the small and the large intestines.

Pathophysiology of appendicitis


Clinical features of appendicitis


Other presentations of acute appendicitis


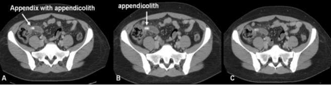
Making the diagnosis of appendicitis

Cardinal features of acute appendicitis

Special points in the history and examination
Differential diagnosis


Scoring system for appendicitis


Management of suspected appendicitis

The ‘grumbling’ appendix

Complications of appendicitis

Intraperitoneal complications:
Early or late (even many years later)
Late:

Technique of appendicectomy

