Mnemonic: Neutrophils in the horn
PTICSS: Psoriasis, Tinea, Impetigo, Candida, Seborrheic dermatitis, Syphilis
Eosinophilic spongioses
Herpes gestationis
Arthropod bite
Allergic contact
Pemphigus
Pemphigoid
Incontinentia pigmenti
Erythema toxicum
PEH with pus
Halogenoderma
Chromomycosis
Blastomycosis
Granuloma inguinale
Leishmaniasis
Pemphigus vegetans
Neutrophils in the dermal papillae
Bullous pemphigoid
Lupus (bullous)
EBA
Linear IgA disease
DH
Subcorneal pustule
Candida
Acropustulosis of infancy
Transient neonatal pustular melanosis
Sneddon-Wilkinson
Impetigo
Pustular psoriasis
SSSS
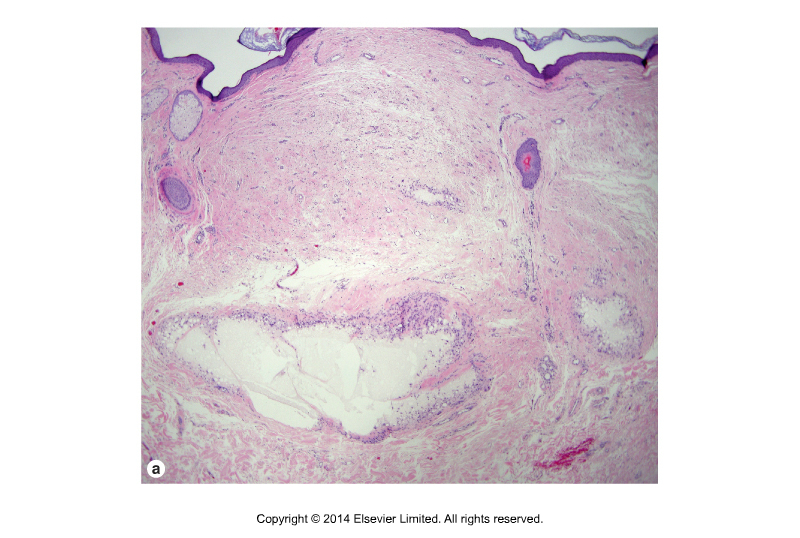
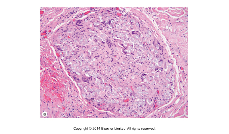
Stellate abscess (palisaded granuloma with neutrophils)
Cat-scratch disease
Lymphogranuloma venereum
Atypical mycobacterium
Tularemia
Sporotrichosis
Parasitized histiocytes
Penicillium marneffei
Histoplasmosis
Granuloma inguinale
Rhinoscleroma
Leishmaniasis
Big 5 vasculitides
Wegener’s
Churg-strauss
Rheumatoid
Septic
Polyarteritis nodosa
Spindle cells lesions in the dermis
Spindle cell SqCC
Leiomyosarcoma
Atypical fibroxanthoma
Melanoma

Desmosome

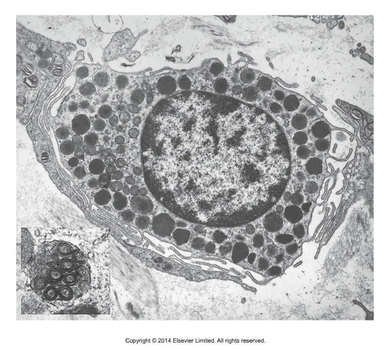
Langerhans cell (with Birbeck granules)

Premelanosome

Tonofibrils

Eosinophil

Mast cell

Merkel cell

Electrocautery

Gelfoam

Aluminum chloride

Monsel’s solution (ferric subsulfate)

Triamcinolone

Splinter

Suture

Amalgam (tattoo)