What is the anatomical snuffbox?
This is also known as the radial fossa. It is a triangular depression found on the lateral aspect of the dorsum of the hand. IT is located at the level of the carpal bones, and best seen when the thumb is extended.

Borders?
As the snuffbox is triangular in shape, it has three borders, a floor and a roof.
Note: these borders are described when the arm is supinated.

Contents?
The main contents of the snuffbox are the radial artery, a branch of the radial nerve, and the cephalic vein.
1) Radial artery - crosses the floor of the anatomical snuffbox, then turns medially and travels between the heads of the adductor pollicis muscle. The radial pulse can be palpated in some individuals by placing two fingers on the proximal portion of the anatomical snuffbox.
2) Superficial branch of the radial nerve - found in the skin and subcutaneous tissue of the anatomical snuffbox. It innervates the dorsal surface of the lateral three and half digits, and the associated area on the back of the hand.
3) Cephalic vein - arises from the dorsal venous network of the hand and crosses the anatomical snuffbox to travel up the anterolateral aspect of the forearm.

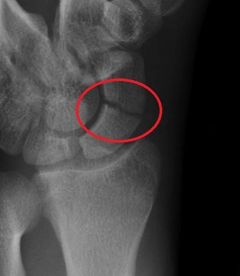
Clinical relevance - scaphoid fracture?
THe scaphoid bone of the hand is the most commonly fractured carpal bone - typically by falling on an outstretch hand.
In a fracture of the scaphoid, the characteristic clinical feature is pain and tenderness in the anatomical snuffbox.
The scaphoid is at particular risk of avascular necrosis after fracrure because of it so-called ‘retrograde blood supply’ which enters at its distal end. This means that a fracture to the middle (or ‘waist’) of the scaphoid may interrupt the blood supply to the proximal part of the scaphoid bone rendering it avascular.
Patients with a missed scaphoid fracture are likely to develop osteoarthritis of the wrist in later life.
