Artefacts Flashcards

(25 cards)

1
Q

How does Phase mismapping (motion) appear?

A

Ghosting. Replicates anatomy along the image.

This always happens in the phase direction

How well did you know this?
1
Not at all
2
3
4
5
Perfectly
2
Q

What causes phase mismapping (motion)

A

Motion

How well did you know this?
1
Not at all
2
3
4
5
Perfectly
3
Q

What are some remedies for phase mismapping?

A
  1. Swap phase/frequency
  2. Use pre-sat pulses
  3. Respiratory compensation
  4. Cardiac gating
  5. Gradient motion re-phasing
  6. Immobilization
  7. Communication with patient
  8. Sedation
How well did you know this?
1
Not at all
2
3
4
5
Perfectly
4
Q

How does the aliasing (wrap-around) artifact appear on the image?

A

Anatomy outside of FOV wraps inside of FOV.

Appears on opposite side of image.

Can be in frequency or phase direction

How well did you know this?
1
Not at all
2
3
4
5
Perfectly
5
Q

What causes aliasing?

A

Anatomy outside of FOV produces signal. This signal is encoded and placed inside FOV

How well did you know this?
1
Not at all
2
3
4
5
Perfectly
6
Q

How can you remedy aliasing?

A
  1. Increase FOV.
  2. Use pre-saturation bands.
  3. Oversampling.
How well did you know this?
1
Not at all
2
3
4
5
Perfectly
7
Q

How does the truncation artefact appear on an image?

A

Banding at the interface of high and low signal. High and low intensity bands.

How well did you know this?
1
Not at all
2
3
4
5
Perfectly
8
Q

What causes the artefact truncation?

A

Under-sampling of data (too few lines of k-space)

How well did you know this?
1
Not at all
2
3
4
5
Perfectly
9
Q

How can you remedy truncation artefacts?

A
  1. Increase matrix size.
  2. Decrease pixel size
How well did you know this?
1
Not at all
2
3
4
5
Perfectly
10
Q

How does the RF artefact (zipper artefact)

A

RF lines will run parallel to the phase direction, perpendicular to the frequency direction.

Looks like a zipper. Alternating light and dark.

Happens in frequency direction

How well did you know this?
1
Not at all
2
3
4
5
Perfectly
11
Q

What causes RF (zipper) artefact?

A

RF interference entering room

How well did you know this?
1
Not at all
2
3
4
5
Perfectly
12
Q

How do you remedy RF artefact?

A
  1. Remove electronic objects
  2. Maintain proper humidity in room
  3. Call engineer
How well did you know this?
1
Not at all
2
3
4
5
Perfectly
13
Q

How does magnetic susceptibility artefact appear?

A

Distortion of image and voids of signal.

Frequency and phase direction.

How well did you know this?
1
Not at all
2
3
4
5
Perfectly
14
Q

What causes magnetic susceptibility artefact?

A

Ferromagnetic metal such as braces, screws, or pins.

Natural iron of a haemorrhage.

How well did you know this?
1
Not at all
2
3
4
5
Perfectly
15
Q

How can you remedy magnetic susceptibility artefact?

A
  1. Thorough screening
  2. Use SE or TSE (rather than GRE)
  3. increase bandwidth
How well did you know this?
1
Not at all
2
3
4
5
Perfectly
16
Q

What does the partial volume effect look like?

A

Inhomogenous signal. More pronounced in area of body where large difference in signals.

17
Q

What causes partial volume effect?

A

Different anatomical structures with different signals in same pixel

18
Q

How do you remedy partial volume effect?

A

Reduce pixel size

19
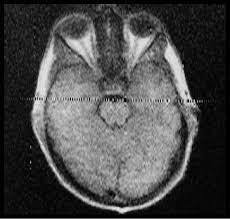
Q

What artifact is seen in this image?

A

crosstalk

Dark bands of signal loss are seen crossing horizontally through the axial acquisition

20
Q

What artifact is seen in this image?

A

magic angle artifact

21
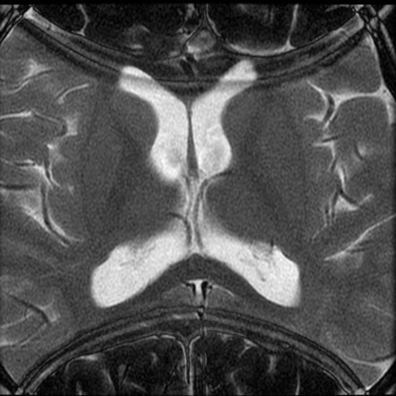
Q

What artifact is seen in this image?

22
Q

What artifact is seen in this image?

A

gibbs/ truncation

23
Q

What artifact is seen in this image?

A

Zipper artifact

24
Q

What artifact is seen in this image?

A

Phase mismapping (motion)

25
What artifact is seen in this image?
Magnetic susceptibility artifact