Inflammatory Arthritide: - Symmetrical distribution - Bilateral uniform loss of joint space - Rat Bite erosions - Pannus formation - Localized periarticular osteoporosis - DIP’s spared - Atlanto-axial instability - Haygarth’s Nodes @ MCP (knuckle) - Swan Neck / Boutonniere deformity - Ulnar/Fibular deviation (Lanois) of fingers/toes
Rheumatoid Arthritis (RA)
Rheumatoid Arthritis in children
Still’s Disease
What Labs to diagnose RA?
+ RA Latex + FANA + ESR + CRP Normocytic Normochromic Anemia
RA when presenting with dry eyes and mouth is called…
Sjogren’s
Inflammatory Arthritide: - LBP with morning stiffness - Starts in the SI joints - Males 15-35 yo - Associated with iritis - Bilateral SI joint fusion (ghost joints) - Shiny corner sign (early) in spine - B/L marginal syndesmophytes - Squaring of the VB’s - Bamboo Spine - Dagger Sign - Trolley Track sign - Poker spine

Ankylosing Spondylitis
Labs to dx Ankylosing Spondylitis (AS)
+ HLA B27 + ESR
Identical to AS in the pelvis with GI dysfunction
Enteropathic Arthropathy
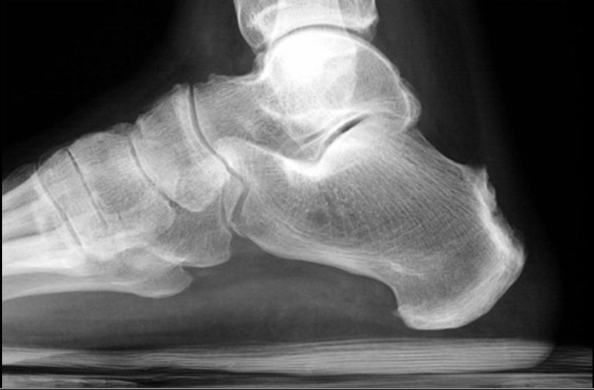
Inflammatory Arthritide: - Silver Scaly lesions on extensors - Pitted Nails - Cocktail sausage digits - Males 20-50 - Increase in joint space - Mouse ear deformity - Pencil in cup deformity - Ray sign - Atlanto-axial instability - Non-marginal syndesmophytes in spine
Psoriatic Arthritis
Labs to dx Psoriatic Arthritis
+ HLA B27
Inflammatory Arthritide: - Males 20-30 yo +/- - Urethritis - Conjunctivitis - Arthritis - Caused by Chlamydia - Calcaneal spur - Fluffy periostitis - Non-marginal syndesmophytes in spine
“Can’t see, Can’t pee, Can’t dance with me”

Reiter’s aka Reactive Arthritis
Labs to dx Reiter’s
+ HLA B27
Inflammatory Arthritide: - Females - Sunlight precipitates a skin rash on face (malar/butterfly rash) - Oral ulcers - Discoid lesions - Alopecia - Raynaud’s phenomenon (white, blue, red fingers) - Can cause Ulnar Deviation of Phalanges with no joint destruction - Positive Rebound effect
Systemic Lupus Erythematosus (SLE)
What labs to dx SLE
+ LE prep + FANA + RA latex + ESR Leukopenia Thrombocytopenia
How do you manage SLE?
Co-manage with Rheumatologist
Inflammatory Arthritide: - Females 30-50 yo - Associated with erosions of the Distal Tufts of Phalanges - Associated with the CREST syndrome

Scleroderma

Scleroderma labs to dx
+ FANA + RA latex (30%)
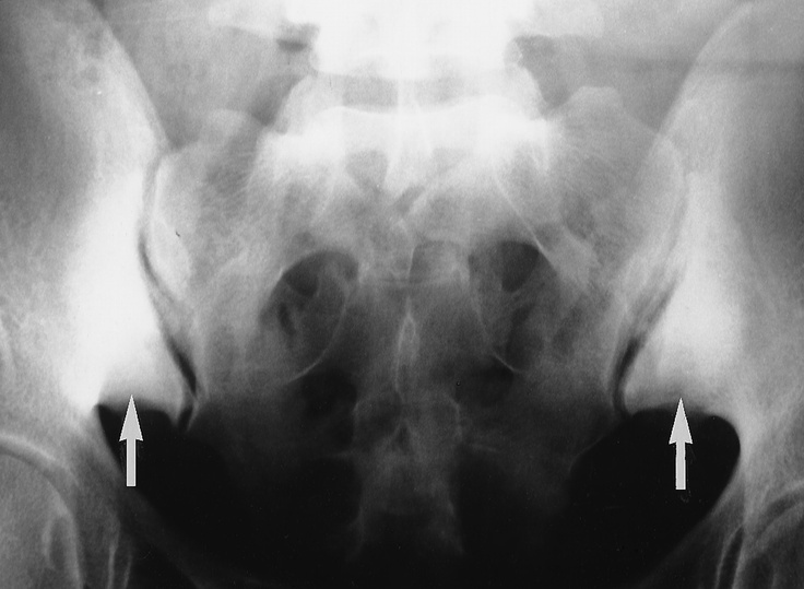
Inflammatory Arthritide: - Multiparous females 20-40 yo - Bilateral symmetric triangular sclerotic areas on the lower half of the ilium. - Joint space is normal

Osteitis Condensans Ilia ana Osteitis Triangularis
Labs & Case management for Osteitis Condensans Ilia
Labs: None - self resolving Mgmt: Trochanteric belt for stability
Degenerative Arthritide: - Non-inflammatory - MC involves weight bearing joints - Usually stiffens with rest and improves with activity - Complications include spinal stenosis and IVF encroachment
DJD aka Osteoarthritis
MC site of DJD in the spine
C5-C6
Radiographic signs: - IVD narrowing - Osteophytes - Endplate sclerosis

DJD in spine
Radiographic signs: - Heberden’s nodes (DIP) - Decreased joint space with sclerosis - Asymmetrical distribution - Non-uniform loss of joint space

DJD in Hand
Radiographic signs in the hip of decreased superolateral joint space with sclerosis

DJD of Hip
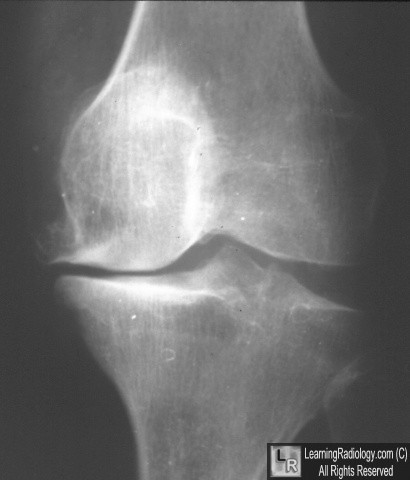
Radiographic signs in knee of decreased MEDIAL joint space with lateral space preserved

DJD of Knee