Arthrography Flashcards

(33 cards)

1
Q

What pathology is this showing?

A

A torn vs. healthy meniscus

How well did you know this?
1
Not at all
2
3
4
5
Perfectly
2
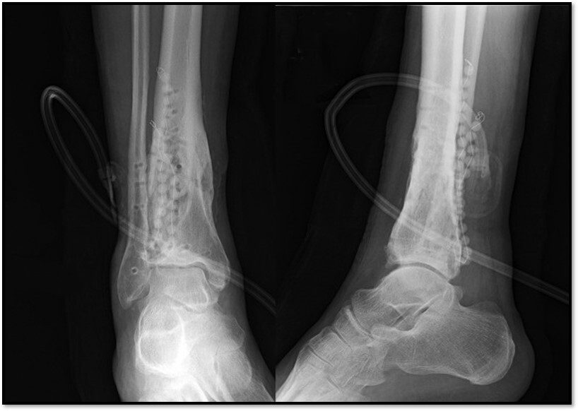
Q

What is this showing here?

A

Infected arthroplasty

How well did you know this?
1
Not at all
2
3
4
5
Perfectly
3
Q

What is this showing here?

A

Antibiotic leads

How well did you know this?
1
Not at all
2
3
4
5
Perfectly
4
Q

What process is this showing here?

A

Joint injection

How well did you know this?
1
Not at all
2
3
4
5
Perfectly
5
Q

What is this showing?

A

MR Shoulder with Contrast

How well did you know this?
1
Not at all
2
3
4
5
Perfectly
6
Q

What is arthrography?

A

Radiography of a joint, joint capsule, soft tissues or cartilage

How well did you know this?
1
Not at all
2
3
4
5
Perfectly
7
Q

T/F

Arthrography requires contrast to see structures

A

True

How well did you know this?
1
Not at all
2
3
4
5
Perfectly
8
Q

What modality is used for arthrography?

A

Requires fluoroscopy and potentially an overhead tube

How well did you know this?
1
Not at all
2
3
4
5
Perfectly
9
Q

T/F

Arthrography requires a sterile tray and set-up

A

True

How well did you know this?
1
Not at all
2
3
4
5
Perfectly
10
Q

What are the 3 contrast agents that were used in the past for arthrography?

A

1.Negative-air
2.Positive-iodinated compound
3.Double contrast-Both positive and negative

How well did you know this?
1
Not at all
2
3
4
5
Perfectly
11
Q

What are the cons to using Negative - Air contrast for an arthrogram?

A

-Large amounts needed (150 ml)
-Very painful (distention)
-Least accurate diagnosis

How well did you know this?
1
Not at all
2
3
4
5
Perfectly
12
Q

What are the benefits to using positive contrast for arthrography?

A

-Readily absorbed, greater accuracy
-Smaller amounts, less painful

How well did you know this?
1
Not at all
2
3
4
5
Perfectly
13
Q

What is the best of methods at producing an accurate diagnosis in arthrography?

A

A combination of positive and negative contrast

How well did you know this?
1
Not at all
2
3
4
5
Perfectly
14
Q

T/F

When using positive and negative contrast together, you need to increase the amount of contrast of each

A

False; Smaller amounts of both contrast agents used

How well did you know this?
1
Not at all
2
3
4
5
Perfectly
15
Q

What are the joints that arthrography evaluates?

A

Hip, Knee, Ankle, Shoulder. Elbow, Wrist

How well did you know this?
1
Not at all
2
3
4
5
Perfectly
16
Q

T/F

In Double Contrast Studies, joints are exercised and manipulated

17
Q

What views are done in double contrast studies in arthrography?

A

-Cross-table images
-Stress views

18
Q

What are the Pathologic indications for arthrography?

A

–Tears in joint capsule
–Tears or degeneration of menisci
–Ligament injury
–Loose bodies

19
Q

What is the radiographic criteria for arthrography?

A

-Entire articular capsule outlined
-Proper AP and lateral positions
-Markers

20
Q

Where is double Contrast injected for a meniscal injury?

A

Into the lateral aspect of the suprapatellar recess

21
Q

What views are done for meniscal imaging of the knee with arthrography?

A

-Images taken from prone to lateral to supine, rotating the knee 30 degrees each exposure
-Cross-table imaging required

22
Q

How many views can be done on a single image receptor in arthrography?

A

Six views per image receptor

23
Q

What modalities are used now in replacement for arthrography? Why??

A

-MRI and US
-Are non-invasive
-Less risk and better diagnosis

24
Q

T/F

MRI demonstrates MOST pathologies involving ligaments and tendons and joint capsule without needing an injection

25
# T/F Current arthrograms use negative contrast only
False; Positive
26
# T/F Arthrograms can use conventional X-ray
True
27
What equipment is needed on an Arthrogram Tray?
–Prep sponge –Fenestrated drape –Syringes –Flexible connector –Needles
28
What position is the patient placed in for an arthrogram; supine or prone?
Supine
29
Read over the procedure for an arthrogram:
1.EXPLAIN procedure to patient 2.Consent form signed 3.Patient supine 4.Preliminary image (for localization) 5.Aseptic procedure 6.Local anesthetic 7.May aspirate some fluid 8.Injection of contrast(s) into joint capsule under fluoroscopy
30
What are the current applications of arthrography?
1.Joint aspiration – sample sent to the lab to rule out infection 2.Joint injection – therapeutic to try and reduce pain in joint. -Like an oil change 3.Arthrogram Pre-MRI
31
What is an example of a pathology that requires MRI contrast?
A Labral tear in the shoulder
32
What contrast must be given for pathologies that cannot be seen on MRI without it?
Iodinated contrast and gadolinium mixed
33
# T/F Fluoro can be used to ensure that gadolinium has been injected into the joint
True