Arthrose Flashcards

(37 cards)

1
Q

Comment l’Osteoarthritis Research Society International (OARSI) définit l’arthrose?

A

incapacité du corps à réparer les tissus articulaires endommagés

How well did you know this?
1
Not at all
2
3
4
5
Perfectly
2
Q

Vrai ou faux: L’arthrose est toujours la conséquence d’un stress anormal ou d’une blessure

A

Faux: elle peut aussi être causée par le vieillissement

How well did you know this?
1
Not at all
2
3
4
5
Perfectly
3
Q

Quelles sont les articulations les plus souvent affectées par l’arthrose?

A

les genoux, les hanches et les articulations des mains et de la colonne vertébrale

How well did you know this?
1
Not at all
2
3
4
5
Perfectly
4
Q

Arthose - Au qestionnaire, il faut rechercher une douleur mécanique. Comment se manifeste-t-elle?

A

une exacerbation par la mise en charge ou l’utilisation de l’articulation atteinte

How well did you know this?
1
Not at all
2
3
4
5
Perfectly
5
Q

Les douleurs nocturnes sont-elles typiques de l’arthrose?

A

Les douleurs nocturnes ne sont pas typiques d’arthrose, mais peuvent parfois survenir

How well did you know this?
1
Not at all
2
3
4
5
Perfectly
6
Q

Une hanche arthrosique se manifestera classiquement par une douleur ___________.

A

inguinale

How well did you know this?
1
Not at all
2
3
4
5
Perfectly
7
Q

Vraiou faux: Une douleur à la hanche latérale est suspecte d’arthrose.

A

Faux, une douleur latérale à la hanche est fort probablement causée par une bursite trochantérienne ou une douleur radiculaire lombaire.

How well did you know this?
1
Not at all
2
3
4
5
Perfectly
8
Q

Un genou arthrosique donnera classiquement de la douleur à l’interligne articulaire (interne/externe).

A

interne

How well did you know this?
1
Not at all
2
3
4
5
Perfectly
9
Q

Est-ce que les sx suivants sont peuvent être présents en arthrose:
- ankylose articulaire
- gonflement articulaire
- déformation

A

oui

How well did you know this?
1
Not at all
2
3
4
5
Perfectly
10
Q

Arthrose de l’épaule: quels mvmt sont difficiles?

A

activités avec mains au-dessus de l’épaule (rangement dans les armoires)

How well did you know this?
1
Not at all
2
3
4
5
Perfectly
11
Q

Quel est le test le plus sensible pour l’arthrose de la hanche?

A

flexion et rotation interne

How well did you know this?
1
Not at all
2
3
4
5
Perfectly
12
Q

Imagerie pour dx arthrose

A

Rx DEBOUT
Genou: jambe 30degrés PA

How well did you know this?
1
Not at all
2
3
4
5
Perfectly
13
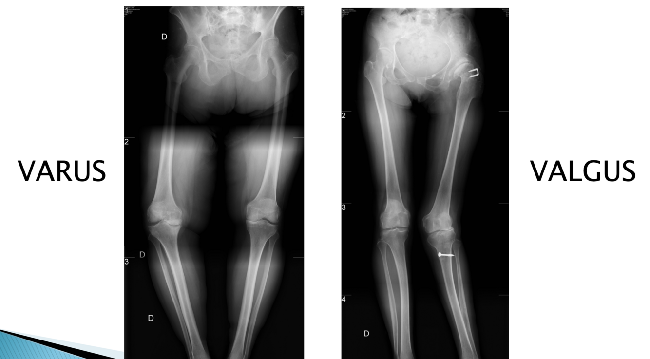
Q

E/P arthose: alignement

Varus ou valgus le plus fréquent?

A

Varus car ménisque interne prend 60% poids du corps donc s’effrite plus facilement

Valgus + PAR

How well did you know this?
1
Not at all
2
3
4
5
Perfectly
14
Q

Boiterie de Trendelenburg: de quel côté le pt penche?

A

du même côté que la hanche malade

How well did you know this?
1
Not at all
2
3
4
5
Perfectly
15
Q

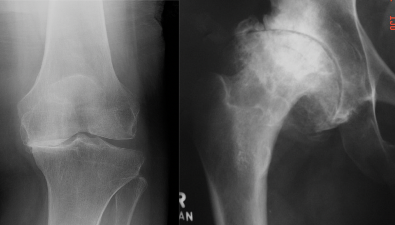
Quels sont les 4 signes radiologiques de l’arthrose?

A
  1. Le pincement articulaire;
  2. La sclérose sous-chondrale;
  3. Les ostéophytes;
  4. Les kystes sous-chondraux

kystes sous-chondraux plus rares

How well did you know this?
1
Not at all
2
3
4
5
Perfectly
16
Q

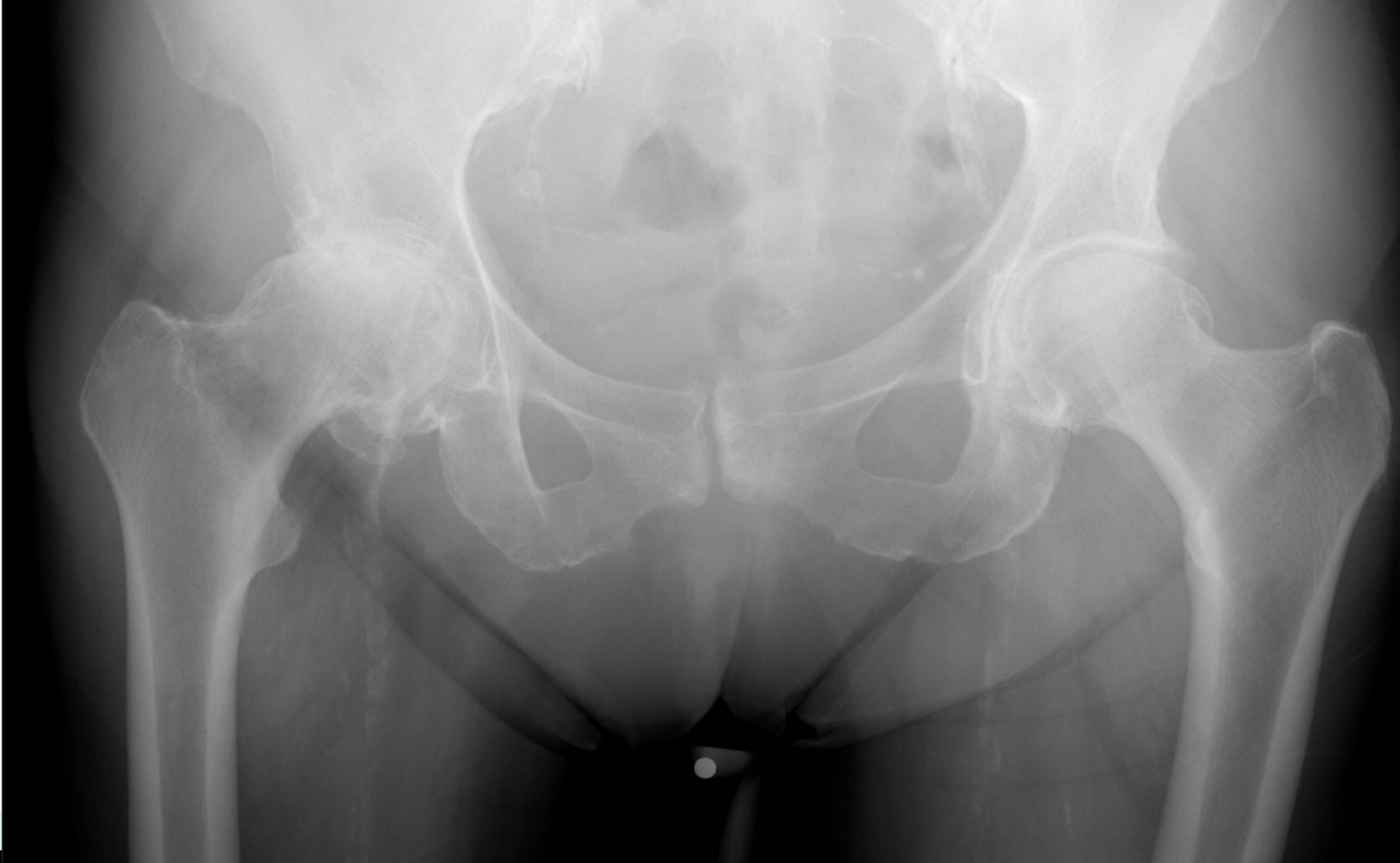
Rx: atteinte mécanique vs inflammatoire

A

Mécanique: arthrose, usure asymétrique
Inflammatoire: atteinte concentrique diffuse

17
Q

Doit-on demander une IRM pour investigation d’arthose chez pts >60 ans?

A

NON, rx suffisante, rôle très limité

18
Q

Inflammatoire vs mécanique

A

Gauche mécanique
Droite inflammatoire

19
Q

Pt >60 ans
On voit déchirure méniscale à l’IRM, que faire?

A

Rien, c’est pour ça qu’on fait pas d’IRM chez pts >60 ans pour arthrose

Tx identique à arthrose, peut pas opérer

20
Q

Tx non-pharmaco arthrose: canne
De quelle côté la tenir?

A

Côté opposé à l’articulation avec arthrose

21
Q

Tx arthrose: est-ce que les narcotiques sont un bon choix?

A

Non, arthrose ne se guérit pas. Donc devra être pris chroniquement avec risque de dépendance.

Commencer avec tylenol et ajouter AINS par la suite.

22
Q

Arthrose: quels sont les deux infiltrations possibles?

A
  • cortisone
  • acide hyaluronique (viscosuppléance)
23
Q

Les infiltrations de cortisone sont indiquées dans les arthroses légères, modérées et sévères. Lorsqu’efficaces, ces dernières peuvent être données de façon sécuritaire jusqu’à un maximum de _ fois par année.

24
Q

Injection de cortisone: dans quelles articulations peut-on faire l’infiltration sans guidage échographique?

A

Épaule
Genou

25
Injections cortisone vs acide hyaluronique Lequel est le moins coûteux? Lequel dure le plus longtemps? Est utile en arthrose léger/modéré?
Cortisone AH AH
26
Un patient avec arthrose qui marche beaucoup est bon candidat pour chx?
Non, doit avoir une atteinte de la qualité de vie et distance de marche limitée
27
Arthrose: la chx est une option de tx de première ligne?
Non, tx conservateur épuisé
28
Tx chx de l'Arthrose: quelles sont les 3 options possibles?
l’ostéotomie, l’arthrodèse et l’arthroplastie
29
Arthroplastie: quelles articulations peuvent être traitées?
épaule, coude, poignet, hanche, genou, cheville.
30
Indication de l'ostéotomie
Mauvais alignement articulaire Permet aussi de retarder l'arthroplastie chez le jeune pt
31
Quel est le tx?
arthrodèse (fusion)
32
Arthroplastie: risque
Infection Prothèse durée de vie de 10-15 ans
33
Hérédité est-il un FDR de la coxarthrose?
Oui
34
Quel sport est un FDR pour la coxarthrose?
Course à pied
35
Complications PTH
◦ Infection 1-2% ◦ Luxation 1-2% ◦ Atteinte nerveuse 0.7-3.5% ◦ Atteinte vasculaire 0.2-0.3% ◦ Thrombophlébite 40-70% ◦ Embolie pulmonaire 1-2% ◦ Mortalité 1.2%
36
Réhabilitaiton PTH vs PTG: laquelle est la plus longue?
Il faut savoir que la réhabilitation d’une prothèse totale du genou est nettement plus difficile que pour une prothèse totale de hanche.
37
La thrombophlébite demeure la complication la plus fréquente reliée aux prothèses totales de hanches et de genoux. Comment la prévenir?
une thromboprophylaxie est indiquée chez tous les patients de façon à prévenir cette complication Hanche 35 jours Genou 14 jours