Artifacts Flashcards

(19 cards)

1
Q

Reveal the artifact

A

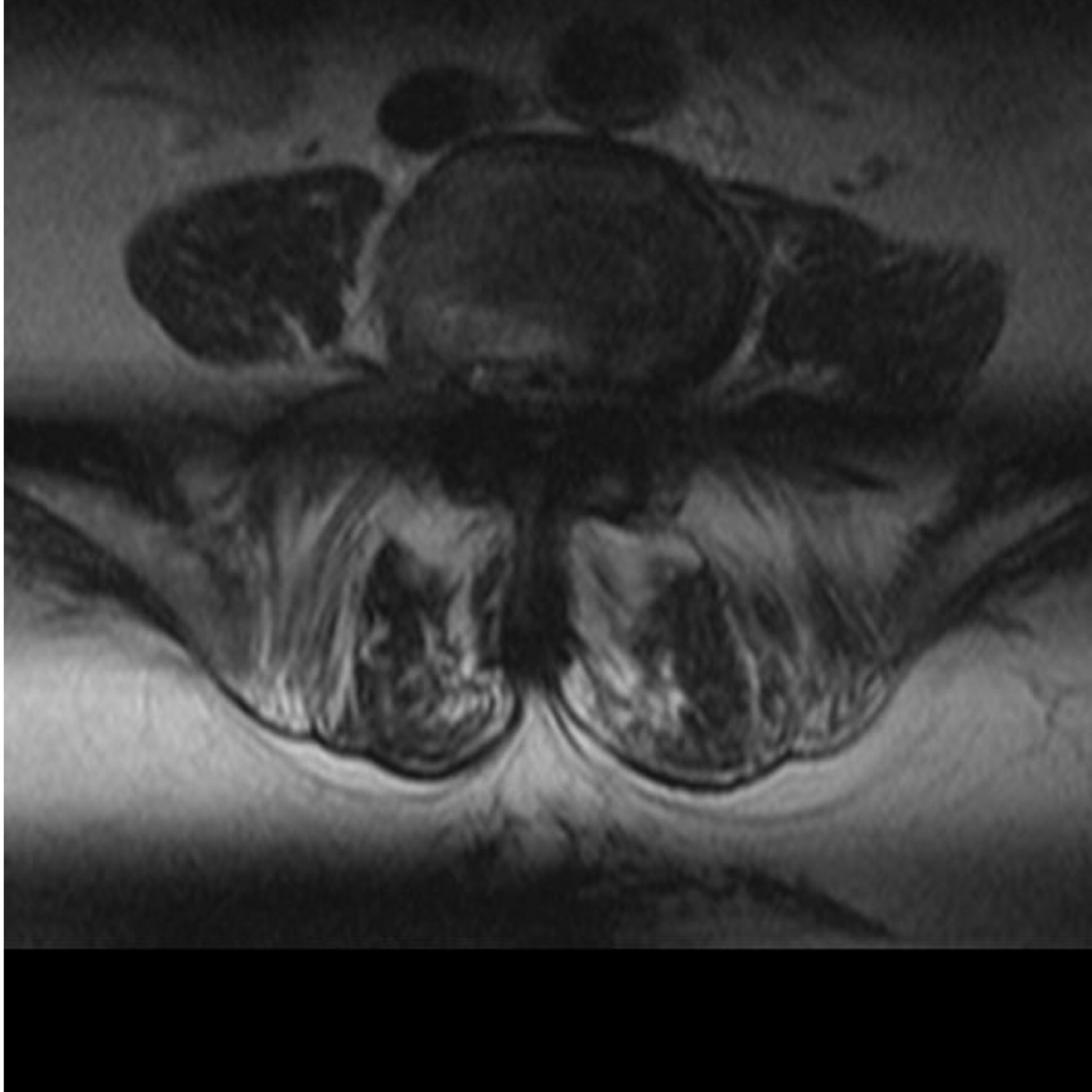
The slice-overlap artifact, also known as cross-talk artifact, is a type of MRI artifact, namely, the loss of signal seen in an image from a multi-angle, multi-slice acquisition, as is obtained commonly in the lumbar spine. It should not be confused with cross excitation which although similar in causation, is not due to angled images. If the slices obtained at different disk spaces are not parallel, they may overlap. If two levels are acquired at the same time, e.g. L4-L5 and L5-S1, the level acquired second will include spins that have already been saturated. This causes a horizontal band of signal loss crossing the image, usually most pronounced posteriorly. The dark horizontal band at the bottom of the following axial image through the lumbar spine demonstrates this artifact.

How well did you know this?
1
Not at all
2
3
4
5
Perfectly
2
Q

Reveal the artifact

A

Magnetic susceptibility artifacts (or just susceptibility artifacts) refer to a variety of MRI artifacts that share distortions or local signal change due to local magnetic field inhomogeneities from a variety of compounds. They are especially encountered while imaging near metallic orthopedic hardware or dental work, and result from local magnetic field inhomogeneities introduced by the metallic object into the otherwise homogeneous external magnetic field B0. These local magnetic field inhomogeneities are a property of the object being imaged, rather than of the MRI unit itself.

How well did you know this?
1
Not at all
2
3
4
5
Perfectly
3
Q

Reveal the artifact

A
  • Image not showing wrap around great on this example

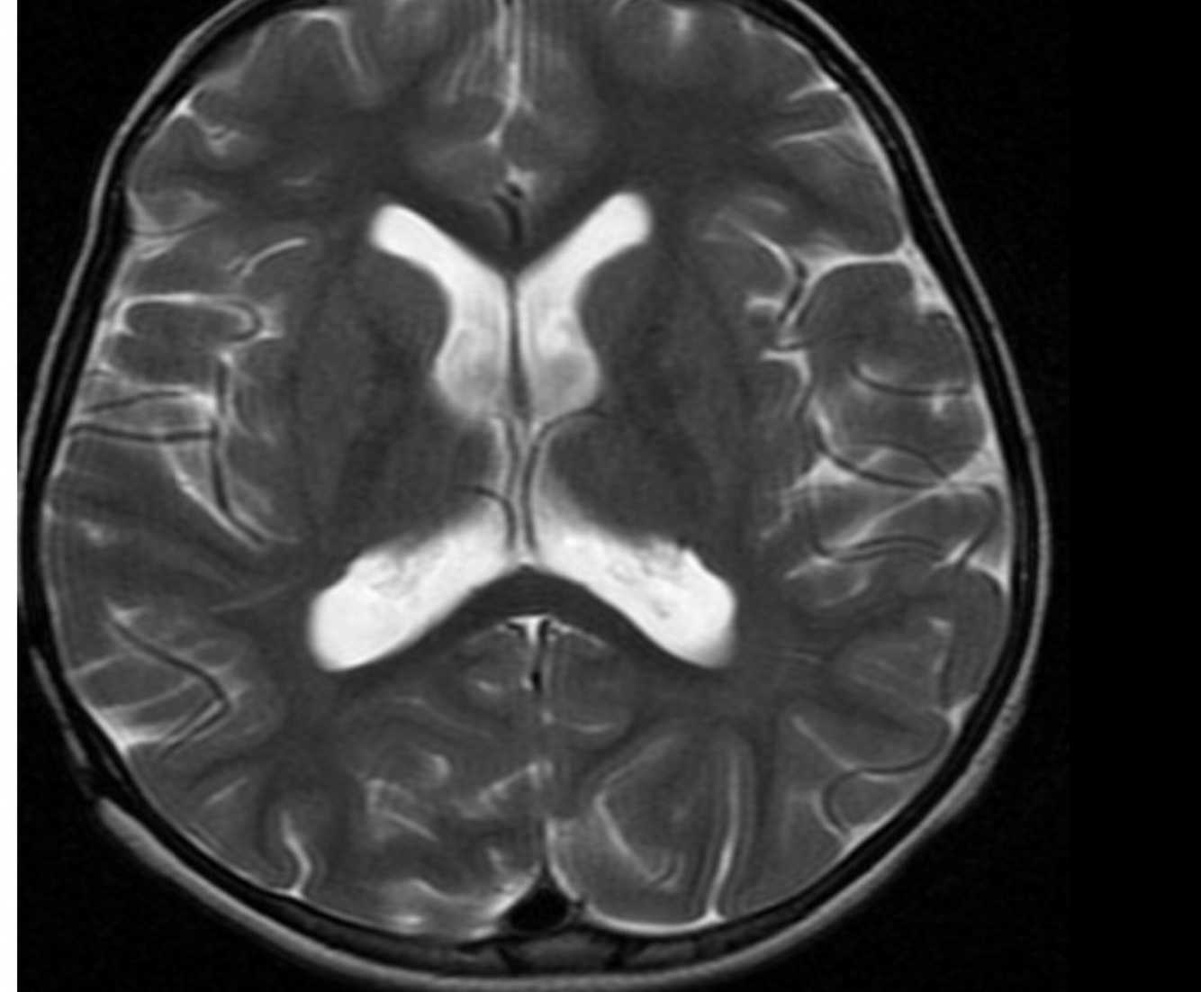
Aliasing on MRI, also known as wrap-around, is a frequently encountered MRI artifact that occurs when the field of view (FOV) is smaller than the body part being imaged. The part of the body that lies beyond the edge of the FOV is projected onto the other side of the image. This can be corrected, if necessary, by oversampling the data. In the frequency direction, this is accomplished by sampling the signal twice as fast. In the phase direction, the number of phase-encoding steps must be increased with a longer study as a result. However, if the FOV and matrix size (phase-encoding steps) are increased and simultaneously number of excitations (or number of signal averages) reduced to half, the imaging time can be kept constant with correction of aliasing. Case 1 demonstrates axial T2-weighted images of the brain that demonstrates aliasing. The first image shows wrap-around with the back of the head projected over the front because the phase-encoded direction is anterior-posterior and the FOV is too small.

Fix: phase and frequency directions reversal resulting in absence of the aliasing artifact. Oversampling is used in the phase direction to eliminate the aliasing.

How well did you know this?
1
Not at all
2
3
4
5
Perfectly
4
Q

Reveal the artifact

A

Herringbone artifact, also known as spike artifact, crisscross artifact, or corduroy artifact, is an MRI artifact related to one or few aberrant data point(s) in k-space. In image space, the regularly spaced stripes resemble the appearance of a fabric with a herringbone pattern. The artifact covers the entire image in a single slice or multiple slices.

How well did you know this?
1
Not at all
2
3
4
5
Perfectly
5
Q

Reveal the artifact

A

Moiré fringes are an interference pattern most commonly seen when acquiring gradient echo images using the body coil. Because of lack of perfect homogeneity of the main magnetic field from one side of the body to the other, aliasing of one side of the body to the other results in superimposition of signals of different phases that alternatively add and cancel. This causes the banding appearance similar to the effect of looking through two screen windows.

How well did you know this?
1
Not at all
2
3
4
5
Perfectly
6
Q

Reveal the artifact

A

Gamma Camera Image Artefact: Uniformity defect due to PMTs

In camera A an area of apparent decreased activity is observed in the lower spine. Repeated study on camera B shows a normal distribution. Uniformity image of camera A demonstrates defective PMT.

How well did you know this?
1
Not at all
2
3
4
5
Perfectly
7
Q

Reveal the artifact

A

Gamma Camera Image Artefact

Example of hydration and poor tuning is shown in the asymmetric images.

How well did you know this?
1
Not at all
2
3
4
5
Perfectly
8
Q

Reveal the artifact

A

Acoustic enhancement also called posterior enhancement or enhanced through transmission, refers to the increased echoes deep to structures that transmit sound exceptionally well. This is characteristic of fluid-filled structures such as cysts, the urinary bladder, and the gallbladder. The fluid attenuates the sound less than the surrounding tissue. The time gain compensation (TGC) overcompensates through the fluid-filled structure causing deeper tissues to be brighter. Simply it is seen as increased echogenicity (whiteness) posterior to the cystic area.

How well did you know this?
1
Not at all
2
3
4
5
Perfectly
9
Q

Reveal the artifact

A

The phenomenon of acoustic shadowing (sometimes, somewhat tautologically, called posterior acoustic shadowing) on an ultrasound image is characterised by a signal void behind structures that strongly absorb or reflect ultrasonic waves. It is a form of imaging artifact. This happens most frequently with solid structures, as sound conducts most rapidly in areas where molecules are closely packed, such as in bone or stones.

How well did you know this?
1
Not at all
2
3
4
5
Perfectly
10
Q

Reveal the artifact

A

Anisotropy is an artefact encountered in ultrasound, notably in muscles and tendons during a musculoskeletal ultrasound. In musculoskeletal applications, the artefact may prompt an incorrect diagnosis of tendinosis or tendon tear. When the ultrasound beam is incident on a fibrillar structure as a tendon or a ligament, the organised fibrils may reflect a majority of the insonating sound beam in a direction away from the transducer. When this occurs, the transducer does not receive the returning echo and assumes that the insonated area should be hypoechoic. This anisotropic effect is dependent on the angle of the insonating beam. The maximum return echo occurs when the ultrasound beam is perpendicular to the tendon. Decreasing the insonating angle on a normal tendon will cause it to change from brightly hyperechoic (the actual echo from tightly bound tendon fibres) to darkly hypoechoic. If the angle is then increased, the tendon will again appear hyperechoic. If the artefact causes a normal tendon to appear hypoechoic, it may falsely lead to a diagnosis of tendinosis or tear.

How well did you know this?
1
Not at all
2
3
4
5
Perfectly
11
Q

X-Ray Imaging Artefacts: Identify the artefact

A

Grid Line Artefact

How well did you know this?
1
Not at all
2
3
4
5
Perfectly
12
Q

X-Ray Imaging Artefacts: Critique the radiograph

A

Pony Tail

How well did you know this?
1
Not at all
2
3
4
5
Perfectly
13
Q

X-Ray Imaging Artefacts: Critique the radiograph

A

Static discharge - Black “lightning” marks represent static electricity artifacts.

This occurs due to films being forcibly unwrapped or due to excessive flexing of film. (Radiopaedia)

How well did you know this?
1
Not at all
2
3
4
5
Perfectly
14
Q

X-Ray Imaging Artefacts: Critique the radiographs

A

Detector Drop. Wireless flat-panel detectors get dropped. Drops can damage the detector system in several ways through fracturing of the flat-panel detector, through disruption of readout electronics, or through shifting gain and offsets.

Some vendor systems may have integrated diagnostics software to alert the user when detector drops are of sufficient magnitude for a risk to image quality and may provide follow-up instructions for how to respond.

Following instructions that direct a user to seek service or discontinue use of a damaged detector can prevent unnecessary repeated images.

However, because drops occur that can be withstood by detectors without apparent damage and because some systems do not provide user feedback about the effect of a detector drop, the truth of the drop’s effect is sometimes found in an image itself.

How well did you know this?
1
Not at all
2
3
4
5
Perfectly
15
Q

X-Ray Imaging Artefacts: Critique the radiographs

A

Backscatter. (a) Radiograph obtained with a portable radiographic unit shows a shadow of detector electronics, created by backscattered x-rays. (b) Image obtained when the detector was exposed upside down shows the detector electronics. (c) Highlighted radiograph shows the matching features (yellow) that appear on the image of the detector electronics (b) and on the patient radiograph with the backscatter artifacts (a), to highlight the similarities.

How well did you know this?
1
Not at all
2
3
4
5
Perfectly
16
Q

X-Ray Imaging Artefacts: Critique the radiograph

A

Detector calibration limitations. Clavicle radiograph shows that vertical lines appear in the background in the raw-radiation portion of the image (rectangle), where the exposure exceeds the ability of gain and offset corrections to create a flat-field image.

17
Q

CT Imaging Quality: Critique the image

A

Ring artifacts are a CT phenomenon that occurs due to miscalibration or failure of one or more detector elements in a CT scanner. Less often, it can be caused by insufficient radiation dose or contrast material contamination of the detector cover 2. They occur close to the isocentre of the scan and are usually visible on multiple slices at the same location. They are a common problem in cranial CT. Recalibration of the scanner will usually rectify the artifact. Occasionally detector elements need replacing which can be costly. The referring clinician should be notified that the concerning ring shadows are artifactual.

18
Q

CT Imaging Quality: Critique the image

A

Streaking artifact appears as multiple dark streaking bands positioned between two dense objects, for example at the posterior fossa. Streaking may also occur along the long axis of a single high attenuation object. It is the result of the polychromatic x-ray being ‘hardened’ at different rates according to rotational position of the tube/detector. Streak artifacts can sometimes effectively be reduced by increasing tube voltage (better penetration of high-density objects), or by using a dual-energy imaging approach. Many modern scanners are now also equipped with metal artifact reduction algorithms that utilise iterative reconstruction to limit beam hardening artifacts.

19
Q

CT Imaging Quality: Critique Image

A

“Motion artifact: Motion artifact is a patient-based artifact that occurs with voluntary or involuntary patient movement during image acquisition. Misregistration artifacts, which appear as blurring, streaking, or shading