DWI susceptibility artifacts in or around strong air tissue interfaces can be minimized by:
Increasing parallel imaging acceleration factor
All of the following artifacts except __________ occur along the phase encoding axis.
Chemical Shift
Motion is seen as a smearing across the image in the:
phase encoding direction
Magnetic susceptibility artifacts are more prominent with:
Gradient echo
A leak in the RF shielding can appear as
A zipper artifact in the frequency direction
A remedy for a Gibbs truncation artifact would be
Increase the number of phase encodings
A FID crushing artifact can be eliminated with the use of:
Increase in NEX and/or enabling Flow Compensation
Chemical shift artifact occurs because:
Fat and water precess at different frequencies
he ___________ to reduce chemical shift artifacts
Receiver bandwidth should be increased
Aliasing occurs because tissue outside the selected FOV is:
Undersampled
The ________ should be _______ to reduce chemical shift artifacts
Receiver bandwidth; increased
Which artifact mimics a syrinx in the spine?
Truncation
________ occurs when tissue outside the Field of View is undersampled, causing a misregistration of anatomical location, in the phase direction, but on the opposite side of the anatomical location, also known as wrap-around artifact.
Aliasing artifact
In what anatomical region would you expect to see chemical misregistration the least?
Cerebellum
Which artifact occurs because of chemical misregistration?
Chemical shift
Which of the following influences can lead to artifacts?
Magnetic field inhomogeneity,
machine hardware,
the patient
In a sagittal cervical spine MRI, what could be done to compensate for CSF flow artifacts?
Enable gradient moment nulling
Which would yield more chemical shift artifacts?
3T superconducting magnet
Which of the following could lead to poor fat suppression?
Inhomogeneity
A decrease in the voxel volume yields:
A decrease in partial volume averaging
To reduce the appearance of a Gibbs truncation artifact, the
Number of phase encodings must be increased
To minimize cross talk artifact
Increase the interslice gap
Image 84 displays what type of artifact

Magnetic susceptibility
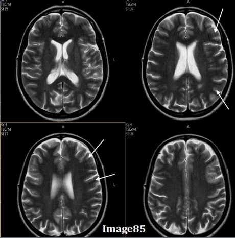
he arrows in Image 85 point to what kind of artifact?

Gibbs truncation