Artifacts *Pretty Important* Flashcards

(129 cards)

1
Q

What is an artifact?

A

Anything that owes not correctly display the structures or functions that are imaged

How well did you know this?
1
Not at all
2
3
4
5
Perfectly
2
Q

Artifacts may be as simple as what?

A

A few echoes in a cystic structure that shouldn’t be there or as complex as duplication of a structure where only one truly exists

How well did you know this?
1
Not at all
2
3
4
5
Perfectly
3
Q

Artifacts can be the result or related to what four things?

A
  1. Malfunctions equipment
  2. Defective recording device
  3. Improper operation of equipment
  4. Acoustic properties of tissues and propagation of sound waves
How well did you know this?
1
Not at all
2
3
4
5
Perfectly
4
Q

Some artifacts can really useful in helping the sonographer to do what?

A

Diagnose or delineate structures like in the case of enhancement or shadowing

How well did you know this?
1
Not at all
2
3
4
5
Perfectly
5
Q

Some artifacts can be extremely confusing, what are a couple?

A

Some are extremely confusing like beam width artifact or refractive duplication

How well did you know this?
1
Not at all
2
3
4
5
Perfectly
6
Q

Many artifacts occur because assumptions are made about how sound propagates in tissue such as what four things?

A
  1. All tissues have the same acoustic velocity (1540 m/s)
  2. The sound beam always travels in a straight line
  3. Echo strength indicates organ echogenicity only
  4. The distance to each reflector equals the round trip time
How well did you know this?
1
Not at all
2
3
4
5
Perfectly
7
Q

Artifacts can be categorized as one of the following four things?

A
  1. Not real (not representing actual interfaces)
  2. Missing
  3. Improperly located
  4. Improper brightness, shape, or size
How well did you know this?
1
Not at all
2
3
4
5
Perfectly
8
Q

Ultimately artifacts belong to one of 2 groups

A
  1. The propagation group
  2. The attenuation group
How well did you know this?
1
Not at all
2
3
4
5
Perfectly
9
Q

What are some examples of propagation artifacts?

A
  1. Axial resolution
  2. Lateral resolution
  3. Section thickness
  4. Acoustic speckle
  5. Reverberation
  6. Mirror image
  7. Multiparty
  8. Refraction
  9. Grating and slide lobes
  10. Speed error
  11. Range ambiguity
How well did you know this?
1
Not at all
2
3
4
5
Perfectly
10
Q

When would we seen axial resolution artifacts?

A

When there are objects less than 1/2 the SPL apart in the axis of the bean are demonstrated as a single echo

How well did you know this?
1
Not at all
2
3
4
5
Perfectly
11
Q

What is artifacts in lateral resolutions? What is it referred to?

A

When the beam width artifacts that is also referred to as point spreading

How well did you know this?
1
Not at all
2
3
4
5
Perfectly
12
Q

What does point spreading look like?

A
  1. When reflectors appear smeared across the screen in areas where the beam is wide
  2. Can be accentuated with increased gain or TGC
How well did you know this?
1
Not at all
2
3
4
5
Perfectly
13
Q

How to correct for Point spreading? 3

A
  1. Lower the overall gain
  2. TGC adequately
  3. Scan in the near zone with a properly adjusted focus
How well did you know this?
1
Not at all
2
3
4
5
Perfectly
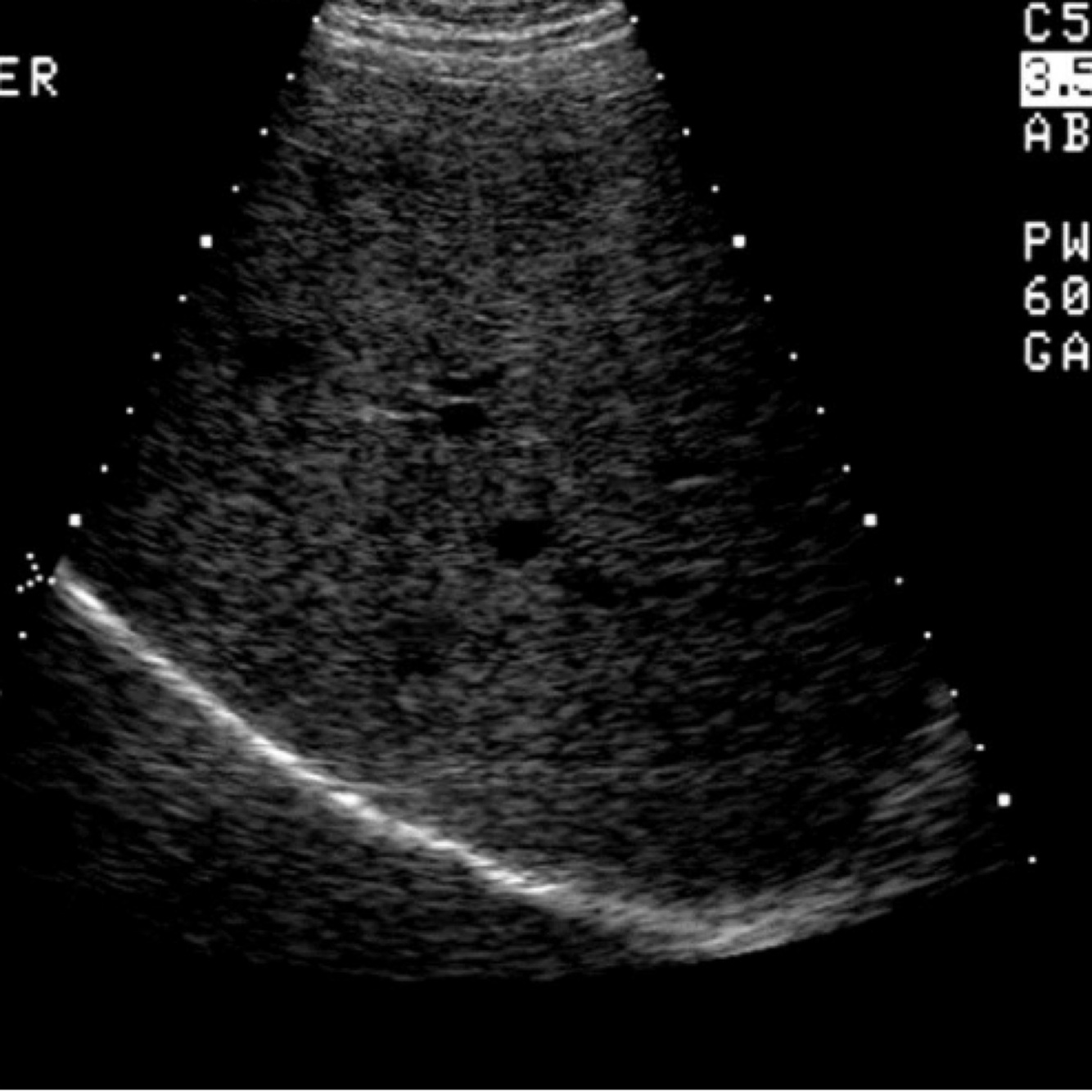
14
Q

What is this image known as?

A

Image broadening

How well did you know this?
1
Not at all
2
3
4
5
Perfectly
15
Q

What does this image demonstrate?

A

Image broadening artifact

How well did you know this?
1
Not at all
2
3
4
5
Perfectly
16
Q

What is one way to effect the axial resolution artifact?

A

Use a higher frequency

How well did you know this?
1
Not at all
2
3
4
5
Perfectly
17
Q

What is an artifact seen in slice thickness? What is it known as?

A
  1. Sometimes known as volume averaging
  2. Can account for the filling in of an anechoic structure with false debris
How well did you know this?
1
Not at all
2
3
4
5
Perfectly
18
Q

How does slice thickness happen? What is the assumption?

A
  1. Under the assumption that all returning echoes come back from center of the beam
  2. There are echoes that form in front and behind the structure that are compressed into a 2D image
How well did you know this?
1
Not at all
2
3
4
5
Perfectly
19
Q

How do we account for volume average?

A

Repositioning the probe so that the narrowest portion of the Z- axis is at the desired location

How well did you know this?
1
Not at all
2
3
4
5
Perfectly
20
Q

What does this image demonstrate?

A

Slice thickness artifact

How well did you know this?
1
Not at all
2
3
4
5
Perfectly
21
Q

What does this image demonstrate?

A

Slice thickness

How well did you know this?
1
Not at all
2
3
4
5
Perfectly
22
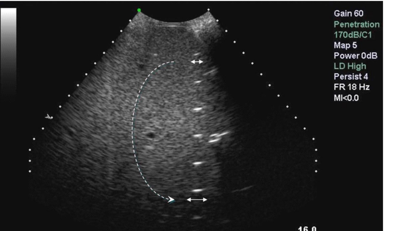
Q

What is acoustic speckle a result of? 2

A
  1. Several off axis reflections from scatter reflection in the parenchyma
  2. Constructive and destructive interference occurs and creates heterogeneous brightness in the image
How well did you know this?
1
Not at all
2
3
4
5
Perfectly
23
Q

What does this image demonstrate?

A

Acoustic speckle

How well did you know this?
1
Not at all
2
3
4
5
Perfectly
24
Q

What is reverberation artifact? When do we normally see it?

A
  1. The reflection of sound between the transducer and a strong interface
  2. Often seen near the probe surface or in fluid filled structures
How well did you know this?
1
Not at all
2
3
4
5
Perfectly
25
What does reverberation look like?
1. Multiple equally spaced linear lines that get weaker with depth 2. Looks like rungs of a ladder
26
What can account for reverberation?
Changing your window and using harmonics is the best way to eliminate the artifact
27
What is one way to tell the difference between section thickness artifacts and slice thickness artifacts?
Where is the focus?
28
What does this image demonstrate?
Reverberation
29
What does this image demonstrate?
Reverberation artifact
30
What artifact is shown by the yellow arrows?
Reverberation
31
What kind of artifact is comet tail?
A reverberation artifact
32
What is comet tail?
Specifically a short range reverberation between two very closely spaced Specular reflectors
33
What kind of objects results in reverberation?
1. Metal clips 2. Metal pellets 3. Biopsy needle 4. Metal IUCD 5. Thin layers of things that cause comet tail
34
Is comet tail useful?
It can be used to diagnose
35
What does this image demonstrate?
Comet tail
36
What does this image demonstrate?
Comet tail artifact. The IUCD is not as long, note the lengthening and the echogenicity of the IUCD
37
What kind of artifact is ring down?
Reverberation artifact
38
What does ring down artifact look like?
Similar to comet tail without the discrete echoes and instead appears as a continuous stream of long echoes
39
What is ring down artifact?
A resonance phenomena associated with gas bubbles in which gas vibrates and becomes a new source of sound
40
Is ring down useful?
Yes, just like comet tail this artifact can be useful for diagnosis
41
What does this image demonstrate?
Ring down artifact
42
What does this image demonstrate?
Ring down artifact
43
What does this image demonstrate?
Ring down artifact
44
What is a mirror image artifact?
Artifact that results in a duplication of an object due to an odd angled strong reflector
45
How does this mirror image happen?
The machine assumes the beam is travelling in a straight line but when the beam is reflected by a Specular reflector towards the object and then returned to the probe along the same path
46
What does this image demonstrate?
Mirror image artifact
47
What does this image demonstrate?
Mirror image artifact
48
What does this image demonstrate?
Mirror image
49
What is the assumption for multiple atrifacts? Why is this a problem?
1. This artifact is again the result of the assumption that beam travels in a straight line 2. In reality the beam may take several off axis vectors before returning to the probe resulting in the incorrect location of the echoes
50
What is the solution to correct for multiple artifacts?
Getting more perpendicular to the structure of interest
51
What is a refractive artifact?
Refers to the direction of the beam when an interface is struck at the angle of both media have different velocities
52
What are four different types of refractive artifacts?
1. Edge shadowing 2. Refractive duplication 3. Refraction malposition 4. Refractive enhancement
53
What is edge shadow?
Shadows at the edges of strong curved reflectors because the beam changes direction with non-perpendicular incidence
54
How do we correct for edge shadow?
Changing the window to come at the interface from a different angle
55
What does this image demonstrate?
Edge shadows
56
What does this image demonstrate?
Edge shadow
57
What is refractive duplication?
Very confusing artifact that can create the appearance of lateral duplication of the echo interface on either side of its true location
58
How does refractive duplication occur?
1. Refraction of the beam by a strong interface 2. Happens as the beam is swept, the lines of sight are angled
59
What part of the body can seem like a refractive duplication?
Rectus abdominus
60
One of the way to get account/ correct for refractive duplication?
Getting perpendicular to the structure of interest and move away from the cause
61
What does this image demonstrate?
Refractive duplication
62
What does this image demonstrate?
Refractive duplication
63
What does this image demonstrate?
Refractive duplication
64
What is refractive malposition?
When the interface is falsely allocated laterally from its true position and it in reality the echo is unlikely indenitifed or hidden
65
What causes refractive malposition?
By the bending of the of the beam generating an echo which is falsely positioned along the beam axis
66
What is the solution to correct for refractive malposition?
Getting perpendicular to the structure
67
Is edge shadow helpful or hurtful?
Both. Because edge shadows show the edges, but at the same time it might block pathology.
68
What are side lobes seen as? and what they are a result of?
Side lobes are seen as linear echogenic bands or sheets in anechoic structures and are the result of radial mode vibration in a single disc probe
69
What are side lobe?
Echoes that return from weak side beams are laced along the axis of the main beam
70
How do we account for side lobes?
1. Insulator rings are used to suppress the radial mode vibrations 2. TGC and gain manipulation to reduce the impact of this artifact
71
What artifact does this image demonstrate?
Side lobe artifact
72
How do grating lobes occur?
The length and width vibration of the array elements and crosstalk
73
What does grating lobes look like?
A side lobe artifact but corrected with apodization and sub dicing
74
How do we account for grating lobes?
Using harmonies to reduce or eliminate grating lobe artifacts
75
What is the propagation speed error?
When the machines assumption of the propagation speed accounts for this artifact which results in the misallocation of reflectors proximal or distal to its actual position
76
Where is propagation speed error commonly seen?
Occurs deep in fat
77
Is there anyway to correct for the propagation speed error?
No
78
What does this image demonstrate?
Propagation speed error
79
What does this image demonstrate?
Propagation speed error *Look at the diaphragm*
80
What does this image demonstrate?
Propagation speed error *Look at the diaphragm*
81
What is occurrence rate for range ambiguity and what can it do?
This is rare in 2D scanning but can make echoes appear closer to the transducer then they actually are
82
Where does range ambiguity occur?
Most commonly in doppler
83
How does range ambiguity happen?
1. It occurs when a pulse is emitted before all echoes from the previous pulse are received 2. PRF is too high thereby exceeding the limit by the set depth
84
How do we correct for range ambiguity?
Reduce the frame rate or PRF
85
What does this image demonstrate?
Range Ambiguity
86
What are attenuation artifacts and what does it include? 4
2nd group of artifacts and it includes: 1. Shawdowing 2. Enhancement 3. Focal Enhancement 4. Edge shadowing
87
What does shadowing result in? Because of what the things?
Lack of echoes beneath a highly attenuating structure because of 1. Absorption of sound 2. Reflection of sound 3. Scattering of sound
88
In terms of range ambiguity, for doppler our PRF can be seen as what?
Scale
89
What does this image demonstrate?
Shadowing
90
What does this image demonstrate?
Shadowing
91
How is enhancement seen?
This is seen as posterior brightness to structures that attenuate less than surrounding structures (cyst or solid)
92
Is shadows helpful or hurtful?
Both, it can help detect things like calcifications throwing shadows or it can hide things in shadows.
93
When would we see an extremely rare occurrence of enhancement?
When a very homogenous medium causes enhancement
94
Is enhancement a artifact that helps with diagnosis?
Yes
95
What does this image demonstrate?
Posterior enhancement
96
What is focal enhancement? What is it also known as?
False brightening to a particular area of the image at the level of the focal zone and is known as *focal banding*
97
Why does focal enhancement occur?
The intensity of the sound is highest at this part of the beam
98
How do we compensate for focal enhancement?
TGC
99
What does this image demonstrate?
Focal enhancements
100
What are some doppler artifacts?
1. Aliasing 2. Slice thickness 3. Reverberation 4. Mirror imaging 5. Flash or clutter 6. Noise 7. Refraction
101
Why is aliasing useful?
Aliasing in colour flow can be extremely helpful in identifying areas of higher velocity flows or turbulence which can be useful for diagnosing pathology
102
What does this image demonstrate?
Aliasing
103
What does this image demonstrate?
Aliasing
104
What does this image below show?
**Doppler slice thickness** Here velocities from multiple flows are seen within one flow envelope because of the beam width phenomenon
105
What is Doppler reverberation similar to?
Reverberation on 2D scans and is seen as a buzzing or equidistant colour lines
106
What is twinkle artifact? What is its effective in diagnosing?
A type of reverberation which is helpful to aid in diagnosing calculus
107
The reverberation between the front and back wall of a stone will produce what during doppler?
A mosaic of colour deep to the stone
108
What does this image demonstrate?
Doppler reverberation
109
What do these images demonstrate?
Doppler reverberation
110
Does mirror imaging effect both colour and spectral tracing?
Yes
111
Spectral mirror has ____________ on both sides of the ____________ and is caused by what?
1. Doppler flow 2. Baseline 3. Having an angle of incidence too close to 90 degrees
112
With colour doppler what will appear deep to real one?
A false vessel will appear deep to the real one
113
What does this image demonstrate?
Doppler mirror image *look at the spectral, there is no noise. This is how we know that we aren’t over gained but to perpendicular*
114
What does this image demonstrate?
Doppler mirror image
115
How does doppler flash or clutter appear?
It appears as low level echoes in the colour flow seen in the tissue as the result of tissue movement like the heart wall, valve or vessel wall motion for example
116
What is available to help with doppler flash or clutter?
Filter presents within the machine to help eliminate this motion as their velocities are usually lower then the flowing blood
117
What is the disadvantages of setting our filters too high?
There is a risk of eliminating real flow information
118
What does this image demonstrate?
Doppler flash and clutter
119
When does doppler noise happen?
When doppler gains are set too high causing the colour to blossom outside the vessel or appear in anechoic structures that have no flow
120
With spectral, the over gaining can do what in terms of doppler noise?
1. Increase the peak systolic velocities which can impact the diagnosis 2. It can also cause a halo effect that could result in the overestimation of velocity
121
What does this image demonstrate?
Doppler noise *The black area, is the doppler noise*
122
What does this image demonstrate?
Doppler noise artifacts when the cystic lesions with the gain set too high
123
There are other reasons why you may get artifacts while scanning related to malfunction of equipment what are they?
1. Electronic interference 2. Fault software 3. Faulty scan converter 4. Faulty equipment
124
What is electronic interference? What does it look like?
1. At times you may see an echo pattern either of low/high intensity that can be regular/ irregular 2. This is usually radio frequency signals generated by other equipment that interfere with the ultrasound wave
125
What does this image demonstrate?
Electronic interference *look at all the whispy things*
126
What is the 60 Hz bandwidth?
When radio frequency signal generated by other equipment that interfere with the ultrasound wave
127
What does this image demonstrate?
The 60 Hz bandwidth *look at the faint bandwidth artifact*
128
Any one of the following things may also change the appearance of the image to something that is not real such as what?
1. Malfunctioning crystal element 2. Cracked damping material 3. Defective recording device 4. Improper transducer shielding
129
What does the arrows point to from left to right?
Dead elements and weak/dead elements