Principal fator de risco para DPOC
Tabagismo (risco cumulativo de acordo com anos/maço)
Causa de DPOC genética não relacionado ao tabagismo
Deficiência de alfa-1-antitripsina
Compare DPOC x Asma - inflamação e fibrose
Asma = Inflamação \> fibrose DPOC = Fibrose \> inflamação
Qual disturbio ácido-base mais comum no DPOC avançado e por quê?
Acidose respiratória pela retenção crônica de CO2.
Como compensação, ocorre retenção de bicarbonato, trazendo o pH para níveis normais (ou próximos disso). Nas exacerbações, a compensação é insuficiente, o que gera redução aguda de pH
Quais principais alterações na gasometria do paciente com DPOC avançado?
Aumenta: PaCO2, HCO2, Base excess
Diminui: PaO2, SatO2
pH: normal ou pouco diminuido
Qual é a resposta renal ao mecanismo de retenção crônica de CO2?
Aumento do excesso de bases (aumenta bicarbonato)
Paciente com DPOC + hiperóxia. Qual a consequência?
Carbonarcose (acúmulo de CO2 agudo) com rebaixamento do nível de consciência
O drive respiratório do paciente com DPOC é regulado pelo quê?
Hipóxia
Achado na Espirometria de distúbio obstrutivo?
VEF1/CVF baixa <70%
VEF1: Volume Expiratório Forçado no 1º segundo CVF: Capacidade Vital Forçada

Descreva uma resposta ao broncodilatador positiva.
Aumento do VEF1 >200ml e > 12% (adulto) ou VEF1>12% do previsto (criança) - GINA
Qual característica na espirometria do DPOC leve?
VEF1/CVF ≥ 80% pós broncodilatador
VEF: Volume Expiratório Forçado no 1ºsegundo
CVF: Capacidade Vital Forçada
Qual motivo da diminuição da CVF (capacidade vital forçada) nos pacientes com DPOC?
Aprisionamento de ar crônico
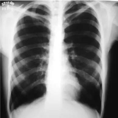
Principal alteração na radiografia de tórax do paciente com DPOC
Hiperinsuflação pulmonar

Paciente DPOC grupo A e C.
Quais características - CAT e mMRC?
Escala mMRC: avalia intensidade da dispneia, indo de zero a quatro
Questionário COPD Assessment Test (CAT)
Grupo da Esquerda - CAT mMRC 0-1
Compare DPOC grupo A/ B e C/D - exacerbações no último ano
A/B - 0 ou 1 sem Internação
C/D - 2 ou mais ( uma com internação)

Paciente DPOC grupo B e D. Quais características - CAT e mMRC?
Grupo da Direita - dispneia ao andar apressadamente ou subindo uma rampa leve são considerados sintomáticos
CAT ≥ 10 mMRC ≥2

Cite 2 beta-2-agonistas de longa ação utilizados no DPOC
Formoterol e Salmeterol
DPOC LEVE - Classifique de acordo com Volume Expiratório Forçado no 1ºsegundo (VEF1)
VEF1 de pelo menos 80% do previsto
DPOC moderada - Classifique de acordo com Volume Expiratório Forçado no 1ºsegundo (VEF1)
VEF1 de 59-79%
DPOC grave - Classifique de acordo com Volume Expiratório Forçado no 1ºsegundo (VEF1)
VEF1 de 30-49%
DPOC muito grave - Classifique de acordo com Volume Expiratório Forçado no 1ºsegundo (VEF1)
VEF1
Qual o principal anticolinérgico utilizado no DPOC?
Tiotrópio (longa duração)
Qual tratamento no DPOC grupo A?
Broncodilatadores de curta (SABA) ou longa duração (LABA),
podendo ser beta-agonistas (salbutamol, fenoterol, formoterol) ou
anticolinérgicos (ipratrópio, tiotrópio)
Qual tratamento no DPOC grupo B?
Broncodilatador de longa duração, podendo ser um beta-agonista (formoterol, salmeterol) ou anticolinérgico (tiotrópio).
Caso a sintomatologia seja muito intensa, podemos associar as duas classes.