Assignment 2 structures Flashcards

(18 cards)

1
Q

Identify the following structure(s), and function(s)

A

A. manubrium, point of attachment for muscles and bones, protection of heart and vital organs
B. Costochondral joint, surfaces of attachment for anterior muscle fibers

How well did you know this?
1
Not at all
2
3
4
5
Perfectly
2
Q

Identify the following structure(s), and function(s)

A

A. costotransverse joint, allows gliding movement
B. floating rib, protects thoracic organs and provides attachment points to muscles of back, chest, proximal upper limb

How well did you know this?
1
Not at all
2
3
4
5
Perfectly
3
Q

Identify the following structure(s)

A

A. innermost intercostal muscle
B.internal intercostal muscle
C. external intercostal muscle

How well did you know this?
1
Not at all
2
3
4
5
Perfectly
4
Q

Identify the following structure(s)

A

A. serratus posterior superior
B. serratus posterior inferior

How well did you know this?
1
Not at all
2
3
4
5
Perfectly
5
Q

Identify the following structure(s)

A

A. phrenic nerve
B. esophageal hiatus
C. aortic hiatus
D. caval opening

How well did you know this?
1
Not at all
2
3
4
5
Perfectly
6
Q

Identify the following structure(s)

A

A. right middle lobe
B. left superior lobe
C. cardiac notch
D. left inferior lobe

How well did you know this?
1
Not at all
2
3
4
5
Perfectly
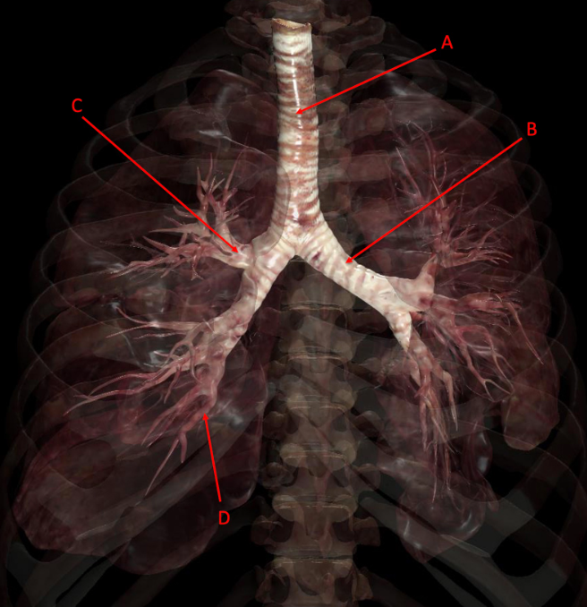
7
Q

Identify the following structure(s)

A

A. trachea
B. left main bronchus
C. Right superior lobar bronchus
D. segmental bronchus

How well did you know this?
1
Not at all
2
3
4
5
Perfectly
8
Q

Identify the following structure(s)

A

A. branchiocephalic trunk
B. Right Branchiocephalic vein
C. superior vena cava
D. right auricle
E. inferior vena cava
F. right ventricle
G. left ventricle
H. pulmonary trunk
I. aortic arch
J. left subclavian artery
K. left common carotid
L. right common carotid
M. right subclavian

How well did you know this?
1
Not at all
2
3
4
5
Perfectly
9
Q

Identify the following structure(s)

A

A. right coronary artery
B. right marginal artery

How well did you know this?
1
Not at all
2
3
4
5
Perfectly
10
Q

Identify the following structure(s)

A

A. anterior interventricular artery
B. left circumflex artery
C. marginal or posterior interventricular artery

How well did you know this?
1
Not at all
2
3
4
5
Perfectly
11
Q

Identify the following structure(s)

A

A. anterior cardiac vein
B. small cardiac vein

How well did you know this?
1
Not at all
2
3
4
5
Perfectly
12
Q

Identify the following structure(s)

A

A. coronary sinus
B. Posterior vein of left ventricle
C. middle cardiac vein

How well did you know this?
1
Not at all
2
3
4
5
Perfectly
13
Q

Identify the following structure(s)

A

A. aortic semilunar valve
B. pulmonary semilunar valve
C. mitral valve
D. tricuspid valve

How well did you know this?
1
Not at all
2
3
4
5
Perfectly
14
Q

Identify the following structure(s)

A

A. sinoatrial node
B. atrioventricular node
C. bundle of His

How well did you know this?
1
Not at all
2
3
4
5
Perfectly
15
Q

Identify the following structure(s)

A

A. left internal thoracic artery
B. right anterior intercostal artery
C. musculophrenic artery
D. subcostal artery

How well did you know this?
1
Not at all
2
3
4
5
Perfectly
16
Q

Identify the following structure(s)

A

A. accessory hemiazygous vein
B. hemiazygous vein
c. azygous vein

17
Q

Identify the following structure(s)

A

A. left vagus nerve
B. cardiac plexus
C. esophageal plexus
D. thoracic splanchnic nerves (greater, lesser, least)

18
Q

Identify the following structure(s)

A

A. right lymphatic duct
B. thoracic duct
C. cisterna chyli