Assorted mix Flashcards

Answers from pathophys rounds (109 cards)

1
Q

Hydrochlorothiaze, and other thiazide diuretics, act on the _______ in the _____.

A. NaCl co-transporter; distal convoluted tubule
B. Na-K-Cl cotransporter; thick ascending limb
C. Aldosterone receptor; distal tubule
D. Bicarbonate transporter; proximal convoluted tubule

A

A. NaCl co-transporter; distal convoluted tubule

How well did you know this?
1
Not at all
2
3
4
5
Perfectly
2
Q

A 2 yr FS DSH presents to you for inappetence. HX: The cat is an indoor / outdoor cat in Florida that likes to hunt lizards. She has been a historically healthy cat but stopped eating 3 days ago. Prior to this, 2 months ago she was missing for 5 days but otherwise nothing has been abnormal to her routine. PE reveals jaundice and hepatomegaly. Diagnostic test results: ALT 2000, AST 500, bilirubin 7.0; Abdominal u/s: dilated bile ducts. What is the recommended treatment?

A. Clavamox
B. Praziquantel
C. Prednisone
D. Taurine supplementation

A

B. Praziquantel - liver fluke infections are common in cats in endemic areas (Florida, Hawaii – estimates are 70% of cats have flukes); lizards are one of the intermediate hosts; if this question asked about what diagnostic test to do next you should pick BILE ASPIRATES as that is the best place to find eggs.

How well did you know this?
1
Not at all
2
3
4
5
Perfectly
3
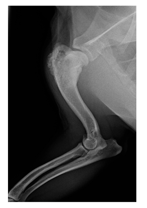
Q

A 10yo, MN, 35kg mixed breed dog presents for right forelimb lameness. You get the following radiographs and cytology results. What is the recommended next step?

A. High-dose vincristine
B. Abdominal ultrasound
C. Chest radiographs
D. Forelimb amputation

A

C. Chest radiographs

How well did you know this?
1
Not at all
2
3
4
5
Perfectly
4
Q

You are presented with a 2 yr MN Dalmation for further assessment of hematuria. You perform x-rays and a UA and find the following: Urate crystals and stone with occasional rod.

A. Feed a diet high in protein + allopurinol
B. Acidify the urine + dilute the urine
C. Feed a diet low in organ meat and protein + allopurinol
D. Alkalinize the urine + concentrate the urine

A

C. Feed a diet low in organ meat and protein + allopurinol (yes –low purine diet and allopurinol) - You want an alkaline and dilute urine for urates

How well did you know this?
1
Not at all
2
3
4
5
Perfectly
5
Q

Name the 3 components of Virchow’s triad.

A

Endothelial injury, blood stasis, hypercoagulability

How well did you know this?
1
Not at all
2
3
4
5
Perfectly
6
Q

A 3yo, FS, Beagle presents for stranguria and hematuria of 2-days’ duration. A urinalysis demonstrates USG 1.033, pH 8.5, WBC 20-50/hpf, RBC 20-50/hpf, and numerous cocci. Abdominal radiographs showed a 1.5 cm, radio-opaque, smooth, round urolith in the body of the urinary bladder. A urine culture and sensitivity is submitted, but while the results are pending, the veterinary student assisting with the case asks if you have any idea what type of bacteria may be present. Which of the following organisms do you discuss and list two reasons why?

A. Escherichia coli
B. Staphylococcus spp
C. Enterococcus spp
D. Pseudomonas spp

A

B. Staphylococcus spp

Two reasons why: The stone, presence of a UTI, and pH are suggestive of infection-induced struvite. Staphylococcus = a urease-producing bacteria. Also, the urinalysis lists cocci (not rods). FYI - the other common urease-producing bacteria causing struvites in dogs = proteus.

How well did you know this?
1
Not at all
2
3
4
5
Perfectly
7
Q

What are the urease producing bacteria causing struvites in dogs

A

Staphylococcus and proteus

How well did you know this?
1
Not at all
2
3
4
5
Perfectly
8
Q

In which zone of the liver would you expect copper accumulation in primary copper hepatopathy?

A

Zone 3; the centrolobular zone! (And secondary copper accumulation tends to be in zone 1)

How well did you know this?
1
Not at all
2
3
4
5
Perfectly
9
Q

How does the hepatic circulatory system differ from other organs?

A

The majority of the liver’s blood supply is venous blood. The portal vein supplies ~75-80% of blood to liver, and hepatic artery supplies about 20-25%. They each provided approximately 50% of oxygen.

How well did you know this?
1
Not at all
2
3
4
5
Perfectly
10
Q

Deficiencies in which essential amino acid can occur from cats fed dog foods for a prolonged period of time?

A

Taurine! Remember that cats use taurine only for bile acid conjugation. Deficiencies can result in retinal degeneration, DCM, GI upset, and poor reproductive performance.

How well did you know this?
1
Not at all
2
3
4
5
Perfectly
11
Q

Explain the mechanism by which Budesonide may result in less systemic side effects compared to other oral steroid formulations.

A

Budesonide undergoes high first pass metabolism in the liver. Approximately 90% is converted into metabolites with low corticosteroid activity. Therefore it has low systemic availability and minimal systemic side effects.

How well did you know this?
1
Not at all
2
3
4
5
Perfectly
12
Q

Aelurostrongylus abstrusus, commonly known as feline lungworm, is a globally distributed parasitic nematode that resides in the terminal bronchioles, alveoli and alveolar ducts of domestic cats. Cats can acquire A abstrusus by ingesting infected snails or by eating paratenic hosts such as rodents and birds that have ingested infected snails. What is the gold standard for diagnosing A. abstrusus?

A

A. Baermann fecal method
B. Sugar fecal flotation
C. Thoracic radiographs
D. Zinc fecal flotation

How well did you know this?
1
Not at all
2
3
4
5
Perfectly
13
Q

The endocrine pancreas makes up ~2% of the pancreatic volume. Match each of the 5 cell types of the Islets of Langerhans with the product it secretes. Each answer will be used only once.

α‐cells _____
β‐cells _____
δ‐cells _____
ε‐cells ______
PP‐cells (aka F‐cells) _____

Answer choices:
A. Somatostatin
B. Ghrelin
C. Glucagon
D. Insulin and amylin
E. Pancreatic polypeptide

A

α‐cells __C___
β‐cells __D___
δ‐cells __A___
ε‐cells __B____
PP‐cells (aka F‐cells) __E___

How well did you know this?
1
Not at all
2
3
4
5
Perfectly
14
Q
  1. You are presented with a 7yr MI Golden with recurrent UTIs and moderate prostatomegaly. You have completed a full evaluation and believe that his urinary infections are related to prostatitis. Because the owners wish to preserve his breeding ability, you opt to treat with finasteride to address any underlying prostatic hypertrophy and with antimicrobial drugs appropriate for the prostate and lower urinary tract. Pending culture and susceptibility data and following the ICAID guidelines, the most appropriate empiric choice among these drugs would be:

A. Cefazolin
B. Amoxillin-clavulanic acid
C. Amoxicillin
D. Orbifloxacin

A

D. Orbifloxacin

How well did you know this?
1
Not at all
2
3
4
5
Perfectly
15
Q

You are presented with a 13 yr FS dachshund for her thrice yearly recheck of hyperadrenocorticism treated with trilostane. The owner is pleased with her response to therapy, and reports no clinical signs other than some difficulty with climbing stairs due to long-standing osteoarthritis. You perform a CBC, chemistry, ACTH stim, and urinalysis. The urinalysis is minimally concentrated with 5 WBC/hpf and occasional rods. According to the ISCAID urinary guidelines

A. Recommend repeat urinalysis in 1 week to see if bacteria are persistent
B. Prescribe empiric therapy with amoxicillin for 5 days
C. No specific follow up for the bacteriuria is required
D. Submit urine for culture and susceptibility testing

A

C. No specific follow up for the bacteriuria is required

How well did you know this?
1
Not at all
2
3
4
5
Perfectly
16
Q

You are presented with a 4yr MI Rottweiler stud dog that has recently failed to impregnate a bitch. Culture and susceptibility of ejaculate demonstrates a pure growth of Staphylococcus pseudintermedius that is resistant to fluoroquinolone antimicrobial drugs but is susceptible to amoxicillin-clavulanic acid, clindamycin, and tetracycline. The most appropriate choice for treatment of this dog would be:

A. Amoxicillin-clavulanic acid
B. Any of the answers are correct
C. Clindamycin
D. Doxycycline

A

C. Clindamycin

How well did you know this?
1
Not at all
2
3
4
5
Perfectly
17
Q

Although fluoroquinolone antimicrobials are often thought of as broad spectrum, there are “holes” in their four-quadrant coverage. In general, veterinary fluoroquinolones do a poor job of treating which group of pathogens?

A. Gram positive pathogens
B. Gram negative pathogens
C. Anaerobic pathogens
D. Aerobic pathogens

A

C. Anaerobic pathogens

How well did you know this?
1
Not at all
2
3
4
5
Perfectly
18
Q

What cranial nerves control the palpebral reflex?
A. 2 and 7
B. 2 and 5
C. 5 and 7
D. 2 and 3

A

C. 5 and 7

How well did you know this?
1
Not at all
2
3
4
5
Perfectly
19
Q

A 1 yr FS DSH that is indoor/outdoor presents to you for a fever and lymphadenopathy. 3 days ago the cat massacred a rabbit. You submit serology to confirm your diagnosis and while you await your results, you start treatment for your top differential. What therapy do you start?
A. Cephalosporin
B. Fluoroquinolone
C. Macrolide
D. Penicillin

A

B. Fluoroquinolone

How well did you know this?
1
Not at all
2
3
4
5
Perfectly
20
Q

In young cats with primary copper-associated hepatopathy (PCH), what gene has been implicated in disease pathogenesis?

A

ATP7B

How well did you know this?
1
Not at all
2
3
4
5
Perfectly
21
Q

An intact male mixed breed dog presents to your hospital for further assessment of lameness. He was treated previously for suspect lyme with doxycyline. Physical examination reveals uveitis, spinal pain, and lymphadenopathy. What is the next recommended diagnostic step?

A. Rapid slide agglutination test (RSAT) – very sensitive but not specific so need to do more testing in dogs that test + but is recommended screening test.
B. AGID – highly specific but shouldn’t be used as a screening test and RSAT more sensitive for early detection
C. Aspirates and cytology of enlarged LNs
D. Blood culture – is the best method for detection of early disease but cannot be performed if they have received antibiotics. negative culture doesn’t r/out

A

This question is wanting you to understand that this dog has brucella

A. Rapid slide agglutination test (RSAT) – very sensitive but not specific so need to do more testing in dogs that test + but is recommended screening test.

How well did you know this?
1
Not at all
2
3
4
5
Perfectly
22
Q

Which is the best description of the canine estrous cycle:

A. Monestrus, seasonal, induced ovulator
B. Polyestrous, seasonal, spontaneous ovulator
C. Monestrus, non seasonal, spontaneous ovulator
D. Polyestrous, non seasonal, induced ovulator

A

C. Monestrus, non seasonal, spontaneous ovulator

How well did you know this?
1
Not at all
2
3
4
5
Perfectly
23
Q

Which is the infective stage (ie, the stage transmitted from mosquito to host) of Dirofilaria immitis?

A. L1
B. L2
C. L3
D. L4

A

C. L3

How well did you know this?
1
Not at all
2
3
4
5
Perfectly
24
Q

Elemental zinc is sometimes used as a part of the treatment regimen for canine primary copper hepatopathy. Which of the following correctly describes the mechanism of action for its use in this condition?

A. Direct copper chelation
B. Interference with copper synthesis
C. Induces the synthesis of intestinal metallothionein, which promotes enterocyte copper binding (limits Cu absorption, promotes excretion)
D. Impairs synthesis of intestinal metallothionein, which blocks copper enterocyte binding (limits Cu absorption, promotes excretion)

A

C. Induces the synthesis of intestinal metallothionein, which promotes enterocyte copper binding (limits Cu absorption, promotes excretion)

  • I would review copper metabolism prior to both exams
How well did you know this?
1
Not at all
2
3
4
5
Perfectly
25
List 3 breeds reported to have an increased incidence of ectopic ureters.
Golden retrievers, Miniature/toy poodles , Labrador
26
Trilostanes mechanism of action
Competitive inhibitor of the enzyme 3-B-hydroxysteroid
27
Side effects of trilostane
(GI signs) Lethargy, Electrolyte anomalies, inappetence, hypoadrenocorticism, rare
28
Mitotane mechanism of action
Adrenal cytotoxic agent
29
Mitotane side effects
(GI signs) Ataxia, weakness, CNS signs, Addisonian crisis, hepatic changes
30
L-Deprenyl (Selegiline hydrochloride) mechanism of action
MAO-B inhibitor Can increase dopamine, which in theory can reduce ACTH & cortisol production
31
L-Deprenyl (Selegiline hydrochloride) side effects
CNS signs (restless, salivation, trembling)
32
Ketoconazole mechanismof action
Reversible inhibitor of steroidogenesis Inhibits a fungal cytochrome P450 dependent demethylation enzyme (which produces ergosterol in the cell membrane)
33
Ketokonazole side effects
(GI signs) Weight loss, hepatotoxicity
34
Which enzyme is involved with conversion of T4 to active T3 in the tissues? A - Thyroglobulin B - 5-iodinase C- Thyroid peroxidase D- Perchlorate
B - 5-iodinase
35
A 12 year old FS DSH presents for annual examination and a thyroid slip with heart murmur is found on physical examination. Screening TT4 is elevated at 5.0 and further questioning indicates no reported clinical signs of hyperthyroidism. What is the next recommended treatment or diagnostic step? A - Initiate treatment with methimazole at 2.5 mg PO BID B - Repeat serial TT4 testing in 2 weeks C - Initiate prescription diet of iodine restriction D - Recommend serial TT4 testing in 12 months
B - Repeat serial TT4 testing in 2 weeks
36
List potential side effects of darbopoietin administration in dogs
GIT signs, increased in blood pressure, PRCA, seizures, hyperkalemia, thrombocytosis
37
Which of the following is a poor prognostic indicator for cats presenting with feline panleukopenia? A. Hyperkalemia B. Leukocytosis C. Hyperglobulinemia D. Hypoalbuminemia
D. Hypoalbuminemia
38
What are poor prognstic indicatiors for cats with panleukopaenia
Leukopenia, thrombocytopenia, hypoalbuminemia, and hypokalemia
39
Hypoventilation is characterized by (increases / decreases) in PCO2 and can lead to a respiratory (acidosis/alkalosis)?
Hypoventilation is characterized by INCREASES in PCO2 and can lead to a respiratory ACIDOSIS
40
List causes of hypoventilation.
-upper airway obstruction -respiratory depression by anesthetic agents (esp opioids) -CNS disease -Cervical myelopathy -Diffuse neuromuscular disease -Chest wall disease
41
Hyperventilation is characterized by (increases / decreases) in PCO2 and can lead to a respiratory (acidosis / alkalosis)
Hyperventilation is characterized by DECREASES in PCO2 and can lead to a respiratory ALKALOSIS
42
Causes of hyperventilation
- pain -anxiety -severe hypoxia
43
What medication has been associated with transient gallbladder wall thickening and peritoneal effusion in dogs? A. Diazepam B. Dexmedetomidine C. Acepromazine D. Butorphanol
B. Dexmedetomidine
44
Prednisone is a common immunosuppressant medication that commonly causes polyuria and polydipsia. Administration of desmopressin to dogs receiving prednisolone: A. Significantly decreased water intake and serum sodium concentration B. Significantly decreased water intake but not serum sodium concentration C. Did not significantly decrease water intake or serum sodium concentration D. Did not significantly decrease water intake but did decrease serum sodium concentration
A. Significantly decreased water intake and serum sodium concentration
45
When compared to a healthy nondiabetic control population, diabetic dogs have: A. Lower serum cTLI concentrations as compared to nondiabetic control dogs. B. Higher serum cTLI concentrations as compared to nondiabetic control dogs. C. Higher cPLI concentrations as compared to nondiabetic control dogs. D. Lower cPLI concentrations as compared to nondiabetic control dogs.
C. Higher cPLI concentrations as compared to nondiabetic control dogs.
46
Which of the following statements regarding canine protein-losing enteropathies is true? A. Serum tryptophan concentrations in dogs with PLE are often elevated, which can cause intestinal inflammation and dysbiosis. B. Vitamin D3 deficiency is common in dogs with PLE and testing should be considered in all cases. C. Less than 5% of dogs with PLE are documented to be hypercoagulable. D. Median survival time in dogs with PLE is 36-48 months.
B. Vitamin D3 deficiency is common in dogs with PLE and testing should be considered in all cases.
47
When diagnosing steroid responsive meningitis and arteritis, it is recommended that CSF is collected from what site(s) to improve diagnostic sensitivity? A. Cerebellomedullary cistern (CMC) B. Lumbar subarachnoid space (LSS) C. CMC and LSS D. There is no difference and you can collect from either the CMC or the LSS
C. CMC and LSS
48
In a population of cats with pancreatitis, which of the following variables was more frequent in nonsurvivors? A. Hyperglycemia B. Hypoglycemia C. Hyperbilirubinemia D. Antimicrobial administration
B. Hypoglycemia
49
Which is true regarding feline asthma? A. There is a positive correlation between the severity of clinical signs and the magnitude of BAL eosinophilia B. Cats that have large numbers of allergens with positive IgE reactivity (as measured by serum allergen specific IgE testing) have more severe clinical signs C. Peripheral eosinophilia is detected in 85% of asthmatic cats D. The median age at time of diagnosis is 4-5 years.
D. The median age at time of diagnosis is 4-5 years.
50
Approximately _____% of dogs develop persistent diabetes mellitus following surgery for insulinomas. A. 0-25% B. 25-50% C. 50-75% D. 75-100%
A. 0-25%
51
What is the most common complication from cholecystocentesis in cats with suspected hepatobiliary disease? A. Bile peritonitis B. Gallbladder rupture C. Increasing abdominal fluid D. Pneumoperitoneum
C. Increasing abdominal fluid
52
Which of the following is significantly associated with decreased survival time in dogs with pulmonary hypertension? A. Left atrial size B. Right atrial size C. Cough severity D. Presence of left-sided congestive heart failure
B. Right atrial size
53
Which of the following statements is true regarding CSF sample collection in dogs with neurologic disease? A. Dogs with intracranial disease ideally should have samples collected from the cerebellomedullary cistern. B. Dogs with intracranial disease ideally should have samples collected from the lumbar cistern. C. Dogs with intracranial disease ideally should have samples collected from both the cerebellomedullary and lumbar cisterns. D. Dogs with thoracolumbar disease ideally should have samples collected from the cerebellomedullary cistern.
C. Dogs with intracranial disease ideally should have samples collected from both the cerebellomedullary and lumbar cisterns.
54
Hepatic leptospiral infections may be associated with _______ A. Hepatic abscesses B. Hepatic cyst formation C. Biliary mucoceles D. Chronic granulomatous hepatitis
D. Chronic granulomatous hepatitis
55
What are reported adverse events with pasireotide administration in cats? A. Vomiting, Diarrhea B. Diarrhea, Hypoglycemia C. Inappetence, Vomiting D. Hypoglycemia, Vomiting
B. Diarrhea, Hypoglycemia
56
In cats affected by FIC, what serum cytokines and chemokines are increased when compared to healthy cats? A. IFN-gamma, IL-12, IL-18 B. IL-12, CXCL12, IL-18 C. CCL2, CCL5, IL-12 D. PDGF-BB, IFN gamma, IL-2
B. IL-12, CXCL12, IL-18
57
58
59
What are positive prognostic factors in cats with primary IMHA? A. Higher total bilirubin, Age B. Age, higher lymphocyte count C. Higher lymphocyte count, serum globulin concentration D. Age, serum globulin concentration
C. Higher lymphocyte count, serum globulin concentration
60
Which clinical pathologic value measured prior to treatment best predicts the development of azotemia following I-131 treatment? A - Urine specific gravity < 1.035 B - SDMA C - Creatinine D - BUN
A - Urine specific gravity < 1.035
61
Which of the following is a rare but possible adverse effect associated with use of Darbopoetin in dogs? A. Acute renal failure B. Hepatotoxicity C. Seizures D. Pulmonary edema
C. Seizures
62
Which of the following is a recognized risk factor for candida urinary tract infections in dogs? A. Antibiotic administration within past 30 days B. Consumption of a raw diet C. Urinary catheterization within past 30 days D. Diabetes mellitus
A. Antibiotic administration within past 30 days
63
Which is the most effective parameter in diagnosing hyperadrenocorticism via an ACTH stimulation test? A. Baseline cortisol B. Post-stimulation cortisol C. Post-to-baseline cortisol concentration difference D. Post-to-baseline cortisol concentration ratio
B. Post-stimulation cortisol
64
A dog undergoes ethanol ablation for treatment of hyperparathyroidism. Following the procedure, you would expect Ca levels to normalize within what period of time? A. 24 hours B. 72 hours C. 5 days D. 1 week
B. 72 hours
65
What are the 2 most common bacterial species cultured from e tube site infections in dogs and cats? A. Enterococcus faecium, Escherichia coli B. Escherichia coli, Pasturella multocida C. Staphylococcus aureus, Pseudomonas aeruginosas D. Staphylococcus aureus, Enterococcus faecium
A. Enterococcus faecium, Escherichia coli B. Escherichia coli, Pasturella multocida C. Staphylococcus aureus, Pseudomonas aeruginosas D. Staphylococcus aureus, Enterococcus faecium
66
Which of the following statements regarding clopidogrel is true? A. Clopidogrel given with prednisone increases the severity of gastric lesions. B. Clopidogrel given alone is ulcerogenic C. Clopidogrel does not cause GI bleeding in dogs. D. Clopidogrel inhibits antithrombin 3.
C. Clopidogrel does not cause GI bleeding in dogs.
67
Which immunosuppressive agent was shown to pose a higher risk for the development of opportunistic invasive fungal infections (OIFIs) as compared to others? A. Leflunomide B. Azathioprine C. Mycophenolate D. Cyclosporine
D. Cyclosporine
68
2. Weight loss can be detected in cats ______ diagnosis of CKD, __________ after diagnosis, and is associated with ________ survival. A. after, slows, longer B. before, accelerates, shorter C. after, accelerates, shorter D. before, slows, longer
B. before, accelerates, shorter
69
What is a possible side effect of cyclosporine which may cause difficulties eating
gingival hyperplasia
70
Which of the following is the most appropriate treatment protocol according to the 2019 ACVIM Consensus statement on MMVD for a 10 yo 6kg MN Chihuahua with a III/VI left apical systolic murmur, VHS of 11, an LA/Ao of 1.6 (on TFAST), and no exercise intolerance or increased respiratory rate/effort? a. None, this patient is considered to be in stage B1 MMVD b. None, this patient is considered to be in early stage B2 MMVD c. Pimobendan only (0.25-0.3 mg/kg PO q12) with a mildly sodium restricted diet d. Pimobendan (0.25-0.3 mg/kg PO q12), spironolactone (2 mg/kg PO q12-24), and enalapril (or benazepril) (0.5 mg/kg PO q12) with a mildly sodium restricted diet
c. Pimobendan only (0.25-0.3 mg/kg PO q12) with a mildly sodium restricted diet
71
What is the mechanism of action of clopidogrel? a. Platelet aggregation inhibitor: binds selectively to platelet surface adenosine diphosphate (ADP) receptor P2Y12 and irreversibly alters the ADP receptor for the life of the platelet b. Platelet aggregation reducer: Acetylates and inactivates COX-1 activity in platelets to prevent formation of thromboxane A2 c. Anticoagulant: inhibitor of activated clotting factor X (FXa) and prothrombinase activity
a. Platelet aggregation inhibitor: binds selectively to platelet surface adenosine diphosphate (ADP) receptor P2Y12 and irreversibly alters the ADP receptor for the life of the platelet
72
You are reviewing cytology from a firm, well-adhered mass on the distal forelimb of an older Golden Retriever that her owners state has been slowly growing for months. What might you see that will concern you for malignant neoplasia?
a) Nuclear streaming and toxic neutrophils b) Mixed population of spindle cells and connective tissue c) Anisocytosis and anisokaryosis d) A poorly cellular slide with individualized spindle cells
73
1. What are the three most common ticks to transmit F. tularensis?
a. Dermacentor andersoni, Dermacentor variabilis, Amblyomma americanum
74
2. What is the most important zoonotic differential for F. tularensis?
a. Feline plague (Yersinia pestis)
75
3. What is the safest diagnostic test for confirmation of tularemia?
a. Serology titers
76
1. True or False: The fungal diseases Histoplasma and Coccidioides are zoonotic.
False
77
2. What form of Coccidioides exists within mammalian tissue and can be cytologically identified? a. Mycelial b. Yeast c. Spherules d. Hyphae
C. . Spherules
78
3. What form of Histoplasma is the infective phase to dogs and cats? a. Microconidia b. Yeast c. Endospores d. Spherules
a. Microconidia
79
5. What is the approximate half life for circulating mature neutrophils?
b. 5-10 hours
80
6. What is the ratio of circulating neutrophils to marginated neutrophils in dogs and cats, respectively? a. Dogs 1:1; Cats 2:1 b. Dogs 1:2; Cats 1:1 c. Dogs 3:1; Cats 1:2 d. Dogs 1:1; Cats 1:3
d. Dogs 1:1; Cats 1:3
81
7. Which of the following proteins is a major stimulus for bone marrow production of neutrophils? a. Complement 5a b. TNF alpha c. Granulocyte colony stimulating factor (G-CSF) d. TNF beta
c. Granulocyte colony stimulating factor (G-CSF)
82
Glucocorticoids imunosupressant mechanism of action
decrease circulating levels of T-lymphocytes; inhibit lymphokines; inhibit neutrophil, macrophage, and monocyte migration; reduce production of interferon; inhibit phagocytosis, chemotaxis, antigen processing, and intracellular killing
83
chlorambucil imunosupressant mechanism of action
aromatic nitrogen mustard derivative and alkylating antineoplastic agent. Primary cytotoxic effect is d/t alkylation of cancer cell DNA strands resulting in cross-linking and cellular apoptosis.
84
Cyclosporine imunosupressant mechanism of action
calcineurin inhibitor in lymphocytes; binds to T-cell cyclophilin and blocks calcineurin-mediated T-cell activation. T-helper lymphocytes = primary target, but T-suppressor cells are also affected. Also inhibits cytokine production and release (IL-2, inf-y in dogs) → affects fxn of eos, mast cells, granulocytes, and macrophages
85
Mycophenolate mofetil mechanism of action
purine synthesis inhibitor that non-competitively, but reversibly, inhibits inosine monophosphate dehydrogenase (IMPDH)
86
Azathioprine mechanism of action
antagonizes purine metabolism by causing breaks in DNA and RNA secondary to incorporation into nucleic acids and termination of the replication process. Cellular metabolism may become disrupted by drug’s ability to inhib coenzyme formation
87
Leflunomide mechanism of action
pyrimidine synthesis inhibitor; inhibits autoimmune T-cell proliferation AND autoantibody production by B-cells. Primary active metabolite reversibly inhibits the mitochondrial enzyme dihydroorotate dehydrogenase → prevents formation of ribonucleotide uridine monophosphate (rUMP) →decreased DNA and RNA synthesis, inhibition of cell proliferation, and G1 cell cycle arrest
88
According to consensus, it is advisable to institute immunosuppressive therapy for proteinuria when: A. The source of proteinuria is unknown. B. Creatinine values are >3.0 mg/dL, azotemia is progressive, or hypoalbuminemia is severe C. Renal biopsies have confirmed amyloidosis or a familial nephropathy D. A coagulopathy, renal cystic disease, uncontrolled hypertension, and/or IRIS stage 4 CKD is present
B. Creatinine values are >3.0 mg/dL, azotemia is progressive, or hypoalbuminemia is severe
89
3. What is the goal of antiproteinuric therapy in dogs with glomerular disease? a. UPC < 2.0, or 20% reduction b. UPC <1.0 or 40% reduction c. UPC < 0.5 or 50% reduction d. UPC < 0.2 or 75% reduction
c. UPC < 0.5 or 50% reduction
90
The zona glomerulosa is the sole layer of the adrenal cortex that can synthesis and produce aldosterone because which enzyme is present? a. CYP11B1 b. CYP11B2 (aldosterone synthase) c. Angiotensin converting enzyme d. 3Beta-hydroxysteroid dehydrogenase
b. CYP11B2 (aldosterone synthase)
91
3. What are the two mechanisms which stimulate the release of aldosterone? a. Hypokalemia and hypernatremia b. Hypertension and activation of RAAS c. Hyperkalemia and activation of RAAS d. Hypertension and hypernatremia
c. Hyperkalemia and activation of RAAS
92
4. What is the mechanism of action of spironolactone? a. Aldosterone receptor blocker b. Carbonic anhydrase inhibitor c. L type calcium channel blocker d. Na/K/2Cl cotransporter blocker
a. Aldosterone receptor blocker
93
1. Primary hypothyroidism is considered relatively rare in feline patients. In spontaneously occurring, adult onset hypothyroidism, based on recent literature, what is the most commonly reported form? a. Congenital hypothyroidism b. Thyroid gland atrophy c. Goitrous form d. Vaccine induced anti-thyroid antibodies
c. Goitrous form
94
2. You determine that a canine patient was inappropriately placed on levothyroxine supplementation. After what time frame should thyroid function tests be able to accurately be interpreted? a. 2 days b. 1 week c. 45 days d. 3 months
b. 1 week
95
3. A canine patient has recently been diagnosed with primary hypoadrenocorticism. At the time of diagnosis a mildly decreased TT4 and mildly elevated cTSH were also detected. Glucocorticoid administration was initiated. Glucocorticoid therapy may be required up to how long, before TSH levels can be expected to normalize? a. 10 days b. 1 month c. 4 months d. 1 year
c. 4 months
96
4. The majority of 3,5,3’,5’-L-tetraiodothyronine (thyroxin/T4) is bound to which protein? a. Thyroxine binding globulin (TBG) b. Transthyretin c. Albumin d. Plasma lipoproteins
a. Thyroxine binding globulin (TBG)
97
2. In dogs with chronic primary hypothyroidism, which of the following endocrine profiles is most likely to occur? a. Increased TSH in response to 4RH stimulation, increased basal GH b. Increased TSH in response to 4RH stimulation, decreased basal GH c. Normal TSH in the face of 4RH stimulation, increased basal GH d. Normal TSH in the face of 4RH stimulation, decreased basal GH
c. Normal TSH in the face of 4RH stimulation, increased basal GH
98
5. Clinical signs of hypothyroidism occur once what percentage of the thyroid gland is destroyed? a. 10% b. 50% c. 80% d. 95%
c. 80%
99
5. Which of the following regarding bronchomalacia in dogs is NOT correct: a. It is most commonly found in the right (LEFT) cranial and right middle lung lobes b. Dogs with bronchomalacia are more likely to have mitral regurgitation that dogs with other primary respiratory disorders c. Dogs with bronchomalacia are less likely to have bacterial infection than dogs with other causes of cough d. 83% of dogs with tracheal collapse have concurrent lobar collapse  
a. It is most commonly found in the right (LEFT) cranial and right middle lung lobes
100
Which of the following is the most likely cause of the radiographic abnormalities: a. Hypercalcemia b. Calcium oxalate urolithiasis c. Dried solidified blood calculi d. Struvite urolithiasis
b. Calcium oxalate urolithiasis JAVMA 2005 (Kyles)—98% of all ureteral calculi contain calcium oxalate. Only 14% of those cases were hypercalcemic.
101
1. A 7-year-old female/spayed Labrador presents for a 4 month history of polyuria and polydipsia. The RDVM has performed several tests, results of which are posted below: Urine specific gravity (obtained at 4 separate visits): 1.008, 1.008, 1.006, 1.004 Urine culture = no growth Abdominal ultrasound = no abnormalities ACTH stimulation test: Pre = 2.0 (normal <5), Post = 15 (normal <22) Serum chemistry = WNL (they would actually list out these values on your exam) Serum osmolarity = 370 mOsm/kg (normal = 300) DDAVP trial: urine specific gravity = 1.035 after 3 days, water intake is reduced by 50% Which of the statements below is correct? a. This dog most likely has psychogenic polydipsia b. This dog most likely has central diabetes insipidus c. This dog most likely has nephrogenic diabetes insipidus d. A water deprivation test should be performed
b. This dog most likely has central diabetes insipidus Elevated serum osmolarity makes PP unlikely. Response to therapy (USG > 50% increase and decrease in water intake) is supportive of CDI. NDI should not respond to DDAVP. Many consider WDT to be dangerous and would not be necessary in this case.
102
A 4-year-old intact female Australian Shepard presents for infertility. She has previously had successful breeding and whelping. But for the past 2 heat cycles, which were approximately 6 and 12 months ago, she has been bred to the same male without success. According to the owner, proper copulation appears to occur. The owners usually allow mating 10-16 days after the onset of clinical signs of proestrus. She is currently in heat, with the owners reporting onset of proestrus signs 14 days ago. Physical and vaginal examinations are within normal limits. Vaginal cytology = mixed small parabasal cells and intermediate cells Which of the following tests would be most helpful in this case: a. Continued monitoring of vaginal cytology b. Abdominal ultrasound to evaluate for uterine disease c. Measure estrogen to evaluate for a follicular cyst d. Breeding soundness examination of the male A 4-year-old intact female Australian Shepard presents for infertility. She has previously had successful breeding and whelping. But for the past 2 heat cycles, which were approximately 6 and 12 months ago, she has been bred to the same male without success. According to the owner, proper copulation appears to occur. The owners usually allow mating 10-16 days after the onset of clinical signs of proestrus. She is currently in heat, with the owners reporting onset of proestrus signs 14 days ago. Physical and vaginal examinations are within normal limits. Vaginal cytology = mixed small parabasal cells and intermediate cells Which of the following tests would be most helpful in this case: a. Continued monitoring of vaginal cytology b. Abdominal ultrasound to evaluate for uterine disease c. Measure estrogen to evaluate for a follicular cyst d. Breeding soundness examination of the male
a. Continued monitoring of vaginal cytology This cytology represents proestrus. It is likely this dog simply has prolonged proestrus based on the history combined with cytologic findings. Continuing to monitor for signs of estrous (superficial cells on cytology) would be a good approach. Breeding should be attempted when 80% of cells are cornified/superficial cells, so they are attempting breeding too soon.
103
3. A 4-year-old Basenji presented for a 2 month history of PU/PD. The owners obtained the dog from a shelter 2 months ago, and noticed the PU/PD shortly after obtaining the dog. The previous history is unknown. The following results were obtained on laboratory testing: Chemistry: TCO2 = 12 (normal 20-24), Potassium = 3.0 (normal = 3.5-5), Glucose = 86 (normal = 80-120) Urinalysis: USG = 1.012, pH = 8.0, 4+ glucosuria, 3+ proteinuria Fructosmaine = WNL Repeat blood and urine testing 2 weeks later revealed similar findings to those above. The owners did some investigation online and find a protocol highly recommended by breeders that they would like to use. Which of the following medications is NOT part of that standard protocol: a. Calcium phosphate b. Sodium bicarbonate c. Amino acid supplementation d. Potassium citrate
d. Potassium citrate “Gonto” protocol for treatment of Fanconi syndrome. Strongly recommends bicarb over K citrate for buffering effect
104
5. A 5-year-old f/s Miniature Schnauzer with no other history of illness presents to your practice for acute onset of twitching episodes. She is an indoor dog who has had no known exposure to toxins or medications. Beyond a tense abdomen, no abnormalities are found on physical examination. Neurologic examination reveals intermittent muscle twitching and a stiff, stilted gait. You perform a series of tests and obtain the following results: Total calcium = 5.3 (9.3-11.8 mg/dL) Phosphorus = 7.9 (2.9-6.2 mg/dL) All else on chemistry = WNL ***(remember they would actually list this out on the real exam and could have some insignificant alterations to confuse you—although I found them to be relatively straightforward most of the time) PTH = 1.8 (3-17 pmol/L) iCa = 0.96 (1.25-1.45 mmol/L) Which of the following would be most ideal next step in management of this case? a. Begin therapy with calcium gluconate IV and perform 25 Hydroxyvitamin D levels b. Begin therapy with calcium gluconate IV and obtain more information regarding this dog’s dietary content c. Begin therapy with calcium gluconate IV and oral 1,25 dihydroxyvitamin D (calcitriol) d. Begin therapy with calcium gluconate IV and vitamin D2 (ergocalciferol)
c. Begin therapy with calcium gluconate IV and oral 1,25 dihydroxyvitamin D (calcitriol) Based on the severely low calcium in the face of a low PTH, the diagnosis of primary hypoparathyroidism can be made. The ideal treatment for the ER setting would be IV calcium gluconate. The ideal drug for long-term management is calcitriol. Ergocalciferol can also be used long-term but is less ideal due to its longer onset time. Calcitriol also has a shorter half-life, and can be quickly reduced in case of hypercalcemia due to overdose.
105
What are the most common causes of MODS
Sepsis (73% of human cases), SIRS, Trauma and neoplasia
106
What is the mortality rate in dogs with MODS
4% if from trauma, 50% if from sepsis - no real good studies though
107
What are the 3 models for MODS?
- 1 Hit model; organ failiure from a direct result of a massive insult such as polytrauma - 2 Hit model; first hit followed by a second insult - eg polytrauma + catheter infection - sustained Hit model; trauma supported by a continuuous insult, such as continuos ventilator barotrauma
108
There are the proposed mechanisms for MODS
1) cell tissue hypoxia 2) induction of cellular apoptosis 3) translocation of microbes or components of microbes in the GIT tract 4) immune mediated dysfunction 5) mitochondrial dysfunction
109