Asthma Flashcards

(6 cards)

1
Q

John Smith is a 21 year old male presenting with shortness of breath, chest tightness and wheezing during physical activity. The cough is worse at night and responds to triggers such as exercise, cold air and allergens.

What are three differentials and please explain each?

A

Asthma: Worse at night, wheezing and triggered by allergens.
COPD: Shortness of breath and wheezing, but is typically associated with smoking and exposure to environmental pollutants.
Vocal cord dysfunction: Breathing difficulties, can be triggered by emotions or exercise rather than environmental triggers.

How well did you know this?
1
Not at all
2
3
4
5
Perfectly
2
Q

The doctor suspects that John might have asthma. He carries out spirometry before and after an inhaled bronchodilator to determine between asthma and COPD.

Please describe the results of the spirometry

A

Asthma, FVC typically decreased, small airways close prematurely
There is an improvement of 12% after the bronchodilator because asthma is a reversible disease.
The dip in the expiration is called coving.
The obstruction is caused by inflammation, swelling, and constriction of the airway muscles. This makes it more difficult for air to flow in and out of the lungs

How well did you know this?
1
Not at all
2
3
4
5
Perfectly
3
Q

Describe what asthma is and it’s pathophysiology.

A

A condition of Atopy characterised by chronic inflammatory airway. It is a disease of small airways with expiratory airflow limitation. Inflammation is usually reversible. It leads to susceptibility and variable airflow obstruction.

How well did you know this?
1
Not at all
2
3
4
5
Perfectly
4
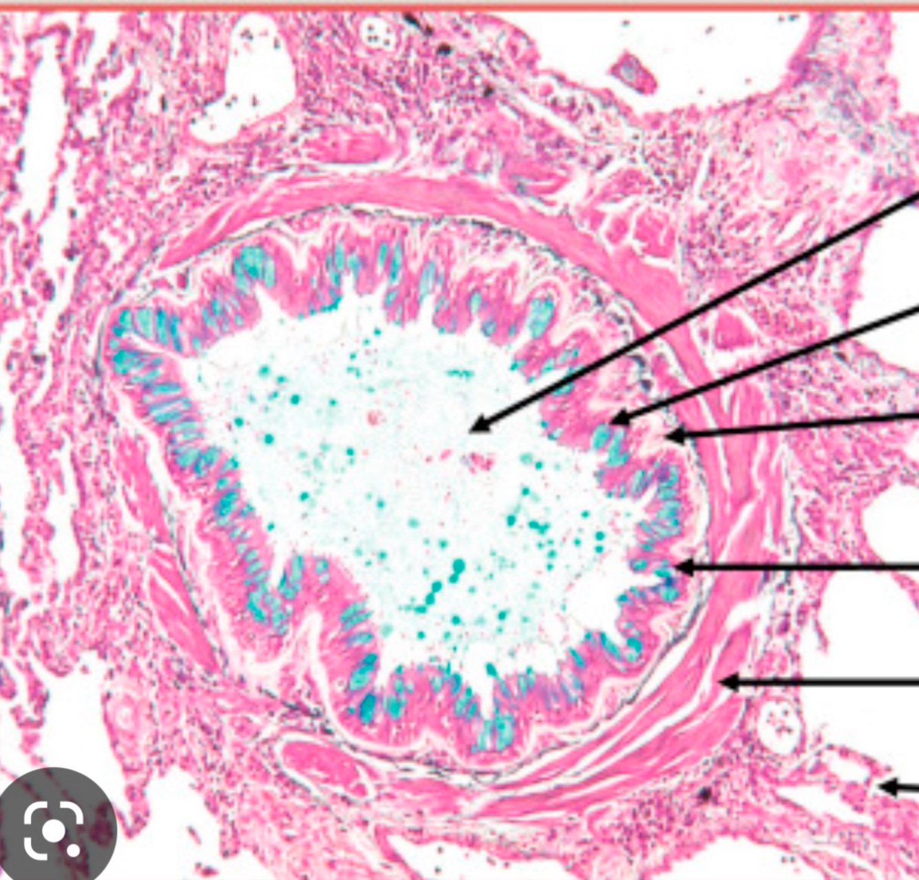
Q

Describe this histology specimen of a patient with asthma

A

Airway infiltration with eosinophils, lymphocytes and mast cells.
Goblet cell hyperplasia
Smooth muscle hypertrophy and hyperplasia
Epithelial shedding

How well did you know this?
1
Not at all
2
3
4
5
Perfectly
5
Q

Over the last hour John later deteriorates, his breathing becomes progressively more difficult, he is visibly exhausted and becomes drowsy.

Please state what you think has happened to John and what you would expect to see on investigations.

A

Acute asthma attack

How well did you know this?
1
Not at all
2
3
4
5
Perfectly
6
Q

How does the drug Ipratropium work?

A

Nebulised ipratropium bromide is a short acting muscarinic antagonist.
Reduces mucus production and opens the airways.
Used alongside beta 2 agonist if no response alone

How well did you know this?
1
Not at all
2
3
4
5
Perfectly