Atherosclerosis
It is the lipid laden deposits in the large and medium sized arteries in the tunica intima
Where do you see atherosclerosis
Thoracic and abdominal aorta, coronary arteries, peripheral arteries and carotid arteries
Interestingly internal mammary (thoracic) artery is protected from it
Pathogenesis

What is a C reactive protein a measure of in terms of atherosclerosis
It is a measure of vascular inflammation.
It is only a marker of vascular disease and does not play a direct role in vascular inflammation
Natural history of atherosclerosis
It can be divided into 2 phases, pre clinical and clinical phase
This leads to the formation of vulnerable plaque that mediates the clinical phase. It is important to know that the vulnerable plaque is still in the preclinical phase

Details of the AHA classifications
Risks of A by coronoary angiography
The progression and risks of A are often underestimated by coronary angiography.
It is important to know why since the lumen narrowing is a late phenomena and angiography can check for the thickening of the vessel

Where are occlusions and aneurysms common
In the coronory artery occlusions are common whereas in the aorta aneurysms are common. Usually aneurysms are not seen in the coronary artery
What is the difference between stable and vulnerable plaque
Stable plaque has a small lipid core with a thick fibrous core whereas a vulnerable plaque has a small fibrous layer and a thick lipid core.
The stable plaque has a narrow lumen but it has a better clinical prognosis as the thin fibrous cap on the vulnerable plaque is the one that gets damaged and causes rupture of the plaque

Grading of a plaque
Depends on the lumen

How do you image plaques
Patients with MI, how does thier vessels look like with angiogrpahy
Patients who have had acute MI, the plaques that rupture leading to atherosclerosis are not the ones that show stenosis in angiography
In other words, the tightest stenosis usually are less likely to cause MI
Mechanisms by which inflammation can lead to occlusion

Pathogenesis of thrombosis
It is called the virchow’s triad:
How does rheology explain the location of plaque formation in the peripheral areas such as the carotids
At the site of bifrication of the carotids (division) there are sites of lower shear stress due to turbulent flow which can cause increased endothelial injury at the sites and this is most often the place where plaques form.
This only explains some of the places where plaque formaiton occur most frequently, it doesnt explain why in some places the plaque doesnt form
What are some of the things that are common in aorta
These are usually silent manifestation

Lines of Zanes, thrombosis, healing, thrombosis, healing
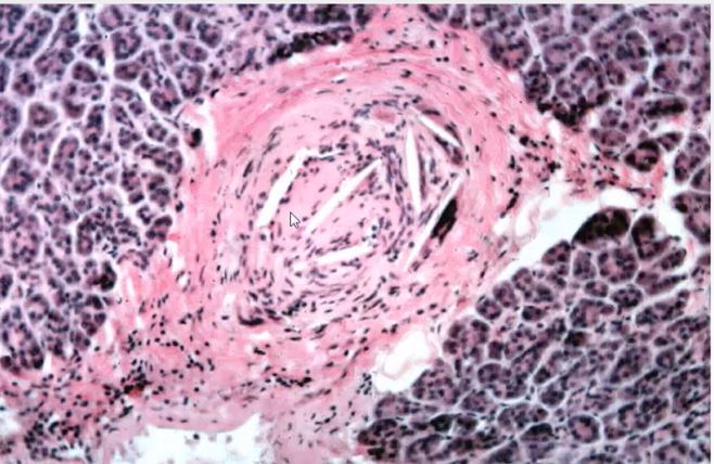
How do you check for atherosclerotic embolism
If you see cholestrol crystals in the center of the lumen of the vessel then they probably came from upstream, cholestrol clefts dont form in the center of the lumen, they form at the edges but they can get dislodged and travel downstream

Aortic aneurysm
Claudification
Plaque progression in the peripheral arteries can lead to cramping pain in the peripheral parts of the body during exertion due to occlusion of the vessel. This phenomena is called claudification

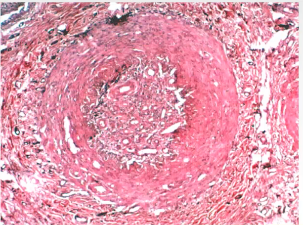
This is something that can be seen in the test and it is important to know that these kind of lesions are not a plaque progression problems but embolism problem and can be a marker for aortic embolism

These are not cholestrol clefts but this is Recanalization where after oclusion of the vessel small vessels form within the artery to deliver blood, these vessels form by angiogenesis