Autoimmunity: Multiple Sclerosis Flashcards

(32 cards)

1
Q

MS: Potential molecular mimicry with myelin basic protein?
Mention the pathogens.

A
How well did you know this?
1
Not at all
2
3
4
5
Perfectly
2
Q
A
How well did you know this?
1
Not at all
2
3
4
5
Perfectly
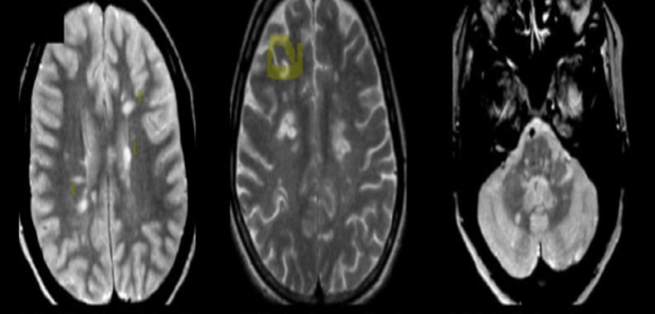
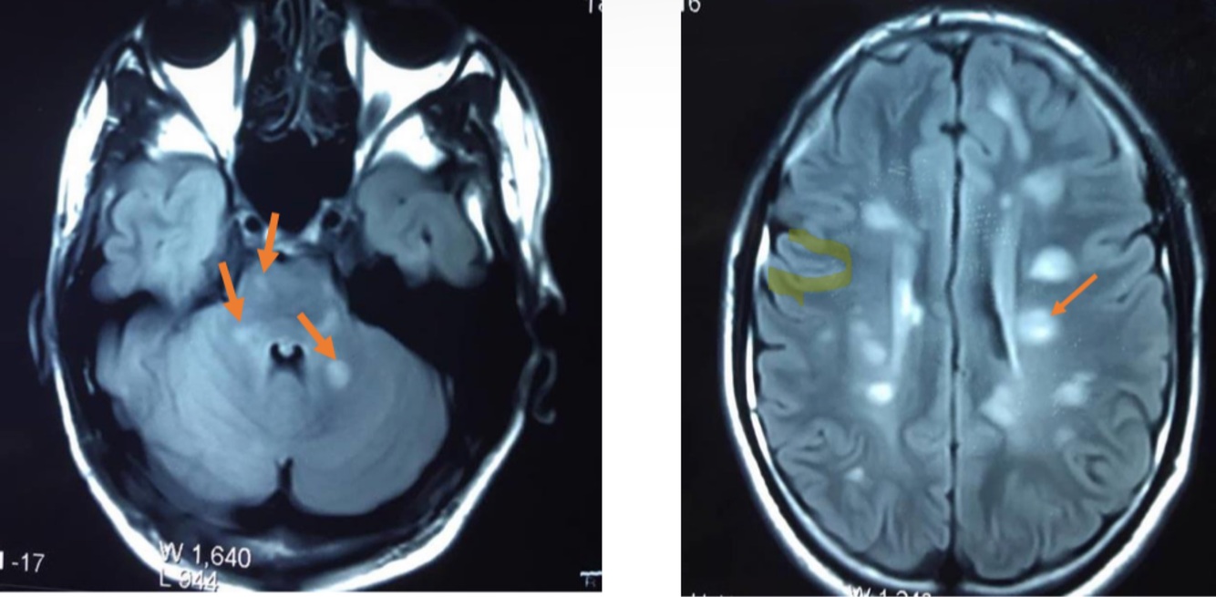
3
Q

Diagnose

A
How well did you know this?
1
Not at all
2
3
4
5
Perfectly
4
Q

what do you see

A
How well did you know this?
1
Not at all
2
3
4
5
Perfectly
5
Q

Treatment of MS relapses?

A
How well did you know this?
1
Not at all
2
3
4
5
Perfectly
6
Q

What to keep in mind when treating MS relapses with Methylprednisolone? (4 points)

A
How well did you know this?
1
Not at all
2
3
4
5
Perfectly
7
Q

DISEASE MODIFYING DRUGS role in treating MS? (4 points)

A
How well did you know this?
1
Not at all
2
3
4
5
Perfectly
8
Q

Therapies to prevent relapses?

Mention 3 examples, their routes and their doses.

A
How well did you know this?
1
Not at all
2
3
4
5
Perfectly
9
Q

Mechanism of action for Glatiramer actetae?

A
How well did you know this?
1
Not at all
2
3
4
5
Perfectly
10
Q

Advantages of Glatiramer actetae?

A

• Regulates immune system

• Reduces relapse rate by 30%

• No effect on primary progressive MS

• No trials in secondary progressiveMS

How well did you know this?
1
Not at all
2
3
4
5
Perfectly
11
Q

Natalizumab mechanism of action?

A

• Recombinant, humanized antibody

• Binds to alpha-4 integrin on the immune cells and prevent their migration into the CNS via the blood brain barrier

How well did you know this?
1
Not at all
2
3
4
5
Perfectly
12
Q

Dosage and route of Natalizumab?

A

Given once per month intravenously

How well did you know this?
1
Not at all
2
3
4
5
Perfectly
13
Q

Advantages of Natalizumab? (3 points)

A

Advantages
• Reduces relapse rate by 68%
• 80-90% reduction in new MRI lesions
• Reduces rate of disability progression by 42%

How well did you know this?
1
Not at all
2
3
4
5
Perfectly
14
Q

What is Teriflunomide?
-Mechanism
-Effectiveness
-Indications

A
How well did you know this?
1
Not at all
2
3
4
5
Perfectly
15
Q

Main side effects of Teriflunomide? (5 points)

A

-slight thrombocyte and leukocyte reduction
- gastrointestinal symptoms
-hepatic impairment
-reversible hair thinning
-peripheral neuropathies and acute uric acid nephropathy

How well did you know this?
1
Not at all
2
3
4
5
Perfectly
16
Q

Mechanism of action for Dimethyl fumarate (Tecfidera)?

A

-amplification of Th2 responses

-Has antioxidative and immunoregulatory effects

-Modulation of the differentiation of antigen presenting cells.

17
Q

Comment on the Effectiveness of Dimethyl fumarate (Tecfidera)

A

Effectiveness: reduction of relapse rate by approx. 50% vs. placebo

18
Q

Indication to use Dimethyl fumarate (Tecfidera)?

19
Q

Main side effects for Dimethyl fumarate (Tecfidera)?

A

gastrointestinal side effects, flush and lymphopenia.

20
Q

The first oral FDA approved drug for relapsing form of MS?

A

Fingolimod (Gilenya)

21
Q

Mechanism of Fingolimod (Gilenya)?

A

Mechanism : Binds to SP1 receptor on lymphocyte , the receptor becomes internalized and it causes the lymphocyte to be sequestrated in lymphoid tissue.

22
Q

Comment on the effectiveness of Fingolimod (Gilenya)?

A

reduction in the rate of relapses by approx. 55% vs. placebo

23
Q

Indications of Fingolimod (Gilenya)?

24
Q

Main side effects of Fingolimod (Gilenya)?

A

-VZV reactivation
-PML cases
-basal cell carcinoma
-transient bradycardia
-macular edema
-haemophagocytic syndrome.

25
Identify the drug: ‘A monoclonal antibody binds to CD 20 a cell expressed on B cells and depletes B cell through antibody dependent cell mediated cytotoxicity.’
Ocrelizumab (Ocrevus)
26
What is Ocrelizumab (Ocrevus)?
A monoclonal antibody binds to CD 20 a cell expressed on B cells and depletes B cell through antibody dependent cell mediated cytotoxicity.
27
Comment on the Effectiveness of Ocrelizumab (Ocrevus)?
-Reduction in relapse rate of approx. 46-47% vs. IFN, reduction in disability progression by 24%
28
What is Alemtuzumab?
• Alemtuzumab: Is a humanized monoclonal antibody directed against CD52 which depletes lymphocytes.
29
Indication to use Alemtuzumab?
Indication: RRMS with at least two relapses over the past two years during at least six months of immunomodulatory therapy or untreated patients have suffered a very high rate of relapse.
30
Drugs to reduce spasticity in MS?
Baclofen and diazepam can reduce spasticity.
31
How are bladder symptoms in MS patients treated?
Bladder symptoms can be treated with anticholinergic drugs.
32
How do we treat neuropathic pain in MS patients?
Cannabis - Sativex (cannabidiol+ tetrahydrocannabinol) symptomatic relief of neuropathic