Neuro: AVE
Quando desconfiamos de AVE?
Quando há um déficit neurológico focal SÚBITO
Neuro: AVE
Consideramos AVE quando o déficit neurológico focal perdura por mais _______( 24h/15 min)
24 HORAS
Neuro: AVE
Consideramos um AIT (Ataque isquêmico transitória) quando:
Transitório e SEM infarto
Neuro: AVE
Historinha do AIT para fixar(ataque isquêmico transitório)
Oclui o vaso cerebral -> deficiencia neurológica focal SÚBITA -> reperfusão -> melhora do quadro
Neuro: AVE
Quais são as etiologias do AVE?
Neuro: AVE
Qual é o a etiologia de AVE mais comum?
***************
ISQUÊMICO!
Neuro: AVE
Como diferenciar AVE isquêmico do hemorrágico?
NEUROIMAGEM
(TC CRÂNIO SEM CONTRASTE)
Neuro: AVE
Como estará a TC de crânio sem contraste no ínicio do quadro de AVE isquêmico?
Normal no inicio
(Lesão HIPOdensa 24-72h)

Neuro: AVE
Como estará a TC de crânio sem contraste no ínicio do quadro de AVE hemorrágico?
Lesão HIPERdensa

Neuro: AVE
Objetivo da TC de crânio sem contraste no AVE
AFASTAR HEMORRAGIA
Neuro: AVE
Qual artéria foi afetada?

Cerebral média
Neuro: AVE
Qual artéria foi afetada?

Cerebral Posterior
Neuro: AVE
Qual artéria foi afetada?

Cerebral Anterior
Neuro: AVE
Qual é a melhor técnica de RM para identificar AVE?
RM por DIFUSÃO (DWI)
Neuro: AVE
Qual é a principal vantagem da RM no AVE?
Precocidade

Neuro: AVE
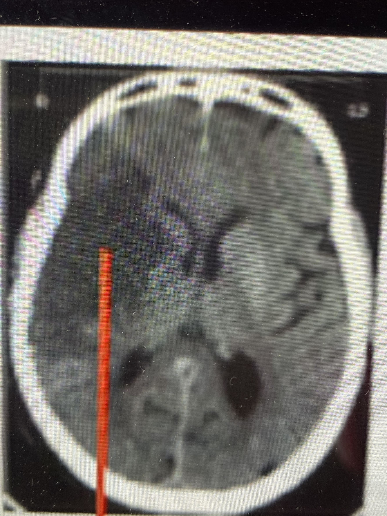
Qual Artéria foi acometida nessa imagem?

A. Cerebral Média
(Lateral)
Neuro: AVE
Sintomas neurológicos ocorridos devido AVE ISQUÊMICO da A. Cerebral Média
Neuro: AVE
Qual artéria foi acometida?

A. Cerebral Anterior
Neuro: AVE
A Artéria cerebral anterior acomete:
A parte MOTORA + SENSITIVA DA PERNA CONTRALATERAL
Neuro: AVE
Doente com fraqueza muscular com predominância na PERNA, qual artéria foi acometida?
A. CEREBRAL ANTERIOR
Neuro: AVE
Qual artéria foi acometida? E qual seu Déficit?

A. cerebral posterior
Déficit visual
Neuro: AVE
Quais artérias ou arteriolas foram acometidas nessa imagem? e o que causa?

Aa. Lenticulo - estriadas (AVE lacunar)
Hemiplegia contralateral pura (não tem outras manifestações)
Neuro: AVE
Onde ocorre a Síndrome Cruzada?
No TRONCO!
Neuro: AVE
O que é a Síndrome Cruzada?
(1) Alteração sensitia ou motora do lado OPOSTO
(2) Alteração de nervo craniano do MESMO lado