AXRs Flashcards

(44 cards)

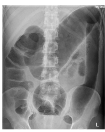
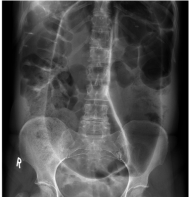
1
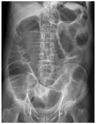
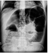
Q

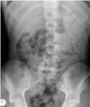
What pathology most likely causes this AXR? [1]

Describe why [2]

A

UC: Toxic megacolon

  • Large bowel obstruction; loss of haustra
How well did you know this?
1
Not at all
2
3
4
5
Perfectly
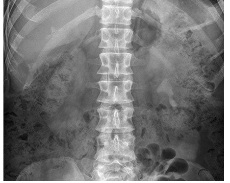
2
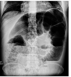
Q

Patient with severe abdominal pain. What does the image show?

Ascites
Lead pipe colon
Normal gas pattern
Rigler’s/ double wall sign
Thumbprinting

A

Patient with severe abdominal pain. What does the image show?

Rigler’s/ double wall sign

Free gas (pneumoperitoneum) can be seen on both sides of the bowel wall. This is Rigler’s sign or the double wall sign.

Whenever sharp points or triangles of low density are seen adjacent to loops of bowel, pneumoperitoneum should be suspected.

Note: In patients with an acute abdomen an erect chest X-ray is more sensitive for small volumes of free gas.

How well did you know this?
1
Not at all
2
3
4
5
Perfectly
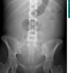
3
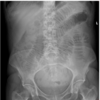
Q

Patient with severe abdominal pain. What does the image show?

What is the likely pathology?

Ascites
Lead pipe colon
Normal gas pattern
Rigler’s/ double wall sign
Thumbprinting

A

Patient with severe abdominal pain. What does the image show?

Ascites
Lead pipe colon
Normal gas pattern
Rigler’s/ double wall sign
Thumbprinting

Inflammation of the bowel wall leads to thickening of the haustral folds. This results in the radiological sign of thumbprinting, a characteristic finding in patients with active ulcerative colitis.

How well did you know this?
1
Not at all
2
3
4
5
Perfectly
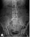
4
Q

What is the cause of the abnormal calcification?

Adrenal calcification
Appendicolith
Gallstones
Pancreatic calcification
Staghorn renal calculus

A

What is the cause of the abnormal calcification?

Staghorn renal calculus

How well did you know this?
1
Not at all
2
3
4
5
Perfectly
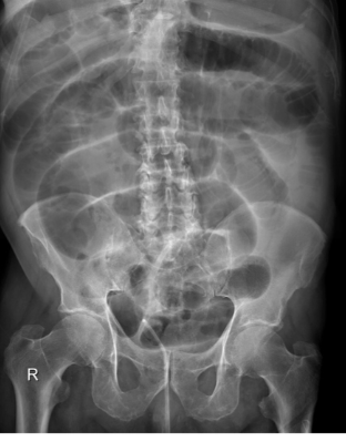
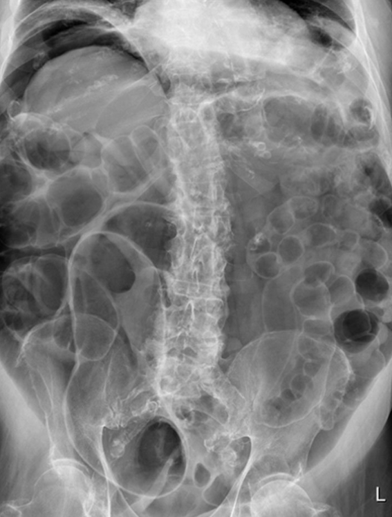
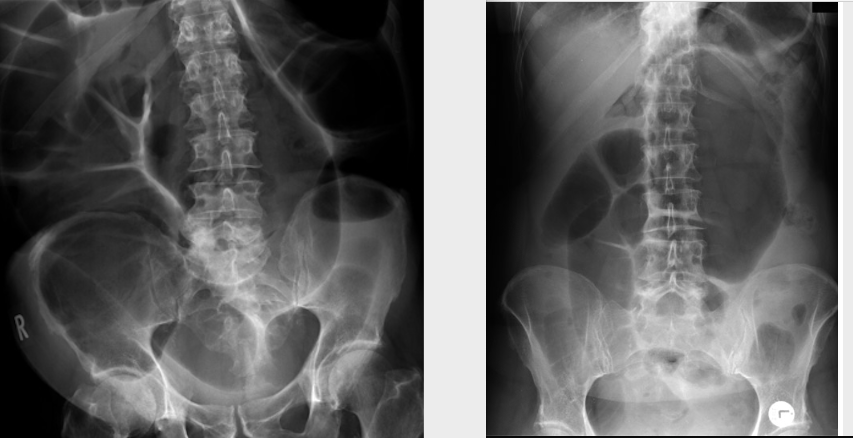
5
Q

24-year-old patient with suspected appendicitis. What does the image show?

Caecal volvulus
Normal appearances
Pneumoperitoneum
Small bowel obstruction
Toxic megacolon

A

24-year-old patient with suspected appendicitis. What does the image show?

Small bowel obstruction

Dilated loops of bowel with valvulae conniventes – lines crossing the full width of the bowel – indicates small bowel obstruction.

How well did you know this?
1
Not at all
2
3
4
5
Perfectly
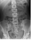
6
Q

Patient with severe abdominal pain. What is the cause of pain demonstrated on this abdominal X-ray?

Caecal volvulus
Normal appearances
Pneumoperitoneum
Small bowel obstruction
Toxic megacolon

A

Patient with severe abdominal pain. What is the cause of pain demonstrated on this abdominal X-ray?

Caecal volvulus
Normal appearances
Pneumoperitoneum
Small bowel obstruction
Toxic megacolon

How well did you know this?
1
Not at all
2
3
4
5
Perfectly
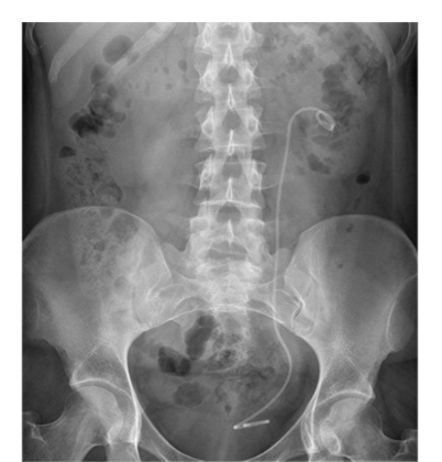
7
Q

What is the artifact shown in this image?

Biliary stent
Colonic stent
External tubing
Percutaneous nephrostomy tube
Ureteric stent

A

What is the artifact shown in this image?

Biliary stent
Colonic stent
External tubing
Percutaneous nephrostomy tube
Ureteric stent

How well did you know this?
1
Not at all
2
3
4
5
Perfectly
8
Q

Patient with abdominal pain and vomiting. What is the radiological diagnosis?

Caecal volvulus
Large bowel obstruction
Small bowel obstruction
Bowel perforation
Normal

A

Patient with abdominal pain and vomiting. What is the radiological diagnosis?

Caecal volvulus
Large bowel obstruction
Small bowel obstruction
Bowel perforation
Normal

How well did you know this?
1
Not at all
2
3
4
5
Perfectly
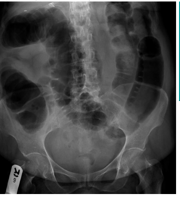
9
Q

What is the radiological diagnosis?

Sigmoid volvulus
Normal
Ascites
Small bowel obstruction
Pneumoperitoneum

A

What is the radiological diagnosis?

Sigmoid volvulus
Normal
Ascites
Small bowel obstruction
Pneumoperitoneum

How well did you know this?
1
Not at all
2
3
4
5
Perfectly
10
Q

What is the cause of the abnormal calcification in this image?

Calcified gallstones
Calcified mesenteric lymph nodes
Pancreatic calcification
Malignant calcification
Calcified uterine fibroid

A

What is the cause of the abnormal calcification in this image?

Calcified gallstones
Calcified mesenteric lymph nodes
Pancreatic calcification
Malignant calcification
Calcified uterine fibroid

How well did you know this?
1
Not at all
2
3
4
5
Perfectly
11
Q

Patient with abdominal pain, vomiting, and constipation. What is the radiological diagnosis?

Caecal volvulus
Sigmoid volvulus
Small bowel obstruction
Perforation
Normal

A

Patient with abdominal pain, vomiting, and constipation. What is the radiological diagnosis?

Caecal volvulus
Sigmoid volvulus
Small bowel obstruction
Perforation
Normal

How well did you know this?
1
Not at all
2
3
4
5
Perfectly
12
Q

What is the cause of the area of increased density in the pelvis?

Calcified pelvic kidney
Calcified abdominal lymph node
Calcified uterine fibroid
Ingested barium
Calcified adrenal gland

A

What is the cause of the area of increased density in the pelvis?

Calcified pelvic kidney
Calcified abdominal lymph node
Calcified uterine fibroid
Ingested barium
Calcified adrenal gland

How well did you know this?
1
Not at all
2
3
4
5
Perfectly
13
Q

History of abdominal surgery 7 years ago. Presented with a 24 hour history of severe abdominal pain and vomiting. What is the radiological diagnosis?

Small bowel obstruction
Post-operative ileus
Normal
Perforation
Sigmoid volvulus

A

History of abdominal surgery 7 years ago. Presented with a 24 hour history of severe abdominal pain and vomiting. What is the radiological diagnosis?

Small bowel obstruction
Post-operative ileus
Normal
Perforation
Sigmoid volvulus

How well did you know this?
1
Not at all
2
3
4
5
Perfectly
14
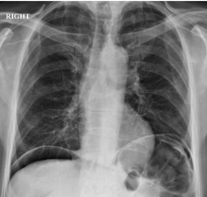
Q

If you saw these X-ray appearances in the setting of acute abdominal pain, what would be the most appropriate course of action?

Place an abdominal drain
Request abdominal ultrasound
Request abdominal MRI
Resuscitate the patient and inform the surgeons
Take a break

A

If you saw these X-ray appearances in the setting of acute abdominal pain, what would be the most appropriate course of action?

Place an abdominal drain
Request abdominal ultrasound
Request abdominal MRI
Resuscitate the patient and inform the surgeons
Take a break

A large volume of free gas is present under the diaphragm. In the context of acute abdominal pain this finding indicates perforation. Emergency resuscitation and informing the surgeons would be the most appropriate action.

How well did you know this?
1
Not at all
2
3
4
5
Perfectly
15
Q

Patient with abdominal pain and vomiting. Which answer best describes the X-ray appearances?

Pneumoperitoneum
Ascites
Psoas abscess
Small bowel obstruction
Normal

A

Patient with abdominal pain and vomiting. Which answer best describes the X-ray appearances?

Pneumoperitoneum
Ascites
Psoas abscess
Small bowel obstruction
Normal

How well did you know this?
1
Not at all
2
3
4
5
Perfectly
16
Q

Patient with abdominal pain and absolute constipation. Which answer best describes the X-ray appearances?

Large bowel obstruction
Sigmoid volvulus
Caecal volvulus
Perforation
Small bowel obstruction

A

Patient with abdominal pain and absolute constipation. Which answer best describes the X-ray appearances?

Large bowel obstruction
Sigmoid volvulus
Caecal volvulus
Perforation
Small bowel obstruction

How well did you know this?
1
Not at all
2
3
4
5
Perfectly
17
Q

Describe what Rigler’s double wall sign appears like [1]
What does this indicate?

A

Normally only the inner wall of the bowel is visible

If there is pneumoperitoneum both sides of the bowel wall may be visible

How well did you know this?
1
Not at all
2
3
4
5
Perfectly
18
Q

What may a liver edge silhouette indicate on an AXR? [1]

A

When perforation of a duodenal ulcer occurs, and
results in a pneumoperitoneum:

Gas collects in Morison’s pouch (the hepato-renal space), and rise on the supine film to the anterior abdominal wall outlining the edge of the liver

diagnostic of duodenal
perforation.

19
Q

What pathology is indicated in this AXR? [1]

A

False Rigler’s/double wall sign
* Be careful not to mistake the gas within two adjacent bowel segments for Rigler’s sign.
* Gas seen on both sides of the bowel wall is contained within adjacent bowel
* There are no black triangles or sharp angles on the outside of the bowel wall

20
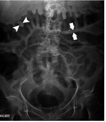
Q

Describe what is seen in this AXR [3]

A

Small bowel obstruction - features

Centrally located multiple dilated loops of gas filled bowel (arrowheads)
Valvulae conniventes (arrow) are visible - confirming this is small bowel

21
Q

Describe what is depicted in this AXR [1]

A

Large bowel obstruction

  • Here the colon is dilated down to the level of the distal descending colon. There is the impression of soft tissue density at the level of obstruction (X). No gas is seen within the sigmoid colon.
  • Obstruction is not absolute in this patient as a small volume of gas has reached the rectum (arrow).
  • An obstructing colon carcinoma was confirmed on CT and at surgery.
22
Q

Which of the following is a caecal and sigmoid volvulus? [2]

23
Q

What sign does this AXR show? [1]
What pathology does this indicate? [1]

A

Mucosal thickening - ‘thumbprinting’
This patient presented with an exacerbation of symptoms of ulcerative colitis.

24
Q

What sign does this AXR show? [1]
What pathology does this indicate? [1]

A

Lead pipe colon
This patient with ulcerative colitis has a featureless segment of transverse colon with loss of the normal haustral markings.
This ‘lead pipe’ appearance is associated with longstanding ulcerative colitis.

25
What sign does this AXR show? [1] What pathology does this indicate? [1]
**Toxic megacolon** The colon is very dilated in this patient with acute abdominal pain, sepsis, and a known history of **ulcerative colitis.** The clinical features and X-ray appearances are consistent with toxic megacolon.
26
Where is the ureteric stone in this AXR? [1]
27
What is depicted here? [1] State a cause of this [1]
**Bladder stones** form in the bladder as a result of **urinary stasis**, e.g. **bladder outflow obstruction** (enlarged prostate) or in **patients with a neurogenic bladder** (loss of bladder function due to spinal cord injury/disease)
28
What is depicted in this AXR? [1] What does this indicate? [1]
**Vascular calcification** There is striking calcification of the aorta and iliac vessels **This is a sign of generalised atherosclerosis elsewhere in the body**
29
What is depicted in this AXR? [1] What does this indicate? [1]
**Abdominal aortic aneurysm - AAA** There is calcification of the dilated aortic wall Frequently only one side of the aneurysm is visible - as in this image - the other being projected over the spine
30
What is the cause of the abnormal calcification? Adrenal calcification Appendicolith Gallstones Pancreatic calcification Staghorn renal calculus
What is the cause of the abnormal calcification? **Adrenal calcification** Appendicolith Gallstones Pancreatic calcification Staghorn renal calculus
31
What is the cause of the abnormal calcification? Adrenal calcification Appendicolith Gallstones Pancreatic calcification Staghorn renal calculus
What is the cause of the abnormal calcification? Adrenal calcification Appendicolith Gallstones **Pancreatic calcification** Staghorn renal calculus
32
What is depicted in this AXR? [1] What does this indicate? [1]
**Appendicolith** Appendicoliths are highly predictive of appendicitis in patients presenting with right iliac fossa pain ## Footnote Appendicoliths are calcific masses in the appendix, formed as a result of the aggregation of faecal particulates and inorganic salts within the lumen of the appendix
33
**What is the artifact shown in this image?** **What pathology does it reduce the risk of?** Naso-jejunal tube Colonic stent Pig-tail (JJ) stent Percutaneous nephrostomy tube Inferior vena cava (IVC) filter
**Inferior vena cava (IVC) filter** An IVC filter may be used to reduce the risk of large pulmonary emboli
34
**What is the artifact shown in this image?** **What pathology does it reduce the risk of?** Naso-jejunal tube Colonic stent Pig-tail (JJ) stent Percutaneous nephrostomy tube Inferior vena cava (IVC) filter
**Colonic stent** Large bowel obstruction can be treated with placement of a metallic colonic stent This is often used as a temporary measure allowing a patient to recover from the effects of obstruction prior to definitive colonic resection
35
**What is the artifact shown in this image?** Naso-jejunal tube Colonic stent Pig-tail (JJ) stent Percutaneous nephrostomy tube Inferior vena cava (IVC) filter
**Pig-tail (JJ) stent** A ureteric stent has been placed to relieve ureteric obstruction The catheter has loops (pig-tails) at both ends which hold it in place
36
**What is the artifact shown in this image?** Naso-jejunal tube Colonic stent Pig-tail (JJ) stent Percutaneous nephrostomy tube Inferior vena cava (IVC) filter
**Naso-jejunal tube** Placed for the purpose of enteral feeding The tube passes through the stomach and forms a C-shape as it navigates the 4 parts of the duodenum (D1-4) The tube tip lies beyond the duodenojejunal flexure which lies on the left
37
What is depicted in this AXR? [1] What does this indicate? [1]
**Ascites** There is generalised hazy density of the entire abdomen In the presence of ascites gas within bowel is located centrally
38
This abdominal X-ray demonstrates multiple dilated loops of bowel with clear valvulae connivente markings. The large bowel is collapsed. **This indicated small bowel obstruction.**
39
This abdominal X-ray shows multiple loops of dilated bowel with a loss of bowel markings **indicating large bowel obstruction. **
40
Sigmoid volvulus Caecum volvulus
This abdominal X-ray shows the ‘coffee bean’ sign, a loop of large bowel dilatation rising from the pelvis indicating **sigmoid volvulus.**
41
What is the name of the sign depicted here? [1] What pathology does it suggest? [1]
This abdominal X-ray of a child shows the presence of **‘Rigler sign’ (double wall sign)**: indicating gas within the abdomen due to a **pneumoperitoneum**.
42
What is the name and suggestion of this sign? [2]
This barium study shows an **apple core lesion** of the caecum strongly suggestive of **adenocarcinoma**.
43
What infection is a likely cause of this pathology? [1]
On this plain radiograph of the kidneys, ureters and bladder (‘KUB’), a large staghorn calculus can be seen in the left kidney. **Proteus infection** is often implicated and management can be difficult.
44