B3 Flashcards

(112 cards)

1
Q

What are the three types of tissue?

A

Epithelial, muscle and nerve

How well did you know this?
1
Not at all
2
3
4
5
Perfectly
2
Q

What are the three main types of epithelial tissue?

A

Squamous epithelium
Columnar epithelium
Endothelium

How well did you know this?
1
Not at all
2
3
4
5
Perfectly
3
Q

What is the function of the epithelial tissue?

A

To line the outer surfaces of organs throughout the body, as well as the inner surfaces of cavities in many internal organs and blood vessels

How well did you know this?
1
Not at all
2
3
4
5
Perfectly
4
Q

Describe the structure and function and function of the squamous epithelium

A
  • Made from specialised flattened squamous epithelial cells packed closely together.
  • Forming a thin, flat and smooth layer that is one cell thick.
  • Squamous epithelial tissue forms the thin walls of alveoli (small air sacs) in the lungs. This provides a large surface area for gas exchange.
  • The one cell thick layer allows a rapid rate of diffusion of oxygen from the air (inside the alveoli) into the blood, and rapid diffusion of carbon dioxide from the blood into alveoli prior to breathing out.
  • This tissue receives a good blood supply which helps to maintain a concentration gradient between alveoli and oxygen (and carbon dioxide) levels in the blood.
How well did you know this?
1
Not at all
2
3
4
5
Perfectly
5
Q

Label three squamous epithelial cells and then show the direction of diffusion of oxygen and the direction of diffusion of carbon dioxide. Indicate where O2 concentration is initially highest and where CO2 concentration is initially highest.

A
How well did you know this?
1
Not at all
2
3
4
5
Perfectly
6
Q

Explain how the structure of the squamous epithelial tissue supports its function in the lungs

A
How well did you know this?
1
Not at all
2
3
4
5
Perfectly
7
Q

What does COPD stand for?

A

Chronic obstructive pulmonary disorder

How well did you know this?
1
Not at all
2
3
4
5
Perfectly
8
Q

Which tissue is damaged if a patient has COPD?

A

Squamous epithelium

How well did you know this?
1
Not at all
2
3
4
5
Perfectly
9
Q

What are the symptoms of COPD and which illnesses are they associated with?

A

Breathlessness (emphysema)
Persistent coughing (emphysema and chronic bronchitis)
Excess phlegm/ mucus production (chronic bronchitis)
Chronic bronchitis and emphysema are both types of COPD

How well did you know this?
1
Not at all
2
3
4
5
Perfectly
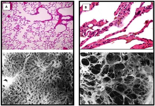
10
Q

Which of the images show a healthy lung and which is from someone with emphysema? Explain your answer

A

A is the healthy lung sample as you can see many small alveoli.

B is a sample of lung from someone with emphysema as there are large spaces where the walls of the alveoli have broken down reducing the surface area.

How well did you know this?
1
Not at all
2
3
4
5
Perfectly
11
Q

What are the main features of emphysema?

A

Main cause is smoking
Damages the squamous epithelium lining of the alveoli
Leads to thickening/ scarring of alveoli walls
Inflammation of alveoli
Abnormally large air spaces in the lungs
Decreased surface area so less gas exchange
Alveoli loose elasticity so they cannot stretch and recoil
Difficulty breathing (breathlessness)

How well did you know this?
1
Not at all
2
3
4
5
Perfectly
12
Q

What are the features of chronic bronchitis?

A
  • Inflammation of the airways in the lungs
  • Squamous epithelium thickens
  • Excessive secretion of mucus resulting in a cough
  • Blocked airways leading to difficulty breathing
How well did you know this?
1
Not at all
2
3
4
5
Perfectly
13
Q

What is the cell labelled A?

A

Goblet cell

How well did you know this?
1
Not at all
2
3
4
5
Perfectly
14
Q

Describe the structure and function of ciliated columnar epithelium

A

Ciliated columnar epithelial tissue is made from column shaped epithelial cells
Tissue is one cell thick and lines trachea (windpipe) to protect lungs from infection.
These column shaped cells have many thin hair-like structures called cilia
The cilia produce rhythmic ‘rapid wave like motions’ to move mucus and trap pathogens (and unwanted particles), moving against air flow stopping them reaching the alveoli

How well did you know this?
1
Not at all
2
3
4
5
Perfectly
15
Q

What is the function of the goblet cells?

A

They make and secrete sticky mucus which helps to keep the lungs moist

How well did you know this?
1
Not at all
2
3
4
5
Perfectly
16
Q

Draw and label a ciliated epithelial cell

A
How well did you know this?
1
Not at all
2
3
4
5
Perfectly
17
Q

Explain how the structure of the columnar epithelial tissue supports its function in the lungs.

A
How well did you know this?
1
Not at all
2
3
4
5
Perfectly
18
Q

Where is squamous endothelial tissue located?

A

The inside layer of arteries and veins

How well did you know this?
1
Not at all
2
3
4
5
Perfectly
19
Q

Why is the endothelium lining smooth?

A

Reduces friction and allows smooth blood flow

How well did you know this?
1
Not at all
2
3
4
5
Perfectly
20
Q

Why do the chemicals that endothelial cells release do?

A

They allow the artery or vein wall to relax or contract (affects lumen diameter). This will regulate blood flow and blood pressure

How well did you know this?
1
Not at all
2
3
4
5
Perfectly
21
Q

Describe the structure and function of the capillaries.

A

Endothelium on it’s own forms the wall of the capillaries, which is one cell thick
The capillary wall has a short diffusion pathway for useful molecules such as glucose and amino acids to diffuse out of the blood into the body cells

How well did you know this?
1
Not at all
2
3
4
5
Perfectly
22
Q

What is the function of the squamous epithelium?

A

Thin, flat and smooth =
alveoli walls one cell thick =
short diffusion pathway for
O2 and CO2 to diffuse across

How well did you know this?
1
Not at all
2
3
4
5
Perfectly
23
Q

What is the function of the ciliated columnar epithelium?

A

Cilia are thin hair-like extensions from cell membranes that waft/ move material

How well did you know this?
1
Not at all
2
3
4
5
Perfectly
24
Q

What is the function of the endothelium?

A

Smooth inner lining of arteries + veins = reduces friction with blood. Easy exchange (capillaries)

How well did you know this?
1
Not at all
2
3
4
5
Perfectly
25
Where in the human body is squamous epithelium found?
Alveoli (small air sacs in the lungs)
26
Where in the human body is the ciliated columnar epithelium found?
Trachea, bronchioles, bronchi (respiratory system)
27
Where in the human body is the endothelium found?
Arteries Veins Capillary wall
28
What is an example of when squamous epithelium tissue does not function correctly?
Emphysema = alveoli walls break down (big air spaces in lungs = smaller SA for gas exchange)
29
What is an example of when ciliated columnar epithelium does not function correctly?
Chronic bronchitis
30
What is an example of when endothelium does not function correctly?
Start of atherosclerosis Thrombosis
31
Damage to what tissue triggers atherosclerosis?
endothelium
32
How does atheroma increase blood pressure?
Causes the artery wall the thicken and harden
33
Describe the development of atherosclerosis.
* Excess saturated fatty acids and low-density lipoproteins (LDLs, so called ‘bad cholesterol’) in the diet over a long period of time can cause plaques to build up in the wall of the artery (under the endothelial layer). * This damages the endothelium and results in the formation of an atheroma. * This triggers an inflammatory response and the migration of a type of white blood cell called macrophages to the site of damage. * These macrophages become ‘foam cells’ that sink into the artery wall and then phagocytose the accumulated cholesterol inside the atheroma. * The atheroma builds to such a size as to reduce the size of the lumen, so reducing blood flow and therefore increase blood pressure. * Over time, the presence of atheroma causes the artery wall to thicken and harden. * If the atheroma plaque ruptures then the plaque may pass to other blood vessels, blocking them and restricting their blood flow. * This is called thrombosis and can lead to a stroke if the blood vessels are blocked in the brain, as neurones do not receive oxygen or glucose and so die. * If the coronary arteries are blocked, this can lead to the death of cardiac muscle tissue (lack of oxygen and glucose), which may lead to a heart attack.
34
Define the term atheroma
Fat deposits/plaque that has built up in the wall of the artery under the endothelial layer, reducing the size of the lumen of the artery, reducing blood flow.
35
Define the term atherosclerosis
The pathological condition of the arteries that is characterized by the build up of (multiple) fat deposits and atheroma in the lining of blood vessels.
36
How does smoking increase the risk of atherosclerosis?
- The nicotine and carbon dioxide in cigarette smoke can directly damage the endothelium and trigger the same chain of events that leads to atherosclerosis and potentially rupture of the atheroma. - In addition to the direct damage of the endothelium: Carbon monoxide in cigarette smoke binds to haemoglobin so lowers the amount of oxygen the blood can carry, meaning the heart must also work harder. Nicotine is a stimulant that mimics acetylcholine (discussed in later in this booklet) causing an increase in heart rate and blood pressure.
37
What is labelled A in the diagram?
Nucleus
38
What is labelled C in the diagram?
Mitochondria
39
What is labelled D in the diagram?
Sarcolemma
40
What is labelled E in the diagram?
Myofibril
41
Describe and explain the structure of a muscle fibre
- Skeletal muscle is composed of muscle fibres bound together by connective tissue. - Each muscle fibre is surrounded by a cell membrane called a sarcolemma and its lots of nuclei are found just beneath - A muscle fibre contains cytoplasm called sarcoplasm and within this is a collection of myofibrils which run parallel to each other along the length of the muscle fibre - Surrounding each myofibril is sarcoplasmic reticulum which contains Ca2+ ions - The sarcoplasm of the muscle fibre contains a large number of mitochondria (aerobic respiration to produce ATP) which supplies energy for muscle contraction
42
What is the name of the thick filament in a myofibril?
Myosin
43
What is the name of the thin filament in a myofibril?
Actin
44
What happens to the length of the sarcomere when the muscle contracts?
It shortens
45
Which band stays the same length when the muscle contracts?
The A band (made of myosin)
46
Label 1-6
1. Z lines 2. A band 3. I band 4. Myosin thick filament 5. actin thick filament 6. sarcomere
47
Describe how muscles contract using the sliding filament theory.
1. Ca2+ are released from the sarcoplasmic reticulum into sarcoplasm. 2. Ca2+ diffuse and bind to troponin and cause tropomyosin to move exposing the myosin head binding sites on the actin filament 3. Myosin heads bind to actin binding sites forming cross bridges. 4. Release of ADP and Pi causes the myosin head to bend pulling the actin filament a short distance (over the myosin). [POWER STROKE] 5. A new ATP binds to myosin head. breaks the cross bridge and separates it from the actin. 6. ATP is hydrolysed to ADP and Pi by ATP hydrolase, the energy released re-cocks the myosin head. [RECOVERY STROKE]. The process repeats.
48
What is the role of calcium ions in muscle contractions?
Calcium ions activate ATP Hydrolase Calcium ions bind to troponin pulling tropomyosin off of the myosin bindings sites Therefore controlling muscle contraction
49
What are the two myofilaments found in skeletal muscle fibres that give it a striated appearance?
Myosin and actin
50
What is the role of the sarcoplasmic reticulum in skeletal muscle tissue?
Controls the uptake and release of calcium Calcium ions controls ATP hydrolase activity And therefor controls the contraction of the muscle
51
Explain the role of ATP in muscle contraction
Break cross bridges Release energy to activate/ drive the power stroke
52
How are slow twitch muscle fibres specialised to use aerobic respiration?
They have many large mitochondria to produce ATP
53
Why do slow twitch muscle fibres have a high concentration of myoglobin?
to act as an oxygen store giving these fibres their red colour allowing greater aerobic respiration
54
Why do slow twitch muscle fibres have a large number of capillaries?
To provide a good oxygen supply allowing greater aerobic respiration
55
Why do slow twitch muscle fibres have a less extensive sarcoplasmic reticulum?
Less calcium ions are required at one time
56
Why do slow twitch muscle fibres require less glycogen?
Glucose is broken down fully via aerobic respiration
57
What type of muscle fibres produce the strongest contractions?
Fast twitch muscle fibres
58
Which type of muscle fibres are quickest to fatigue?
Fast twitch
59
What type of respiration are fast twitch muscle fibres specialised to use?
anaerobic
60
Why do fast twitch muscle fibres have fewer and smaller mitochondria?
As mitochondria are not needed for anaerobic respiration
61
Why do fast twitch muscle fibres have a low concentration of myoglobin?
They primarily do anaerobic respiration so need less oxygen
62
Why do fast twitch muscle fibres have fewer capillaries?
They need less oxygen
63
Why do fast twitch muscle fibres require more extensive sarcoplasmic reticulum?
More calcium ions are required at one time for rapid and intense contractions of the fast twitch muscle fibres
64
Why do fast twitch muscle fibres have more glycogen?
More glucose required as anaerobic respiration yields less ATP per glucose
65
Compare and contrast slow and fast twitch muscle fibres
66
What is the name of the type of cell that makes up the nervous system?
Neurones
67
What does a sensory neurone do?
Takes information and transmits it from a receptor to the central nervous system
68
What does a motor neurone do?
Takes a signal as a nerve impulse away from the spinal cord and to an effector structure
69
Draw and label a motor neurone
70
What is the function of the soma (cell body)?
Contains nucleus, cytoplasm, mitochondria and ribosomes
71
What is the function of the Dendrites?
Receive neurotransmitter signals and then carry nerve impulses towards cell body
72
What is the function of the axon?
Long extension of the cytoplasm from the cell body along which nerve impulse move away from cell body
73
What is the function of the Schwann cells (making the myelin sheath)?
Thin cells that wrap around the axon of the neurone many times and produce myelin for insulation
74
What is the function of the myelin sheath?
Phospholipid membranes of Schwann cells plus myelin make this structure an electrical insulator, increasing the speed of transmission
75
What is the function of the nodes of Ranvier?
Gap between Schwann cells where myelin sheath is absent (nerve impulse can jump here)
76
Axon terminal (synaptic bulb)
When receive nerve impulses, release neurotransmitter, which diffuses across the synapse
77
Describe and explain the structure of the myelin sheath
1. Schwann cells are thin/flat cells with little cytoplasm and few organelles 2. Schwann cells do have a nucleus 3. Schwann cells wrap around the axon of the motor neurone many times 4. Forming a thick layer of many lipid membranes / phospholipid bilayers 5. The cell / lipid membrane of the Schwann cells are hydrophobic 6. Act as electrical insulators of the axon (as they do not allow action potentials/no movement of Na+ ions or K+ ions)
78
What are the key features of a Schwann cell?
* flattened cells * made mainly of cell surface membrane * little cytoplasm or organelles * high lipid content * have a nucleus * wrap around the axon * many thick layers
79
What is the purpose of the Schwann cell (myelin sheath)?
* Myelin makes nerve impulse conduction faster * The myelin sheaf insulates which means the only place an action potential is generated is at the Nodes of Ranvier (gaps between Schwann cells) * The nerve impulse can jump from one node to the next making the nerve impulse faster along the axon versus a non-myelinated axon. * When a nerve impulse JUMPS from node to node, this is called Saltatory conduction.
80
What are the two types of ion responsible for the resting potential across a neurone?
Sodium ions and potassium ions
81
During a resting potential where is the concentration of sodium ions higher?
Outside of the neurone
82
During a resting potential where is the concentration of potassium ions higher?
Inside the neurone
83
How is the difference in concentration of sodium and potassium ions maintained during resting potential?
The sodium/potassium pump pumping 3 sodium ions out and 2 potassium ions in using energy from ATP
84
During the resting potential are the sodium ion channel proteins open or closed?
Closed
85
During the resting potential are the potassium ion channel proteins open or closed?
Mostly closed but some are open
86
What happens during depolarisation?
* The stimulus causes the membrane to become more permeable to Na+ ions (the voltage-gated Na+ channel proteins OPEN) and because there is a higher concentration of Na+ ions outside the cell the Na+ ions rapidly diffuse INTO the cell (by facilitated diffusion). * The high concentration of positive Na+ ions inside the cell now reverses the resting potential and causes the inside to become positive in relation to the outside. This process in called DEPOLARISATION. * The K+ voltage gated channel proteins remain CLOSED at this time. * The high concentration of positive ions inside the cell is the ACTION POTENTIAL.
87
What happens during repolarisation?
* Once the internal potential difference reaches +40 mV (forming the action potential due to depolarisation), the Na+ ion voltage-gated channel proteins CLOSE and the K+ ion voltage-gated channel proteins OPEN. * There are more K+ ions on the inside of the axon than the outside of the axon membrane and therefore the K+ ions diffuse OUT of the cell down a concentration gradient. This process is called REPOLARISATION.
88
What is hyperpolarisation?
* The K+ ion channel proteins remain open longer than needed to reach resting potential, making the inside of the cell even more negative to about -90mV. This process is called hyperpolarisation. * The sodium potassium pump restores the resting potential back to -70mV
89
What is meant by saltatory conduction?
The impulse travels by jumping from one node of Ranvier to the next.
90
What three factors affect the speed of conduction of impulses?
1. Myelin sheath and saltatory conduction 2. Temperature 3. Axon diameter
91
How does the presence of a myelin sheath affect the speed of conduction of nerve impulses?
Myelin sheath with increase the speed of conduction as depolarisation only occurs at the nodes / less of the axon needs to be depolarised.
92
How does temperature affect the speed of conduction of nerve impulses?
Higher temperatures increase the Kinetic energy so increases rate of diffusion of ions therefore increasing the rate of conduction
93
How does axon diameter affect the speed of conduction of nerve impulses?
The larger the axon diameter the greater the speed of conductance (larger surface area increases the number of channel proteins)
94
What type of molecule is acetylcholine?
neurotransmitter
95
What is labelled A on the diagram?
Synaptic cleft
96
What is labelled B on the diagram?
Mitochondria
97
What is labelled C on the diagram?
Vesicles filled with neurotransmitter (acetylcholine)
98
What is labelled D on the diagram?
Acetylcholine
99
What is labelled E on the diagram?
Acetylcholine neurotransmitter
100
Describe the transmission of a nerve impulse across the synapse
1. Action potential arrives at the synaptic bulb of pre-synaptic neurone 2. Calcium ion channels open and calcium ions diffuses into the pre-synaptic bulb 3. Synaptic vesicle fuses with pre-synaptic membrane and releases neurotransmitters by exocytosis 4. Neurotransmitter diffuses across synaptic cleft and bind to specific receptors 5. Sodium ion channels open and sodium ions diffuse in and depolarises the post synaptic membrane 6. Enzymes hydrolyse neurotransmitters
101
What is meant by an agonist drug in synaptic transmission?
Drug has a similar shape to the neurotransmitter and so can bind to the receptors in the post-synaptic membrane mimicking their effect.
102
What is meant by an antagonist drug in synaptic transmission?
The drug can bind to receptors in post-synaptic membrane and block the normal neurotransmitter from binding.
103
What is the neuromuscular junction?
A synapse between a motor neurone and a muscle cell. It uses acetylcholine which binds to acetylcholine receptors.
104
How is the neuromuscular junction different from a synapse?
In a neuromuscular junction: 1. The postsynaptic membrane has lots of folds that form clefts. These clefts increase surface area so more receptors are embedded and more acetylcholinesterase enzymes are embedded 2. The post synaptic membrane has more receptors than other types of synapses 3. When a motor neurone fires an action potential it always triggers a response in a muscle cell
105
What is meant by an inhibitory neurotransmitter?
When they bind to their receptors on the post-synaptic membrane they promote formation of action potentials. The higher the concentration of EXCITATORY neurotransmitter, the more likely it is action potentials form and so more nerve impulses pass down the post-synaptic cell.
106
What is meant by an excitatory neurotransmitter?
When they bind to their receptors on the post-synaptic membrane they actually INHIBIT the formation of action potentials in the post-synaptic cell. The higher the concentration of INHIBITORY neurotransmitter, the less likely it is action potentials form and so fewer (or no) nerve impulses pass down the post-synaptic cell.
107
What is the role of dopamine in the brain?
* Dopamine is an excitatory neurotransmitter that is used by certain neurons in the brain. * If enough dopamine binds to receptors on the post-synaptic membrane, action potentials form resulting in nerve impulses passing down the next neurone. * The areas of the brain that use dopamine help to plan and control the co-ordinated movement of muscles (e.g. when talking, picking up an object or when walking)
108
What is the role of serotonin in the brain?
* Serotonin is an excitatory neurotransmitter that is used by other neurons in the brain. * If enough serotonin binds to receptors on the post-synaptic membrane, action potentials form resulting in nerve impulses passing down this post-synaptic cell. * Areas of the brain that use serotonin as a neurotransmitter create feelings of happiness and well-being. Lower levels of serotonin mean there are less action potentials formed in these post-synaptic neurons (less nerve impulses are sent) in this brain area, creating feelings of depression, anxiety or sleeplessness.
109
What is labelled A on the ECG?
Atrial depolarisation
110
What is labelled B on the ECG?
Ventricular depolarisation
111
What is labelled C on the ECG?
Ventricular repolarisation
112
Why might giving high levels of a drug like L-Dopa, which crosses into the brain and is then used by neurons to make dopamine, improve mood in people with depression?
1. More dopamine (neurotransmitter) being made from the L-Dopa 2. More dopamine in synaptic cleft / more dopamine to binds to receptors (on post-synaptic membrane) 3. More action potentials / less nerve impulses / less transmission of impulses