Bacillariophyta Flashcards

(24 cards)

1
Q
A

Volutin granules

Diatoms accumulate lipids and volutin.

Volutin granules accumulate in the cytoplasm and constitute a reserve of inorganic polyphosphates.
The number and position of the volutin granules constitute a systematic character.

How well did you know this?
1
Not at all
2
3
4
5
Perfectly
2
Q
A

Pennate diatoms: two large chloroplasts, plate-like, parietal and often lobed

How well did you know this?
1
Not at all
2
3
4
5
Perfectly
3
Q
A

Centric diatoms: many small discoid chloroplasts, lobed

How well did you know this?
1
Not at all
2
3
4
5
Perfectly
4
Q
A

Red: epivalve: older and bigger than hypovalve

Green: Cingula: silicious rings (girdle band) located between the valves

Blue: hypovalve: younger and smaller than epivalve

How well did you know this?
1
Not at all
2
3
4
5
Perfectly
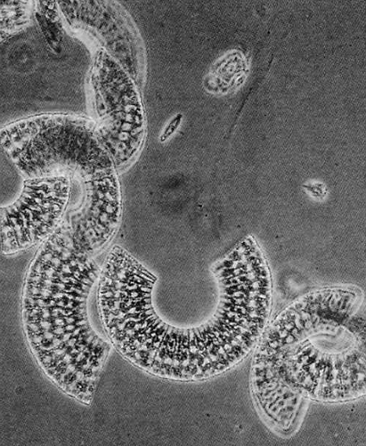
5
Q
A

Differences in cingulum structure

How well did you know this?
1
Not at all
2
3
4
5
Perfectly
6
Q
A

Small one:
Centric diatoms:
AA = radial
BB = valvar

Big one:
Pennate diatoms:
AA = apical
BB = valvar
CC = transapical

Valvar plane lies parallel to the valves, with an outline dependent on the shape of the valves in “valve view”

Apical plane traverses the long axis of the frustules from end to end (apex to apex)

Transapical plane lies perpendicular to the apical plane, traversing the frustules from side to side along the shorter dimension of the frustule

How well did you know this?
1
Not at all
2
3
4
5
Perfectly
7
Q
A

pennate diatoms with raphe on both valves or only one

How well did you know this?
1
Not at all
2
3
4
5
Perfectly
8
Q
A

the other valve may have a clear central area= pseudoraphe

How well did you know this?
1
Not at all
2
3
4
5
Perfectly
9
Q
A

Raphe can be central or eccentric

How well did you know this?
1
Not at all
2
3
4
5
Perfectly
10
Q
A

Central ends of raphe

How well did you know this?
1
Not at all
2
3
4
5
Perfectly
11
Q
A

Polar ends raphe

How well did you know this?
1
Not at all
2
3
4
5
Perfectly
12
Q
A

Loculate Areolae

Areolae of centric diatoms can assume the appearance of hexagonal chambers (LOCULAE) with a partially close outer surface (roof), characterized by the presence of a large round hole, called foramen

How well did you know this?
1
Not at all
2
3
4
5
Perfectly
13
Q
A

tangential arrangement Areolae

How well did you know this?
1
Not at all
2
3
4
5
Perfectly
14
Q
A

Radial arrangement Areolae

How well did you know this?
1
Not at all
2
3
4
5
Perfectly
15
Q
A

The areolae in the pennate diatoms can be arranged in rows to form the STRIAE

Left to right: parallel, radiate, lineate parallel, lineate radial

How well did you know this?
1
Not at all
2
3
4
5
Perfectly
16
Q
A

Most centric and Araphidean pennate diatoms have a RIMOPORTULA, a special wall organelle, represented by more or less elongate tube passing through the valve, which in the internal side of the valve shows an opening similar to two lips.

This structure is also called LABIATE PROCESS. Its function is related to the secretion of mucilaginous polysaccharides

17
Q
A

FULTOPORTULA that is not compressed internally

18
Q
A

ocellus = structure involved in the secretion of mucilaginous material. It consists of an elevated siliceous plate, finely perforated and surrounded by a hyaline rim.

In Centric diatoms and some Pennate diatoms

The mucilage secreted by the ocellus is used to anchor cells to the substrate or for adhesion of cells in a colony.

19
Q
A

A study carried out on the genus Skeletonema has shown the existence of numerous genetically and morphologically distinct species within what was considered a single cosmopolitan and opportunistic species, Skeletonema marinoi.

20
Q
A

benthic diatoms or periphyton

Single cells anchored to the substrate with whole valve

21
Q
A

benthic diatoms or periphyton

Erect cell colonies arranged to fan, anchored by mucilaginous pads

22
Q
A

Cells anchored to the substrate by long mucilaginous stalks

23
Q
A

benthic diatoms or periphyton

Cell chain

24
Q
A

meroplanktonic or ticopelagic diatoms

Temporary members of plankton
They are often pennate diatoms living loosely attached to the substrate.
With turbulence they are dragged into open waters and they continue to live like plankton