Bacterioides Flashcards

(7 cards)

1
Q

Que facto estimula el crecimiento de los Bacterioides

A

La bilis estimula su crecimiento

How well did you know this?
1
Not at all
2
3
4
5
Perfectly
1
Q

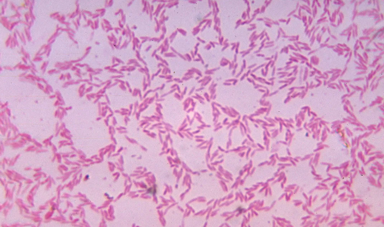
Características de Bacteroides

A

Bacilo gram -
pleomórfico
- anaerobio
- no formador de esporas
- Vecina del enterococo
en intestino

How well did you know this?
1
Not at all
2
3
4
5
Perfectly
2
Q

Mecanismos de patogenecidad de los bacterioides:

A
  • Capsula poliscaridos (antifagocitosis)
  • fimbrias adhesión epitelial y peritoneal
  • Enterotoxigénica - B.fragilis
How well did you know this?
1
Not at all
2
3
4
5
Perfectly
3
Q

Función B.Fragilis

A

Enterotoxina que estimula secreción de cloro

How well did you know this?
1
Not at all
2
3
4
5
Perfectly
4
Q

Enfermedades por Bacterioides

A

Grastoninteritis pro B. fragilis (sale de nicho e invadir)

Absesos
(abdominales o ginecológicos - antecedente ruptura)

Infecciones de piel por popo o mordedura humana o animal
-mionecrosis-fascitis necrosante-

How well did you know this?
1
Not at all
2
3
4
5
Perfectly
5
Q

Metodo diagnóstico bacteroides

A

BBE (bilis esculina agar)

How well did you know this?
1
Not at all
2
3
4
5
Perfectly
6
Q

Tratamiento absesor por bacteroides

A

Drenar

How well did you know this?
1
Not at all
2
3
4
5
Perfectly