Basic Blood Exam Flashcards

(26 cards)

1
Q

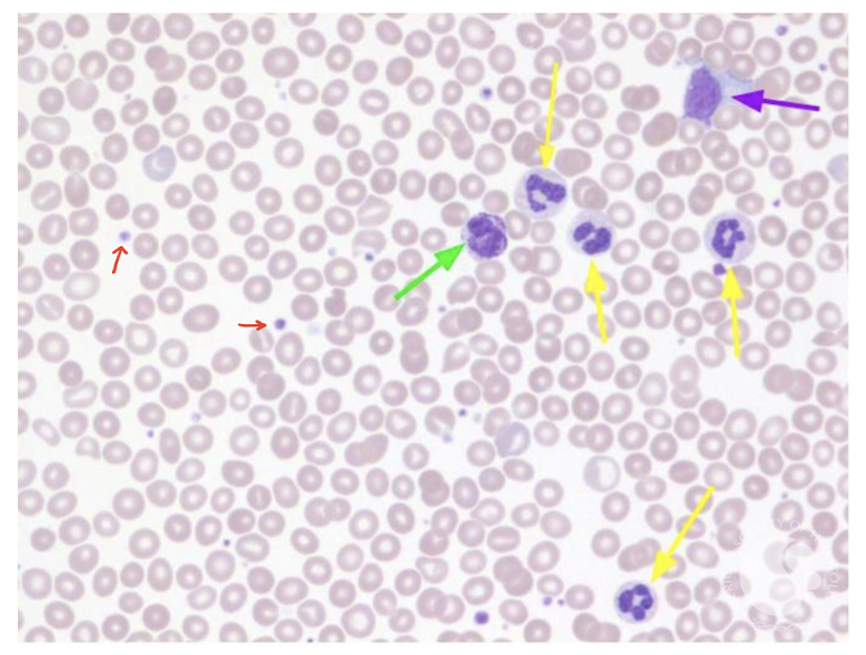
Identify the cells types present on the attached peripheral blood smear.

A

Red arrow - Platlets
Yellow arrow - Neutrophils
Green arrow - Basophils
Purple arrow - Monocytes
No arrow - RBCs

How well did you know this?
1
Not at all
2
3
4
5
Perfectly
2
Q

Macrocytic RBCs are most associated with what cause?

A

B12 or Folate Deficiency

How well did you know this?
1
Not at all
2
3
4
5
Perfectly
3
Q

CD16 & CD56 are most associated with what cells?

A

NK Cells

How well did you know this?
1
Not at all
2
3
4
5
Perfectly
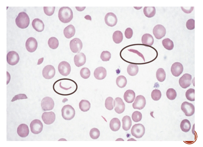
4
Q

Patients with sickle cell disease have RBCs with a crescent appearance. What is the name for this RBC shape?

A

Drepanocytes

How well did you know this?
1
Not at all
2
3
4
5
Perfectly
5
Q

All T lymphocytes have this protein marker on their surface.

A

CD3

How well did you know this?
1
Not at all
2
3
4
5
Perfectly
6
Q

These are random clusters of RBCs.

A

Agglutination

How well did you know this?
1
Not at all
2
3
4
5
Perfectly
7
Q

Bone marrow cellularity naturally decreases with age. What replaces these stem cells?

A

Adipocytes

How well did you know this?
1
Not at all
2
3
4
5
Perfectly
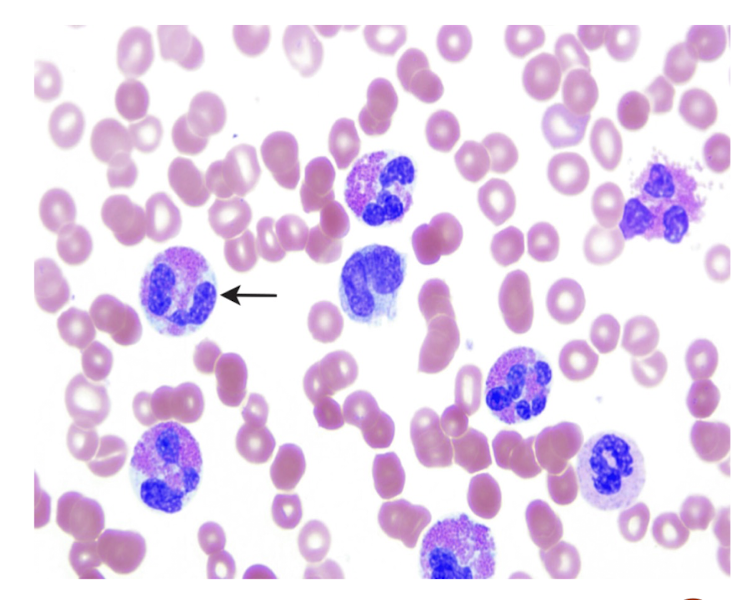
8
Q

What are band cells?

A

Premature neutrophils

How well did you know this?
1
Not at all
2
3
4
5
Perfectly
9
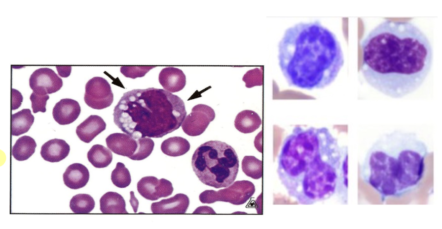
Q

Monocytes mature into macrophages. How is their histologic appearance described?

A

Cells with an indented nucleus and ground-glass cytoplasm

How well did you know this?
1
Not at all
2
3
4
5
Perfectly
10
Q

These RBCs are twice as long as they are wide.

A

Elliptocytes

How well did you know this?
1
Not at all
2
3
4
5
Perfectly
11
Q

What are the contraindications to a bone marrow biopsy?

A

Inability to properly form clots, infection close to site, radiation exposure at site

How well did you know this?
1
Not at all
2
3
4
5
Perfectly
12
Q

A CBC is run and an RBC is described as microcytic. What lab result was utilized to make this classification?

A

Mean Corpuscular Volume (MCV)

How well did you know this?
1
Not at all
2
3
4
5
Perfectly
13
Q

Eosinophils contain granules with what enzyme?

A

Histaminase

How well did you know this?
1
Not at all
2
3
4
5
Perfectly
14
Q

Microcytic RBCs are most associated with what cause?

A

Iron deficiency

How well did you know this?
1
Not at all
2
3
4
5
Perfectly
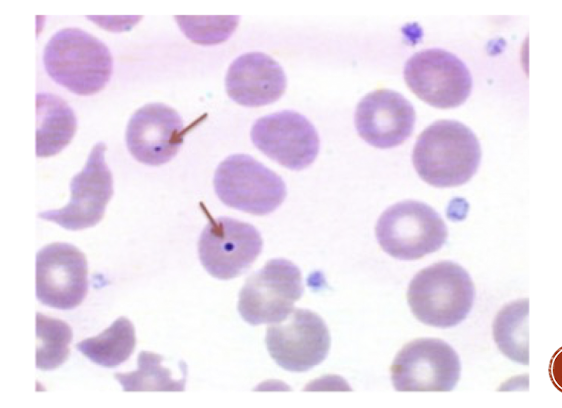
15
Q

Howell-Jolly bodies are nuclear remnants in mature RBCs. In what patients are these most commonly found?

A

Patients without a spleen

How well did you know this?
1
Not at all
2
3
4
5
Perfectly
16
Q

What protein markers are located on all B lymphocytes?

A

CD19, CD20, CD21

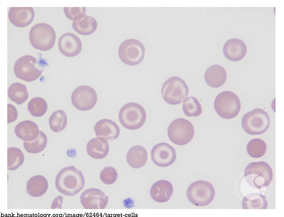
17
Q

How can codocytes be described?

A

AKA target cells - RBCs with a ring of central pallor surrounding a central circle of a hemoglobinized membrane

18
Q

These histological findings are characteristic of G6PD.

A

Heinz Bodies and Bite Cells

19
Q

RBCs are derived from what cell lineage?

A

Myeloid Stem Cells

20
Q

What are the general indications for a bone marrow study?

A

Diagnosis of disease, staging of malignancy, monitoring treatment or disease progression

21
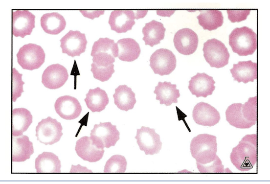
Q

This RBC shape is characterized by spiny projections and central pallor.

A

Echinocytes (Burr Cells)

22
Q

Basophilic stippling is due to clusters of RNA-containing ribosomes within RBCs. With what pathology are these most associated?

A

Lead Poisoning

23
Q

True/False. Bone marrow biopsies produce fresh tissue.

A

False - tissue must be “fixed” due to calcification. Bone marrow aspiration provides fresh tissue

24
Q

True/False. Red Cell Distribution Width (RDW) is a measure of variation in the size of RBCs. This value should be zero, except in cases of anemia.

A

False - RDW generally ranges from 11.5-14.5%. It increases in cases of anemia and liver disease.

25
Dacryocytes have a teardrop or pear shape. What is the cause of this RBC abnormality?
Myelofibrosis
26
This RBC shape is characterized by spiky spherocytes without central pallor.
Acanthocytes ( Spur Cells)