The polarity of ephitelial cell (apical x basolateral) is established by …
tight junctions
+
internal organization of organelles
The transport of substances through epithelial tissue is basic …
transcellular
(large molecules - through the cells)
paracellular
(between the cells)
How do tight junctions regulate the paracellular pathway?
keep basolateral and apical surface separate
→
formation of 2 distinct compartments (barrier)
How can we detect the lost of polarized organization of the epithelial tissue?
Antibodies against proteins specific for either the apical or basolateral membrane
→
useful to early index of neoplasticity
Epithelial Tissue generalities
avascular → interstitial fluid from connective tissue
proliferation → stem cells
hematoxylin-and-eosin staining
Epithelial Tissue
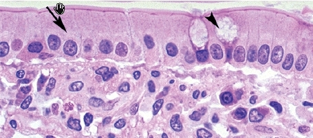
Simple Columnar Epithelium
intestine
(large and small)

Epithelial Tissue
Simple Squamous Epithelium
endothelium (blood vessels)
mesothelium (serous membranes)
epithelium (glomerular capsule)

Epithelial Tissue
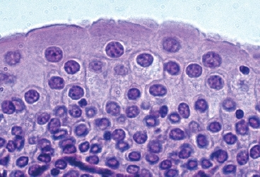
Pseudostratified Columnar Epithelium
nasal cavity
trachea
bronchi
epididymis

Epithelial Tissue
Transitional Epithelium
Ureter
Bladder

Epithelial Tissue
Stratified Squamous Epithelium
skin (keratinizing)
oral cavity
pharynx
esophagus

Epithelial Tissue
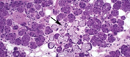
Simple Cuboidal Epithelium
renal tube
salivary gland acini (secretory cells)

Epithelial Tissue
Stratified Cuboidal Epithelial
salivary gland (ducts)

Epithelial Tissue
Glands
Unicellular (GI and respiratory tract)
Multicellular (exocrine or endocrine)

Cytoskeletal Elements
Microfilaments = actin
Cytoeskeletal Elements
Intermediate Filaments
Cytoeskeletal Elements
Microtubule
Cell Adhesion
Molecules
Cell Adhesion
Basement Membrane

Cell Junctions
Tight junction (zonula occludens)

Cell Junctions
Adheren Junctions (zonula adherens)

Cell Junctions
Desmossome (macula adherens)

Cell Junctions
Hemidesmossome

Cell Junctions
Gap Junction

Membrane Specialization
Microvilli
