Basic Science & Miscellaneous Flashcards

(5 cards)

1
Q

36-year-old man who has progressive wasting of his intrinsics in the hand with progressive bilateral cavovarus feet. What genetic disease is this?

A

Charcot-Marie-Tooth - hereditary motor-sensory neuropathy

How well did you know this?
1
Not at all
2
3
4
5
Perfectly
2
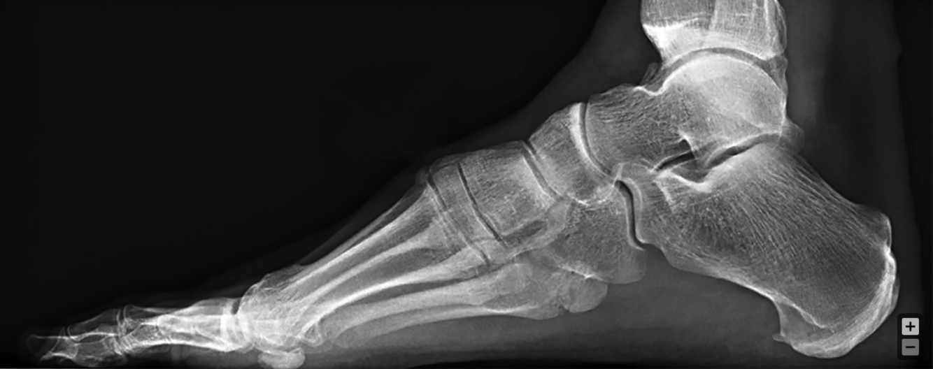
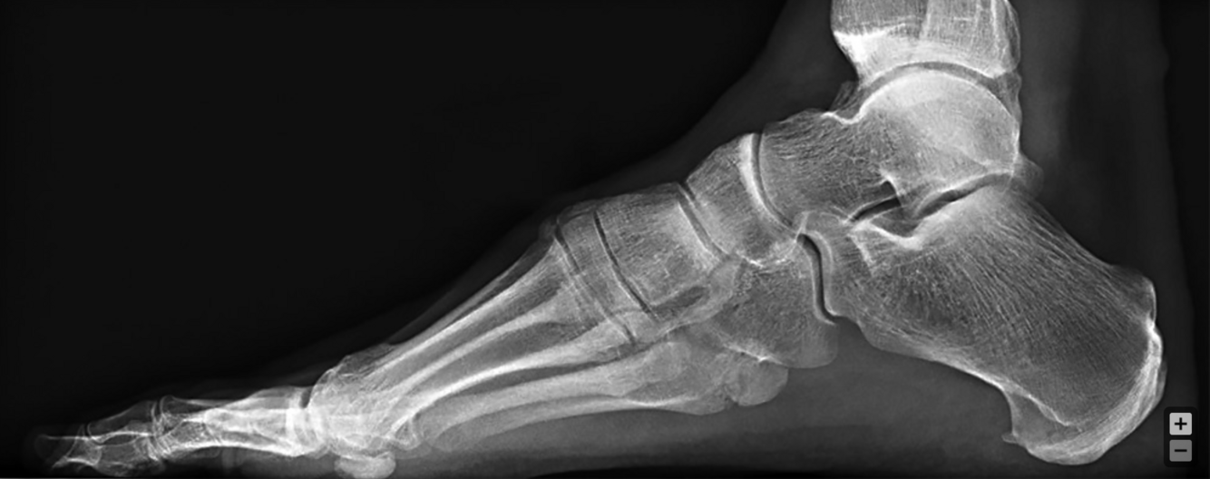
Q

36-year-old man who has progressive wasting of his intrinsics in the hand with progressive bilateral cavovarus feet. What is the sequence of weakness in his ankle/foot? How does this weakness affect the position of the foot?

A
  1. Anterior tibial tendon - foot drop/plantar flexion
  2. Peroneus brevis - foot adduction
How well did you know this?
1
Not at all
2
3
4
5
Perfectly
3
Q

36-year-old man who has progressive wasting of his intrinsics in the hand with progressive bilateral cavovarus feet. After weakness sets in the ankle/foot, what opposing muscles create deformation? How does this affect the position of the foot?

A
  1. Peroneus. longus - opposition to anterior tendon. Plantar flexes first ray.
  2. Posterior tibial tendon - opposition to the peroneus brevis. Adduction of foot.
How well did you know this?
1
Not at all
2
3
4
5
Perfectly
4
Q

36-year-old man who has progressive wasting of his intrinsics in the hand with progressive bilateral cavovarus feet. After weakness sets in the ankle/foot, what tendon transfers would help reinforce the weak muscles and remove the deforming forces?

A
  1. Posterior tibial tendon to the dorsum of the foot to improve dorsiflexion.
  2. Peroneus longus to the peroneus brevis postion to improve foot abduction.
How well did you know this?
1
Not at all
2
3
4
5
Perfectly
5
Q

What is the treatment for chronic ulcer on distal aspect of toe in patient with diabetic peripheral neuropathy and hammer toe?

A

Flexor tenotomy

How well did you know this?
1
Not at all
2
3
4
5
Perfectly