BB2 Qs Flashcards

(761 cards)

1
Q

Parkinsons disease pathophysiology:

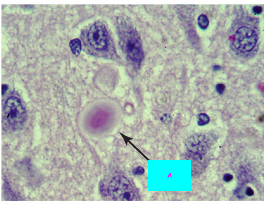
Name A [1]
Which protein is is A enriched with? [1]

A

Lewys body: enriched with protein α-synuclein

How well did you know this?
1
Not at all
2
3
4
5
Perfectly
2
Q

What is the structure? [1]

What has been stained brown using immunohistochemistry? [1]

A

A Lewy body (stained brown) in a brain cell of the substantia nigra in Parkinson’s disease. The brown colour is positive immunohistochemistry staining for alpha-synuclein.

How well did you know this?
1
Not at all
2
3
4
5
Perfectly
3
Q

What imaging is used in this picture? [1]

A

dopamine transporter (DaT) - DaT scan

How well did you know this?
1
Not at all
2
3
4
5
Perfectly
4
Q

Which gene is likely to code for alpha-synuclein in familial PD?

PARK2
PARK7
GBA
SNCA
LRRK2

A

Which gene is likely to code for alpha-synuclein in familial PD?

PARK2
PARK7
GBA
SNCA
LRRK2

How well did you know this?
1
Not at all
2
3
4
5
Perfectly
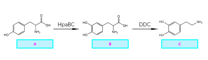
5
Q

Metabolism of dopamine:

Label A-C [3]

A

A: Dopamine

B: DOPAC

C: Homovanillic acid

How well did you know this?
1
Not at all
2
3
4
5
Perfectly
6
Q

Biosynthesis of dopamine

Label A-C

A

A: L-tyrosine
B: L-DOPA
C: Dopamine

How well did you know this?
1
Not at all
2
3
4
5
Perfectly
7
Q

Which part of the brain allows you to overide habitual responses? [1]

A

Prefrontal cortex

How well did you know this?
1
Not at all
2
3
4
5
Perfectly
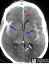
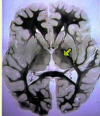
8
Q

Which arteries do the arrows point to? [1]

A

Lenticulostiate arteries

How well did you know this?
1
Not at all
2
3
4
5
Perfectly
9
Q

Label 5, 6 & 7

A

1 - superior temporal gyrus;
2 - inferior frontal gyrus; 3 - insular cortex;
4 - temporal stem;
5 - internal capsule;
6 - thalamus;
7 - lentiform nucleus (the internal and external globus pallidus and the putamen)
8 - frontal horn;
9 - superior circular sulcus;
10 - inferior circular sulcus.

How well did you know this?
1
Not at all
2
3
4
5
Perfectly
10
Q

Label the arteries that supply A-C [3]

A

A = anterior cerebral artery (upper
and medial parts of the cortex)
(orange)

B = middle cerebral artery (lateral
areas of the frontal, parietal, and
temporal lobes) (white)

C = posterior cerebral artery (occipital
lobe and inferior parts of the
temporal lobe) (blue)

How well did you know this?
1
Not at all
2
3
4
5
Perfectly
11
Q

The corticobulbar tracts provide innervation to the musculature of which region of the body?

Head and neck

Upper limbs

Lower limbs

Neck

A

The corticobulbar tracts provide innervation to the musculature of which region of the body?

Head and neck

Upper limbs

Lower limbs

Neck

How well did you know this?
1
Not at all
2
3
4
5
Perfectly
12
Q

The medial reticulospinal tract is an extrapyramidal tract, responsible for involuntary and automatic control of all musculature. Which region of the brainstem does it originates from?

Cerebellum

Pons

Medulla

Midbrain

A

The medial reticulospinal tract is an extrapyramidal tract, responsible for involuntary and automatic control of all musculature. Which region of the brainstem does it originates from?

Cerebellum

Pons

Medulla

Midbrain

How well did you know this?
1
Not at all
2
3
4
5
Perfectly
13
Q

A lesion of the CST cranial to the decussation of the pyramids will result in deficits on the [] side.

A lesion of the CST caudal to the decussation of the pyramids will result in deficits on the [] side.

A

A lesion of the CST cranial to the decussation of the pyramids will result in deficits on the contralateral side.

A lesion of the CST caudal to the decussation of the pyramids will result in deficits on the ipsilateral side.

How well did you know this?
1
Not at all
2
3
4
5
Perfectly
14
Q

What type of posturing is this person displaying? [1]

Where in the body would a legion occur to form this? [1]

A

Decorticate rigidity

Damage to the corticospinal tract above or in midbrain

How well did you know this?
1
Not at all
2
3
4
5
Perfectly
15
Q

What type of posturing is this person displaying? [1]

A

Decorticate

COR - arms in middle of body

How well did you know this?
1
Not at all
2
3
4
5
Perfectly
16
Q

What type of posturing is this person displaying? [1]

Where in the body would a legion occur to form this? [1]

A

Decerebrate

Damage to the corticospinal tract at the level of upper brainstem, including corticospinal and rubrospinal tracts

Look at all the E’s in the word. remember the word EXTENDED.

How well did you know this?
1
Not at all
2
3
4
5
Perfectly
17
Q

Which pathology has the highests negative impacts of all on patients? [1]

A

Aphasia

How well did you know this?
1
Not at all
2
3
4
5
Perfectly
18
Q

Which pathology has the highests negative impacts of all on patients? [1]

A

Aphasia

How well did you know this?
1
Not at all
2
3
4
5
Perfectly
19
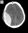
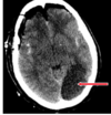
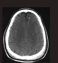
Q

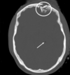
Which of the following mechanism of TBI is depicted in the CT?

1- Skull fracture
2- Contusion (bruise)
3- hematomas (blood clots)
4- lacerations (tear)
5- Diffuse axonal injury (nerve damage)

A

1- Skull fracture
2- Contusion (bruise)
3- hematomas (blood clots)
4- lacerations (tear)
5- Diffuse axonal injury (nerve damage)

How well did you know this?
1
Not at all
2
3
4
5
Perfectly
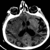
20
Q

Which of the following types of hemorrhage is NOT common in closed head injury?

basal ganglia hemorrhage
extradural hemorrhage
intraventricular hemorrhage
subarachnoid hemorrhage
superficial parenchymal hemorrhage
subdural haemorrahge

A

Which of the following types of hemorrhage is NOT common in closed head injury?

basal ganglia hemorrhage
extradural hemorrhage
intraventricular hemorrhage
subarachnoid hemorrhage
superficial parenchymal hemorrhage
subdural haemorrahge

How well did you know this?
1
Not at all
2
3
4
5
Perfectly
21
Q

What is the name for this basal skull fracture sign? [1]

A

Hemotympanum

How well did you know this?
1
Not at all
2
3
4
5
Perfectly
22
Q

What is the name for this sign of basal skull fracture? [1]

A

Periorbital ecchymosis

How well did you know this?
1
Not at all
2
3
4
5
Perfectly
23
Q

What is the name for this sign of basal skull fracture? [1]

A

Post auricular ecchymosis

How well did you know this?
1
Not at all
2
3
4
5
Perfectly
24
Q

What type of brain herniations are A & B? [2]

A

A: Downward cerebellar (Tonsillar)

B: Upward cerebellar (transtentorial)

How well did you know this?
1
Not at all
2
3
4
5
Perfectly
25
State what type of herniation A-D are [4]
A: **Cingulate** (Subfalcine) B: **Central** (**transtentorial**) C: **Uncal** D: Downward cerebellar (**Tonsillar**)
26
What type of herniation is depicted by the arrow? [1] Uncal Central (transtentorial) Cingulate (Subfalcine) Transcalvarial Upward cerebellar (transtentorial) Downward cerebellar (Tonsillar)
**Uncal** Central (transtentorial) Cingulate (Subfalcine) Transcalvarial Upward cerebellar (transtentorial) Downward cerebellar (Tonsillar)
27
What type of herniation is depicted? Uncal Central (transtentorial) Cingulate (Subfalcine) Transcalvarial Upward cerebellar (transtentorial) Downward cerebellar (Tonsillar)
What type of herniation is depicted? Uncal Central (transtentorial) **Cingulate (Subfalcine)** Transcalvarial Upward cerebellar (transtentorial) Downward cerebellar (Tonsillar)
28
What type of herniation is depicted? Uncal Central (transtentorial) Cingulate (Subfalcine) Transcalvarial Upward cerebellar (transtentorial) Downward cerebellar (Tonsillar)
What type of herniation is depicted? Uncal Central (transtentorial) Cingulate (Subfalcine) **Transcalvarial** Upward cerebellar (transtentorial) Downward cerebellar (Tonsillar)
29
What type of herniation is depicted? Uncal Central (transtentorial) Cingulate (Subfalcine) Transcalvarial Upward cerebellar (transtentorial) Downward cerebellar (Tonsillar)
What type of herniation is depicted? **Uncal** Central (transtentorial) Cingulate (Subfalcine) Transcalvarial Upward cerebellar (transtentorial) Downward cerebellar (Tonsillar)
30
What type of herniation is depicted? Uncal Central (transtentorial) Cingulate (Subfalcine) Transcalvarial Upward cerebellar (transtentorial) Downward cerebellar (Tonsillar)
What type of herniation is depicted? **Uncal** Central (transtentorial) Cingulate (Subfalcine) Transcalvarial Upward cerebellar (transtentorial) Downward cerebellar (Tonsillar) Uncal herniation. Arrows point to the medial temporal lobe that has herniated through the tentorial incisura to compress the midbrain
31
What type of positioning is on the top and bottom? [2]
Decorticate posturing (figure top) decerebrate posturing (figure bottom)
32
Which of the following is most likely to occur to a young adult with a skull fracture? A: SDH = subdural haematoma B: EDH = epidural haematoma C: IPH = intraparenchymal haemorrhage D: SAH = subarachnoid haemorrhage
Which of the following is most likely to occur to a young adult with a skull fracture? A: SDH = subdural haematoma **B: EDH = epidural haematoma** C: IPH = intraparenchymal haemorrhage D: SAH = subarachnoid haemorrhage
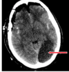
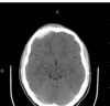
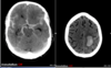
33
What type of hameotoma is depicted? Epidural haematoma (EDH) Subdural haematoma (SDH) Subarachnoid haematoma (SAH) Intracerebral haematoma (ICH)
**Intracerebral haematoma (ICH)**
34
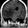
What type of hameotoma is depicted? Epidural haematoma (EDH) Subdural haematoma (SDH) Subarachnoid haematoma (SAH) Intracerebral haematoma (ICH)
Epidural haematoma (EDH)
35
What type of hameotoma is depicted? Epidural haematoma (EDH) Subdural haematoma (SDH) Subarachnoid haematoma (SAH) Intracerebral haematoma (ICH)
What type of hameotoma is depicted? Epidural haematoma (EDH) Subdural haematoma (SDH) **Subarachnoid haematoma (SAH)** Intracerebral haematoma (ICH)
36
What type of hameotoma is depicted? Epidural haematoma (EDH) Subdural haematoma (SDH) Subarachnoid haematoma (SAH) Intracerebral haematoma (ICH)
What type of hameotoma is depicted? Epidural haematoma (EDH) Subdural haematoma (SDH) **Subarachnoid haematoma (SAH)** Intracerebral haematoma (ICH) There is high-attenuation blood in the Sylvian fissures (blue arrows) and the interhemispheric fissure (red arrow) seen on this non-contrast enhanced CT of the brain. Do not confuse normal, physiologic calcifications (white and black arrows) for bloo
37
Which of the following opiods has a large half life so is used for long dosing? Herion Dextromoramide Meptazinol Methadone Morphine
Which of the following opiods has a large half life so is used for long dosing? Herion Dextromoramide Meptazinol **Methadone** Morphine
38
Which of the following opiods produces the least amount of respiratory depression? Herion Dextromoramide Meptazinol Methadone Morphine
Which of the following opiods produces the least amount of respiratory depression? Herion Dextromoramide **Meptazinol** Methadone Morphine
39
A patient develops acute left hemiplegia involving the face more than the arm and leg. The suck and grasp reflexes and speech are preserved. Which cerebral vessel is involved? A. Anterior cerebral artery B. Vertebrobasilar artery C. Middle cerebral artery D. Posterior cerebral artery
A patient develops acute left hemiplegia involving the face more than the arm and leg. The suck and grasp reflexes and speech are preserved. Which cerebral vessel is involved? A. Anterior cerebral artery B. Vertebrobasilar artery **C. Middle cerebral artery** D. Posterior cerebral artery
40
Which neurologic deficit is associated with infarct of the anterior cerebral artery? A. Upper extremities motor function and temperature sensation B. Posture C. Lower extremities motor function D. Cervical level sensation
Which neurologic deficit is associated with infarct of the anterior cerebral artery? A. Upper extremities motor function and temperature sensation B. Posture **C. Lower extremities motor function** D. Cervical level sensation
41
What type of stroke would most commonly cause a person to draw like this? [1] Name this syndrome [1]
**Right MCA Stroke** (or non-dominant hemisphere stroke) Neglect syndrome
42
A 66-year-old male with a past medical history of right middle cerebral artery stroke presents for evaluation. During one of his sessions, he was asked to draw a clock and write the time at 15 minutes after 3. The clock has a flat left side, and the numbers 1 through 8 are correct in order but crowded onto to right side of the clock. The patient was able to draw the hands correctly. When asked to copy an object, he was able to do the right side appropriately but was missing the left side of the drawing. Which of the following is the likely diagnosis? A. Hemianopsia B. Hemineglect C. Visual constructional abilities D. Hemiparesis
A 66-year-old male with a past medical history of right middle cerebral artery stroke presents for evaluation. During one of his sessions, he was asked to draw a clock and write the time at 15 minutes after 3. The clock has a flat left side, and the numbers 1 through 8 are correct in order but crowded onto to right side of the clock. The patient was able to draw the hands correctly. When asked to copy an object, he was able to do the right side appropriately but was missing the left side of the drawing. Which of the following is the likely diagnosis? A. Hemianopsia **B. Hemineglect** C. Visual constructional abilities D. Hemiparesis
43
A bleed coming from A would cause which type of hematoma? [1]
(A = middle meningeal artery) **Epidural (extradural) hematoma**
44
Which of the following is the most common? A B C D
Which of the following is the most common? A B C D
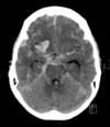
45
Label the types of extra-axial bleed occuring at the red; yellow & green arrows [3]
**red arrow: EDH** brown arrow shows how EDH respects the suture margins **yellow arrow points at SAH** **green arrow: SDH** blue arrow shows the fracture
46
Label the types of extra-axial bleed occuring at the red; yellow & green arrows [3]
**red arrow: EDH** brown arrow shows how EDH respects the suture margins **yellow arrow points at SAH** **green arrow: SDH** blue arrow shows the fracture
47
What are the MR signal characteristics of early subacute intracranial hemorrhage? A. Dark of T1, Bright on T2 B. Dark on T1, Dark on T2 C. Bright on T1, Bright on T2 D. Bright on T1, Dark on T2
What are the MR signal characteristics of early subacute intracranial hemorrhage? A. Dark of T1, Bright on T2 B. Dark on T1, Dark on T2 C. Bright on T1, Bright on T2 **D. Bright on T1, Dark on T2**
48
A patient presents to the emergency department with a severe headache and is suspected of having a subarachnoid bleed. What is the next step in the investigation? A. Brain MRI B. CT of the brain with contrast C. CT of the brain without contrast D. Lumbar puncture
A patient presents to the emergency department with a severe headache and is suspected of having a subarachnoid bleed. What is the next step in the investigation? A. Brain MRI B. CT of the brain with contrast **C. CT of the brain without contrast** D. Lumbar puncture
49
A patient develops acute left hemiplegia involving the face more than the arm and leg. The suck and grasp reflexes and speech are preserved. Which cerebral vessel is involved? A. Anterior cerebral artery B. Vertebrobasilar artery C. Middle cerebral artery D. Posterior cerebral artery
A patient develops acute left hemiplegia involving the face more than the arm and leg. The suck and grasp reflexes and speech are preserved. Which cerebral vessel is involved? A. Anterior cerebral artery B. Vertebrobasilar artery **C. Middle cerebral artery** D. Posterior cerebral artery
50
Which neurologic deficit is associated with infarct of the anterior cerebral artery? A. Upper extremities motor function and temperature sensation B. Posture C. Lower extremities motor function D. Cervical level sensation
Which neurologic deficit is associated with infarct of the anterior cerebral artery? A. Upper extremities motor function and temperature sensation B. Posture **C. Lower extremities motor function** D. Cervical level sensation
51
What type of stroke would most commonly cause a person to draw like this? [1] Name this syndrome [1]
**Right MCA Stroke** (or non-dominant hemisphere stroke) Neglect syndrome
52
A 66-year-old male with a past medical history of right middle cerebral artery stroke presents for evaluation. During one of his sessions, he was asked to draw a clock and write the time at 15 minutes after 3. The clock has a flat left side, and the numbers 1 through 8 are correct in order but crowded onto to right side of the clock. The patient was able to draw the hands correctly. When asked to copy an object, he was able to do the right side appropriately but was missing the left side of the drawing. Which of the following is the likely diagnosis? A. Hemianopsia B. Hemineglect C. Visual constructional abilities D. Hemiparesis
A 66-year-old male with a past medical history of right middle cerebral artery stroke presents for evaluation. During one of his sessions, he was asked to draw a clock and write the time at 15 minutes after 3. The clock has a flat left side, and the numbers 1 through 8 are correct in order but crowded onto to right side of the clock. The patient was able to draw the hands correctly. When asked to copy an object, he was able to do the right side appropriately but was missing the left side of the drawing. Which of the following is the likely diagnosis? A. Hemianopsia **B. Hemineglect** C. Visual constructional abilities D. Hemiparesis
53
A bleed coming from A would cause which type of hematoma? [1]
(A = middle meningeal artery) **Epidural (extradural) hematoma**
54
Which is the most common hematoma? [1]
Subarachnoid hematoma
55
Which of the following is the most common? A B C D
Which of the following is the most common? A B C D
56
Label the types of extra-axial bleed occuring at the red; yellow & green arrows [3]
**red arrow: EDH** brown arrow shows how EDH respects the suture margins **yellow arrow points at SAH** **green arrow: SDH** blue arrow shows the fracture
57
Label the types of extra-axial bleed occuring at the red; yellow & green arrows [3]
**red arrow: EDH** brown arrow shows how EDH respects the suture margins **yellow arrow points at SAH** **green arrow: SDH** blue arrow shows the fracture
58
What are the MR signal characteristics of early subacute intracranial hemorrhage? A. Dark of T1, Bright on T2 B. Dark on T1, Dark on T2 C. Bright on T1, Bright on T2 D. Bright on T1, Dark on T2
What are the MR signal characteristics of early subacute intracranial hemorrhage? A. Dark of T1, Bright on T2 B. Dark on T1, Dark on T2 C. Bright on T1, Bright on T2 **D. Bright on T1, Dark on T2**
59
A patient presents to the emergency department with a severe headache and is suspected of having a subarachnoid bleed. What is the next step in the investigation? A. Brain MRI B. CT of the brain with contrast C. CT of the brain without contrast D. Lumbar puncture
A patient presents to the emergency department with a severe headache and is suspected of having a subarachnoid bleed. What is the next step in the investigation? A. Brain MRI B. CT of the brain with contrast **C. CT of the brain without contrast** D. Lumbar puncture
60
Which artery would a stroke occur in to cause this eye sight deficit? Anterior Cerebral Artery Middle Cerebral Artery Posterior Cerebral Artery Internal Carotid Artery
Which artery would a stroke occur in to cause this eye sight deficit? Anterior Cerebral Artery Middle Cerebral Artery **Posterior Cerebral Artery** Internal Carotid Artery Homonymous Hemianopia after Posterior Cerebral Artery Territory Infarction (Mosaic, VF, MRI)
61
A patient has a recent stroke and presents to you because they have are having problems with urinary incontinence. Where was their stroke most likely to have occured? Anterior Cerebral Artery Middle Cerebral Artery Posterior Cerebral Artery Internal Carotid Artery
A patient has a recent stroke and presents to you because they have are having problems with urinary incontinence. Where was their stroke most likely to have occured? **Anterior Cerebral Artery** Middle Cerebral Artery Posterior Cerebral Artery Internal Carotid Artery
62
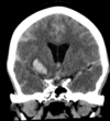
State where this stroke has occured
Right MCA
63
Which artery has caused this stroke? Right Anterior Cerebral Artery Left Anterior Cerebral Artery Right Middle Cerebral Artery Right Posterior Cerebral Artery Left Posterior Cerebral Artery
Which artery has caused this stroke? Right Anterior Cerebral Artery Left Anterior Cerebral Artery Right Middle Cerebral Artery Right Posterior Cerebral Artery **Left Posterior Cerebral Artery**
64
Label the arteries A-E
A: SCA B: BA C: PCA D: AICA E: VA
65
Which of the following is the most common cause of subarachnoid haemorrhage? arteriovenous malformation berry aneurysm cerebral amyloid angiopathy dural arteriovenous fistula trauma
Which of the following is the most common cause of subarachnoid haemorrhage? arteriovenous malformation berry aneurysm cerebral amyloid angiopathy dural arteriovenous fistula **trauma**
66
What type of hematoma is present ? [1]
Subarachnoid hematoma
67
What is Xanthochromia? Which type of hematoma does it occur in? [1]
**Xanthochromia** is the presence of **bilirubin in the cerebrospinal fluid** and is sometimes the only sign of an **acute subarachnoid hemorrhage.**
68
Which type of hematoma can present with blood in lumbar puncture? [1]
**Subarachnoid hematoma** Lumbar puncture - Evidence of blood in 3% of people with normal CT
69
Which receptor is involved in cold sensitisation? TRPV1 TRPM8 TRPV2 TRPC2 TRPV2
Which receptor is involved in cold sensitisation? TRPV1 **TRPM8** TRPV2 TRPC2 TRPV2
70
What primary afferent sensory fibre in the foot would be activated by a putting on a sock? Alpha Beta Delta C-fibre All of the above
What primary afferent sensory fibre in the foot would be activated by a putting on a sock? Alpha **Beta** Delta C-fibre All of the above
71
Where do C-fibres predominately terminate in the dorsal horn? [2]
Lamina I & Lamina II
72
Where are the 3rd order neurons that project to the anterior cingulate cortex that are involved in emotion / pain? [1]
Medial dorsal nucleus of the thalamus
73
Label A&B of the hippocampus [2]
A: CA2 B: CA3 Both undergo atrophy in epilepsy
74
The CA areas of the hippocampus are all filled with densely packed [] cells that make up the stratum pyramidale
The CA areas are all filled with densely packed **pyramidal** cells that make up the stratum pyramidale
75
Label the channels that are abnormally functioning in epilepsy
EAAT1 EAAT2 (causes more glutamate in synapse)
76
Name this cell [1] What is the function of this cell [1]
Chanderlier cell specialized GABAergic interneuron subtype that selectively innervates pyramidal neurons at the axon initial segment (AIS), the site of action potential generation
77
which of the following is formed from basilar artery: anterior spinal artery middle cerebral artery posterior cerebral artery posterior inferior cerebellar artery anterior cerebral artery
which of the following is formed from basilar artery: anterior spinal artery middle cerebral artery **posterior cerebral artery** posterior inferior cerebellar artery anterior cerebral artery
78
what is D? middle cerebral artery basilar artery posterior cerebral artery anterior cerebral artery internal carotid artery
what is C? middle cerebral artery basilar artery **posterior cerebral artery** anterior cerebral artery ​internal carotid artery
79
what is C? middle cerebral artery basilar artery posterior cerebral artery anterior cerebral artery internal carotid artery
what is C? middle cerebral artery basilar artery posterior cerebral artery anterior cerebral artery **internal carotid artery**
80
what is B? middle cerebral artery basilar artery posterior cerebral artery anterior cerebral artery internal carotid artery
what is B? **middle cerebral artery** basilar artery posterior cerebral artery anterior cerebral artery internal carotid artery
81
draw the circle of willis xxx
82
what are the main branches of the internal carotid artery? [4]
1. **opthalmic artery:** orbit & retina. connects to external carotid artery 2. **posterior communicating:** connext with carotid & vertebral artery system 3. **middle cerebral artery:** connects to basal ganglia and lateral 2/3rds of cortex 4. **anterior cerebral artery:** connects with medial side frontal & parietal lobes, anastamoses with MCA
83
which artery is a branch of the ICA that occurs in the cavernous sinus? middle cerebral artery anterior cerebral artery posterior communicating artery menigeal branch opthalmic artery
which artery is a branch of the ICA that occurs in the cavernous sinus? middle cerebral artery anterior cerebral artery posterior communicating artery menigeal branch **opthalmic artery**
84
which of the following supplies the basal ganglia & lateral 2/3rd of the cortex? middle cerebral artery anterior cerebral artery posterior communicating artery menigeal branch opthalmic artery
which of the following supplies the basal ganglia & lateral 2/3rd of the cortex? **middle cerebral artery** anterior cerebral artery posterior communicating artery menigeal branch opthalmic artery
85
which of the following connects to the external carotid artery? middle cerebral artery anterior cerebral artery posterior communicating artery menigeal branch opthalmic artery
which of the following connects to the external carotid artery? middle cerebral artery anterior cerebral artery posterior communicating artery menigeal branch **opthalmic artery**
86
which of the following supplies the corpus callosum? middle cerebral artery anterior cerebral artery posterior communicating artery menigeal branch opthalmic artery
which of the following supplies the corpus callosum? middle cerebral artery **anterior cerebral artery** posterior communicating artery menigeal branch opthalmic artery
87
what is A?
**cavernous sinus**
88
which artery most commonly supplies Broca's & Wernicke's areas? ACA MCA PCA Basilar A ICA
which artery most commonly supplies Broca's & Wernicke's areas? ACA **MCA** PCA Basilar A ​ICA
89
which arteries supply 1-5?
1: **anterior cerebral A** 2: **middle cerebral A** 3: **posteror cerebral A** 4: **anterior choroidal A** 5: **lenticulostriate (branch of MCA)**
90
which artery provides blood to the midbrain & thalamus PICA AICA superior cerebllar artery pons ​posterior cerebral artery
which artery provides blood to the midbrain & thalamus ​ PICA AICA superior cerebllar artery pons **​posterior cerebral artery**
91
A 40-year-old male construction worker fell from the 2nd floor of a construction site. He initially lost consciousness. At the emergency department, the patient regained consciousness and again deteriorated. CT scan revealed a biconvex hyperdensity on the left temporoparietal region. The patient's findings are most consistent with an injury of what artery? A. Ophthalmic artery B. Temporal artery C. Middle meningeal artery D. Left basilar artery
A 40-year-old male construction worker fell from the 2nd floor of a construction site. He initially lost consciousness. At the emergency department, the patient regained consciousness and again deteriorated. CT scan revealed a biconvex hyperdensity on the left temporoparietal region. The patient's findings are most consistent with an injury of what artery? A. Ophthalmic artery B. Temporal artery **C. Middle meningeal artery** D. Left basilar artery
92
A 65-year-old male is hit on the head with a baseball bat. He temporarily loses consciousness and then recovers 20 minutes later. To ensure that everything is fine, he is seen in the emergency department where he promptly collapses again and becomes unresponsive. The pathology behind his disorder is most likely related to which of the following? A. Emboli to the ophthalmic artery B. Injury to the temporal artery C. Bleeding from the middle meningeal artery D. Injury to the anterior communicating vessels
A 65-year-old male is hit on the head with a baseball bat. He temporarily loses consciousness and then recovers 20 minutes later. To ensure that everything is fine, he is seen in the emergency department where he promptly collapses again and becomes unresponsive. The pathology behind his disorder is most likely related to which of the following? A. Emboli to the ophthalmic artery B. Injury to the temporal artery **C. Bleeding from the middle meningeal artery** D. Injury to the anterior communicating vessels
93
Epidural hematma commonly effects which cranial nerve? CN III CN IV CN V CN VI CN VII
Epidural hematma commonly effects which cranial nerve? **CN III** CN IV CN V CN VI CN VII
94
Which type of haematoma has a delayed onset? Epidural haematoma Subarachnoid haematoma Subdural haematoma Intracranial haematoma
Which type of haematoma has a delayed onset? Epidural haematoma Subarachnoid haematoma **Subdural haematoma** Intracranial haematoma
95
Which type of haematoma is commonly desribed as a thunderclap headache? Epidural haematoma Subarachnoid haematoma Subdural haematoma Intracranial haematoma
Which type of haematoma is commonly desribed as a thunderclap headache? Epidural haematoma **Subarachnoid haematoma** Subdural haematoma Intracranial haematoma
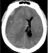
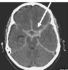
96
The arrow would most likely cause which of the following? Epidural haematoma Subarachnoid haematoma Subdural haematoma Intracranial haematoma
The arrow would most likely cause which of the following? Epidural haematoma **Subarachnoid haematoma** Subdural haematoma Intracranial haematoma | Arrow = aneursym
97
Which artery supplies the midbrain & thalamus? [1]
PCA
98
A patient develops acute left hemiplegia involving the face more than the arm and leg. The suck and grasp reflexes and speech are preserved. Which cerebral vessel is involved? A. Anterior cerebral artery B. Vertebrobasilar artery C. Middle cerebral artery D. Posterior cerebral artery
A patient develops acute left hemiplegia involving the face more than the arm and leg. The suck and grasp reflexes and speech are preserved. Which cerebral vessel is involved? A. Anterior cerebral artery B. Vertebrobasilar artery **C. Middle cerebral artery** D. Posterior cerebral artery
99
Which neurologic deficit is associated with infarct of the anterior cerebral artery? A. Upper extremities motor function and temperature sensation B. Posture C. Lower extremities motor function D. Cervical level sensation
Which neurologic deficit is associated with infarct of the anterior cerebral artery? A. Upper extremities motor function and temperature sensation B. Posture **C. Lower extremities motor function** D. Cervical level sensation
100
Which neurologic deficit is associated with infarct of the anterior cerebral artery? A. Upper extremities motor function and temperature sensation B. Posture C. Lower extremities motor function D. Cervical level sensation
Which neurologic deficit is associated with infarct of the anterior cerebral artery? A. Upper extremities motor function and temperature sensation B. Posture **C. Lower extremities motor function** D. Cervical level sensation
101
What type of stroke would most commonly cause a person to draw like this? [1] Name this syndrome [1]
**Right MCA Stroke** (or non-dominant hemisphere stroke) Neglect syndrome
102
A 66-year-old male with a past medical history of right middle cerebral artery stroke presents for evaluation. During one of his sessions, he was asked to draw a clock and write the time at 15 minutes after 3. The clock has a flat left side, and the numbers 1 through 8 are correct in order but crowded onto to right side of the clock. The patient was able to draw the hands correctly. When asked to copy an object, he was able to do the right side appropriately but was missing the left side of the drawing. Which of the following is the likely diagnosis? A. Hemianopsia B. Hemineglect C. Visual constructional abilities D. Hemiparesis
A 66-year-old male with a past medical history of right middle cerebral artery stroke presents for evaluation. During one of his sessions, he was asked to draw a clock and write the time at 15 minutes after 3. The clock has a flat left side, and the numbers 1 through 8 are correct in order but crowded onto to right side of the clock. The patient was able to draw the hands correctly. When asked to copy an object, he was able to do the right side appropriately but was missing the left side of the drawing. Which of the following is the likely diagnosis? A. Hemianopsia **B. Hemineglect** C. Visual constructional abilities D. Hemiparesis
103
What syndrome is this patient suffering from? [1] Which artery is this person most likely to have suffered a stroke in? [1]
**Split-brain syndrome** ACA syndrome - **because supplies corpus callosum**
104
A bleed coming from A would cause which type of hematoma? [1]
(A = middle meningeal artery) **Epidural (extradural) hematoma**
105
Which is the most common hematoma? [1]
Subarachnoid hematoma
106
Which of the following is the most common? A B C D
Which of the following is the most common? A B C D
107
Label the types of extra-axial bleed occuring at the red; yellow & green arrows [3]
**red arrow: EDH** brown arrow shows how EDH respects the suture margins **yellow arrow points at SAH** **green arrow: SDH** blue arrow shows the fracture
108
Label the types of extra-axial bleed occuring at the red; yellow & green arrows [3]
**red arrow: EDH** brown arrow shows how EDH respects the suture margins **yellow arrow points at SAH** **green arrow: SDH** blue arrow shows the fracture
109
What are the MR signal characteristics of early subacute intracranial hemorrhage? A. Dark of T1, Bright on T2 B. Dark on T1, Dark on T2 C. Bright on T1, Bright on T2 D. Bright on T1, Dark on T2
What are the MR signal characteristics of early subacute intracranial hemorrhage? A. Dark of T1, Bright on T2 B. Dark on T1, Dark on T2 C. Bright on T1, Bright on T2 **D. Bright on T1, Dark on T2**
110
A patient presents to the emergency department with a severe headache and is suspected of having a subarachnoid bleed. What is the next step in the investigation? A. Brain MRI B. CT of the brain with contrast C. CT of the brain without contrast D. Lumbar puncture
A patient presents to the emergency department with a severe headache and is suspected of having a subarachnoid bleed. What is the next step in the investigation? A. Brain MRI B. CT of the brain with contrast **C. CT of the brain without contrast** D. Lumbar puncture
111
Which artery would a stroke occur in to cause this eye sight deficit? Anterior Cerebral Artery Middle Cerebral Artery Posterior Cerebral Artery Internal Carotid Artery
Which artery would a stroke occur in to cause this eye sight deficit? Anterior Cerebral Artery Middle Cerebral Artery **Posterior Cerebral Artery** Internal Carotid Artery Homonymous Hemianopia after Posterior Cerebral Artery Territory Infarction (Mosaic, VF, MRI)
112
A patient has a recent stroke and presents to you because they have are having problems with urinary incontinence. Where was their stroke most likely to have occured? Anterior Cerebral Artery Middle Cerebral Artery Posterior Cerebral Artery Internal Carotid Artery
A patient has a recent stroke and presents to you because they have are having problems with urinary incontinence. Where was their stroke most likely to have occured? **Anterior Cerebral Artery** Middle Cerebral Artery Posterior Cerebral Artery Internal Carotid Artery
113
State where this stroke has occured
Right MCA
114
Which artery has caused this stroke? Right Anterior Cerebral Artery Left Anterior Cerebral Artery Right Middle Cerebral Artery Right Posterior Cerebral Artery Left Posterior Cerebral Artery
Which artery has caused this stroke? Right Anterior Cerebral Artery Left Anterior Cerebral Artery Right Middle Cerebral Artery Right Posterior Cerebral Artery **Left Posterior Cerebral Artery**
115
Label the arteries A-E
A: SCA B: BA C: PCA D: AICA E: VA
116
Which of the following is the most common cause of subarachnoid haemorrhage? arteriovenous malformation berry aneurysm cerebral amyloid angiopathy dural arteriovenous fistula trauma
Which of the following is the most common cause of subarachnoid haemorrhage? arteriovenous malformation berry aneurysm cerebral amyloid angiopathy dural arteriovenous fistula **trauma**
117
What type of hematoma is present ? [1]
Subarachnoid hematoma
118
What is Xanthochromia? Which type of hematoma does it occur in? [1]
**Xanthochromia** is the presence of **bilirubin in the cerebrospinal fluid** and is sometimes the only sign of an **acute subarachnoid hemorrhage.**
119
Which type of hematoma can present with blood in lumbar puncture? [1]
**Subarachnoid hematoma** Lumbar puncture - Evidence of blood in 3% of people with normal CT
120
What does the CT depcit? Epidural haematoma Subarachnoid haematoma Subdural haematoma Intracranial haematoma
What does the CT depcit? Epidural haematoma **Subarachnoid haematoma** Subdural haematoma Intracranial haematoma
121
Label A-C
A: ICH B: SDH C: SAH
122
Which the following is SAH and which is ICH?
L: SAH R: ICH
123
Which of the following is a cluster headache? A B C D E
Which of the following is a cluster headache? A **B** C D E
124
Which of the following does a migraine start from ? A B C D E
Which of the following does a migraine start from ? A **B** - hypothalamus C D E
125
Which neuropeptide is elevated in the pathogenesis of migraines? [1]
CGRP
126
Which of the following would detect a change in pH? ASICs TRPM8 Nav1.7 TRPV1
Which of the following would detect a change in pH? **ASICs** TRPM8 Nav1.7 TRPV1
127
Which of the following would detect the cooling effect of this sweet? ASICs TRPM8 Nav1.7 TRPV1
Which of the following would detect the cooling effect of this sweet? ASICs **TRPM8** Nav1.7 TRPV1
128
Which of the following would detect the heating effect of this food? ASICs TRPM8 Nav1.7 TRPV1
Which of the following would detect the heating effect of this food? ASICs TRPM8 Nav1.7 **TRPV1** aka capsaicin receptor
129
Which of the following serve to receive and transmit information primarily relating to acute pain? Aα Aγ Aδ Aβ C
Which of the following serve to receive and transmit information primarily relating to acute pain? Aα Aγ **Aδ** Aβ C
130
Which of the following serve to receive and transmit information primarily relating to touch? Aα Aγ Aδ Aβ C
Which of the following serve to receive and transmit information primarily relating to touch? Aα Aγ Aδ **Aβ** C
131
Which of the following serve to transmit information primarily relating to pain, temperature and itch. Aα Aγ Aδ Aβ C
Which of the following serve to transmit information primarily relating to pain, temperature and itch. Aα Aγ Aδ Aβ **C**
132
Which of the following serve to transmit information primarily relating to proprioception (muscle sense) Aα Aγ Aδ Aβ C
Which of the following serve to transmit information primarily relating to proprioception (muscle sense) **Aα** Aγ Aδ Aβ C
133
Which of the following serve to transmit information relating to this image? Aα Aγ Aδ Aβ C
Which of the following serve to transmit information relating to this image? Aα Aγ Aδ **Aβ** C
134
Which of the following serve to transmit information relating to this image? Aα Aγ Aδ Aβ C
Which of the following serve to transmit information relating to this image? Aα Aγ **Aδ** Aβ C
135
Mutations in which of the following would cause this diease? ASICs TRPM8 Nav1.7 TRPV1
Mutations in which of the following would cause this diease? ASICs TRPM8 **Nav1.7** Congenital insensitivity to pain (CIP): TRPV1
136
Name the gene codes for receptor that allows development of neuron growth factor [1]
TRKA gene codes for TrKA receptor: causes NGF to be rpoduced
137
Which of the following is key in modulation of pain and empathy Anterior cingulate cortex Prefrontal cortex Insula Amygdala
Which of the following is key in modulation of pain and empathy Anterior cingulate cortex Prefrontal cortex **Insula** Amygdala
138
A 56-year-old right-handed man is brought to the emergency department 90 minutes after acute-onset right arm weakness, difficulty forming words, and sustained dizziness. His past medical history is significant for well-controlled type 2 diabetes and hypertension. A CT head without contrast demonstrates no acute hemorrhage or lesion, but shows an area of hypodensity and associated mild parenchymal swelling deep within the left peri-Sylvian fissure. Which of the following vessels is most likely implicated in the etiology of this patient's current condition? A. M1 segment of the middle cerebral artery B. A2 segment of the anterior cerebral artery C. A3 segment of the anterior cerebral artery D. M2 segment of the middle cerebral artery
A 56-year-old right-handed man is brought to the emergency department 90 minutes after acute-onset right arm weakness, difficulty forming words, and sustained dizziness. His past medical history is significant for well-controlled type 2 diabetes and hypertension. A CT head without contrast demonstrates no acute hemorrhage or lesion, but shows an area of hypodensity and associated mild parenchymal swelling deep within the left peri-Sylvian fissure. Which of the following vessels is most likely implicated in the etiology of this patient's current condition? A. M1 segment of the middle cerebral artery B. A2 segment of the anterior cerebral artery C. A3 segment of the anterior cerebral artery **D. M2 segment of the middle cerebral artery** insula is supplied by the M2 MCA
139
Which of the following is A Anterior cingulate cortex Prefrontal cortex Insula Amygdala
Which of the following is A **Anterior cingulate cortex** Prefrontal cortex Insula Amygdala
140
Which of the following is the amygdala A B C D E
Which of the following is the amygdala A **B** C D E
141
Which of the following modulates pain by releasing seratonin on descending pathways? PAG Locus coeruleus Raphe nucleus Amygdala Reticular formation
Which of the following modulates pain by releasing seratonin on descending pathways? PAG Locus coeruleus **Raphe nucleus** Amygdala Reticular formation
142
Which of the following modulates pain by releasing noradrenaline on descending pathways? PAG Locus coeruleus Raphe nucleus Amygdala Reticular formation
Which of the following modulates pain by releasing noradrenaline on descending pathways? PAG **Locus coeruleus** Raphe nucleus Amygdala Reticular formation
143
Label A-C
A: Peri-aqueductal grey (PAG) B: Locus coeruleus C: Raphe nucleus
144
Label A & B [2]
A: allodynia B:hyperalgesia
145
Referred pain to these dermatomes is likely to be cause by which pathology? [1]
Slipped disc
146
Referred pain to this area is likely to be caused by pain from where else? [1]
**Hip pain** -- radiates to knee
147
Where might pain from this organ be referred to? [1]
Right shoulder
148
A 24-year-old patient presents to the hospital complaining of sharp pain on the left side of her forehead. Which of the following artery supplies the part of the brain necessary for the sensory processing of this pain? A. Right posterior inferior cerebellar artery B. Left posterior cerebral artery C. Left posterior inferior cerebellar artery D. Anterior communicating artery
A 24-year-old patient presents to the hospital complaining of sharp pain on the left side of her forehead. Which of the following artery supplies the part of the brain necessary for the sensory processing of this pain? A. Right posterior inferior cerebellar artery B. Left posterior cerebral artery **C. Left posterior inferior cerebellar artery** D. Anterior communicating artery The left posterior inferior cerebellar artery supplies the spinal trigeminal nucleus on the left lateral medulla.
149
D. Left spinal trigeminal nucleus A A college student on a winter break at a resort falls asleep near a radiator in the room. He wakes up feeling hot as the left side of his face is close to the radiator. Where does the initial processing of this sensory information take place? A. Right spinal trigeminal nucleus B. Left nucleus ambiguous C. Trigeminal motor nucleus D. Left spinal trigeminal nucleus
D. Left spinal trigeminal nucleus A A college student on a winter break at a resort falls asleep near a radiator in the room. He wakes up feeling hot as the left side of his face is close to the radiator. Where does the initial processing of this sensory information take place? A. Right spinal trigeminal nucleus B. Left nucleus ambiguous C. Trigeminal motor nucleus **D. Left spinal trigeminal nucleus**
150
Name a nucleus involved in circadian rhythm thats located in the hypothalamus [1]
Suprachiasmatic nucleus (SCN)
151
Label A-E
A: normal B: coma C: Vegetative state D: Minimally concious state E: Locked in syndrome
152
A 45-year-old man with a history of diabetes is brought to the emergency department in an unresponsive state. With brief noxious stimulation, the patient has no movement or change in mental status, and the eyes remain closed. Which of the following best describes the patient's condition? A. Stupor B. Obtundation C. Lethargy D. Coma
A 45-year-old man with a history of diabetes is brought to the emergency department in an unresponsive state. With brief noxious stimulation, the patient has no movement or change in mental status, and the eyes remain closed. Which of the following best describes the patient's condition? A. Stupor B. Obtundation C. Lethargy **D. Coma**
153
Which of the following is associated with Alzheimer’s disease Locked-in syndrome Coma Akinetic mutism Minimally conscious state Vegetative state (VS) / Unresponsive wakefulness syndrome (UWS)
Which of the following is associated with Alzheimer’s disease Locked-in syndrome Coma **Akinetic mutism** Minimally conscious state Vegetative state (VS) / Unresponsive wakefulness syndrome (UWS)
154
Which of the following is associated with Guillain-Barre syndrome Locked-in syndrome Coma Akinetic mutism Minimally conscious state Vegetative state (VS) / Unresponsive wakefulness syndrome (UWS)
Which of the following is associated with Guillain-Barre syndrome **Locked-in syndrome** Coma Akinetic mutism Minimally conscious state Vegetative state (VS) / Unresponsive wakefulness syndrome (UWS)
155
Which position is this patient in? [1] Damage to where would cause this? [1]
Decorticate: Damage above red nucleus
156
Label A & B [2]
A: Vegetative state B: Minimally conscious state (MCS)
157
# Auditory event-related potential (AERP) What would you try and identify around 300 ms after an auditory change in a monotonous sequence of sound to assess consciousness in an comatose patient? P200 P300 P400 P500
What would you try and identify around 300 ms after an auditory change in a monotonous sequence of sound to assess consciousness in an comatose patient? P200 **P300** P400 P500
158
# Auditory event-related potential (AERP) The P300 appearance corresponds to the activation of a [] network.
The P300 appearance corresponds to the activation of a **frontoparietal** network.
159
# VGS treatment Zolpidem is used orally as a short term treatment (2-6 weeks) for insomnia, but has been shown to cause patients to momentarily awake from PVS. What is its MoA? Glutamate receptor agonist Glutamate receptor antagonist GABA-A receptor agonist GABA-A receptor antagonist
Zolpidem is used orally as a short term treatment (2-6 weeks) for insomnia, but has been shown to cause patients to momentarily awake from PVS. What is its MoA? Glutamate receptor agonist Glutamate receptor antagonist **GABA-A receptor agonist** GABA-A receptor antagonist
160
Amantadine
161
Which of the following is ketamine's target? NMDA glutamate receptors CB1 receptors GABA-A receptors 5HT3 receptors
Which of the following is ketamine's target? **NMDA glutamate receptors** CB1 receptors GABA-A receptors 5HT3 receptors
162
Which of the following are ethanol's targets? [2] NMDA glutamate receptors CB1 receptors GABA-A receptors 5HT3 receptors
Which of the following are ethanol's targets? [2] **NMDA glutamate receptors** CB1 receptors **GABA-A receptors** 5HT3 receptors
163
A 32-year-old male with opioid use disorder presents to the emergency department with chest pain radiating to the left arm. Pain is rated at 5/10 and described as tightness. Currently, he is not in pain, and his vital signs are stable. For his addiction, he is currently receiving methadone prescriptions with occasional relapses for over a year. Given the chronicity of his addiction, where would changes in the patient's brain be expected, and what neurotransmitter would be involved? A. Occipital lobe and serotonin B. Temporal lobe and norepinephrine D. Wernicke's area and dopamine
**C. Prefrontal region and dopamine**
164
A 24-year-old male patient is seen in the emergency department with paranoid behavior and agitation. He attended a party an hour ago but refused to disclose any further information. His blood pressure is 160/100 mmHg, heart rate is 130 bpm, respiratory rate 20/minute, and the temperature is 38 degrees Celsius. ECG reveals wide QRS complexes suggestive of ventricular tachycardia. What drug was most likely ingested? A. Heroin B. Cocaine C. Methylenedioxyamphetamine (MDMA, ecstasy) D. Phencyclidine (PCP)
**B. Cocaine**
165
Which of the following would be the most appropriate for the blank space? The meso-limbic dopamine system that projects from the ventral tegmental area (VTA) to the **[]** has been implicated in the rewarding effects of drugs of abuse Amygdala Hypothalamus Cingulate cortex Pre-frontal cortex Nucleus accumbens
Which of the following would be the most appropriate for the blank space? The meso-limbic dopamine system that projects from the ventral tegmental area (VTA) to the **[]** has been implicated in the rewarding effects of drugs of abuse Amygdala Hypothalamus Cingulate cortex Pre-frontal cortex **Nucleus accumbens**
166
Which of the following would be the most appropriate for the blank space? The meso-limbic dopamine system that projects from the ventral tegmental area (VTA) to the **[]** has been implicated in the rewarding effects of drugs of abuse Amygdala Hypothalamus Cingulate cortex Pre-frontal cortex Nucleus accumbens
Which of the following would be the most appropriate for the blank space? The meso-limbic dopamine system that projects from the ventral tegmental area (VTA) to the **[]** has been implicated in the rewarding effects of drugs of abuse Amygdala Hypothalamus Cingulate cortex Pre-frontal cortex **Nucleus accumbens**
167
Which of the following would be the most appropriate for the blank space? The meso-limbic dopamine system that projects from the ventral tegmental area (VTA) to the **[]** has been implicated in the rewarding effects of drugs of abuse Amygdala Hypothalamus Cingulate cortex Pre-frontal cortex Nucleus accumbens
Which of the following would be the most appropriate for the blank space? The meso-limbic dopamine system that projects from the ventral tegmental area (VTA) to the **[]** has been implicated in the rewarding effects of drugs of abuse Amygdala Hypothalamus Cingulate cortex Pre-frontal cortex **Nucleus accumbens**
168
Activation of which receptor by dynorphins and GABA-A underlines the mechanism of withdrawal symptoms NMDA receptors Mu opoid receptors Dopamine (D1) receptors Kappa opoid receptors
Activation of which receptor by dynorphins and GABA-A underlines the mechanism of withdrawal symptoms NMDA receptors Mu opoid receptors Dopamine (D1) receptors **Kappa opoid receptors**
169
Atypical antipsychotic drugs target which receptor/s D1 receptors D2 receptors D1 & D2 receptors D1 & 5-HT2 receptors D2 & 5-HT2 receptors
Atypical antipsychotic drugs target which receptor/s D1 receptors D2 receptors D1 & D2 receptors D1 & 5-HT2 receptors **D2 & 5-HT2 receptors**
170
What is the most common type of dementia? Alzheimers Disease Vascular Dementia Mixed AD + VaD Dementia with Lewy Body
What is the most common type of dementia? **Alzheimers Disease** Vascular Dementia Mixed AD + VaD Dementia with Lewy Body
171
Which of the following is associated with late onset AD PSEN1 PSEN2 APP APoE
Which of the following is associated with late onset AD PSEN1 PSEN2 APP **APoE**
172
Which change in AD pathophysiology relates to cognitive decline? Beta amyloid plaques Hyperphosporylated Tau
Which change in AD pathophysiology relates to cognitive decline? Beta amyloid plaques **Hyperphosporylated Tau**
173
Which of the following is used for treatment for severe AD? memantine donepezil rivastigmine galantamine
Which of the following is used for tretment for severe AD? **memantine** donepezil rivastigmine galantamine
174
Which of the following treatments for AD is a NMDA antagonist memantine donepezil rivastigmine galantamine
Which of the following treatments for AD is a NMDA antagonist **memantine** donepezil rivastigmine galantamine
175
A 57-year-old male comes to the office for a routine visit. His symptoms are a shuffling gait, pill-rolling tremor, and a masked face. What is the underlying pathology of the disease? A. Loss of alpha-synuclein, leading to a destruction of the caudate of the basal ganglia B. Lesions in bilateral aspects of the internal capsule C. Destruction of the substantia nigra pars compacta and striatum D. Apoptosis in the substantia nigra pars reticulata
A 57-year-old male comes to the office for a routine visit. His symptoms are a shuffling gait, pill-rolling tremor, and a masked face. What is the underlying pathology of the disease? A. Loss of alpha-synuclein, leading to a destruction of the caudate of the basal ganglia B. Lesions in bilateral aspects of the internal capsule **C. Destruction of the substantia nigra pars compacta and striatum** D. Apoptosis in the substantia nigra pars reticulata
176
A 65-year-old man with a past medical history of hypertension presents to the emergency department after being found down and somnolent at home by his wife. On physical exam, the patient is showing left-sided weakness and has difficulty understanding words spoken to him. A brain MRI is obtained, which shows a stroke in the area of the brain composed of the caudate and lenticular nuclei. Where are the basal ganglia located? A. The inferior aspect of the temporal lobe B. Parietal lobe near the central sulcus C. Lateral aspect of the pons D. Surrounding the thalamus
A 65-year-old man with a past medical history of hypertension presents to the emergency department after being found down and somnolent at home by his wife. On physical exam, the patient is showing left-sided weakness and has difficulty understanding words spoken to him. A brain MRI is obtained, which shows a stroke in the area of the brain composed of the caudate and lenticular nuclei. Where are the basal ganglia located? A. The inferior aspect of the temporal lobe B. Parietal lobe near the central sulcus C. Lateral aspect of the pons D.**Surrounding the thalamus**
177
On this diagram, state which number relates to the **Dorsal striatum:** - Caudate nucleus [1] - Putamen [1] **Lentiform nucleus** - Putamen - Globus pallidus [1] Internal capsule [1]
3 Head of caudate nucleus 4 Putamen 9 Internal capsule
178
Label A&B [2] What structure do A & B make together? [1]
A: **Putamen** B: **Globus pallidus (internal and external capsule)** Together: **Lentiform nucleus**
179
Which structure is highlighted in green? [1]
**Caudate nucleus**
180
Label A-E
A: **caudate nucleus** B: **internal capsule** C: **putamen** D:**globus pallidus** E: **subthalamic nuclei**
181
Which numbers are the: caudate nucleus putamen internal capsule lateral ventricle
Which numbers are the: caudate nucleus: **8** putamen: **12** internal capsule: **9** lateral ventricle: **19**
182
Label A-F
A: **caudate nucleus** B: **putamen** C: **Globus pallidus external** D: **Globus pallidus internux** E: **Subthalamic nucleus** F: **Substantia nigra (SN)**
183
Label 4, 13 & 14 [3]
4: (head) of **caudate nucleus** 13: **putamen** 14: **internal capsule**
184
Label 3, 4 & 9 [3]
3: **Head of caudate nucleus** 4: **Putamen** 9: **Internal capsule**
185
Label 5, 7, 10, 11, 12 & 13
5: **ICA** 7: **Basilar artery** 10: **Caudate nucleus** 11: **Internal capsule** 12: **Lentiform nucleus (Putamen & Globus pallidus** 13: **Caudal extremity of caudate nucleus**
186
Label 1&2 [2]
1 Internal capsule 2 Head of the caudate nucleus
187
Label A-E
188
What is the name for this symptom? Lesions to which region causes this symptom? Subthalamic nuclei Substantia nigra Pre supplementary motor area Lentiform nucleus Dorsal striatum
**athetosis** Lesions to which region causes this symptom? Subthalamic nuclei Substantia nigra Pre supplementary motor area Lentiform nucleus **Dorsal striatum**
189
Label A-E of the basal ganglia circulatory that regulates movement [5]
A: **caudate nucleus & putamen** B: **substantia nigria pars reticulata** C: **globus pallidus internal** D: **superior colliculus** E: **VA / VL complex - in the thalamus**
190
Below is a coronal section of the cerebrum. Which of the following labels corresponds to an intrinsic nuclei of the basal ganglia? A B C D
Below is a coronal section of the cerebrum. Which of the following labels corresponds to an intrinsic nuclei of the basal ganglia? A B **C** D
191
Which structure separates the caudate nucleus from the putamen? Lateral ventricle Internal capsule Globus pallidus Claustrum
Which structure separates the caudate nucleus from the putamen? Lateral ventricle **Internal capsule** Globus pallidus Claustrum
192
Is Parkinsons disease a hyperkinetic or hypokinetic disease? [1] Is Huntingdons disease a hyperkinetic or hypokinetic disease? [1]
Parkinsons: **hypokinetic disease** HD: **hyperkinetic disease**
193
What is the name for this symptom? Lesions to which region causes this symptom? Subthalamic nuclei Substantia nigra Pre supplementary motor area Lentiform nucleus Dorsal striatum
**Ballismus** Lesions to which region causes this symptom? **Subthalamic nuclei** Substantia nigra Pre supplementary motor area Lentiform nucleus Dorsal striatum
194
Which of the following is the substantia nigra?
14
195
Which of the following is the substantia nigra?
27
196
Which of the following is the substantia nigra A B C D E
Which of the following is the substantia nigra A B C D **E**
197
Which stages of Braak staging of Parkinsons are symptoms most likely to develop? Braak 1 & 2 Braak 3 & 4 Braak 5 & 6
Which stages of Braak staging of Parkinsons are symptoms most likely to develop? Braak 1 & 2 **Braak 3 & 4** Braak 5 & 6
198
Which of the following combines with levodopa to stop peripheralh conversion to dopamine? carbidopa rotigotine pramipexole
199
Which of the following dopamine agonists can be used as a transdermal patch? bromocriptine, pramipexole ropinirole rotigotine Apomorphine
Which of the following dopamine agonists can be used as a transdermal patch? bromocriptine, pramipexole ropinirole **rotigotine** Apomorphine
200
carbidopa and benserazide utilise whoch of the following mechanisms? Dopamine agonist COMT inhibitor Decarboxylase inhibitor MAO inhibitor
carbidopa and benserazide utilise whoch of the following mechanisms? Dopamine agonist COMT inhibitor **Decarboxylase inhibitor** MAO inhibitor
201
Q Which of the following dopamine agonists can be used as an infusion for major motor fluctuations? bromocriptine, pramipexole ropinirole rotigotine Apomorphine
Q Which of the following dopamine agonists can be used as an infusion for major motor fluctuations? bromocriptine, pramipexole ropinirole rotigotine **Apomorphine**
202
selegiline utilise utilise which of the following mechanisms? Dopamine agonist COMT inhibitor Decarboxylase inhibitor MAO inhibitor
selegiline utilise utilise which of the following mechanisms? Dopamine agonist COMT inhibitor Decarboxylase inhibitor **MAO inhibitor**
203
Which drug class may be used as an adjunct to levodopa therapy Dopamine agonist COMT inhibitor Decarboxylase inhibitor MAO inhibitor
Which drug class may be used as an adjunct to levodopa therapy Dopamine agonist **COMT inhibitor** Decarboxylase inhibitor MAO inhibitor
204
Which of the following are longer acting drugs require fewer daily doses and this can be an advantage when there are swallowing difficulties Dopamine agonist COMT inhibitor Decarboxylase inhibitor MAO inhibitor
Which of the following are longer acting drugs require fewer daily doses and this can be an advantage when there are swallowing difficulties **Dopamine agonist** COMT inhibitor Decarboxylase inhibitor MAO inhibitor
205
Which of the following are longer acting drugs require fewer daily doses and this can be an advantage when there are swallowing difficulties Dopamine agonist COMT inhibitor Decarboxylase inhibitor MAO inhibitor
Which of the following are longer acting drugs require fewer daily doses and this can be an advantage when there are swallowing difficulties **Dopamine agonist** COMT inhibitor Decarboxylase inhibitor MAO inhibitor
206
State which of the following pattern of MS is depicted Primary progressive MS (PPMS) Relapsing-remitting MS (RRMS) Secondary progressive MS (SPMS): Clinically isolated syndrome (CIS)
State which of the following pattern of MS is depicted **Primary progressive MS (PPMS)** Relapsing-remitting MS (RRMS) Secondary progressive MS (SPMS): Clinically isolated syndrome (CIS)
207
State which of the following pattern of MS is depicted Primary progressive MS (PPMS) Relapsing-remitting MS (RRMS) Secondary progressive MS (SPMS): Clinically isolated syndrome (CIS)
State which of the following pattern of MS is depicted Primary progressive MS (PPMS) **Relapsing-remitting MS (RRMS)** Secondary progressive MS (SPMS): Clinically isolated syndrome (CIS)
208
State which of the following pattern of MS is depicted Primary progressive MS (PPMS) Relapsing-remitting MS (RRMS) Secondary progressive MS (SPMS): Clinically isolated syndrome (CIS)
State which of the following pattern of MS is depicted Primary progressive MS (PPMS) Relapsing-remitting MS (RRMS) **Secondary progressive MS (SPMS):** Clinically isolated syndrome (CIS)
209
Which area of the brain is where conscious intentions are formed and we become aware of motor movement? orbitofrontal (pre-frontal) cortex posterior parietal cortex medial pre-frontal cortex dorso-lateral pre-frontal cortex
Which area of the brain is where conscious intentions are formed and we become aware of motor movement? orbitofrontal (pre-frontal) cortex **posterior parietal cortex** medial pre-frontal cortex dorso-lateral pre-frontal cortex
210
Which of the following areas are involved in Initiating, inhibiting and swtiching executive behaviour: input to the basal ganglia about stop / start orbitofrontal (pre-frontal) cortex posterior parietal cortex medial pre-frontal cortex dorso-lateral pre-frontal cortex
Which of the following areas are involved in Initiating, inhibiting and swtiching executive behaviour: input to the basal ganglia about stop / start orbitofrontal (pre-frontal) cortex posterior parietal cortex medial pre-frontal cortex **dorso-lateral pre-frontal cortex**
211
which of the following guides and monitos actions that are internally guided according to preferences and goals orbitofrontal (pre-frontal) cortex posterior parietal cortex medial pre-frontal cortex dorso-lateral pre-frontal cortex
which of the following guides and monitos actions that are internally guided according to preferences and goals orbitofrontal (pre-frontal) cortex posterior parietal cortex **medial pre-frontal cortex** dorso-lateral pre-frontal cortex
212
Which of the following modulates the degrees of cognitive control need to keep in behaviour in line with the goal orbitofrontal (pre-frontal) cortex posterior parietal cortex medial pre-frontal cortex dorso-lateral pre-frontal cortex
Which of the following modulates the degrees of cognitive control need to keep in behaviour in line with the goal orbitofrontal (pre-frontal) cortex posterior parietal cortex **medial pre-frontal cortex** dorso-lateral pre-frontal cortex
213
Which of the following modulates value for rewards and punishers orbitofrontal (pre-frontal) cortex posterior parietal cortex medial pre-frontal cortex dorso-lateral pre-frontal cortex
Which of the following modulates value for rewards and punishers **orbitofrontal (pre-frontal) cortex** posterior parietal cortex medial pre-frontal cortex dorso-lateral pre-frontal cortex
214
“pseudopsychopathic” behaviours occurs due to lesions in which of the following brain areas orbitofrontal (pre-frontal) cortex posterior parietal cortex medial pre-frontal cortex dorso-lateral pre-frontal cortex
“pseudopsychopathic” behaviours occurs due to lesions in which of the following brain areas **orbitofrontal (pre-frontal) cortex** posterior parietal cortex medial pre-frontal cortex dorso-lateral pre-frontal cortex
215
Label the orange, purple, green and grey barts of the brain
Purple: premotor orange: dorsolateral prefrontal green: orbitofrontal grey: FEF
216
Which region of the brain is responsible for this image? [1]
pre-motor cortex
217
Which region of the brain is responsible for this image? (chosing a food option) [1]
supplementory motor area:
218
Which artery supplies most of the lateral surface of the frontal, parietal and temporal lobes? [1]
MCA
219
Which of the following ensures that the eyes do not lag behind when the head moves to one side rubrospinal tract reticulospinal tract lateral vestibulospinal tract medial vestibulospinal tract
Which of the following ensures that the eyes do not lag behind when the head moves to one side rubrospinal tract reticulospinal tract lateral vestibulospinal tract **medial vestibulospinal tract**
220
Which of the following controls posture and balance rubrospinal tract reticulospinal tract lateral vestibulospinal tract medial vestibulospinal tract
Which of the following controls posture and balance rubrospinal tract reticulospinal tract **lateral vestibulospinal tract** medial vestibulospinal tract
221
Which of the following controls flexor muscle tone rubrospinal tract reticulospinal tract lateral vestibulospinal tract medial vestibulospinal tract
Which of the following controls flexor muscle tone **rubrospinal tract** reticulospinal tract lateral vestibulospinal tract medial vestibulospinal tract
222
Which extra-pyrimadal tract originates in the suprior colliculus? [1]
tectospianl
223
Which extra-pyrimadal tract originates in the superior colliculus? [1]
tectospinal
224
Which of the following synapses on the extensor antigravity motor neurons rubrospinal tract reticulospinal tract lateral vestibulospinal tract medial vestibulospinal tract
Which of the following synapses on the extensor antigravity motor neurons rubrospinal tract reticulospinal tract **lateral vestibulospinal tract** medial vestibulospinal tract
225
Which arteries do the arrows point to? [1]
Lenticulostiate arteries
226
Label 5, 6 & 7
1 - superior temporal gyrus; 2 - inferior frontal gyrus; 3 - insular cortex; 4 - temporal stem; **5 - internal capsule;** **6 - thalamus;** **7 - lentiform nucleus** (the internal and external globus pallidus and the putamen) 8 - frontal horn; 9 - superior circular sulcus; 10 - inferior circular sulcus.
227
The MCA is divided into different segments. Label A-C that depicts this.
A: **M1: horizontal section** B: **M3: cortical section** C: **Sylvian section**
228
# Middle cerebral artery: Describe the difference between an occlusion in M1 v M3
M1: **supplies blood supply to the basal ganglia via the lenticulostriate arteries & motor cortex**. Causes a very bad lesion M3: **Only supplies motor cortex alone** - Less bad lesion
229
The corticobulbar tracts provide innervation to the musculature of which region of the body? Head and neck Upper limbs Lower limbs Neck
The corticobulbar tracts provide innervation to the musculature of which region of the body? **Head and neck** Upper limbs Lower limbs Neck
230
A lesion of the CST above the decussation of the pyramids will result in deficits on the [] side. A lesion of the CST below the decussation of the pyramids will result in deficits on the [] side.
A lesion of the CST cranial to the decussation of the pyramids will result in deficits on the **contralateral** side. A lesion of the CST caudal to the decussation of the pyramids will result in deficits on the **ipsilateral** side.
231
Which tract controls the movement of the face? [1]
**Corticobulbar tract**
232
# Cerebellar histology label this A-C
A: **purkinje layer** B: **molecular layer (outer)** C: **granular layer (inner)**
233
Label 1-4
1 Superior cerebellar peduncle 2 Middle cerebellar peduncle 3 Cerebellar tonsil 4 Inferior semilunar lobule
234
Label A [1]
10 Flocculus of cerebellum
235
Label A-C
A: Anterior lobe B: Posterior lobe C: Flocculonodular lobe.
236
Label A-E
A: Midbrain B: Superior cerebellar peduncle C: Pons D: Pyramid E: Olive
237
Label A-C
A: middle cerebellar peduncle B: cerebellar hemisphere C: Inferior cerebellar peduncle
238
Label A-C
A: vermis B: anterior lobe C: posterior lobe
239
Label A-E
A: Floccus B: cerebellar tonsil C: vermis D: superior cerebellar peduncle E: 4th ventricle
240
Label A
A: middle cerebellar peduncle
241
Label the numbers [5]
20: Vermis 35 Superior cerebellar peduncle 36 Inferior cerebellar peduncle 37 Middle cerebellar peduncle 38 Cerebellar hemisphere
242
Which artery is the most common site of an infarct in posterior circulation?
**PICA**
243
Label A
Superior cerebellar artery
244
Label A-F
A: AICA B: PICA C: Superior Cerebellar Artery D: PCA E: ICA F: ACA
245
Why is the PICA a common site for stroke? [2]
when the blood has to enter the PICA, it has to **essentially do a U-turn** into the **PICA**. Turbulent flow makes atheroma’s easy to form due to erosion/endothelial damage caused by this flow | 7 = PICA
246
Label 1-9
247
Label A-C
A: molecular layer B: granular cell layer C: Purkinje cells
248
Which of the following EEG frequencies are responsbile for 'active wakefullness & REM sleep'? Gamma Beta Alpha Theta Delta
Which of the following EEG frequencies are responsbile for 'active wakefullness & REM sleep'? Gamma **Beta** Alpha Theta Delta
249
Which of the following EEG frequencies are active during for 'sleep & meditation'? Gamma Beta Alpha Theta Delta
Which of the following EEG frequencies are active during for 'sleep & meditation'? Gamma Beta Alpha **Theta** Delta
250
Which of the following EEG frequencies are active during 'active information processing''? Gamma Beta Alpha Theta Delta
Which of the following EEG frequencies are active during 'active information processing''? **Gamma** Beta Alpha Theta Delta
251
Which of the following EEG frequencies are occur while resting with the eyes closed'? Gamma Beta Alpha Theta Delta
Which of the following EEG frequencies are occur while resting with the eyes closed'? Gamma Beta **Alpha** Theta Delta
252
Which are the following EEG frequencies?
253
Which type of tremor indicates Parkinsons Disease unless proven otherwise? Reemergent tremor Resting tremor Intentional tremor Postural tremor
Which type of tremor indicates Parkinsons Disease unless proven otherwise? Reemergent tremor **Resting tremor** Intentional tremor Postural tremor
254
Targeting which area of the brain may help alleviate addiction? Brodmann area 25 (Subcallosal cingulate) Hypothalamus Thalamic centromedian/parafascicular complex Nucleus Accumbens Anterior of the fornix
Targeting which area of the brain may help elleviate addiction? Brodmann area 25 (Subcallosal cingulate) Hypothalamus Thalamic centromedian/parafascicular complex **Nucleus Accumbens** Anterior of the fornix
255
Targeting which area of the brain may help alleviate anorexia? Brodmann area 25 (Subcallosal cingulate) Hypothalamus Thalamic centromedian/parafascicular complex Nucleus Accumbens Anterior of the fornix
Targeting which area of the brain may help alleviate anorexia? Brodmann area 25 (Subcallosal cingulate) **Hypothalamus** Thalamic centromedian/parafascicular complex Nucleus Accumbens Anterior of the fornix
256
Targeting which area of the brain may help AD? Brodmann area 25 (Subcallosal cingulate) Hypothalamus Thalamic centromedian/parafascicular complex Nucleus Accumbens Anterior of the fornix
Targeting which area of the brain may help AD? Brodmann area 25 (Subcallosal cingulate) Hypothalamus Thalamic centromedian/parafascicular complex Nucleus Accumbens **Anterior of the fornix**
257
Targeting which area of the brain may help treatment resistant deppression? Brodmann area 25 (Subcallosal cingulate) Hypothalamus Thalamic centromedian/parafascicular complex Nucleus Accumbens Anterior of the fornix
Targeting which area of the brain may help treatment resistant deepression? **Brodmann area 25 (Subcallosal cingulate)** Hypothalamus Thalamic centromedian/parafascicular complex Nucleus Accumbens Anterior of the fornix
258
Targeting which area of the brain may help Tourette Syndrome? Brodmann area 25 (Subcallosal cingulate) Hypothalamus Thalamic centromedian/parafascicular complex Nucleus Accumbens Anterior of the fornix
Targeting which area of the brain may help Tourette Syndrome? Brodmann area 25 (Subcallosal cingulate) Hypothalamus **Thalamic centromedian/parafascicular complex** Nucleus Accumbens Anterior of the fornix
259
Which potential mechansim for DBS is depicted by the figure? 1- Inhibition hypothesis 2- Excitation hypothesis 3- Disruption hypothesis 4- Neuro-network modulation hypothesis
**3- Disruption hypothesis** DBS activates axon terminals in the stimulated nucleus, induces extensive release of neurotransmitters, such as GABA and glutamate (Glu), and dissociates inputs and outputs in the stimulated nucleus
260
'Deep brain stimulation also excites afferent axons antidromically' Which of the following best describes this theory of how DBS works 1- Inhibition hypothesis 2- Excitation hypothesis 3- Disruption hypothesis 4- Neuro-network modulation hypothesis
'Deep brain stimulation also excites afferent axons antidromically' Which of the following best describes this theory of how DBS works 1- Inhibition hypothesis **2- Excitation hypothesis** 3- Disruption hypothesis 4- Neuro-network modulation hypothesis
261
Which of the following nuclei is connected to cerebrocerebellum? Dentate Emboliform Globos Fastigial
Which of the following nuclei is connected to cerebrocerebellum? **Dentate** Emboliform Globos Fastigial
262
Label A-C
A: Fastigial B: Interposed nuclei C: Dentate nuclei
263
A 65-year-old male presents with his wife. The wife has noticed frequent falls over the past few months. She states that the patient often takes long pauses between syllables of words. On examination, he is alert and able to follow commands. There is also jerky speech, dysmetria, and some difficulty with tandem gait. Which other feature is most likely to be present in this patient? A. Horizontal nystagmus B. Downbeat nystagmus C. Horizontal diplopia D. Vertical diplopia
A 65-year-old male presents with his wife. The wife has noticed frequent falls over the past few months. She states that the patient often takes long pauses between syllables of words. On examination, he is alert and able to follow commands. There is also jerky speech, dysmetria, and some difficulty with tandem gait. Which other feature is most likely to be present in this patient? **A. Horizontal nystagmus** B. Downbeat nystagmus C. Horizontal diplopia D. Vertical diplopia
264
Inability to conduct this exam would indicate a lesion to which part of the cerebellum? cerebrocerebellum spinocerebellum vestibulocerebellum
Inability to conduct this exam would indicate a lesion to which part of the cerebellum? cerebrocerebellum spinocerebellum **vestibulocerebellum**
265
The heeel to foot test assesses which part of the cerebellum? cerebrocerebellum spinocerebellum vestibulocerebellum
The heeel to foot test assesses which part of the cerebellum? **cerebrocerebellum** spinocerebellum vestibulocerebellum
266
This image is testing for which of the following? Dysdiadochokinesis Dysmetria Intention tremors Unsteady gait
This image is testing for which of the following? **Dysdiadochokinesis** Dysmetria Intention tremors Unsteady gait
267
A deficit in this image would suggest a patient is suffering from which syndrome?
Neocerebellar
268
Which of the following is the anterior / ventral spinocerebellar tract A B C D E F
Which of the following is the anterior / ventral spinocerebellar tract A **B** C D E F
269
Which of the following is the posterior / dorsal spinocerebellar tract A B C D E F
Which of the following is the posterior / dorsal spinocerebellar tract **A** B C D E F
270
# Cerebellum function Label A-C of the functional zones of the cerebellum
A. **Spinocerebellum** comprises the anterior lobe and vermis, connected to the fastigial, globose and emboliform nuclei B. **Cerebrocerebellum** is comprised of the posterior lobe (cerebellar hemispheres) controlled by the dentate nucleus C. **Vestibulocerebellum** comprises the flocculonodular lobe and its connections to the lateral vestibular nucleus of the pons
271
Label A & B
A: inferior cerebellar peduncle B: Vestibular nuclei
272
Which nucleus is the 3rd order synapse for lateral spinothalamic nuclei? [1]
Ventral Posterolateral Nucleus (VPL)
273
NSAIDs combat fever by inhibiting which prostaglandin? Prostaglandin E2 Prostaglandin I2 Prostaglandin D2 Prostaglandin F2
NSAIDs combat fever by inhibiting which prostaglandin? ** Prostaglandin E2** Prostaglandin I2 Prostaglandin D2 Prostaglandin F2
274
Which nuclei controls circadian rhythm? Paraventricular nucleus Suprachiasmatic nucleus Arcuate nucleus Pre-optic nucleus Supraoptic nucleus
Which nuclei controls circadian rhythm? Paraventricular nucleus **Suprachiasmatic nucleus** Arcuate nucleus Pre-optic nucleus Supraoptic nucleus
275
GABA & Galanin neurons project from which nucleus? Paraventricular nucleus Suprachiasmatic nucleus Arcuate nucleus Pre-optic nucleus Supraoptic nucleus
GABA & Galanin neurons project from which nucleus? Paraventricular nucleus Suprachiasmatic nucleus Arcuate nucleus **Pre-optic nucleus** Supraoptic nucleus
276
Label A
REM sleep
277
Which EEG wave represents feeling of being drowsy? Alpha Beta Theta Delta
Which EEG wave represents feeling of being drowsy? **Alpha** Beta Theta Delta
278
Which sleep stage does this EEG show? Beta REM Theta Alpha Delta
**Delta**
279
Which sleep stage does this EEG show? Beta REM Theta Alpha Delta
Which sleep stage does this EEG show? Beta REM Theta **Alpha** Delta
280
Which sleep stage does this EEG show? Beta REM Theta Alpha Delta
Which sleep stage does this EEG show? Beta REM **Theta** Alpha Delta
281
Which sleep stage does this EEG show? Beta REM Theta Alpha Delta
Which sleep stage does this EEG show? Beta **REM** Theta Alpha Delta
282
What is the biggest cause of insomnia? Primary insomnia Psyciatric disorders Medication Unknown
What is the biggest cause of insomnia? Primary insomnia **Psyciatric disorders** Medication Unknown
283
Which stage of sleep normally lasts the longest? Stage 1 Stage 2 Stage 3 Stage 4
Which stage of sleep normally lasts the longest? Stage 1 **Stage 2** Stage 3 Stage 4
284
A deficency in which of the following causes narcolepsy? Orexins Histamines GABA Melatonin Setaonin
A deficency in which of the following causes narcolepsy? **Orexins** Histamines GABA Melatonin Setaonin
285
What type of drug is at A & B? [2]
A: Benzo B: Barbiturate
286
Which NSAID has a significant risk of CV events? [1]
Celecoxib
287
Pregabalin acts on the α2δ subunit of what type of channels Ca2+ K+ Amines Na+ NH3
Pregabalin acts on the α2δ subunit of what type of channels **Ca2+** K+ Amines Na+ NH3
288
Ketamine works as an antagonist to which of the following? Ca2+ AMPA glutamate receptor Amines Na+ NMDA Glutamate receptor
Ketamine works as an antagonist to which of the following? Ca2+ AMPA glutamate receptor Amines Na+ **NMDA Glutamate receptor**
289
Baclofen is an agonist to which of the following Ca2+ AMPA glutamate receptor Amines GABA NMDA Glutamate receptor
Baclofen is an agonist to which of the following Ca2+ AMPA glutamate receptor Amines **GABA** NMDA Glutamate receptor
290
Which class of drugs can you not use / creates lots of AEs if they eat food like red wine, cheese or mature cheese? TCAs SNRIs MAOIs SSRIs
Which class of drugs can you not use / creates lots of AEs if they eat food like red wine, cheese or mature cheese? TCAs SNRIs MAOIs SSRIs
291
Which is the first line drug choice for treating depression TCAs SNRIs MAOIs SSRIs
Which is the first line drug choice for treating depression TCAs SNRIs **MAOIs** SSRIs
292
Which is the most selective SSRI? citalopram sertraline fluoxetine paroxetine
Which is the most selective SSRI? **citalopram** sertraline fluoxetine paroxetine
293
Which of the following is a reversible MAOI? phenelzine moclobemide tranylcypromine agomelatine
Which of the following is a reversible MAOI? phenelzine **moclobemide** tranylcypromine agomelatine
294
Which of the following drug class cause discontinuation syndrome TCAs SNRIs MAOIs SSRIs
Which of the following drug class cause discontinuation syndrome TCAs SNRIs MAOIs **SSRIs**
295
Which of the following is noradrenaline reuptake inhibitor? Duloxetine Reboxetine Mirtazapine Tianeptine Trazodone
Which of the following is noradrenaline reuptake inhibitor? Duloxetine **Reboxetine** Mirtazapine Tianeptine Trazodone
296
Which of the following is noradrenergic and specific serotonergic antidepressants NaSSA? Duloxetine Reboxetine Mirtazapine Tianeptine Trazodone
Which of the following is noradrenergic and specific serotonergic antidepressants? Duloxetine Reboxetine **Mirtazapine** Tianeptine Trazodone
297
Which of the following is a serotonergic antagonist and reuptake inhibito (SARI)? Duloxetine Reboxetine Mirtazapine Tianeptine Trazodone
Which of the following is a serotonergic antagonist and reuptake inhibito (SARI)? Duloxetine Reboxetine Mirtazapine Tianeptine **Trazodone**
298
Which of the following reduces the increased default mode network connectivity seen in depression? Duloxetine Reboxetine Mirtazapine Tianeptine Trazodone
Which of the following reduces the increased default mode network connectivity seen in depression? **Duloxetine** Reboxetine Mirtazapine Tianeptine Trazodone
299
Which drug class has the highest risk for mania if used to treat depression in bipolar patients? TCAs SNRIs MAOIs SSRIs
Which drug class has the highest risk for mania if used to treat depression in bipolar patients? **TCAs** SNRIs MAOIs SSRIs
300
Which area is the DBS target for treating depression? [1] What the is the Broadmann area? 21 22 23 24 25
Which area is the DBS target for treating depression: **subgenual cingulate cortex** What the is the Broadmann area? 21 22 23 24 **25**
301
Which of the following would be used to treat treatment resistant depression Duloxetine Esketamine Mirtazapine Brexanalone Trazodone
Which of the following would be used to treat treatment resistant depression Duloxetine **Esketamine** Mirtazapine Brexanalone Trazodone
302
Which of the following would be used to treat post-partum depression Duloxetine Esketamine Mirtazapine Brexanalone Trazodone
Which of the following would be used to treat post-partum depression Duloxetine Esketamine Mirtazapine **Brexanalone** Trazodone
303
The Frontal Eye Fields are supplied by which artery ACA MCA PCA Anterior Choroidal Lenitculate striate
The Frontal Eye Fields are supplied by which artery ACA **MCA** PCA Anterior Choroidal Lenitculate striate
304
Urinary incontinence is caused by a stroke to which of the following: ACA MCA PCA Anterior Choroidal Lenitculate striate
Urinary incontinence is caused by a stroke to which of the following: **ACA** MCA PCA Anterior Choroidal Lenitculate striate
305
Anosmia is caused by a stroke to which of the following: ACA MCA PCA Anterior Choroidal Lenitculate striate
Anosmia is caused by a stroke to which of the following: **ACA** - olfactory bulb MCA PCA Anterior Choroidal Lenitculate striate
306
Abulia is caused by a stroke to which of the following ACA MCA PCA Anterior Choroidal Lenitculate striate
Abulia: an absence of willpower or an inability to act decisively, a symptom of schizophrenia or other mental illness. **ACA** frontal lobe MCA PCA Anterior Choroidal Lenitculate striate
307
Contralateral homonymous hemianopia is caused by a stroke to which of the following ACA MCA PCA Anterior Choroidal Lenitculate striate
Contralateral homonymous hemianopia is caused by a stroke to which of the following ACA **MCA** Optic Radiation effected PCA Anterior Choroidal Lenitculate striate
308
Which lobe undergoes most degeneration in AD Frontal Parietal Temporal Occipital
Which lobe undergoes most degeneration in AD Frontal Parietal **Temporal** Occipital
309
Which structures in the brain are particularly effected by AD? [2]
Significant loss of temporal lobe + cholinergic nuclei Especially **hippocampus + entorhinal cortex**
310
HD has a significant loss of which structure? [1]
Significant loss of **striatal volume**: Enlarged ventricles as a result
311
In HD which part of the basal ganlgia becomes hyperactive? GPin Putamen GPex Caudate nucleus
In HD which part of the basal ganlgia becomes hyperactive? GPin Putamen **GPex** Result in **inhibited STN = GPint** is not able to inhibit thalamus Caudate nucleus
312
WHAT IS LABELLED 4? Caudate Internal capsule Globus pallidus Nucleus Accumbens Fornix Lateral Ventricles
WHAT IS LABELLED 4? **Caudate** Internal capsule Globus pallidus Nucleus Accumbens Fornix Lateral Ventricles
313
WHAT IS LABELLED 8? Internal capsule Thalamus Fornix Nucleus Accumbens Septum pellucidum Globus pallidus int.
WHAT IS LABELLED 8? Internal capsule Thalamus **Fornix** Nucleus Accumbens Septum pellucidum Globus pallidus int.
314
What is 13? Internal capsule Amygdala Hippocampus Caudate Putamen Globus pallidus int
What is 13? Internal capsule Amygdala **Hippocampus** Caudate Putamen Globus pallidus int
315
What is A? Cingulate gyrus Parahippocampal gyrus Thalamus Lateral ventricles Insular cortex
What is A? **Cingulate gyrus** Parahippocampal gyrus Thalamus Lateral ventricles Insular cortex
316
Label D & E [2]
Substantia Nigra Subthalamic nucleus
317
Stenosis to which artery causes 10% of all strokes? ACA Carotid PICA Lenticulostriate MCA
Stenosis to which artery causes 10% of all strokes? ACA **Carotid** PICA Lenticulostriate MCA
318
The Oxford-Bamford classification for stroke bases the classification of which factor? Vasculature effected Whole clinical picture Aetiology Imaging (MRI / CT)
The -Bamford classification for stroke bases the classification of which factor? Vasculature effected **Whole clinical picture** Aetiology Imaging (MRI / CT)
319
The Toast classification for stroke bases the classification of which factor? Vasculature effected Whole clinical picture Aetiology Imaging (MRI / CT)
The Toast classification for stroke bases the classification of which factor? Vasculature effected Whole clinical picture **Aetiology** Imaging (MRI / CT)
320
Where is the cingulate gyrus in the brain? [1] Which structure does it lie directly above? [1]
Lies above the **corpus callosum**
321
Label A-C
A: **Dentate gyrus** B: **Parahippocampal gyrus** C: **Uncus of parahippocampal gyrus**
322
Label A-E
A: **cingulate gyrus** B: **corpus callosum** C: **fornix** D: **parahippocampal gyrus** E: **subcallosal area**
323
Label A-F
A: **Fornix** B: **Cingulate cortex** C: **Thalamus** D: **Mamilllary body** E: **Hippocampus** F: **Amygdala**
324
Label A-C
A: **Anterior commissure** B: **Amygdala** C: **Hippocampal**
325
Label 14-17
14 Pulvinar of thalamus 15 Mamillary body 16 Optic tract 17 Anterior commissure
326
Label 18-22
18 **Fornix** 19 Longitudinal stria 20 **Dentate gyrus** 21 **Hippocampal** fimbria 22 Pes **hippocampi**
327
Which of the following is the amygdala A B C D E
Which of the following is the amygdala **A** B C D E
328
Which part of the limbic region can modulate the startle reflex? Hippocampus Amygdala Parahippocampal gyrus Posterior cingulate gyrus Anterior cingulate gyrus
Which part of the limbic region can modulate the startle reflex? Hippocampus **Amygdala** Parahippocampal gyrus Posterior cingulate gyrus Anterior cingulate gyrus
329
Which of the following is involved in memory formation Hippocampus Mamilliary bodies Parahippocampal gyrus Posterior cingulate gyrus Anterior cingulate gyrus
Which of the following is involved in memory formation **Hippocampus** Mamilliary bodies Parahippocampal gyrus Posterior cingulate gyrus Anterior cingulate gyrus
330
Which of the following is involved in processing emotions and behavior regulation Hippocampus Mamilliary bodies Parahippocampal gyrus Posterior cingulate gyrus Anterior cingulate gyrus
Which of the following is involved in processing emotions and behavior regulation Hippocampus Mamilliary bodies Parahippocampal gyrus Posterior cingulate gyrus **Anterior cingulate gyrus**
331
Which of the following is involved in recalling emotional memories Hippocampus Mamilliary bodies Parahippocampal gyrus Posterior cingulate gyrus Anterior cingulate gyrus
Which of the following is involved in recalling emotional memories Hippocampus Mamilliary bodies Parahippocampal gyrus **Posterior cingulate gyrus** Anterior cingulate gyrus
332
Toxoplasma gondii is a parasite that exploits this role of which part of the limbic system? Hippocampus Amygdala Parahippocampal gyrus Posterior cingulate gyrus Anterior cingulate gyrus **What effect does this have on a person? [1]**
Toxoplasma gondii is a parasite that exploits this role of which part of the limbic system? Hippocampus **Amygdala** Parahippocampal gyrus Posterior cingulate gyrus Anterior cingulate gyrus Toxoplasma gondii parasite linked to **risky business behavior**?
333
which of the following does the mastoid fonatelle turn into after sutures have closed? bregma pterion asterion lamboid gonion
which of the following does the mastoid fonatelle turn into after sutures have closed? bregma pterion **asterion** lamboid gonion
334
which of the following does the sphenoid fonatelle turn into after sutures have closed? bregma pterion asterion lamboid gonion
which of the following does the sphenoid fonatelle turn into after sutures have closed? bregma **pterion** asterion lamboid gonion
335
Which suture connects the two parietal bones to the frontal bone? Sagittal suture Squamous suture Coronal suture Lambdoid suture
Which suture connects the two parietal bones to the frontal bone? Sagittal suture Squamous suture **Coronal suture** Lambdoid suture
336
How many bones contribute to the orbit? 5 6 7 8 9
How many bones contribute to the orbit? 5 6 **7** 8 9
337
The glossopharnygeal nerve passes through which foramen? Jugular foramen Superior orbital fissure Foramen ovale Internal acoustic meatus Foramen rotundum
The glossopharnygeal nerve passes through which foramen? **Jugular foramen** Superior orbital fissure Foramen ovale Internal acoustic meatus Foramen rotundum
338
The facial nerve passes through which foramen? Jugular foramen Superior orbital fissure Foramen ovale Internal acoustic meatus Foramen rotundum
The facial nerve passes through which foramen? Jugular foramen Superior orbital fissure Foramen ovale **Internal acoustic meatus** Foramen rotundum
339
the spinal cord terminates at the: cauda equina filum terminale conus medullaris foramen magnum 1st coccygeal vert
the spinal cord terminates at the: cauda equina filum terminale **conus medullaris** foramen magnum 1st coccygeal vert
340
Which vertebral level do you go under to perform a lumbar puncture? L1 L2 L3 L4 L5
Which vertebral level do you go under to perform a lumbar puncture? L1 **L2** L3 L4 L5
341
which foramen does the internal carotid artery pass over the top of? ​ foramen spinosum carotid canal jugular foramen foramen lacerum foramen magnum
which foramen does the internal carotid artery pass over the top of? ​ foramen spinosum carotid canal jugular foramen **foramen lacerum** foreman magnum
342
spinal accessory nerves leave the skull via which foramen? foramen spinosum carotid canal jugular foramen foramen lacerum foramen magnum
spinal accessory nerves leave the skull via which foramen? foramen spinosum carotid canal **jugular foramen** foramen lacerum foramen magnum
343
Q You are examining a 79-year-old woman who presented last night with stroke-like symptoms. She has suspected lateral medullary syndrome. On examination, she has loss of taste in the posterior third of her tongue and an absent gag reflex. What structure does the likely affected cranial nerve pass through? Foramen ovale Foramen rotundum Hypoglossal canal Internal auditory meatus Jugular foramen
Q You are examining a 79-year-old woman who presented last night with stroke-like symptoms. She has suspected lateral medullary syndrome. On examination, she has loss of taste in the posterior third of her tongue and an absent gag reflex. What structure does the likely affected cranial nerve pass through? Foramen ovale Foramen rotundum Hypoglossal canal Internal auditory meatus **Jugular foramen** CNIX passses through here
344
Q From which of these foraminae does the opthalmic branch of the trigeminal nerve exit the skull? Foramen ovale Foramen rotundum Foramen spinosum Superior orbital fissure Foreman magnum
Q From which of these foraminae does the opthalmic branch of the trigeminal nerve exit the skull? Foramen ovale Foramen rotundum Foramen spinosum **Superior orbital fissure** Foreman magnum
345
346
What is the most likely diagnosis of this image? Shingles Trigeminal neuralgia Hand, foot and mouth Measle
What is the most likely diagnosis of this image? **Shingles** Trigeminal neuralgia Hand, foot and mouth Measle
347
Label 1-5
Temporal, Zygomatic, Buccal, Marginal Mandibular Branch, Cervical branch
348
What is the most likely diagnosis? [1] Left sided haemorrhage Right sided haemorrhage Left sided tumour Right sided tumour
What is the most likely diagnosis? [1] Left sided haemorrhage Right sided haemorrhage Left sided tumour **Right sided tumour** This is most likely an acoustic neuroma (vestibular schwannoma) - a type of tumour.
349
The acoustic neuroma is most likely to affect which of these cranial nerves first?
Acoustic schwannomas are most likely to affect **CNVIII (vestibulocochlear) first**
350
Label A-F
A: **cerebral aquaduct** B: **olfactory tract** C: **Optic nerve and optic chiasma** D: **Oculomotor nerve (n. III)** E: **Substantia nigra** F: **Trochlea nerve**
351
Label A-E
A: **Oculomotor nerve (n. III)** B: **Trigeminal nerve (n. V)** C: **Abducent nerve (n. VI)** D: **Facial nerve (n. VII)** E: **Vestibulocochlear nerve (n. VIII)**
352
Label 27-31
27 Flocculus of cerebellum 28 Glossopharyngeal nerve (n. IX) & VN (n X) 29 Hypoglossal nerve (n. XII) 30 Accessory nerve (n. XI) 31 Vermis of cerebellum
353
The cingulum connects which two parts of the limbic system? [1]
Anterior cingulate gyrus and parahippcampal gyrus
354
Which of the following is A Anterior cingulate gyrus Hippocampus Amygdala Dentate gyrus Parahippocampal gyrus Uncus of parahippocampal gyrus
Which of the following is A Anterior cingulate gyrus Hippocampus Amygdala **Dentate gyrus** Parahippocampal gyrus Uncus of parahippocampal gyrus
355
Which of the following is B? Mamillary Bodies Hippocampus Amygdala Dentate gyrus Parahippocampal gyrus Fornix
Which of the following is B? Mamillary Bodies **Hippocampus** Amygdala Dentate gyrus Parahippocampal gyrus Fornix
356
Which of the following is A? Mamillary Bodies Hippocampus Amygdala Dentate gyrus Parahippocampal gyrus Fornix
Which of the following is A? Mamillary Bodies Hippocampus **Amygdala** Dentate gyrus Parahippocampal gyrus Fornix
357
Which of the following is F? Mamillary Bodies Hippocampus Amygdala Dentate gyrus Parahippocampal gyrus Fornix
Which of the following is F? Mamillary Bodies Hippocampus Amygdala Dentate gyrus Parahippocampal gyrus **Fornix**
358
Locked-in syndrome arises due to damage at ventral pons lateral pons superior pons inferior pons
Locked-in syndrome arises due to damage at **ventral pons** lateral pons superior pons inferior pons
359
Guillain-Barre syndrome causes which of the following akinetic mutism locked-in syndrome vegative state comatose state
360
Persistent vegetative state is defined as Vegetative state persisting for at least 1 month after TBI or non-TBI. Vegetative state persisting for at least 12 months after traumatic injury. Vegetative state persisting for at least 3 months after non-traumatic causes Vegetative state persisting for at least 6 months after non-traumatic causes Vegetative state persisting for at least 2 months afterTBI or non-TBI.
Persistent vegetative state is defined as **Vegetative state persisting for at least 1 month after TBI or non-TBI.** Vegetative state persisting for at least 12 months after traumatic injury. Vegetative state persisting for at least 3 months after non-traumatic causes Vegetative state persisting for at least 6 months after non-traumatic causes Vegetative state persisting for at least 2 months afterTBI or non-TBI.
361
Label A-E
A: Minimally consciousness state B: vegatative syndrome C: locked in syndrome D: REM sleep E: coma
362
Zolpidem is a drug that causes patients to temporarily leave vegetative state. What is its MoA? GABA-A antagonist GABA-A agonist NMDA Glutamate antagonist NMDA Glutamate agonist AMPA Glutamate antagonist
Zolpidem is a drug that causes patients to temporarily leave vegetative state. What is its MoA? GABA-A antagonist **GABA-A agonist** NMDA Glutamate antagonist NMDA Glutamate agonist AMPA Glutamate antagonist
363
Amantadine helps patients recover from TBI. What is its mechanism of action? GABA-A antagonist GABA-A agonist NMDA Glutamate antagonist NMDA Glutamate agonist AMPA Glutamate antagonist
Amantadine helps patients recover from TBI. What is its mechanism of action? GABA-A antagonist GABA-A agonist **NMDA Glutamate antagonist** AND **blocks dopamine reuptake** NMDA Glutamate agonist AMPA Glutamate antagonist
364
Urbach-Wiethe disease is a build up of which ion that causes wasting of the amygdala Na+ K+ Cl- Ca2+ H+
Urbach-Wiethe disease is a build up of which ion that causes wasting of the amygdala Na+ K+ Cl- **Ca2+** H+
365
Which of the following is a gene that is associated with late onset AD? PSEn1 PSEN2 MAPT APP APOE4
Which of the following is a gene that is associated with late onset AD? PSEn1 PSEN2 **MAPT** APP APOE4
366
A person with which of the following may have: slurred, nasal-sounding or breathy speech Dysarthrophonia Dysarthria Dysphonia Aphasia
A person with which of the following may have: slurred, nasal-sounding or breathy speech Dysarthrophonia **Dysarthria** Dysphonia Aphasia
367
A 60-year-old female has non-fluent aphasia characterized by good comprehension but poor repetition. What is the best description of this condition? A. Wernicke aphasia B. Broca aphasia C. Anomic aphasia D. Mixed transcortical aphasia
A 60-year-old female has non-fluent aphasia characterized by good comprehension but poor repetition. What is the best description of this condition? A. Wernicke aphasia **B. Broca aphasia** C. Anomic aphasia D. Mixed transcortical aphasia
368
# TBI A mass lesion with an ICP of ≥ [] mmHg can cause herniation 12 14 16 18 20
A mass lesion with an ICP of ≥ [] mmHg can cause herniation 12 14 16 18 **20** Normal: 5-15 mmHG
369
A patient presents to A&E with a GCS of less than what a score will cause them to have an immediate CT scan? <15 <14 <13 <12 <11
A patient presents to A&E with a GCS of less than what a score will cause them to have an immediate CT scan? <15 <14 **< 13** <12 <11
370
What size haematoma would be evacuated regardless of GCS? > 3cm2 > 30cm2 > 3 mm2 > 30 mm2
What size haematoma would be evacuated regardless of GCS? > 3cm2 **> 30cm2** > 3 mm2 > 30 mm2
371
Which of the following may not present with symptoms for weeks / months? A: subdural haematoma B: epidural haematoma C: intraparenchymal haemorrhage D: subarachnoid haemorrhage
Which of the following may not present with symptoms for weeks / months? **A: subdural haematoma** B: epidural haematoma C: intraparenchymal haemorrhage D: subarachnoid haemorrhage
372
What type of herniation does the CT scan show? Uncal Central Tonsillar Cingulate (subfalcine) Extracranial
**Cingulate (subfalcine)**
373
A Status epilepticus is a form of epilepsy which is a life-threatening medical emergency where seizures last more than how many minutes? 3 mins 5 mins 8 mins 10 mins
A Status epilepticus is a form of epilepsy which is a life-threatening medical emergency where seizures last more than how many minutes? 3 mins **5 mins** 8 mins 10 mins
374
Which of the following should not be used to treat an absence seizure as they may exacerbate it? Sodium valproate Lamotrigine Phenytoin Pregabalin Ethosuximide
Which of the following should not be used to treat an absence seizure as they may exacerbate it? Sodium valproate Lamotrigine **Phenytoin** Pregabalin Ethosuximide
375
Which drug class increases the duration of the opening of GABA channels? Benzodiazepines Barbiturates Sulfonamides GABA agonists
Which drug class increases the duration of GABA channels? Benzodiazepines **Barbiturates** Sulfonamides GABA agonists
376
Which drug class increases the frequency of the opening of GABA channels? Benzodiazepines Barbiturates Sulfonamides GABA agonists
Which drug class increases the frequency of the opening of GABA channels? **Benzodiazepines** Barbiturates Sulfonamides GABA agonists
377
Which of the following inhibits GABA transaminase to prevent GABA breakdown Vigabatrin Levetiracetam Phenobarbitone Tiagabine
Which of the following inhibits GABA transaminase to prevent GABA breakdown **Vigabatrin** Levetiracetam Phenobarbitone Tiagabine
378
Which of the following targets GAT-1 transporter to inhibit GABA reuptake Vigabatrin Levetiracetam Phenobarbitone Tiagabine
Which of the following targets GAT-1 transporter to inhibit GABA reuptake Vigabatrin Levetiracetam Phenobarbitone **Tiagabine**
379
Q Which of the following type of channel does carbamazepine target? Ca2+ GABA Na+ Glutamate
Q Which of the following type of channel does carbamazepine target? Ca2+ GABA **Na+** Glutamate
380
381
Which of the following common causes a sudden occipital headache A: subdural haematoma B: epidural haematoma C: intraparenchymal haemorrhage D: subarachnoid haemorrhage
Which of the following common causes a sudden occipital headache A: subdural haematoma B: epidural haematoma C: intraparenchymal haemorrhage **D: subarachnoid haemorrhage**
382
Xanthochromia occurs from which type of bleed A: subdural haematoma B: epidural haematoma C: intraparenchymal haemorrhage D: subarachnoid haemorrhage
Xanthochromia occurs from which type of bleed A: subdural haematoma B: epidural haematoma C: intraparenchymal haemorrhage **D: subarachnoid haemorrhage**
383
Schizophrenic patients often have a decreased activation in which part of the brain? [1]
384
Pre-natal viral infection is associated with which of the following? Depression Anxiety Epilepsy Schizophrenia AD
Pre-natal viral infection is associated with which of the following? Depression Anxiety Epilepsy **Schizophrenia** AD
385
SCH patients have reduced density of whichof the following: Oligodendrocyte Astrocytes Ependymal cells Microglial cells
SCH patients have reduced density of whichof the following: **Oligodendrocyte** less of the gene neuroreguin Astrocytes Ependymal cells Microglial cells
386
SCH patients have reduced density of whichof the following: Oligodendrocyte Astrocytes Ependymal cells Microglial cells
SCH patients have reduced density of whichof the following: **Oligodendrocyte** less of the gene neuroreguin Astrocytes Ependymal cells Microglial cells
387
SCH patients have reduced density of whichof the following: Oligodendrocyte Astrocytes Ependymal cells Microglial cells
SCH patients have reduced density of whichof the following: **Oligodendrocyte** less of the gene neuroreguin Astrocytes Ependymal cells Microglial cells
388
SCH patients have reduced density of whichof the following: Oligodendrocyte Astrocytes Ependymal cells Microglial cells
SCH patients have reduced density of whichof the following: **Oligodendrocyte** less of the gene neuroreguin Astrocytes Ependymal cells Microglial cells
389
Which of the following is caused by 'imbalance of production and absorbtion of endolymph, which ulitmately can result in tympanic membrane bursting' benign paroxysmal positional vertigo (BPPV) labyrinthitis ménière's disease vestibular neuritis perilymph fistula
Which of the following is caused by 'imbalance of production and absorbtion of endolymph, which ulitmately can result in tympanic membrane bursting' benign paroxysmal positional vertigo (BPPV) labyrinthitis **ménière's disease** vestibular neuritis perilymph fistula
390
What does this image depict? benign paroxysmal positional vertigo (BPPV) labyrinthitis ménière's disease vestibular neuritis perilymph fistula
What does this image depict? benign paroxysmal positional vertigo (BPPV) labyrinthitis **ménière's disease** vestibular neuritis perilymph fistula
391
What does this image depict? benign paroxysmal positional vertigo (BPPV) labyrinthitis ménière's disease vestibular neuritis perilymph fistula
What does this image depict? **benign paroxysmal positional vertigo (BPPV)** labyrinthitis ménière's disease vestibular neuritis perilymph fistula
392
What is the name for this test of vestibular function / dysfunction? [1]
Hallpike’s Manoeuvre:
393
How do you perform Hallpikes manouevre? [1]
With the patient lying in supine position, the head is lowered quickly below the horizontal plane of the table and **turned to one side.** The patient then sits up and the test is repeated, turning the **head to the other side**. If there is vestibular dysfunction, the patient will **develop nystagmus** and complain of vertigo within 10 seconds of head movement
394
The caloric test assesses the function of which reflex? [1]
Vestibular-ocular reflex
395
A 17-year-old female presents with worsening hearing on her right side. The clinician identifies a significant amount of cerumen impaction in the right external auditory canal. The patient is positioned supine, and her head is elevated 30 degrees. The right auditory meatus is irrigated with warm water. After a large piece of cerumen dislodges, the clinician continues to irrigate; however, the patient states she "feels funny." What will most likely be seen on an ocular exam? A. Fast beating nystagmus towards the right B. Fast beating nystagmus towards the left C. Conjugate eye deviation towards the right D. Conjugate eye deviation towards the left
A 17-year-old female presents with worsening hearing on her right side. The clinician identifies a significant amount of cerumen impaction in the right external auditory canal. The patient is positioned supine, and her head is elevated 30 degrees. The right auditory meatus is irrigated with warm water. After a large piece of cerumen dislodges, the clinician continues to irrigate; however, the patient states she "feels funny." What will most likely be seen on an ocular exam? **A. Fast beating nystagmus towards the right** B. Fast beating nystagmus towards the left C. Conjugate eye deviation towards the right D. Conjugate eye deviation towards the left
396
A 14-year-old female is being evaluated after a high-speed motor vehicle collision. She was unresponsive at the scene and was immediately intubated by EMS for airway protection. Upon arrival at the hospital, she remains unresponsive though she has not required any sedation during transport. She has an intact gag reflex upon suctioning. Which of the following clinical findings is most likely to be present in this patient? A. Stimulation of the left ear with cold water causes left nystagmus B. Stimulation of the left ear with cold water causes right nystagmus C. Stimulation of either ear with cold water causes rotary nystagmus D. Stimulation of the right ear with warm water causes left nystagmus
**B. Stimulation of the left ear with cold water causes right nystagmus** This patient has suffered a traumatic brain injury (TBI). With an intact gag reflex, CN IX and X are intact, as is the vestibulo-ocular reflex (CV VIII and III/IV). Therefore, one would expect a positive response to caloric testing, which can be remembered by recalling the pneumonic "COWS," cold opposite, warm same.
397
Label A-C
A: ampullae B: utricle C: saccle
398
Label A-D
A: Ampulla B: Cupulla C: Crista D: Vestibulocochlea nerve
399
SCN9A codes for which of the following TRPM8 TRPV1 ASICS Nav7
SCN9A codes for which of the following TRPM8 TRPV1 ASICS **Nav7**
400
Loss of which of the following would cause congenital insensitivity to pain? TRPM8 TRPV1 ASICS Nav7
Loss of which of the following would cause congenital insensitivity to pain? TRPM8 TRPV1 ASICS **Nav7**
401
The lateral spinothalamic tract finishes its path two locations. One of them is listed below - which is it? Primary somatosensory cortex Secondary somatosensory cortex Rostral insula Amygdala Orbitofrontal cortex
The lateral spinothalamic tract finishes its path two locations. One of them is listed below - which is it? Primary somatosensory cortex Secondary somatosensory cortex **Rostral insula** AND **Anterior cingulate gyrus** Amygdala Orbitofrontal cortex
402
Before finishing its path in the primary and secondary somatosensory cortex, in which two thalamic nuclei does the anterior spinal thalamic synapse? [2]
ventral posterior lateral nucleus (VPL) ventral posterior inferior nucleus (VPI)
403
Before finishing its path in the rostral insula and anterior cingulate gyrus, in which two thalamic nuclei does the lateral spinal thalamic synapse? [2]
medial dorsal nucleus ventral posterior inferior nucleus (VPI)
404
The sprouting of which fibres in the dorsal horn can modulate chronic pain Aalpha Abeta Adelta C
The sprouting of which fibres in the dorsal horn can modulate chronic pain Aalpha **Abeta** Adelta C
405
Neuron growth factor is coded for by which gene? SCN9A TRKA MC1R COMT
Neuron growth factor is coded for by which gene? SCN9A **TRKA** MC1R COMT
406
Which of the following dampens pain? Serotonin Dopamine Noradrenaline
Which of the following dampens pain? Serotonin **Dopamine** Noradrenaline
407
Which of the following causes vasodilation in the peripheral sensitisation to pain? Histamines H+ ATP Substance P
Which of the following causes vasodilation in the peripheral sensitisation to pain? Histamines H+ ATP **Substance P** along with **CGRP**
408
After major depression after significant life events, which receptor undergoes polymorphism? Dopamine Noradrenaline Serotonin Glutamate
After major depression after significant life events, which receptor undergoes polymorphism? Dopamine Noradrenaline **Serotonin** Glutamate
409
Which area of the brain has significant reduction in glucose consumption during depressive periods? [1]
subgenual cingulate cortex
410
Which of the following causes weight gain as side effect? TCAs SNRIs MAOIs SSRIs
Which of the following causes weight gain as side effect? **TCAs**: blockage of histamines 1 receptors SNRIs MAOIs SSRIs
411
Which of the following is the most cardiotoxic? Amitriptyline Nortriptyline Citalopram Sertraline Fluoxetine
Which of the following is the most cardiotoxic? **Amitriptyline** Nortriptyline Citalopram Sertraline Fluoxetine
412
Which of the following requires a PPI is also using an NSAID? TCAs SNRIs MAOIs SSRIs
Which of the following requires a PPI is also using an NSAID? TCAs SNRIs MAOIs **SSRIs**
413
Which of the following does not cause discontinuation syndrome? Amitriptyline Nortriptyline Moclobemide Trazodone Agomelatine
Which of the following does not cause discontinuation syndrome? Amitriptyline Nortriptyline Moclobemide Trazodone **Agomelatine**
414
Which antidepressant medications have a possible increased risk of suicidality among pediatric and young adult (up to age 25) populations? TCAs SNRIs MAOIs SSRIs
Which antidepressant medications have a possible increased risk of suicidality among pediatric and young adult (up to age 25) populations? TCAs SNRIs MAOIs **SSRIs**
415
This patient is most likely to have suffered from Depression AD MS Parkinsons Epilepsy
This patient is most likely to have suffered from Depression AD **MS**: decrease in white matter Parkinsons Epilepsy
416
Deficiency in which vitamin is associated with MS? Vitamin B1 Vitamin C Vitamin B6 Vitamin D Vitamin B12
Deficiency in which vitamin is associated with MS? Vitamin B1 Vitamin C Vitamin B6 **Vitamin D** Vitamin B12
417
This histological slide is most likely from a patient suffering from which of the following? Depression AD MS Parkinsons Epilepsy
This histological slide is most likely from a patient suffering from which of the following? Depression AD **MS** Parkinsons Epilepsy
418
Which viral infection is associted with MS? Epstein-Barr Virus Toxoplasmosis gondii Cytomegalovirus Human papilloma virus
Which viral infection is associted with MS? **Epstein-Barr Virus** Toxoplasmosis gondii Cytomegalovirus Human papilloma virus
419
A 28-year-old healthy female presents to the provider's office because of double vision, which started 4 days ago. She has a 2-week history of right-sided numbness and mild headaches. She is a nonsmoker and does not drink alcohol. On examination, vital signs were normal. Eye examination shows isochoric pupils equally reactive to light, and the extraocular muscle exam shows she is unable to gaze past the midline with her right eye and develops horizontal nystagmus of the left eye when looking to the left. Convergence and eye movement to the right are normal. There were no other cranial nerve deficits. The motor examination was normal. The sensory exam reveals a slight deficit on the left arm and leg to light touch and pinprick. Which of the following is the most likely cause of the patient's lesion? A. Bickerstaff encephalitis B. Infarction of the pons C. Autoimmune vasculitis D. Multiple sclerosis
A 28-year-old healthy female presents to the provider's office because of double vision, which started 4 days ago. She has a 2-week history of right-sided numbness and mild headaches. She is a nonsmoker and does not drink alcohol. On examination, vital signs were normal. Eye examination shows isochoric pupils equally reactive to light, and the extraocular muscle exam shows **she is unable to gaze past the midline with her right eye and develops horizontal nystagmus of the left eye when looking to the left**. Convergence and eye movement to the right are normal. There were no other cranial nerve deficits. The motor examination was normal. The sensory exam reveals a slight deficit on the left arm and leg to light touch and pinprick. Which of the following is the most likely cause of the patient's lesion? A. Bickerstaff encephalitis B. Infarction of the pons C. Autoimmune vasculitis **D. Multiple sclerosis** The patient has a right internuclear ophthalmoplegia secondary to a lesion at the right medial longitudinal fasciculus (MLF).
420
# Internuclear Ophthalmoplegia If a patient is unable to gaze past the midline with her right eye and develops horizontal nystagmus of the left eye when looking to the left, where is her lesion? [1] right medial longitudinal fasciculus left medial longitudinal fasciculus right lateral longitudinal fasciculus left lateral longitudinal fasciculus
If a patient is unable to gaze past the midline with her right eye and develops horizontal nystagmus of the left eye when looking to the left, where is her lesion? [1] **right medial longitudinal fasciculus** Internuclear ophthalmoplegia presents with **impairment** of **adduction** Looking to the opposite side of the affected eye will cause double vision.
421
This MRI is indicative of which pathology? [1]
MS: Dawsons fingers
422
What is 8? Corpus Callosum Hippocampus Subthalamic nuclei Nucleus accumbens Putamen
What is 8? Corpus Callosum Hippocampus Subthalamic nuclei **Nucleus accumbens** Putamen
423
What is 8? Anterior commissure Fornix Lateral ventricle Putamen Nucleus accumbens
What is 8? Anterior commissure **Fornix** Lateral ventricle Putamen Nucleus accumbens
424
What is 5? Hypothalamus Fornix Amygdala Hippocampus Thalamus
What is 5? Hypothalamus Fornix Amygdala **Hippocampus** Thalamus
425
What is 13? Hypothalamus Fornix Amygdala Hippocampus Thalamus
What is 5? Hypothalamus Fornix **Amygdala** Hippocampus Thalamus
426
What is 3? Hypothalamus Fornix Amygdala Hippocampus Thalamus
What is 3? **Hypothalamus** Fornix Amygdala Hippocampus Thalamus
427
What is 10? Hypothalamus Fornix Amygdala Hippocampus Thalamus
What is 10? Hypothalamus **Fornix** Amygdala Hippocampus Thalamus
428
Label A-D
A:Cingulate cortex nuclei B: Anterior thalamic C:Mammillary bodies D: hippocampus
429
A firefighter, with a history of traumatic brain injury after falling from a ladder, presents to the clinic for follow-up. He complains of anterograde amnesia ever since the accident. Magnetic resonance imaging reveals damage to the hypothalamic structure involved in memory. What thalamic nucleus receives input from the affected structure? A. Midline nucleus B. Dorsomedial nucleus C. Anterior nucleus D. Lateral dorsal nucleus
A firefighter, with a history of traumatic brain injury after falling from a ladder, presents to the clinic for follow-up. He complains of anterograde amnesia ever since the accident. Magnetic resonance imaging reveals damage to the hypothalamic structure involved in memory. What thalamic nucleus receives input from the affected structure? A. Midline nucleus B. Dorsomedial nucleus C.** Anterior nucleus** D. Lateral dorsal nucleus
430
An MRI of a 56-year-old man shows a lesion in the amygdala. Which relevant pathway involving the amygdala has been proposed as a substrate for the human ability to infer the intentions of others from their language, gaze, and gestures? A. Dorsal route via stria terminalis B. Ventral part via amygdalofugal pathway C. Via the amygdala's connections to the hypothalamus D. The basolateral circuit
An MRI of a 56-year-old man shows a lesion in the amygdala. Which relevant pathway involving the amygdala has been proposed as a substrate for the human ability to infer the intentions of others from their language, gaze, and gestures? A. Dorsal route via stria terminalis B. Ventral part via amygdalofugal pathway C. Via the amygdala's connections to the hypothalamus D. The** basolateral circuit** !!
431
Which part of the brainstem is this? Midbrain Medulla (Superior) Medulla (Inferior) Pons
Which part of the brainstem is this? Midbrain Medulla (Superior) Medulla (Inferior) **Pons** Anteriorly the pons bulges forwards,
432
Which part of the brainstem is this? Midbrain Medulla (Open / Superior) Medulla (Closed / Inferior) Pons
Which part of the brainstem is this? Midbrain **Medulla (Open / Superior)** Medulla (Closed / Inferior) Pons
433
Which part of the brainstem is this? Midbrain Medulla (Open / Superior) Medulla (Closed / Inferior) Pons
Which part of the brainstem is this? **Midbrain** This can be identified by the large cerebral peduncles anteriorly Medulla (Open / Superior) Medulla (Closed / Inferior) Pons
434
Which part of the brainstem is this? Midbrain Medulla (Open / Superior) Medulla (Closed / Inferior) Pons
Which part of the brainstem is this? Midbrain Medulla (Open / Superior) **Medulla (Closed / Inferior)** Pons
435
pain tolerance ratios !
436
Where is the lesion? A B C D E F
Where is the lesion? A B C **D** E F
437
This photo shows a histopathological slide from a patient with MS. What does it show? Inflammation Astrocytosis Demyelination Focal apoptosis Microglial activation
This photo shows a histopathological slide from a patient with MS. What does it show? **Inflammation** Astrocytosis Demyelination Focal apoptosis Microglial activation
438
What is indicated by letter A? PAG Nucleus raphe magnus Nucleus reticularis paragigantocelluaris Dorsal horn VTA
What is indicated by letter A? **PAG** Nucleus raphe magnus Nucleus reticularis paragigantocelluaris Dorsal horn VTA
439
This image shows a picture of an NMDA receptor. Which molecule binds at D? Ca2+ Mg2+ K+ Na+ Zn
This image shows a picture of an NMDA receptor. Which molecule binds at D? Ca2+ **Mg2+** K+ Na+ Zn
440
Which of the following does the tuberomamillary nucleus secrete to stimulate sleep? Histamines Orexins Noradrenaline Serotonin Actelycholine
Which of the following does the tuberomamillary nucleus secrete to stimulate sleep? **Histamines** Orexins Noradrenaline Serotonin Actelycholine
441
ID the CN CN II CN III CN IV CN V CN VI
ID the CN CN II CN III **CN IV** CN V CN VI
442
What is the arrow pointing to? Hippocampus Amygdala Thalamus Fornix Cingulate gyrus Hypothalamus
What is the arrow pointing to? **Hippocampus** Amygdala Thalamus Fornix Cingulate gyrus Hypothalamus
443
Damage to this stucture would cause Truncal ataxia Tremo Babinski sign Hyperkinesia Bradykinesia
Damage to this stucture would cause **Truncal ataxia** Tremo Babinski sign Hyperkinesia Bradykinesia
444
Damage to this stucture would cause Truncal ataxia Tremo Babinski sign Hyperkinesia Bradykinesia
Damage to this stucture would cause **Truncal ataxia** Tremo Babinski sign Hyperkinesia Bradykinesia
445
Which of the following is a major output system to the thalamus? A B C D E
Which of the following is a major output system to the thalamus? A B C **D**: GPin E
446
The structure indicated is involved with which function? Memory transmission Memory formation Memory storage Memory retrieval Affective labelling of a memory
The structure indicated is involved with which function? **Memory transmission** Memory formation Memory storage Memory retrieval Affective labelling of a memory
447
Loss of dopaminergic input to the BG leads to insufficient activation of D1 receptors Activation of direct pathway Insufficient activation of D2 receptors Activation of thalamus Inhibiton of internal globus pallidus
Loss of dopaminergic input to the BG leads to **insufficient activation of D1 receptors** Activation of direct pathway Insufficient activation of D2 receptors Activation of thalamus Inhibiton of internal globus pallidus
448
A patient suffers an aterial intracranial bleed. The artery most likely goes through which of the following? 1 2 3 4 5
A patient suffers an aterial intracranial bleed. The artery most likely goes through which of the following? 1 2 **3** 4 5
449
What type of herniation would occur underneath this structure? Uncal Tonsilar Tentorial Subfalcine Transforaminal
What type of herniation would occur underneath this structure? **Uncal** Tonsilar Tentorial Subfalcine Transforaminal
450
What type of herniation would occur underneath this structure? Uncal Tonsilar Tentorial Subfalcine Transforaminal
What type of herniation would occur underneath this structure? **Uncal** Tonsilar Tentorial Subfalcine Transforaminal
451
Where is the fracture Lacrymal Zygomatic Frontal Maxilla Ethmoid Sphenoid
Where is the fracture Lacrymal Zygomatic Frontal **Maxilla** Ethmoid Sphenoid
452
Label A-C
A: ethmoid B: sphenoid C: zygomatic
453
Pavlovs dogs is an example of what type of conditioning? [1] Observational learning Classical conditioning Operant conditioning Emotional conditioning
Pavlovs dogs is an example of what type of conditioning? [1] Observational learning **Classical conditioning** Operant conditioning Emotional conditioning
454
Q You got scared when a dog barked angrily at you entering his owners house. What term is used to describe the dog barking? Conditional response Conditional stimulus Natural reflex Unconditional stimulus Unconditional response
Q You got scared when a dog barked angrily at you entering his owners house. What term is used to describe the dog barking? Conditional response Conditional stimulus Natural reflex **Unconditional stimulus** Unconditional response
455
Stage fright is an example of Observational learning Classical conditioning Operant conditioning Emotional conditioning
Stage fright is an example of Observational learning Classical conditioning Operant conditioning **Emotional conditioning**
456
What term is given for the fur coat after Albert was conditioned? Conditional response Conditional stimulus Natural reflex Unconditional stimulus Unconditional response
What term is given for the fur coat after Albert was conditioned? Conditional response **Conditional stimulus** Natural reflex Unconditional stimulus Unconditional response
457
What is the term give for the horrible tasting substance used to avoid onychiphagia? Conditional response Conditional stimulus Natural reflex Unconditional stimulus Unconditional response
What is the term give for the horrible tasting substance used to avoid onychiphagia? Conditional response Conditional stimulus Natural reflex Unconditional stimulus **Unconditional response**
458
What is the name for this type of therapy? [1]
systematic desensitization [1]
459
Which of the following best describes the type of therapy? 'Placing someone with claustrophobia in a crowded room for two hour' Flooding therapy Implosion therapy Systematic desensitisation Operant conditioning
Which of the following best describes the type of therapy? 'Placing someone with claustrophobia in a crowded room for two hour' **Flooding therapy** Implosion therapy Systematic desensitisation Operant conditioning
460
What is the name for this type of therapy? [1]
systematic desensitization [1]
461
Which of the following best describes the type of therapy? 'Placing someone with claustrophobia in a crowded room for two hour' Flooding therapy Implosion therapy Systematic desensitisation Operant conditioning
Which of the following best describes the type of therapy? 'Placing someone with claustrophobia in a crowded room for two hour' **Flooding therapy** Implosion therapy Systematic desensitisation Operant conditioning
462
Which of the following is predominately filled with cartliage? Foramen lacerum Carotid canal Foramen rotundum Foramen magnum
Which of the following is predominately filled with cartliage? **Foramen lacerum** Carotid canal Foramen rotundum Foramen magnum
463
70-year-old male presented to the emergency department complaining of blurred vision on his right eye. CT angiogram shows an embolus on the right ophthalmic artery. By which route would an embolus most likely reach the ophthalmic artery? A. Internal carotid canal – foramen rotundum – cavernous sinus to medial anterior clinoid process B. Internal carotid canal – foramen lacerum – cavernous sinus to medial anterior clinoid process C. Internal carotid canal – foramen lacerum – cavernous sinus lateral to anterior clinoid process D. Internal carotid canal – foramen spinosum – cavernous sinus medial to anterior clinoid process
70-year-old male presented to the emergency department complaining of blurred vision on his right eye. CT angiogram shows an embolus on the right ophthalmic artery. By which route would an embolus most likely reach the ophthalmic artery? A. Internal carotid canal – foramen rotundum – cavernous sinus to medial anterior clinoid process **B. Internal carotid canal – foramen lacerum – cavernous sinus to medial anterior clinoid process** C. Internal carotid canal – foramen lacerum – cavernous sinus lateral to anterior clinoid process D. Internal carotid canal – foramen spinosum – cavernous sinus medial to anterior clinoid process
464
Which of the following thalamic nuclei is involved with memory Lateral geniculate nucleus (LGN) Medial geniculate nucleus (MGN) Ventral posterior lateral nucleus (VPL) Anterior nucleus (A) Ventral lateral nucleus (VL) Ventral anterior nucleus (VA)
Which of the following thalamic nuclei is involved with memory Lateral geniculate nucleus (LGN) Medial geniculate nucleus (MGN) Ventral posterior lateral nucleus (VPL) **Anterior nucleus (A)** Ventral lateral nucleus (VL) Ventral anterior nucleus (VA)
465
Which of the following thalamic nuclei is involved with hearing Lateral geniculate nucleus (LGN) Medial geniculate nucleus (MGN) Ventral posterior lateral nucleus (VPL) Anterior nucleus (A) Ventral lateral nucleus (VL) Ventral anterior nucleus (VA)
Which of the following thalamic nuclei is involved with hearing Lateral geniculate nucleus (LGN) **Medial geniculate nucleus (MGN)** Ventral posterior lateral nucleus (VPL) Anterior nucleus (A) Ventral lateral nucleus (VL) Ventral anterior nucleus (VA)
466
Which of the following thalamic nuclei is involved with motor input from basal ganglia Lateral geniculate nucleus (LGN) Medial geniculate nucleus (MGN) Ventral posterior lateral nucleus (VPL) Anterior nucleus (A) Ventral lateral nucleus (VL) Ventral anterior nucleus (VA)
Which of the following thalamic nuclei is involved with motor input from basal ganglia Lateral geniculate nucleus (LGN) Medial geniculate nucleus (MGN) Ventral posterior lateral nucleus (VPL) Anterior nucleus (A) Ventral lateral nucleus (VL) Ventral anterior nucleus (VA)
467
Atrophy of which component of the basal ganglia is responsible for Graham’s Parkinsonian symptoms? Putamen Caudate Globus pallidus Substantia nigra
Atrophy of which component of the basal ganglia is responsible for Graham’s Parkinsonian symptoms? Putamen Caudate Globus pallidus **Substantia nigra**
468
A 76-year old male in a senior facility was brought to his provider due to difficulty sleeping for 6 months. His wife died two months ago and aggravated further his sleep problem. Regulation of his sleep cycle and control of consciousness is a function of which of the following? A. Reticular formation B. Hypothalamus C. Basal ganglia D. Pineal gland
A 76-year old male in a senior facility was brought to his provider due to difficulty sleeping for 6 months. His wife died two months ago and aggravated further his sleep problem. Regulation of his sleep cycle and control of consciousness is a function of which of the following? **A. Reticular formation** B. Hypothalamus C. Basal ganglia D. Pineal gland
469
Which of the following would most likely be cause from damage to the hippocampus? Loss of procedural memory Anterograde amnesia Impaired spatial cognition Retrograde amnesia Imparied attention
Which of the following would most likely be cause from damage to the hippocampus? Loss of procedural memory Anterograde amnesia **Impaired spatial cognition** Retrograde amnesia Imparied attention
470
Lorraine describes her father’s recent behavioural changes in more detail: he seems uninterested in doing things, is missing bills, and does not seem to enjoy playing with his great grandchildren as he usually did. Wich part of the brain is most likely affected? Cingulate cortex Hypothalamus Thalamus Hippocampus Mamillary bodies
Lorraine describes her father’s recent behavioural changes in more detail: he seems uninterested in doing things, is missing bills, and does not seem to enjoy playing with his great grandchildren as he usually did. Wich part of the brain is most likely affected? **Cingulate cortex** Many types of behavioural changes are common in Alzheimer’s Disease, but this picture suggests apathy, characterised by poor motivation and altered affect (this also commonly coexists with depression). This suggests involvement of the cingulate cortex (probably anterior cingulate cortex) as well as the prefrontal and orbital frontal cortex.
471
Observational learning is a Relational learning Motor learning Perceptual learning Stimulus response learning
Observational learning is a **Relational learning** Motor learning Perceptual learning Stimulus response learning
472
Which of the following occurs from changes between one sensory system and the motor system Relational learning Motor learning Perceptual learning Stimulus response learning
Which of the following occurs from changes between one sensory system and the motor system Relational learning Motor learning Perceptual learning **Stimulus response learning**
473
Which of the following occurs from changes in one sensory system Relational learning Motor learning Perceptual learning Stimulus response learning
Which of the following occurs from changes in one sensory system Relational learning Motor learning **Perceptual learning** Stimulus response learning
474
Which of the following is learning about the relationship among individual stimuli Relational learning Motor learning Perceptual learning Stimulus response learning
Which of the following is learning about the relationship among individual stimuli **Relational learning** Motor learning Perceptual learning Stimulus response learning
475
The hippocampus, medial temporal lobe and neocortex is involved with which type of memory * episodic memory * semantic memor * procedural memory (skills and habits) * classical conditioning
The hippocampus, medial temporal lobe and neocortex is involved with which type of memory * **episodic memory**: personal episodes in time and space
476
The amygdala and cerebellum are involved with which type of memory * episodic memory * semantic memor * procedural memory (skills and habits) * classical conditioning
The amygdala and cerebellum are involved with which type of memory * episodic memory * semantic memor * procedural memory (skills and habits) * **classical conditioning**
477
The lateral and anterior temporal cortex, prefrontal cortex are involved with which type of memory? * episodic memory * semantic memor * procedural memory (skills and habits) * classical conditioning
The lateral and anterior temporal cortex, prefrontal cortex are involved with which type of memory? * episodic memory * **semantic memory** * procedural memory (skills and habits) * classical conditioning
478
The striatum, cerebellum and motor cortex are involved with which type of memory? * episodic memory * semantic memor * procedural memory (skills and habits) * classical conditioning
The striatum, cerebellum and motor cortex are involved with which type of memory? * episodic memory * semantic memor * **procedural memory** (skills and habits) * classical conditioning
479
Information processed by the sensory neocortex provides input to the hippocampus via the dentate gyrus perirhinal cortex parahippocampal gyrus entorhinal cortex.
Information processed by the sensory neocortex provides input to the hippocampus via the dentate gyrus perirhinal cortex parahippocampal gyrus **entorhinal cortex**
480
The projects in the dentate gyrus are called: Subiculum Schaffer Collaterals Mossy fibres Pyramidal cells Granule cells
The projects in the dentate gyrus are called: Subiculum Schaffer Collaterals **Mossy fibres** Pyramidal cells Granule cells
481
The projections between CA3 and CA1 in the hippocampus are called Subiculum Schaffer Collaterals Mossy fibres Pyramidal cells Granule cells
The projections between CA3 and CA1 in the hippocampus are called Subiculum **Schaffer Collaterals** Mossy fibres Pyramidal cells Granule cells
482
The [] is a pivotal structure positioned between the hippocampus proper (CA1) and entorhinal and other cortices Subiculum Schaffer Collaterals Mossy fibres Pyramidal cells Granule cells
The [] is a pivotal structure positioned between the hippocampus proper (CA1) and entorhinal and other cortices **Subiculum** Schaffer Collaterals Mossy fibres Pyramidal cells Granule cells
483
What is A? Subiculum Schaffer Collaterals Mossy fibres Pyramidal cells Perforant pathway
**Perforant pathway**
484
What is B? Subiculum Schaffer Collaterals Mossy fibres Pyramidal cells Perforant pathway
What is B? Subiculum Schaffer Collaterals **Mossy fibres** Pyramidal cells Perforant pathway
485
Label C Subiculum Schaffer Collaterals Mossy fibres Pyramidal cells Perforant pathway
Label C Subiculum **Schaffer Collaterals** Mossy fibres Pyramidal cells Perforant pathway
486
Which area of the brain undergoes lesions to cause working memory loss? Temporal Frontal Occipital Parietal
Which area of the brain undergoes lesions to cause working memory loss? Temporal **Frontal** Occipital Parietal
487
Which area of the brain undergoes lesions to cause long term memory loss? Temporal Frontal Occipital Parietal
Which area of the brain undergoes lesions to cause long term memory loss? **Temporal** Frontal Occipital Parietal
488
Which hormone increases during REM sleep? [1] Insulin Prolactin Growth Hormone Oxytocin Ghrelin
Which hormone increases during REM sleep? [1] Insulin Prolactin **Growth Hormone** Oxytocin Ghrelin
489
Which of the following increases during periods of stress? Stage 1 Stage 2 Stage 3 Stage 4 REM
Which of the following increases during periods of stress? Stage 1 Stage 2 Stage 3 Stage 4 **REM**
490
Which of the following is good at combating oxidative stress during sleep? Cortisol Melatonin Leptin Ghrelin
Which of the following is good at combating oxidative stress during sleep? Cortisol **Melatonin** Leptin Ghrelin
491
Tuberomamillary (TMN) system is involved in keeping the body awake. Which molecule controls it? Dopamine Noradrenaline Orexins Melatonin Histamines
Tuberomamillary (TMN) system is involved in keeping the body awake. Which molecule controls it? Dopamine Noradrenaline Orexins Melatonin **Histamines**
492
GABA & Galanin neurons project from which nucleus? Paraventricular nucleus Suprachiasmatic nucleus Arcuate nucleus Pre-optic nucleus Supraoptic nucleus
GABA & Galanin neurons project from which nucleus? Paraventricular nucleus Suprachiasmatic nucleus Arcuate nucleus Pre-optic nucleus Supraoptic nucleus
493
Which stage of sleep normally lasts the longest? Stage 1 Stage 2 Stage 3 Stage 4 REM
Which stage of sleep normally lasts the longest? Stage 1 **Stage 2** Stage 3 Stage 4 REM
494
which of the following is a benzodiazapene prescribed for chronic insomnia? * lorazepam * temazepam * Zolpidem * eszopiclone
which of the following is a benzodiazapene prescribed for chronic insomnia? * lorazepam - short term * temazepam - short term * Zolpidem - long term & z drug * **eszopiclone**
495
which of the following has the shortest half life? * lorazepam * temazepam * Zolpidem * eszopiclone
which of the following has the shortest half life? * lorazepam * temazepam * **Zolpidem** * eszopiclone benzos: long half life; z drugs: short half life
496
A deficiency in which of the following causes narcolepsy? Dopamine Noradrenaline Orexins Melatonin Histamines
A deficiency in which of the following causes narcolepsy? Dopamine Noradrenaline **Orexins** Melatonin Histamines
497
Which of the following is depicted Resting tremor Postural tremor Intentional tremor Dystonia
Which of the following is depicted **Intentional** **tremor**: occurs with a goal-directed movement and worsens as approaching the target
498
Which of the following genes involved in SCH is responsible for neurodevelopment and also signalling in corticolimbic areas Dysbindin DISC1 COMT BDNF Neuregulin 1
Which of the following genes involved in SCH is responsible for neurodevelopment and also signalling in corticolimbic areas Dysbindin **DISC1** COMT BDNF Neuregulin 1
499
Which of the following genes involved in SCH causes synaptic plasticity and myelination Dysbindin DISC1 COMT BDNF Neuregulin 1
Which of the following genes involved in SCH causes synaptic plasticity and myelination Dysbindin DISC1 COMT BDNF **Neuregulin 1**
500
Which of the following genes involved in SCH may affect dopamine D2 receptor levels and glutamate and GABA transmission Dysbindin DISC1 COMT BDNF Neuregulin 1
Which of the following genes involved in SCH may affect dopamine D2 receptor levels and glutamate and GABA transmission **Dysbindin** DISC1 COMT BDNF Neuregulin 1
501
Which of the following is implicated in SCH? A B C D E
Which of the following is implicated in SCH? **A** dorsolateral prefontal B C D E
502
Which of the following is most likely causing A? Epilepsy Parkinsons Schizophrenia Multiple sclerosis Huntingdons
Which of the following is most likely causing A? Epilepsy Parkinsons **Schizophrenia** Multiple sclerosis Huntingdons
503
Label A & B [1] Which one is hyperactive in SCH? [1] Which one is hypoactive in SCH? [1]
A: mesolimbic system - **hyperactive** B: mesocortical system: **hypoactive**
504
Typical anti-psychotics have which of the following effect? Relieve postive and negative symptoms Relieve positive symptoms only Relieve negative symptoms only Relieve cognitive symptoms only
Typical anti-psychotics have which of the following effect? Relieve postive and negative symptoms **Relieve positive symptoms only** Relieve negative symptoms only Relieve cognitive symptoms only
505
Which of the following is tardive dyskinesia A B C D
Which of the following is tardive dyskinesia A B C **D**
506
Which of the following is acute dystonia A B C D
Which of the following is acute dystonia A B **C** D
507
Prolonged used of typical anti-psychotics may leda to which syndrome? [1]
**neuroleptic malignant syndrome**
508
Alchohol / ethanol decreases the effect of which channel to cause psychodepression? Na+ K+ Cl- Ca2+ H+
Alchohol / ethanol decreases the effect of which channel to cause psychodepression? Na+ K+ Cl- **Ca2+** H+ DOES NOT act on a single specific receptor protein.
509
Which of the following inibits dopamine uptake? Caffeine MDMA Alcohol Cannabis Cocaine
Which of the following inibits dopamine uptake? Caffeine MDMA Alcohol Cannabis **Cocaine**
510
What does the yellow rectangle represent? Caffeine MDMA Alcohol Cannabis Cocaine
What does the yellow rectangle represent? Caffeine MDMA Alcohol Cannabis **Cocaine**
511
Which of the following is an adenosine antagonist? Caffeine MDMA Alcohol Cannabis Cocaine
Which of the following is an adenosine antagonist? **Caffeine**: adenosine promotes sleep
512
What are the 3 mechanisms of acton of MDMA use? [3]
3 key functions: I. Stimulate **release** of **catecholamines** II. **Inhibit** **catecholamine** **recapture** by the uptake system III. **Inhibit monoamine oxidase (MAO)** activity
513
Which specific receptors do atypical anti-pyschotics target? 5-HT1A Na 5-HT2A D1
Which specific receptors do atypical anti-pyschotics target? 5-HT1A Na **5-HT2A** strong antagonists; weak D2 receptors D1
514
Which of the following anti-pyschotics is particularly useful for negative symptoms? Risperidone Quetiapine Aripiprazole Clozapine Olanzapine
Which of the following anti-pyschotics is particularly useful for negative symptoms? Risperidone Quetiapine Aripiprazole Clozapine **Olanzapine**
515
Which of the following anti-pyschotics is a partial agonist at pre-synaptic D2 but an antagonist at post-synaptic D2? Risperidone Quetiapine Aripiprazole Clozapine Olanzapine
Which of the following anti-pyschotics is a partial agonist at pre-synaptic D2 but an antagonist at post-synaptic D2? Risperidone Quetiapine **Aripiprazole** Clozapine Olanzapine
516
Which of the following may cause an increased risk of infection? Risperidone Quetiapine Aripiprazole Clozapine Olanzapine
Which of the following may cause an increased risk of infection? Risperidone Quetiapine Aripiprazole **Clozapine** Olanzapine
517
State two key AEs of using typical anti-pyschotics? [2] (that are non-pyramidal)
**weight gain** rise in **prolactin**: sexual dysfunction, galactorrhoea, amenorrhea
518
Cannabis binds to CB1 receptors. Which enzyme does this subsequently inhibit? [1]
Inhibit **Adenylate cyclase**, thus inhibiting voltage-dependent calcium channels.
519
Clozapine targets which receptor D1 D2 D3 D4
Clozapine targets which receptor D1 D2 D3 **D4**
520
A 30-year-old female presents to the clinic complaining of irregular menses. She has been having irregular menstrual cycles for the past two years. The patient has a history of schizophrenia but has been stable on her current antipsychotic medication. She discontinued oral contraceptives and has abstained from both alcohol and nicotine for approximately one year as she and her husband are planning to start a family. The physical exam is unremarkable and the patient denies suicidal or homicidal ideations, denies auditory or visual hallucinations, cognition and judgment are intact. What is the most likely hormonal abnormality causing this patient's symptoms? A. Increased gonadotropin hormone secretion B. Decreased human growth hormone secretion C. Increased prolactin secretion D. Decreased thyroid hormone production
A 30-year-old female presents to the clinic complaining of irregular menses. She has been having irregular menstrual cycles for the past two years. The patient has a history of schizophrenia but has been stable on her current antipsychotic medication. She discontinued oral contraceptives and has abstained from both alcohol and nicotine for approximately one year as she and her husband are planning to start a family. The physical exam is unremarkable and the patient denies suicidal or homicidal ideations, denies auditory or visual hallucinations, cognition and judgment are intact. What is the most likely hormonal abnormality causing this patient's symptoms? A. Increased gonadotropin hormone secretion B. Decreased human growth hormone secretion **C. Increased prolactin secretion** D. Decreased thyroid hormone production
521
The hippocampus receives direct input from: A. Parahippocampal cortex. B. Cingulate cortex. C. Amygdala. D. Septalnuclei and hypothalamus. E. All of the above.
The hippocampus receives direct input from: A. Parahippocampal cortex. B. Cingulate cortex. C. Amygdala. D. Septalnuclei and hypothalamus. **All of the above.**
522
The output of the amygdala (arrow) is to A. Septal nuclei and hypothalamus. B. Dorsomedial thalamus. C. Orbitofrontal cortex. D. Ventral striatum. E. All of the above.
The output of the amygdala (arrow) is to A. Septal nuclei and hypothalamus. B. Dorsomedial thalamus. C. Orbitofrontal cortex. D. Ventral striatum. **E. All of the above.**
523
While picnicing in the meadow the wind suddenly delivers the foul odor of a rotting smell. You vomit. Think of the circuitry involved in executing the motor act. Which does it NOT include? A. Activity in the solitary tract. B. Activity in the cortical amygdala. C. Activity in the stria terminalis. D. Hypothalamic integration of limbic input. E. Activation of reticulospinal tracts.
While picnicing in the meadow the wind suddenly delivers the foul odor of a rotting smell. You vomit. Think of the circuitry involved in executing the motor act. Which does it NOT include? **A. Activity in the solitary tract** The solitary tract consists of primary sensory axons subserving taste and visceral sensation. Only after the act of vomiting would this pathway be active. While a lot of what we think of as taste is smell, the stimulus in this case is olfactory and involves the other structures listed.
524
Axons in this structure are A. Primary sensory axons. B. Secondary sensory axons. C. Tertiary sensory axons. D. None of the above because its a central tract. E. A & B.
Axons in this structure are A. Primary sensory axons. **B. Secondary sensory axons.** Myelinated axons in the core of the olfactory tract are secondary sensory axons leaving pyramidal (mitral) cells and traveling to the olfactory cortex.
525
What is the relationship of the hippocampus to this region of the lateral ventricle? A. Its in the floor of the ventricle. B. Its in the roof of the ventricle. C. It is rostral to the ventricle. D. It has no relationship to the ventricle.
What is the relationship of the hippocampus to this region of the lateral ventricle? A. Its in the floor of the ventricle. **B. Its in the roof of the ventricle.** C. It is rostral to the ventricle. D. It has no relationship to the ventricle.
526
What structure on the ventral surface of the brain is the best indicator of the position of the amygdala? A. The parahippocampal gyrus. B. The internal carotid artery. C. The posterior cerebral artery. D. The uncus.
What structure on the ventral surface of the brain is the best indicator of the position of the amygdala? A. The parahippocampal gyrus. B. The internal carotid artery. C. The posterior cerebral artery. **D. The uncus.** The uncus is the most conspicuous landmark and directly overlies the amygdala.
527
Which of the following are specific sensory relay nuclei to primary somatosensory cortex (postcentral gyrus)? A. Dorsomedial nucleus. B. Intralaminar nuclei. C. Ventral posterior medial and lateral thalamic nuclei. D. Anterior thalamic nuclei. E. Ventral anterior and ventral lateral nuclei.
Which of the following are specific sensory relay nuclei to primary somatosensory cortex (postcentral gyrus)? A. Dorsomedial nucleus. B. Intralaminar nuclei. **C. Ventral posterior medial and lateral thalamic nuclei.** D. Anterior thalamic nuclei. E. Ventral anterior and ventral lateral nuclei.
528
What is the major thalamic source of afferents to this gyrus? A. Dorsomedial nucleus. B. Intralaminar nuclei. C. Ventral posterior medial and lateral thalamic nuclei. D. Anterior thalamic nuclei. E. Ventral anterior and ventral lateral nuclei.
What is the major thalamic source of afferents to this gyrus? A. Dorsomedial nucleus. B. Intralaminar nuclei. C. Ventral posterior medial and lateral thalamic nuclei. **D. Anterior thalamic nuclei.** The anterior nuclei project to the cingulate gyrus. The cingulate gyrus projects to all areas of cortex and vice versa.
529
Axons of hippocampal pyramidal cells travel in the A. Ventral (amygdalofugal) pathway. B. Stria terminalis. C. Fornix. D. Cingulum.
Axons of hippocampal pyramidal cells travel in the A. Ventral (amygdalofugal) pathway. B. Stria terminalis. **C. Fornix.** Correct! Hippocampal pyramidal cells send most of their axons through the fornix.
530
These pallidal efferents go to: A. Thalamus. B. Putamen. C. Red nucleus. D. A and B. E. A, B, and C.
These pallidal efferents go to: A. **Thalamus**. B. Putamen. C. Red nucleus. D. A and B. E. A, B, and C.
531
he majority of hypertensive hemorrhages occur in the basal ganglia. Rupture of branches of which artery are most common? A. Middle cerebral. B. Lenticulostriate or lateral striate. C. Anterior cerebral. D. Anterior communicating. E. Posterior communicating.
he majority of hypertensive hemorrhages occur in the basal ganglia. Rupture of branches of which artery are most common? A. Middle cerebral. **B. Lenticulostriate or lateral striate.** C. Anterior cerebral. D. Anterior communicating. E. Posterior communicating.
532
Hemiballismus on the left side is usually due to a vascular accident affecting the: A. Left subthalamic nucleus. B. Right subthalamic nucleus. C. Right striatum. D. Left striatum.
Hemiballismus on the left side is usually due to a vascular accident affecting the: A. Left subthalamic nucleus. **B. Right subthalamic nucleus.** C. Right striatum. D. Left striatum.
533
This is a picture is of the brain of a patient with Huntington's Disease. Microscopically you would see: A. Loss of melanin filled cells in the striatum. B. Loss of cells in the caudate and putamen. C. Degenerating axons from the substantia nigra. D. All of the above.
This is a picture is of the brain of a patient with Huntington's Disease. Microscopically you would see: A. Loss of melanin filled cells in the striatum. **B. Loss of cells in the caudate and putamen.** Huntington's disease is characterized by a loss of the medium sized cells in the caudate and putamen. Cell loss also occurs in the cerebral cortex. This is an autosomal dominant disease appearing in the 30s or 40s with abnormal jerking movements and mental deterioration.Click on the numbers to see a motion sequence of Huntington's disease: 22756 to 22884*.
534
This is a picture is of the brain of a patient with Huntington's Disease. Microscopically you would see: A. Loss of melanin filled cells in the striatum. B. Loss of cells in the caudate and putamen. C. Degenerating axons from the substantia nigra. D. All of the above.
This is a picture is of the brain of a patient with Huntington's Disease. Microscopically you would see: A. Loss of melanin filled cells in the striatum. **B. Loss of cells in the caudate and putamen.** Huntington's disease is characterized by a loss of the medium sized cells in the caudate and putamen. Cell loss also occurs in the cerebral cortex. This is an autosomal dominant disease appearing in the 30s or 40s with abnormal jerking movements and mental deterioration.Click on the numbers to see a motion sequence of Huntington's disease: 22756 to 22884*.
535
The basal ganglia exert their effects on motor behavior through the: A. Rubrospinal tract. B. Vestibulospinal tract. C. Reticulospinal tract. D. Corticospinal tract. E. All of the above.
The basal ganglia exert their effects on motor behavior through the: A. Rubrospinal tract. B. Vestibulospinal tract. C. Reticulospinal tract. **D. Corticospinal tract.** E. All of the above.
536
A patient with a resting tremor in the right hand is killed in a traffic accident and is autopsied. The neuropathology report states there is a loss of cells in: A. The right substantia nigra. B. The left substantia nigra. C. The right globus pallidus. D. The left globus pallidus.
A patient with a resting tremor in the right hand is killed in a traffic accident and is autopsied. The neuropathology report states there is a loss of cells in: A. The right substantia nigra. **B. The left substantia nigra.** C. The right globus pallidus. D. The left globus pallidus.
537
At which level do the primary vestibular axons enter the brain stem? A. The caudal medulla. B. The pontomedullary junction. C. The mid-pons. D. Near the mammillary bodies in the interpeduncular fossa.
**B. The pontomedullary junction.** CN VI, VII, and VIII enter/exit the brain stem at the junction of the medulla and pons.
538
The vestibular system can be stimulated or irritated by an infection of the inner ear or by a tumor (arrow) pressing on the vestibulocochlear nerve. Which of the following would NOT occur? A. Decreased auditory acuity. B. Vertigo. C. Tinnitis. D. Loss of facial sensation. E. Nausea.
**D. Loss of facial sensation.** Facial sensation, mediated by CN V would not be affected by a tumor compressing CN VIII, unless the tumor is large enough to press on CN V or affect the descending nucleus and tract of V in the medulla.
539
This structure: A. Signals angular acceleration. B. Is important for conjugate eye movements. C. Signals orientation with respect to gravity. D. Is bathed with perilymph.
**C. Signals orientation with respect to gravity.** The macula with its otoliths in a gelitinous membrane signals gravity and acceleration changes by deforming the kinocilia.
540
The medial vestibulospinal tract and MLF aid in: A. Orienting toward visual stimuli. B. Maintaining visual fixation. C. Stabilizing the head in space. D. Vestibulocollic reflex (i.e. head bobbing when you fall asleep in lecture). E. All of the above.
The medial vestibulospinal tract and MLF aid in: A. Orienting toward visual stimuli. B. Maintaining visual fixation. C. Stabilizing the head in space. D. Vestibulocollic reflex (i.e. head bobbing when you fall asleep in lecture). **E. All of the above.**
541
Ataxia is defined as: A. Inability to perform rapidly alternating movements. B. Error in the range of movement. C. Lack of continuity in the execution of movements. D. Error in the rate, force, and direction of movement. E. Muscle weakness.
Ataxia is defined as: A. Inability to perform rapidly alternating movements. B. Error in the range of movement. C. Lack of continuity in the execution of movements. **D. Error in the rate, force, and direction of movement.** E. Muscle weakness.
542
What course do the axons follow in reaching these nuclei in the pons? A. Cortex-->internal capsule-->cerebral peduncle. B. Cortex-->internal capsule-->red nucleus. C. Cortex-->thalamus-->cerebellar peduncle. D. Thalamus-->internal capsule-->cerebellar peduncle.
What course do the axons follow in reaching these nuclei in the pons? **A. Cortex-->internal capsule-->cerebral peduncle.** B. Cortex-->internal capsule-->red nucleus. C. Cortex-->thalamus-->cerebellar peduncle. D. Thalamus-->internal capsule-->cerebellar peduncle.
543
To what brain stem nuclei does this structure project? A. Vestibular nuclei. B. Reticular nuclei. C. Red nucleus. D. A and B. E. A, B, and C.
**D. A and B.** The fastigial nucleus projects to vestibular and reticular nuclei on the same side. The dentate, globose and emboliform project to the opposite red nucleus and thalamus through the superior cerebellar peduncle.
544
What deficit(s) result from interrupting these neurons in area 4? A. Spasticity. B. Hypertonia. C. Hyperreflexia. D. Pathological reflexes. E. All of the above.
**E. All of the above.** All of these deficits occur with upper motor neuron pathology. Upper motor neurons are located in the cerebral cortex. This Golgi impregnated section of the cerebral cortex shows cells bodies and dendrites of pyramidal cells. Click on the numbers for a motion sequence: 31739 to 31802*.
545
All of the following are sensory radiations from this structure EXCEPT: A. Olfactory radiations. B. Optic radiations. C. Auditory radiations. D. Somatosensory radiations.
All of the following are sensory radiations from this structure EXCEPT: **A. Olfactory radiations**. B. Optic radiations. C. Auditory radiations. D. Somatosensory radiations.
546
Cortical afferents in the internal capsule have their cell bodies located in: A. The dorsal horn. B. The dorsal column nuclei. C. The thalamic nuclei. D. The cerebral cortex.
Cortical afferents in the internal capsule have their cell bodies located in: A. The dorsal horn. B. The dorsal column nuclei. **C. The thalamic nuclei**. D. The cerebral cortex.
547
What brain stem region lies or sits in the tentorial notch (incisure)? A. Pons. B. Cerebellum. C. Temporal lobes. D. Midbrain. E. Hypothalamus.
What brain stem region lies or sits in the tentorial notch (incisure)? A. Pons. B. Cerebellum. C. Temporal lobes. **D. Midbrain** E. Hypothalamus.
548
The main role of the septal nucleus is.. Memory acquisition and recall, formation of long-term memory Emotional content of stimuli: fear, anxiety and danger Pleasure and reward Affective significance
The main role of the septal nucleus is.. Memory acquisition and recall, formation of long-term memory Emotional content of stimuli: fear, anxiety and danger **Pleasure and reward** Affective significance
549
The cingulate gyrus recieves input from which tract? [1] Anterior spinothalamic Lateral spinothalamic Reticulospinal Rubrospinal
The cingulate gyrus recieves input from which tract? [1] Anterior spinothalamic **Lateral spinothalamic** Reticulospinal Rubrospinal
550
Label A-D of the internal circuit of hippocampal formation
A: **entorhinal cortex** B: **dentate gyrus** C: **CA3** D: **CA1**
551
Which of the following is the entorhinal cortex? A B C D E
Which of the following is the entorhinal cortex? **A** B C D E
552
Which of the following is the anterior thalamus ? A B C D E
Which of the following is the anterior thalamus ? A B C D **E**
553
Which of the following is the parahippocampal gyrus? A B C D E
Which of the following is the parahippocampal gyrus? A B **C** D E
554
Which of the following is the perirhinal cortex? A B C D E
Which of the following is the perirhinal cortex? A **B** C D E
555
Which two parts of the pre-frontal cortex are involved in the limbic system? [2]
orbitofrontal cortex cingulate cortex (The anterior part of the cingulate cortex merges into the orbitofrontal cortex)
556
Which of the following is involved in the limbic system? A B C D E
Which of the following is involved in the limbic system? A B **C** D E
557
What is this area involved with regarding memory? [1]
**Parahippocampal gyrus**: It is primarily involved in the **acquisition of new memories**
558
The fornix axons end in the [] and the [] of the hypothalamus
The fornix axons end in the **septal nuclei** and the **mammillary body** of the hypothalamus
559
Describe the route for information of Papezs circuit
1. Information goes from the cingulate cortex to the parahippocampal gyrus 2. Information goes from the parahippocampal cortex to the hippocampus 3. Information from the hippocampus goes along the fornix to the mamillary bodies of the hypothalamus 4. Information goes from the hypothalamus to the anterior thalamus 5. Information goes from the anterior thalamus back to the cingulate cortex
560
Label A&B [2]
A: septal nucleus B: nucleus accumbens
561
State the role of the nucleus accumbens [1]
The accumbens (ventral striatum) is involved in the **initiation and termination of behaviours** (motor actions) that **activate reward pathways** For example, the act of chewing and swallowing are rewarding as they immediately precede food entering the stomach (which releases peptides that act to trigger reward pathways in the brain.
562
The cingulate gyrus recieves input from which tract? [1] Anterior spinothalamic Lateral spinothalamic Reticulospinal Rubrospinal
The cingulate gyrus recieves input from which tract? [1] Anterior spinothalamic **Lateral spinothalamic** Reticulospinal Rubrospinal
563
Which of the following best describes the type of therapy? 'a technique in behavior therapy that generally involves imagined stimuli and in attempting to enhance anxiety arousal by adding imaginary exposure cues believed by the therapist to be relevant to the client’s fear' Flooding therapy Implosion therapy Systematic desensitisation Operant conditioning
Which of the following best describes the type of therapy? 'a technique in behavior therapy that generally involves imagined stimuli and in attempting to enhance anxiety arousal by adding imaginary exposure cues believed by the therapist to be relevant to the client’s fear' Flooding therapy **Implosion therapy** Systematic desensitisation Operant conditioning
564
What is the name for this type of therapy? [1]
systematic desensitization [1]
565
Which of the following best describes the type of therapy? 'Placing someone with claustrophobia in a crowded room for two hour' Flooding therapy Implosion therapy Systematic desensitisation Operant conditioning
Which of the following best describes the type of therapy? 'Placing someone with claustrophobia in a crowded room for two hour' **Flooding therapy** Implosion therapy Systematic desensitisation Operant conditioning
566
During behavioural training, the food acts as: 1. A conditioned response 2. An unconditioned response 3. A conditioned stimulus 4. An unconditioned stimulus 5. An irrelevant stimulus
During behavioural training, the food acts as: 1. A conditioned response 2. An unconditioned response 3. A conditioned stimulus **4. An unconditioned stimulus** 5. An irrelevant stimulus
567
The pathology shown in this image is 1. Left tonsillar herniation 2. Right tonsillar herniation 3. Left uncal herniation 4. Right uncal herniation 5. Left subfalcine herniation 6. Right subfalcine herniation
1. Left tonsillar herniation 2. Right tonsillar herniation **3. Left uncal herniation** 4. Right uncal herniation 5. Left subfalcine herniation 6. Right subfalcine herniation
568
A is the 1. Amygdala 2. Caudate nucleus 3. Hippocampus 4. Hypothalamus 5. Insula 6. Nucleus accumbens 7. Septal nucleus
A is the 1. Amygdala 2. Caudate nucleus 3. Hippocampus 4. Hypothalamus **5. Insula** 6. Nucleus accumbens 7. Septal nucleus
569
Damage to the arrow causes 1. Anhedonia 2. Loss of fear 3. Mania 4. Anterograde amnesia 5. Retrograde amnesia 6. Contralateral neglect 7. Loss of working memory
Damage to the arrow causes 1. Anhedonia 2. Loss of fear 3. Mania **4. Anterograde amnesia** 5. Retrograde amnesia 6. Contralateral neglect 7. Loss of working memory
570
This nucleus inhibits the sub-thalamic nucleus as part of the indirect pathway. 1. A 2. B 3. C 4. D 5. E
This nucleus inhibits the sub-thalamic nucleus as part of the indirect pathway. 1. A **2. B** GPex 3. C 4. D 5. E
571
ID B 1. Caudate nucleus 2. Globus pallidus externa 3. Globus pallidus interna 4. Putamen 5. Substantia nigra 6. Thalamus
1. Caudate nucleus 2. Globus pallidus externa 3. Globus pallidus interna 4. Putamen 5. Substantia nigra **6. Thalamus**
572
ID A 1. Amygdala 2. Cingulate cortex 3. Fornix 4. Hippocampus 5. Insula 6. Septum pellucidum 7. Uncus
ID A 1. Amygdala 2. Cingulate cortex 3. Fornix 4. Hippocampus 5. Insula 6. Septum pellucidum **7. Uncus**
573
ID A 1. Amygdala 2. Cingulate cortex 3. Fornix 4. Hippocampus 5. Insula 6. Septum pellucidum 7. Uncus
ID A 1. Amygdala 2. Cingulate cortex 3. Fornix 4. Hippocampus 5. Insula 6. Septum pellucidum **7. Uncus**
574
The structure indicated by the arrow is 1. Deiter’s nucleus 2. Dentate nucleus 3. Fastigial nucleus 4. Inferior olivary nucleus 5. Interposed nucleus 6. Superior olivary nucleus
The structure indicated by the arrow is 1. Deiter’s nucleus **2. Dentate nucleus** 3. Fastigial nucleus 4. Inferior olivary nucleus 5. Interposed nucleus 6. Superior olivary nucleus
575
Damage to C causes 1. Aphasia 2. Loss of conjugate gaze 3. Apraxia to external commands 4. Apraxia to internal commands 5. Loss of voluntary control of movements
Damage to C causes 1. Aphasia 2. Loss of conjugate gaze **3. Apraxia to external commands** 4. Apraxia to internal commands 5. Loss of voluntary control of movements
576
The image shows the EEG trace and separate brain wave activity responses to opening and shutting the eyes. 1. the alpha wave 2. the beta wave 3. the delta wave 4. the theta wave 5. the gamma wave
The image shows the EEG trace and separate brain wave activity responses to opening and shutting the eyes. **1. the alpha wave** 2. the beta wave 3. the delta wave 4. the theta wave 5. the gamma wave
577
Prolonged stimulation of nociceptors or cellular injury induces a flare response. The neurotransmitter responsible for this is 1. Glutamate 2. Substance P 3. ATP 4. Acetylcholine 5. Noradrenaline
Prolonged stimulation of nociceptors or cellular injury induces a flare response. The neurotransmitter responsible for this is 1. Glutamate **2. Substance P** 3. ATP 4. Acetylcholine 5. Noradrenaline
578
The cortical region that has herniated indicated by the purple arrow is 1. Frontal eye field 2. Parahippocampus 3. Insula 4. Supplementary motor cortex 5. Cingulate cortex 6. Prefrontal cortex
The cortical region that has herniated indicated by the purple arrow is 1. Frontal eye field 2. Parahippocampus 3. Insula 4. Supplementary motor cortex **5. Cingulate cortex** 6. Prefrontal cortex
579
Identify the white substance over the metal seeker 1. Pia mater 2. Arachnoid mater 3. Arachnoid granulation 4. Dural mater 5. Periostium 6. Dural sinus
Identify the white substance over the metal seeker 1. Pia mater **2. Arachnoid mater** 3. Arachnoid granulation 4. Dural mater 5. Periostium 6. Dural sinus
580
Which image depicts the consequences of damage to the posterior lobe of the cerebellum? 1. A 2. B 3. C 4. D 5. E
Which image depicts the consequences of damage to the posterior lobe of the cerebellum? 1. A 2. B 3. C 4. D **5. E**
581
In Parkinson’s disease cells of which labelled structure degenerate? 1. A 2. B 3. C 4. D 5. E 6. F 7. G 8. H
In Parkinson’s disease cells of which labelled structure degenerate? 1. A 2. B 3. C **4. D** 5. E 6. F 7. G 8. H
582
The pathology in this image is associated with 1. Parkinson’s disease 2. Alzheimer’s disease 3. Kluver-Bucy syndrome 4. Epilepsy 5. Multiple sclerosis
The pathology in this image is associated with 1. Parkinson’s disease 2. Alzheimer’s disease 3. Kluver-Bucy syndrome 4. Epilepsy **5. Multiple sclerosis**
583
Axons of which pathway are found in the SCP? 1. Spinocerebellar 2. Olivocerebellar 3. Trigeminocerebellar 4. Pontocerebellar 5. Dentothalamic
Axons of which pathway are found in the SCP? 1. Spinocerebellar 2. Olivocerebellar 3. Trigeminocerebellar 4. Pontocerebellar **5. Dentothalamic**
584
Axons of which pathway are found in the SCP? 1. Spinocerebellar 2. Olivocerebellar 3. Trigeminocerebellar 4. Pontocerebellar 5. Dentothalamic
Axons of which pathway are found in the SCP? 1. Spinocerebellar 2. Olivocerebellar 3. Trigeminocerebellar 4. Pontocerebellar **5. Dentothalamic**
585
The large slow EEG waves are indicative of which stage of sleep 1. Stage 1 2. Stage 2 3. Stage 3 4. Stage 4 5. REM
The large slow EEG waves are indicative of which stage of sleep 1. Stage 1 2. Stage 2 3. Stage 3 **4. Stage 4** 5. REM
586
What is 21 1. Amygdala 2. Caudate nucleus 3. Dentate gyrus 4. Insula 5. Hippocampus 6. Mammillary body 7. Subiculum 8. Uncus
**1. Amygdala**
587
This is a test for 1. Pain sensation 2. Ataxia 3. Graphesthesia 4. Stereognosis 5. Extinction
This is a test for 1. Pain sensation 2. Ataxia **3. Graphesthesia** 4. Stereognosis 5. Extinction
588
The vascular injury shown here is 1. Extradural 2. Subdural 3. Subarachnoid 4. Diffuse axonal injury 5. Contusion
The vascular injury shown here is 1. Extradural 2. Subdural 3. Subarachnoid 4. Diffuse axonal injury **5. Contusion**
589
Identify the aperture. 1. Obex 2. Median aperture 3. Lateral aperture 4. Cerebral aqueduct 5. Interventricular foramen
Identify the aperture. 1. Obex 2. Median aperture 3. Lateral aperture 4. Cerebral aqueduct **5. Interventricular foramen**
590
Which area is thought to be associated with the visuo-spatial sketchpad? 1. A 2. B 3. C 4. D 5. E 6. F
Which area is thought to be associated with the visuo-spatial sketchpad? 1. A 2. B 3. C 4. D 5. E **6. F**
591
What structure is indicated by the arrow? 1. Pia mater 2. Skin 3. Connective tissue 4. Aponeurosis 5. Loose connective tissue 6. Periostium 7. Dura mater 8. Arachnoid mater
What structure is indicated by the arrow? 1. Pia mater 2. Skin 3. Connective tissue 4. Aponeurosis 5. Loose connective tissue 6. Periostium **7. Dura mater** 8. Arachnoid mater
592
All of the following except one of the bellow become hyperactive in depression; state which one amygdala * hippocampus * Dorsolateral prefrontal cortex * subgenual cingulate cortex * medial prefrontal cortex
* All of the following become hyperactive in depression; state x amygdala * hippocampus * **Dorsolateral prefrontal cortex** & ventrolateral * subgenual cingulate cortex * medial prefrontal cortex
593
If in A&E and a TIA occurs, which antiplatelet would you prescribe? [1]
Clopidogrel
594
# Vestibular system Which of the following is most sensitive to vertical acceleration when sensing movement? Utricle Crista Saccle Ampulla
Which of the following is most sensitive to vertical acceleration when sensing movement? Utricle Crista **Saccle** Ampulla
595
Which of the following is most sensitive to horizontal acceleration when sensing movement? Utricle Crista Saccle Ampulla
Which of the following is most sensitive to horizontal acceleration when sensing movement? **Utricle** Crista Saccle Ampulla
596
Meniere's disease is associated with A. loss of vestibular hair cells B. damage to the vestibular nuclei C. damage to cranial nerve VIII D. damage to Scarpa's ganglion E. excess endolymph in the membranous labyrinth
Meniere's disease is associated with A. loss of vestibular hair cells B. damage to the vestibular nuclei C. damage to cranial nerve VIII D. damage to Scarpa's ganglion **E. excess endolymph in the membranous labyrinth**
597
Which of the following is correct regarding vestibular nuclei? A. There are six B. They are located beneath the floor of the third ventricle C. They receive afferent fibers from the spinal ganglion D. They project only to the cerebellum E. They are connected to the 3rd, 4th, and 6th cranial nerve nuclei by the medial longitudinal fasciculus
Which of the following is correct regarding vestibular nuclei? A. There are six B. They are located beneath the floor of the third ventricle C. They receive afferent fibers from the spinal ganglion D. They project only to the cerebellum **E. They are connected to the 3rd, 4th, and 6th cranial nerve nuclei by the medial longitudinal fasciculus**
598
Which sensory receptor is most sensitive to angular acceleration? A. Crista B. Utricle C. Saccule D. Organ of Corti
Which sensory receptor is most sensitive to angular acceleration? **A. Crista** B. Utricle C. Saccule D. Organ of Corti
599
Linear acceleration is transduced in the: A. Cupula B. Cristae C. Maculae D. Organ of Corti E. Scarpa's ganglion
Linear acceleration is transduced in the: A. Cupula B. Cristae **C. Maculae: the maculae are more sensitive to linear, not angular acceleration** D. Organ of Corti E. Scarpa's ganglion
600
Make the best match between the below listed condition and the visual field defect. Match: occlusional of the left posterior cerebral artery A. Contralesional superior quadranopia with macular sparing B. Contralesional inferior quadranopia with macular sparing C. Contralesional homonymous hemianopia with macular sparing D. Bitemporal hemianopia E. Inability to recognize objects or colors
Make the best match between the below listed condition and the visual field defect. Match: occlusional of the left posterior cerebral artery A. Contralesional superior quadranopia with macular sparing B. Contralesional inferior quadranopia with macular sparing **C. Contralesional homonymous hemianopia with macular sparing** **There will be macular sparing because the caudal and lateral striate cortex receives a collateral blood supply from branches of the middle cerebral artery** D. Bitemporal hemianopia E. Inability to recognize objects or colors
601
Which of the basal ganglia nuclei receive direct cortical input? A. Claustrum and amygdala. B. Centromedian nucleus and subthalamic nucleus. C. Substantia nigra pars compacta and globus pallidus external. D. Globus pallidus internal and substantia nigra pars reticulata. E. Caudate and putamen
Which of the basal ganglia nuclei receive direct cortical input? A. Claustrum and amygdala. B. Centromedian nucleus and subthalamic nucleus. C. Substantia nigra pars compacta and globus pallidus external. D. Globus pallidus internal and substantia nigra pars reticulata. **E. Caudate and putamen**
602
The spinocerebellum contains the... A. vermis and intermediate zone of the anterior and posterior lobes. B. Vermal and floccular parts of the flocculonodular lobe. C. Lateral portions of the cerebellum. D. Posterior lobe and interposed nuclei. E. Anterior lobe and dentate nuclei.
The spinocerebellum contains the... **A. vermis and intermediate zone of the anterior and posterior lobes.** B. Vermal and floccular parts of the flocculonodular lobe. C. Lateral portions of the cerebellum. D. Posterior lobe and interposed nuclei. E. Anterior lobe and dentate nuclei.
603
The lateral vestibular nuclei are functionally analogous to the... A. Red nucleus B. Purkinje cells C. Basal ganglia D. Thalamus E. Deep cerebellar nuclei
The lateral vestibular nuclei are functionally analogous to the... A. Red nucleus B. Purkinje cells C. Basal ganglia D. Thalamus **E. Deep cerebellar nuclei**
604
The diagnosis “Definite Alzheimer’s Disease” is established by: A. autopsy of the patient’s brain B. behavioral analysis C. PET analysis D. CAT analysis E. MRI analysis
The diagnosis “Definite Alzheimer’s Disease” is established by: **A. autopsy of the patient’s brain** B. behavioral analysis C. PET analysis D. CAT analysis E. MRI analysis
605
Which of the following is not a visible boundary of the hypothalamus in a hemisected brain? A. The median eminence B. The mammillary body C. The optic chiasm D. The internal capsule E. The anterior commisure
Which of the following is not a visible boundary of the hypothalamus in a hemisected brain? A. The median eminence B. The mammillary body **C. The optic chiasm** D. The internal capsule E. The anterior commisure
606
The hypothalamic sulcus is the rostral continuation of what anatomical feature of he brainstem? A. The tuberculum cinereum B. The stria medullaris C. The sulcus limitans D. The lateral sulcus E. The dorsal paramedian sulcus
Which of the following hypothalamic nuclei is most important for encoding the set point for daily circadian rhythms? A. supraoptic nucleus B. arcuate nucleus **C. suprachiasmatic nucleus** D. preoptic anterior nucleus E. paraventricular nucleus
607
Inhibition of ACTH secretion by cortisol is an example of what type of neuroendocrine feedback loop? A. ultra-short loop feedback B. short-loop feedback C. indirect long-loop feedback D. direct long-loop feedback E. indirect ultra-long loop feedback
Inhibition of ACTH secretion by cortisol is an example of what type of neuroendocrine feedback loop? A. ultra-short loop feedback B. short-loop feedback C. indirect long-loop feedback **D. direct long-loop feedback** E. indirect ultra-long loop feedback
608
Leptin receptors are most abundant in which of the following hypothalamic nuclei? A. paraventricular B. periventricular C. preoptic/anterior D. ventromedial E. arcuate
Leptin receptors are most abundant in which of the following hypothalamic nuclei? A. paraventricular B. periventricular C. preoptic/anterior D. ventromedial **E. arcuate**
609
A successful new diet drug might have which of the following effects in the hypothalamus? A. Activates NPY receptors B. Blocks αMSH receptors C. Activates leptin receptors D. Stimulates AGRP synthesis E. Reduces CART synthesis
A successful new diet drug might have which of the following effects in the hypothalamus? A. Activates NPY receptors B. Blocks αMSH receptors **C. Activates leptin receptors** D. Stimulates AGRP synthesis E. Reduces CART synthesis
610
The postcommissural fornix projects to which structure? A. Substantia innominata. B. Mammillary bodies C. Ventromedial nuclei of the hypothalamus D. Nucleus basalis of Meynert E. Anterior cingulate cortex.
The postcommissural fornix projects to which structure? A. Substantia innominata. **B. Mammillary bodies** C. Ventromedial nuclei of the hypothalamus D. Nucleus basalis of Meynert E. Anterior cingulate cortex.
611
Which structure is NOT part of the Papez circuit? A. Anterior nucleus of the thalamus B. Ventral nucleus of the thalamus C. Cingulate gyrus D. Hippocampus E. Mammillary bodies
Which structure is NOT part of the Papez circuit? A. Anterior nucleus of the thalamus **B. Ventral nucleus of the thalamus** C. Cingulate gyrus D. Hippocampus E. Mammillary bodies
612
A 50-year old patient with recent damage to the hippocampus from a stroke would likely have all of the following deficits EXCEPT: A. Difficulty learning new facts B. Difficulty describing a recent event C. Difficulty learning a new vocabulary word D. Difficulty recalling a childhood memory E. Difficulty remembering a face
A 50-year old patient with recent damage to the hippocampus from a stroke would likely have all of the following deficits EXCEPT: A. Difficulty learning new facts B. Difficulty describing a recent event C. Difficulty learning a new vocabulary word **D. Difficulty recalling a childhood memory** **The hippocampus is involved in the formation of new memories, but not in the storage of old memories after they have been consolidated**. E. Difficulty remembering a face
613
Short term memories can involve all of the following processes EXCEPT: A. Regulation of gene expression B. Activation of second-messenger systems C. Modulation of membrane channels D. Modulation of transmitter release
Short term memories can involve all of the following processes EXCEPT: **A. Regulation of gene expression** Regulation of gene expression is associated with long-term memories and not short-term memories.
614
Classical conditioning is an example of: A. Semantic memory B. Episodic memory C. Implicit memory D. Declarative memory E. Nonassociative memory
Classical conditioning is an example of: A. Semantic memory B. Episodic memory **C. Implicit memory** D. Declarative memory E. Nonassociative memory
615
A 43-year old cerebral vascular accident patient was diagnosed as having persistent unilateral spatial agnosia or "visual neglect". What cerebral region was most likely involved? A. Non-dominant parietal-occipital cortex B. Dominant parietal-occipital cortex C. Dorsal prefrontal cortex D. Dominant temporal-occipital cortex E. Non-dominant temporal-occipital cortex
A 43-year old cerebral vascular accident patient was diagnosed as having persistent unilateral spatial agnosia or "visual neglect". What cerebral region was most likely involved? **A. Non-dominant parietal-occipital cortex** B. Dominant parietal-occipital cortex C. Dorsal prefrontal cortex D. Dominant temporal-occipital cortex E. Non-dominant temporal-occipital cortex
616
A delta fibers transmit primarily A. burning diffuse pain information B. pricking localized pain information C. aching diffuse pain information D. visceral pain information E. phantom pain information
A delta fibers transmit primarily A. burning diffuse pain information **B. pricking localized pain information This answer is CORRECT!** **A delta fibers carry sharp/pricking pain, all the others are carried by C fibers** C. aching diffuse pain information D. visceral pain information E. phantom pain information
617
This photo shows the strucutres inside of a semi-circular canal. Label A-C
A: **ampulla** B: **cupulla** C: **crista**
618
This photo shows the strucutres inside of a semi-circular canal. Label A-E
A: ampulla B: endolymph C: membranous labyrinth D: perilymph E: bony labyrinth
619
Ampulla Hair cells Endolymph Crista Cupulla
Ampulla Hair cells Endolymph Crista **Cupulla**
620
Whta is the arrow pointing to Ampulla Hair cells Endolymph Crista Cupulla
Ampulla Hair cells Endolymph **Crista** Cupulla
621
Which artery undergoing stenosis is attributable to 10% of all stroke? [1]
Carotid artery
622
Which fibres have a path in the lateral spinothalamic tract? Aβ; Að & C Að & C Aβ & C Aβ & Að C
Which fibres have a path in the lateral spinothalamic tract? Aβ; Að & C **Að & C** Aβ & C Aβ & Að C
623
Which part of the brain has reduced glucose metabolism during depression parahippocampus hypothalamus hippocampus subgenual anterior cingulate cortex fornix
Which part of the brain has reduced glucose metabolism during depression parahippocampus hypothalamus hippocampus **subgenual anterior cingulate cortex** fornix
624
Which fibres have a path in the Anterior Spinothalamic Tract? Aβ; Að & C Að & C Aβ & C Aβ & Að C
Which fibres have a path in the Anterior Spinothalamic Tract? **Aβ; Að & C** Að & C Aβ & C Aβ & Að C
625
In the transmission of the Lateral Spinothalamic Tract, the pathway synapses at the mediodorsal nucleus of the thalamus (MDvc) and posterior thalamus (VPI and VMpo). From where does the third order neuron of the LST pathway go to after the mediodorsal nucleus? Rostral insula Mamilliary bodies Anterior cingulate cortex (ACC) Primary somatosensory cortex Primary motor cortex
In the transmission of the Lateral Spinothalamic Tract, the pathway synapses at the mediodorsal nucleus of the thalamus (MDvc) and posterior thalamus (VPI and VMpo). From where does the third order neuron of the LST pathway go to after the mediodorsal nucleus? Rostral insula Mamilliary bodies **Anterior cingulate cortex (ACC)** Primary somatosensory cortex Primary motor cortex
626
In the transmission of the Lateral Spinothalamic Tract, the pathway synapses at the mediodorsal nucleus of the thalamus (MDvc) and posterior thalamus (VPI and VMpo). From where does the third order neuron of the LST pathway go to after the posterior thalamus? Rostral insula Mamilliary bodies Anterior cingulate cortex (ACC) Primary somatosensory cortex Primary motor cortex
In the transmission of the Lateral Spinothalamic Tract, the pathway synapses at the mediodorsal nucleus of the thalamus (MDvc) and posterior thalamus (VPI and VMpo). From where does the third order neuron of the LST pathway go to after the posterior thalamus? **Rostral insula** Mamilliary bodies Anterior cingulate cortex (ACC) Primary somatosensory cortex Primary motor cortex
627
In the transmission of the Anterior Spinothalamic Tract, the pathway synapses at the mediodorsal nucleus of the thalamus (MDvc) and posterior thalamus (VPI and VMpo). From where does the third order neuron of the AST pathway go to finalise? Rostral insula Mamilliary bodies Anterior cingulate cortex (ACC) Primary somatosensory cortex Primary motor cortex
In the transmission of the Anterior Spinothalamic Tract, the pathway synapses at the mediodorsal nucleus of the thalamus (MDvc) and posterior thalamus (VPI and VMpo). From where does the third order neuron of the AST pathway go to finalise? Rostral insula Mamilliary bodies Anterior cingulate cortex (ACC) **Primary somatosensory cortex** Primary motor cortex
628
Label A-C [3]
A: **subthalamic nuclei** B: **substantia nigra** C: **thalamus** (sub is on top)
629
Which supplies the majority of the blood to the globus pallidus? anterior choroidal artery (AChA) middle cerebral artery (MCA) anterior cerebral artery (ACA). posterior cererbral artrey (PCA) lenticulostriate artery
Which supplies the majority of the blood to the globus pallidus? anterior choroidal artery (AChA) **middle cerebral artery (MCA)** anterior cerebral artery (ACA). posterior cererbral artrey (PCA) lenticulostriate artery
630
Which supplies the medial portion of the globus pallidus? anterior choroidal artery (AChA) middle cerebral artery (MCA) anterior cerebral artery (ACA). posterior cererbral artrey (PCA) lenticulostriate artery
Which supplies the medial portion of the globus pallidus? **anterior choroidal artery (AChA)** middle cerebral artery (MCA) anterior cerebral artery (ACA). posterior cererbral artrey (PCA) lenticulostriate artery
631
Which supplies the anterior and inferior of the globus pallidus? anterior choroidal artery (AChA) middle cerebral artery (MCA) anterior cerebral artery (ACA). posterior cererbral artrey (PCA) lenticulostriate artery
Which supplies the anterior and inferior of the globus pallidus? anterior choroidal artery (AChA) middle cerebral artery (MCA) **anterior cerebral artery (ACA)**. posterior cererbral artrey (PCA) lenticulostriate artery
632
Which supplies the superior and posterior of the globus pallidus? anterior choroidal artery (AChA) middle cerebral artery (MCA) anterior cerebral artery (ACA). posterior cererbral artrey (PCA) lenticulostriate artery
Which supplies the superior and posterior of the globus pallidus? anterior choroidal artery (AChA) **middle cerebral artery (MCA)** anterior cerebral artery (ACA). posterior cererbral artrey (PCA) lenticulostriate artery
633
A 65-year-old man was brought by his daughter to his provider due to tremors and increasing stiffness in both arms and legs. This has led the patient to fall twice while attempting to turn. On examination, the patient had increased muscle tone, resting tremors, and difficulty initiating movements when asked to move. A single-photon emission computed tomography (SPECT) was done, showing reduced uptake in the striatum. How would this reduced uptake affect the pathways? A. It reduces inhibitory signals projected to the subthalamus. B. It increases inhibitory signals projected to the subthalamus. C. It reduces the stores of neurotransmitters present in the globus pallidus externus. D. It increases inhibitory signals projected to the substantia nigra pars reticularis.
A 65-year-old man was brought by his daughter to his provider due to tremors and increasing stiffness in both arms and legs. This has led the patient to fall twice while attempting to turn. On examination, the patient had increased muscle tone, resting tremors, and difficulty initiating movements when asked to move. A single-photon emission computed tomography (SPECT) was done, showing reduced uptake in the striatum. How would this reduced uptake affect the pathways? A. It reduces inhibitory signals projected to the subthalamus. **B. It increases inhibitory signals projected to the subthalamus.** C. It reduces the stores of neurotransmitters present in the globus pallidus externus. D. It increases inhibitory signals projected to the substantia nigra pars reticularis.
634
Which of the following outputs to the superior colliculi? globus pallidus external globus pallidus internal substantia nigra, pars reticula subthalamic nuclei
Which of the following outputs to the superior colliculi? globus pallidus external globus pallidus internal **substantia nigra, pars reticula** subthalamic nuclei
635
What is the most common type of tremor in PD? [1]
**pill-rolling' rest tremor**; looks like you are trying to roll a pill between your thumb and index
636
What are the functions of the basal ganlia? [4]
Regulating movement: * Play a critical role in **movement initiation** * Allow **switching** between motor programs (e.g. **stop or start a movement**) * **Inhibit** **antagonistic** and **unnecessary** **movements** * Regulate movement **force**
637
Which of the following type of diabetes is usually caused by one gene Latent Autoimmune Diabetes of Adults Type two diabetes Gestatational diabetes Maturity Onset Diabetes of the Young
Which of the following type of diabetes is usually caused by one gene Latent Autoimmune Diabetes of Adults Type two diabetes Gestatational diabetes **Maturity Onset Diabetes of the Young**
638
PYY has the biggest effect on which part of the GI system Stomach Duodenum Jejunum Ileum Colon
PYY has the biggest effect on which part of the GI system Stomach Duodenum Jejunum Ileum **Colon**
639
PYY has the is produced from which type of cells: D cells A cells L cells B cells
PYY has the is produced from which type of cells: D cells A cells **L cells** B cells
640
Thiolactone is produced due to a deficiency in which two molecules [2] What does increased thiolactone levels lead to? [1]
B12 & Folate Deficiency Leads to **atherosclerosis**
641
A patient with which of the following HbA1c reading would have diabetes 41 mmol/mol 43 mmol/mol 45 mmol/mol 47 mmol/mol 49 mmol/mol
A patient with which of the following HbA1c reading would have diabetes 41 mmol/mol 43 mmol/mol 45 mmol/mol 47 mmol/mol **49 mmol/mol** - 48 is the cut off
642
What is the most common type of CNS tumour in children? Neuroblastoma Medulloblastoma Glioblastoma Schwannoma
What is the most common type of CNS tumour in children? Neuroblastoma **Medulloblastoma** Glioblastoma Schwannoma
643
Morphine has what effect after binding to Mu receptor: Increases K+ and Ca2+ Increases K+ and decreases Ca2+ Decreases K+ and Ca2+ Decreases K+ and increases Ca2+
Morphine has what effect after binding to Mu receptor: Increases K+ and Ca2+ **Increases K+ and decreases Ca2+** Decreases K+ and Ca2+ Decreases K+ and increases Ca2+
644
Baclofen is an agonist to which of the following Ca2+ AMPA glutamate receptor Amines GABA NMDA Glutamate receptor
Baclofen is an agonist to which of the following Ca2+ AMPA glutamate receptor Amines **GABA** NMDA Glutamate receptor
645
Which type of seizure would you not give phenytoin or carbamazepine in order to prevent worsening of symptoms Focal seizure Absence seizure Generalised Tonic-Clonic Seizures Atonic Seizures Myoclonic Seizures
Which type of seizure would you not give phenytoin or carbamazepine in order to prevent worsening of symptoms Focal seizure **Absence seizure** Generalised Tonic-Clonic Seizures Atonic Seizures Myoclonic Seizures
646
Which type of seizure would you give carbamazepine or lamotrigine as first line treatment? Focal seizure Absence seizure Generalised Tonic-Clonic Seizures Atonic Seizures Myoclonic Seizures
Which type of seizure would you give carbamazepine or lamotrigine as first line treatment? **Focal seizure** Absence seizure Generalised Tonic-Clonic Seizures Atonic Seizures Myoclonic Seizures
647
Which type of seizure would you give sodium valproate as first line treatment? Focal seizure Absence seizure Generalised Tonic-Clonic Seizures Atonic Seizures Myoclonic Seizures
Which type of seizure would you give sodium valproate as first line treatment? Focal seizure Absence seizure **Generalised Tonic-Clonic Seizures** Atonic Seizures Myoclonic Seizures
648
Which type of seizure would you give sodium valproate or ethosuximide as first line treatment? Focal seizure Absence seizure Generalised Tonic-Clonic Seizures Atonic Seizures Myoclonic Seizures
Which type of seizure would you give sodium valproate or ethosuximide as first line treatment? Focal seizure **Absence seizure** Generalised Tonic-Clonic Seizures Atonic Seizures Myoclonic Seizures
649
Which anti-epileptic treatment is teratogenic Sodium Valproate Ethosuximide Lamotrigine Levetiracetam Lorazepam
Which anti-epileptic treatment is teratogenic **Sodium Valproate** Ethosuximide Lamotrigine Levetiracetam Lorazepam
650
Which anti-epileptic treatment works by bind to synaptic vesicle protein SV2A causing a reduction in neurones Sodium Valproate Ethosuximide Lamotrigine Levetiracetam Lorazepam
Which anti-epileptic treatment works by bind to synaptic vesicle protein SV2A causing a reduction in neurones Sodium Valproate Ethosuximide Lamotrigine **Levetiracetam** Lorazepam
651
Which anti-epileptic treatment would be used to treat status epilepticus Sodium Valproate Ethosuximide Lamotrigine Levetiracetam Lorazepam
Which anti-epileptic treatment would be used to treat status epilepticus Sodium Valproate Ethosuximide Lamotrigine Levetiracetam **Lorazepam** & **Diazepam**
652
Xanthochromia occurs in Subdural haemorrhage Epidural haemorrhage Subarachnoid haemorrhage Intracerebral haemorrhage
Xanthochromia occurs in Subdural haemorrhage Epidural haemorrhage **Subarachnoid haemorrhage** Intracerebral haemorrhage
653
Which type of hematoma can present with blood in lumbar puncture? Subdural haemorrhage Epidural haemorrhage Subarachnoid haemorrhage Intracerebral haemorrhage
Which type of hematoma can present with blood in lumbar puncture? Subdural haemorrhage Epidural haemorrhage **Subarachnoid haemorrhage** Intracerebral haemorrhage
654
Label A-C
A: thalamus B: sensory cortex C: amygdala
655
Following a sudden sound, which of the following pathways, A to E, provides the unconscious route that mediates the fear reaction A.ear → amygdala → cortex → hippocampus → emotional response B.ear → orbitofrontal cortex → thalamus → emotional response C.ear → thalamus → amygdala → emotional response D.ear → thalamus → cortex → emotional response E.ear → thalamus → cortex → amygdala → emotional response.
Following a sudden sound, which of the following pathways, A to E, provides the unconscious route that mediates the fear reaction **C.ear → thalamus → amygdala → emotional response**
656
Following a sudden sound, which of the following pathways, A to E, provides the conscious route that mediates the fear reaction and also allows appraisal of the stimulus that caused the fear? A.ear → amygdala → cortex → hippocampus → emotional response B.ear → orbitofrontal cortex → thalamus → emotional response C.ear → thalamus → amygdala → emotional response D.ear → thalamus → cortex → emotional response E.ear → thalamus → cortex → amygdala → emotional response.
Following a sudden sound, which of the following pathways, A to E, provides the conscious route that mediates the fear reaction and also allows appraisal of the stimulus that caused the fear? **E.ear → thalamus → cortex → amygdala → emotional response**.
657
A 45-year-old man is admitted to the intensive care unit following a head injury. His history is significant for alcohol use disorder and 5 mg of diazepam is administered intravenously every 2 hours as ordered. After administering a dose, you observe the patient's respiratory rate change from 20 breaths/min to 6 breaths/min. Which drug should be readily available to treat this complication? A. Fentanyl B. Fluorouracil C. Naloxone D. Flumazenil
A 45-year-old man is admitted to the intensive care unit following a head injury. His history is significant for alcohol use disorder and 5 mg of diazepam is administered intravenously every 2 hours as ordered. After administering a dose, you observe the patient's respiratory rate change from 20 breaths/min to 6 breaths/min. Which drug should be readily available to treat this complication? A. Fentanyl B. Fluorouracil C. Naloxone **D. Flumazenil**
658
Phenelzine belongs to which drug class SNRI SSRI MOA (reversible) TCA MOA (irreversible)
Phenelzine belongs to which drug class **MOAI (irreversible)**
659
Tranylcypromine belongs to which drug class SNRI SSRI MOA (reversible) TCA MOA (irreversible)
Tranylcypromine belongs to which drug class SNRI SSRI MOA (reversible) TCA **MOA (irreversible)**
660
Eating a food like cheese contains tyramine, which inhibits which of the following Phenelzine
661
Which of the following are antagonists to alpha 1 adrenoreceptors and create side effects like postural hypotension SNRI SSRI MOA (reversible) TCA MOA (irreversible)
Which of the following are antagonists to alpha 1 adrenoreceptors and create side effects like postural hypotension SNRI SSRI MOA (reversible) **TCA** MOA (irreversible)
662
Moclobemide belongs to which drug class? SNRI SSRI MOA (reversible) TCA MOA (irreversible)
Moclobemide belongs to which drug class? SNRI SSRI **MOA (reversible)** TCA MOA (irreversible)
663
Describe the mechanism of action of agomelatin Binds to MT1 and MT2 receptors only Binds to MT1 and MT2 receptors; 5HT agonist Binds to MT1 and MT2 receptors; 5HT antagonist 5HT agonist 5HT antagonist
Describe the mechanism of action of agomelatin Binds to MT1 and MT2 receptors only Binds to MT1 and MT2 receptors; 5HT agonist **Binds to MT1 and MT2 receptors; 5HT antagonist** 5HT agonist 5HT antagonist
664
Which combination of food and drug can result in an idiosyncratic reaction leading to hypertensive crises? A. Ergotamine and cheese B. Selegiline and beer C. Phenelzine and red wine D. Tranylcypromine and caffeine
Which combination of food and drug can result in an idiosyncratic reaction leading to hypertensive crises? A. Ergotamine and cheese B. Selegiline and beer **C. Phenelzine and red wine** D. Tranylcypromine and caffeine
665
Reboxetine is a drug used to treat depression that has the mechanism of action of which of the below? noradrenaline reuptake inhibitor (NARI) serotonergic reuptake inhibirot (SARI) noradrenergic and specific serotonergic antidepressant (NaSSA)
666
Which of the following binds to Monoamine oxidase A to cause inhibition? Tranylcypromine Moclobemide Phenelzine Selegiline
Which of the following binds to Monoamine oxidase A to cause inhibition? Tranylcypromine **Moclobemide** - reversible inhibitor; others all bind to MOA-B Phenelzine Selegiline
667
GI side effects are most common to which drug class SNRI SSRI MOA (reversible) TCA MOA (irreversible)
**SSRI**
668
Which drugs would you prescribe for treatment resistant: - Schizophrenia [1] - Depression [1]
Schizophrenia: **Clozapine** Depression: **Esketamine**
669
Weight gain due to TCA use is due to antagonist effect at which receptor? Alpha 1 adrenoreceptors Alpha 2 adrenoreceptors Muscarinic receptors H1 receptors
Weight gain due to TCA use is due to antagonist effect at which receptor? Alpha 1 adrenoreceptors Alpha 2 adrenoreceptors Muscarinic receptors **H1 receptors**
670
Haloperidol is a typical anti-pyschotic used in SCH. Name one more [1]
**chlorpromazine**, thioridazine, fluphenazine, , flupenthixol
671
Which of the following causes an increase in photosensitivity? thioridazine flupenthixol chlorpromazine fluphenazine haloperidol
thioridazine flupenthixol **chlorpromazine** fluphenazine haloperidol
672
Olanzapine is a atypical antipsychotic. State which disease that prescribing this drug can cause [1]
**Diabetes** ( & metabolic syndrome)
673
674
Which is most toxic in an overdose? SNRI SSRI MOA (reversible) TCA MOA (irreversible)
Which is most toxic in an overdose? SNRI SSRI MOA (reversible) **TCA** MOA (irreversible)
675
Parkinson's Disease sees a particular degeneration of which of the following: locus coeruleus raphe nucleus thalamus periaqueductal gray
**locus coeruleus** Hallmark of PD !
676
1. A 2. B 3. C 4. D 5. E
**2. B**
677
1. Caudate nucleus 2. Thalamus 3. Putamen 4. Insula 5. Fornix 6. Corpus callosum
**1. Caudate nucleus**
678
1. Frontal eye field 2. Parahippocampus 3. Insula 4. Supplementary motor cortex 5. Cingulate cortex 6. Prefrontal cortex
**6. Prefrontal cortex**
679
1. Pia mater 2. Arachnoid mater 3. Arachnoid granulation 4. Dural mater 5. Periostium 6. Dural sinus
**2. Arachnoid mater**
680
Identify structure 21. 1. Amygdala 2. Caudate nucleus 3. Dentate gyrus 4. Insula 5. Hippocampus 6. Mammillary body 7. Subiculum 8. Uncus
Identify structure 21. **1. Amygdala**
681
The vascular injury shown here is 1. Extradural 2. Subdural 3. Subarachnoid 4. Diffuse axonal injury 5. Contusion
The vascular injury shown here is 1. Extradural 2. Subdural 3. Subarachnoid 4. Diffuse axonal injury **5. Contusion**
682
1. Uncal herniation 2. Tonsillar herniation 3. Sub-falcine herniation 4. Hydrocephalus 5. Mass effect
**1. Uncal herniation**
683
1. Uncal herniation 2. Tonsillar herniation 3. Sub-falcine herniation 4. Hydrocephalus 5. Mass effect
**1. Uncal herniation**
684
A baby dies and the post-mortum reveals this finding alongside a subdural haemorrhage. What is the most likely cause of death? [1]
Shaken baby syndrome The **SBS** is characterized by a triad of encephalopathy, subdural hematomas and retinal hemorrhages.
685
1. Uncal herniation 2. Tonsillar herniation 3. Sub-falcine herniation 4. Hydrocephalus 5. Mass effect
**3. Sub-falcine herniation**
686
1. Uncal herniation 2. Tonsillar herniation 3. Sub-falcine herniation 4. Hydrocephalus 5. Mass effect
**1. Uncal herniation** Increased intracranial pressure in a 58-year-old man with right middle cerebral artery infarction causing marked bilateral uncal herniation with notching (arrows). The notching is more prominent on the right side
687
1. Uncal herniation 2. Tonsillar herniation 3. Sub-falcine herniation 4. Hydrocephalus 5. Mass effect
1. Uncal herniation
688
1. Uncal herniation 2. Tonsillar herniation 3. Sub-falcine herniation 4. Hydrocephalus 5. Mass effect
**2. Tonsillar herniation**
689
Which type of haemorrhage is seen here Epidural Subdural Subarachnoid Intracerebral
Which type of haemorrhage is seen here Epidural **Subdural** Subarachnoid Intracerebral
690
Which type of haemorrhage is seen here Epidural Subdural Subarachnoid Intracerebral
**Epidural**
691
Which type of haemorrhage is seen here Epidural Subdural Subarachnoid Intracerebral
**Subarachnoid**
692
Which type of haemorrhage is seen here Epidural Subdural Subarachnoid Intracerebral
**Subarachnoid**
693
Which type of haemorrhage is seen here Epidural Subdural Subarachnoid Intracerebral
Which type of haemorrhage is seen here Epidural Subdural **Subarachnoid** Intracerebral
694
Which type of haemorrhage is seen here Epidural Subdural Subarachnoid Intracerebral
**Epidural**
695
D. The diagnosis is tuberculous meningitis with foci of caseating necrosis (Your Answer) Feedback: CORRECT! The gross picture shows inflammatory exudates in the subarachnoid space, as well as several foci of caseous necrosis over the cerebellar hemispheres. Microscopy shows necrotizing granulomatous inflammation. A ZN stain should be done to look for acid=fast bacilli.
696
What is a form of learning whereby behaviour is changed because of the consequences? Classical conditioning Aversion therapy Operant condiitoning Negative reinforcement Attribution theory | Exam Q
What is a form of learning whereby behaviour is changed because of the consequences? Classical conditioning Aversion therapy **Operant condiitoning** Negative reinforcement
697
What is the name for when a hospital patient's well-being is negatively affected by factors such as loss of identity and feelings of powerlessness [1] | Exam Q
Insitituitonal neurosis
698
Which of the following accompanies taking drugs to escape adverse withdrawal effects Postive reinforcement Negative reinforcement Theory of reasoned action Low self efficacy | Exam Q
Which of the following accompanies taking drugs to escape adverse withdrawal effects Postive reinforcement **Negative reinforcement** Theory of reasoned action Low self efficacy
699
What is the main pharmocokinetic characteristic of phenytoin? [1] | exam q
Dose-dependent kinetics
700
Describe the effect of tiagabine on GABAnergic transmission? [1] | Exam Q
Blocks GABA uptake
701
Foetal malformations represent a main unwanted effect of an antiepileptic drug. Name this drug [1] | Exam Q
Phenytoin
702
Which dopamine pathway is involved in reward and addiction? [1] | Exam Q
Mesolimbic
703
Which part of the brain does MDMA alter in physiology to cause increased temperature? [1] | Exam q
Hypothalamus
704
Name two opiates metabolised to morphine in the body? [2] | Exam Q
Codiene; Heroin
705
[] is an effective pharmacotherapy to aid smoking cessation | Exam Q
**Bupropion** is an effective pharmacotherapy to aid smoking cessation
706
Neuroleptic side effects of schizophrenic drugs arise from blockade of dopamine receptors in which striatum [1] | Exam Q
Extrapyramidal symptoms
707
Risperidone blocks which 5-HT subtype? [1] | Exam Q
5-HT2A
708
Which drug can be used to reuced nausea induced by L-DOPA [1] | Exam Q
Carbidopa or benserazide
709
Which are the only neurons whose axons leave the cerebellar cortex? [1] | Exam Q
Purkinje cells
710
Which part of the limbic system is the nuclei involved in reward circuits? [1] Amygdala Nucleus accumbens Septal nuclei Uncus | Exam Q
**Septal nuclei**
711
Which part of the limbic system is the thought to be the emetional content of experiences Amygdala Nucleus accumbens Septal nuclei Uncus | Exam Q
**Amygdala**
712
Which cortical region is thought to be most involved in affactive and emotional behaviour [1] | Exam Q
Cingulate gyrus
713
Deja-vu is associated with epilepsy in which brain region of the brain? Frontal Temporal Occipital Parietal | Exam Q
Deja-vu is associated with epilepsy in which brain region of the brain? Frontal **Temporal** Occipital Parietal
714
**[]** cortex acts as an interface between hippocampus and cerebral cortex. | Exam Q
**Entorhinal** cortex acts as an interface between hippocampus and cerebral cortex.
715
Which region contains dopamine axons projecting to the accumbens nucleus? [1] | Exam Q
**VTA**
716
Chronic use of barbiturates will cause what physiological effect? [1] | Exam Q
**Induction of liver microsomal enzymes**
717
Which of the following is an example of an SSRI Paroxetine Phenelzine Phenytoin Lithium | Exam Q
Which of the following is an example of an SSRI **Paroxetine** Phenelzine Phenytoin Lithium
718
Name a symptom that occurs due to Amitriptyline blocking muscarinic receptors [1] | Exam q
dry mouth, constipation
719
Buspirone can be used to treat which disorder? [1] | Exam Q
Anxiety
720
Name a risk associated with the use of irreversible MAOA inhibitors [1] | Exam Q
Hepatoxicity
721
The cheese effect is due to the presence of which compound in certain food [1] | Exam Q
Tyramine
722
The largest dural fold is the Tentorium cerebelli Tentorial notch Falx cerebelli
The largest dural fold is the Tentorium cerebelli Tentorial notch **Falx cerebelli**
723
Which dural fold is the arrow pointing to Tentorium cerebelli Tentorial notch Falx cerebelli
**Tentorium cerebelli**
724
Which dural fold is the arrow pointing to Tentorium cerebelli Tentorial notch Falx cerebelli
**Falx cerebelli**
725
726
Which of the following is the periosteum A B C D E
**E**
727
Where is lumbar puncture performed? Between T12 & L1 Between L1 & L2 Between L3 & L4 Below L5
**Between L3 & L4** The spinal cord ends at the vertebral level L1/2 so lumbar punctures are performed below this level.
728
SAH can lead to which pathology? [1]
Frank blood in the subarachnoid space is irritating and can cause (aseptic) **meningitis**.
729
Which of the following is principally caused by movement of the brain, not impact Epidural Sub dural Sub arachnoid Intracranial
**Sub dural** When the head is accelerated, the inertia of the brain causes its movement to lag behind that of the skull. This leads to traction on bridging veins running between brain and dura mater, which get torn.
730
Which of the following commonly causes damage to axons in the underlying brain Epidural Sub dural Sub arachnoid Intracranial
**Sub dural** Blood from the ruptured vessels spreads freely through the subdural space and can envelop the entire hemisphere. Because of the forces involved in producing a subdural haemorrhage, there is very often damage to axons in the underlying brain as well
731
Which of the following commonly accumlates over a period of hours Epidural Sub dural Sub arachnoid Intracranial
Which of the following commonly accumlates over a period of hours **Epidural** Sub dural Sub arachnoid Intracranial
732
Because there is so little reserve volume inside the skull, haematomas of >**[]** ml are usually fata
**>75ml**
733
What type of clinical imaging has been used in this case? X-ray CT MRI T1 MRI T2 Ultrasound
**MRI T2** T2 is generally the more commonly used, but T1 can be used as a reference for anatomical structures or to distinguish between fat vs. water bright signals. | T2 – TWO tissues are bright: fat and water (WW2 – Water is White in T2)
734
What type of clinical imaging has been used in this case? X-ray CT MRI T1 MRI T2 Ultrasound
**MRI T1**
735
Which vessel is most likely to have ruptured? Left anterior cerebral artery Right anterior cerebral artery Left middle cerebral artery Right middle cerebral artery
The **right middle cerebral artery** is the most likely to have ruptured in this scenario, as this travels out laterally to supply the lateral region of the cortex.
736
What symptoms might the patient experience? [2]
The haemorrhage is in the region of the right middle cerebral artery **Left-sided upper limb paraesthesia** and **left-sided upper limb weakness.** Aphasia is less likely in this case, as Broca’s area (responsible for expressive speech) is most commonly found on the left hemisphere, along with Wernicke’s area (responsible for receptive speech).
737
# Skull fractures Infection is a possible consequence of compound skull fracture linear closed fractures depressed fracture diastatic skull fracture
Infection is a possible consequence of **compound skull fracture** in which the scalp is torn
738
This shows a compound skull fracture linear closed fractures depressed fracture diastatic skull fracture
**depressed fracture**
739
This shows a compound skull fracture linear closed fractures depressed fracture diastatic skull fracture
**Linear parietal fracture**
740
This shows a compound skull fracture linear closed fractures depressed fracture diastatic skull fracture
Comminuted depressed skull fracture
741
Which bone is fractured Zygomatic Temporal Parietal Frontal
**Temporal**
742
After Adam hits his head he regains consciousness before losing consciousness once more. What is the name of this phenomenon? [1]
Acceptable responses: *Lucid, Lucid interval*
743
Lucid intervals are typical of which type of bleeds? Epidural Subdural Subarachnoid Intracranial
**Epidural**
744
Which bone is fractured? [1]
Acceptable responses: *temporal bone, right temporal bone, temporal, right temporal*
745
After CSF, which of the following is forced out of the skull if there is an increase of pressure? Venous blood Lymph Arterial blood Brain
Venous blood
746
The arrow indicates the **[]** nerve running in the tentorial notch.
**oculomotor nerve**
747
An uncal herniation of the brain involves the uncus of the **[] lobe** herniating inferiorly around the tentorial notch Parietal Occipital Temporal Frontal
Parietal Occipital **Temporal** Frontal
748
In tonsillar herniation/coning the tonsils of the cerebellum are forced through the foramen magnum. What structure can this compress? [1]
Acceptable responses: *medulla, medulla oblongata*
749
Which is the most severe type of herniation? [1] Explain your answer [1]
**Tonsillar herniation** Compresses the medulla oblongata: **contains the respiratory and cardiac centers** & can result in death
750
A 47-year-old woman is admitted to the neurology ward following a subarachnoid haemorrhage. The neurologist inserts an intraventricular catheter to monitor the patient's intracranial pressure (ICP) as part of their ongoing monitoring. Which of the following values would be considered pathological in this setting? 7 mmHg 8 mmHg 10 mmHg 15 mmHg 21 mmHg
**21 mmHg**: normal is 7-15mmHg
751
A 78-year-old man presents to the emergency department with sudden onset weakness of his left arm and leg accompanied by double vision. On examination, you note his right eye is held in a 'down-and-out' position and his pupil is dilated and unreactive to light. A stroke affecting which artery would best explain this presentation? Left posterior cerebral artery Left posterior inferior cerebellar artery Right middle cerebral artery Right posterior cerebral artery Right posterior inferior cerebellar artery
**Right posterior cerebral artery** Ipsilateral oculomotor palsy and contralateral weakness of the upper and lower extremity - branches of the posterior cerebral artery that supply the midbrain
752
A 78-year-old man presents to the emergency department with sudden onset loss of vision in the left side of his visual field and an inability to recognise and identify familiar objects. A stroke affecting which artery would best explain this presentation? Anterior cerebral artery Anterior inferior cerebellar artery Middle cerebral artery Posterior cerebral artery Posterior inferior cerebellar artery
Contralateral homonymous hemianopia with macular sparing and visual agnosia - **posterior cerebral artery**
753
A 78-year-old man presents to the emergency department with sudden onset vertigo and associated right-sided facial paralysis and loss of hearing. Vision and motor function in all four limbs are intact. You suspect a diagnosis of stroke. A stroke affecting which vessel would best explain his presentation? Anterior cerebral artery Anterior inferior cerebellar artery Basilar artery Posterior cerebral artery Posterior inferior cerebellar artery
**Anterior inferior cerebellar artery** Sudden onset vertigo and vomiting, ipsilateral facial paralysis and deafness - anterior inferior cerebellar artery
754
Locked in syndrome is due to damage to which artery? [1]
Basilar artery
755
A 31-year-old female presents to the GP complaining of double vision when she looks to the left. You examine her and note that when she looks to the left, her right eye adducts minimally. Her left eye abducts but you notice nystagmus of this eye. She has no changes to her speech or hearing and is able to understand what you say to her. You think a lesion in the brain may be causing this. Where is the lesion most likely to be located? Superior temporal gyrus Medial longitudinal fasciculus Occipital lobe Inferior frontal gyrus Arcuate fasciculus
Internuclear ophthalmoplegia is due to a lesion in the medial longitudinal fasciculus
756
A 31-year-old female presents to the GP complaining of double vision when she looks to the left. You examine her and note that when she looks to the left, her right eye adducts minimally. Her left eye abducts but you notice nystagmus of this eye. She has no changes to her speech or hearing and is able to understand what you say to her. You think a lesion in the brain may be causing this. Where is the lesion most likely to be located? Superior temporal gyrus Medial longitudinal fasciculus Occipital lobe Inferior frontal gyrus Arcuate fasciculus
Internuclear ophthalmoplegia is due to a lesion in the medial longitudinal fasciculus
757
A 31-year-old female presents to the GP complaining of double vision when she looks to the left. You examine her and note that when she looks to the left, her right eye adducts minimally. Her left eye abducts but you notice nystagmus of this eye. She has no changes to her speech or hearing and is able to understand what you say to her. You think a lesion in the brain may be causing this. Where is the lesion most likely to be located? Superior temporal gyrus Medial longitudinal fasciculus Occipital lobe Inferior frontal gyrus Arcuate fasciculus
Internuclear ophthalmoplegia is due to a lesion in the medial longitudinal fasciculus
758
A 31-year-old female presents to the GP complaining of double vision when she looks to the left. You examine her and note that when she looks to the left, her right eye adducts minimally. Her left eye abducts but you notice nystagmus of this eye. She has no changes to her speech or hearing and is able to understand what you say to her. You think a lesion in the brain may be causing this. Where is the lesion most likely to be located? Superior temporal gyrus Medial longitudinal fasciculus Occipital lobe Inferior frontal gyrus Arcuate fasciculus
Internuclear ophthalmoplegia is due to a lesion in the medial longitudinal fasciculus
759
A 31-year-old female presents to the GP complaining of double vision when she looks to the left. You examine her and note that when she looks to the left, her right eye adducts minimally. Her left eye abducts but you notice nystagmus of this eye. She has no changes to her speech or hearing and is able to understand what you say to her. You think a lesion in the brain may be causing this. Where is the lesion most likely to be located? Superior temporal gyrus Medial longitudinal fasciculus Occipital lobe Inferior frontal gyrus Arcuate fasciculus
Internuclear ophthalmoplegia is due to a lesion in the medial longitudinal fasciculus
760
Which of the following is not used to classify if a headache is a migraine? Light bothers person (a lot more than without a headache) Lasts longer than 30mins Headache limits ability to work or study Feel nauseated or sick
Which of the following is not used to classify if a headache is a migraine? Light bothers person (a lot more than without a headache) **Lasts longer than 30mins** Headache limits ability to work or study Feel nauseated or sick
761
Which drug can be used as a prophylasix for cluster headaches if used at high dose nifedipine diltiazem amlodipine verapamil
Which drug can be used as a prophylasix for cluster headaches if used at high dose nifedipine diltiazem amlodipine **verapamil**