Primary EMBU applications:
EMBU is ideal for evaluating disease processes which are…
EMBU is ideal for guiding interventions which are…
Rapid Potentially dangerous
Sensitivity and Specificity of FAST:
Generally relatively high: Sensitivity about 85 Specificity about 97
FAST shortcomings compared to CT:
Misses retroperitoneal and pelvic injury
FAST shortcomings compared to DPL
Misses hollow viscus injury
Speed of DPL vs FAST
DPL is slower
Dependent areas of abdominal cavity:
Perisplenic Hepatorenal Sub-diaphragmatic
4 regions and 10 potential spaces for fluid:
Subxiphoid - Pericardial RUQ - Pleural, subphrenic, hepatorenal, infrarenal LUQ - Pleural, subphrenic, splenorenal, infrarenal Suprapubic - Pouch of Douglas (F) or Retrovesicular
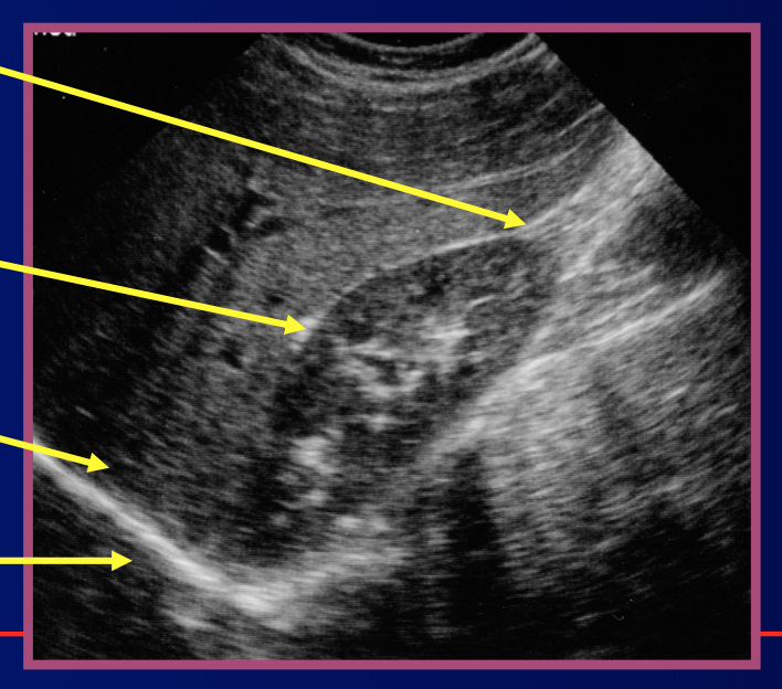
Other name for hepatorenal space:
Morison’s
Where is this.
Label it/

RUQ

Describe the mirror artifact and clinical utility
The presence of air in the normal lung gives the appearance of “liver above the diaphragm”
Hemothorax causes LOSS of mirror artifact
View needed for showing all 4 chambers of heart:
Transverse plane shows all 4 chambers
(Pointer to “9 o’clock”)
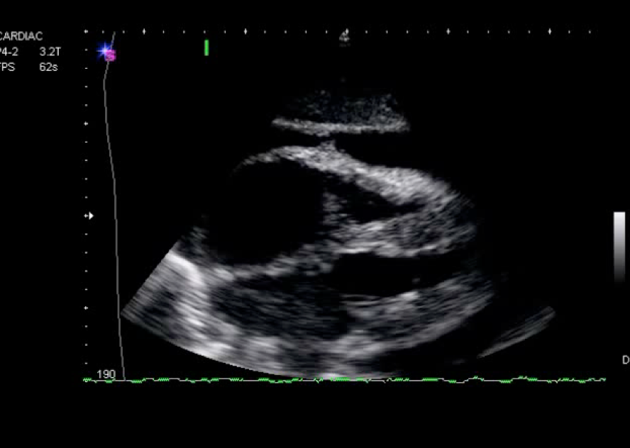
What happened to this driver in an MVA?

Pericardial effusion

General rule regarding “pointy findings” on US:
Some pathological process (fluid accumulation)
What’s happening?

Hemothorax
Placement of probe for visualization of rectovesical space / Pouch of Douglas:
Probe immediately cephalad to pubic symphysis
Angle probe caudad
Superior to seminal vesicles (male)
Level of cervix (female)
What’s this an image of?
Label the different structures (there are 4 of them between the 2 images)

This is the female pelvic region

US vs CXR in detecting PTX:
US was much more sensitive and pretty much just as specific
Signs of normal lung and pleura in US eval of PTX
Pleural sliding
Pleural based comet tail artifacr
Signs of abnormal lung or pleura for US eval of PTX:
Absence of pleural sliding
Leading esge sign
How much of chest to scan for PTX:
Mid-clavicular line each side
Clavicle to diaphragm
Examine each rib space
Most widely used probes for FAST and why
Convex,microconvex, Most widely described
– Easy transition from FAST
– “Pie-slice” exaggerates pleural sliding
– Good for intercostal windows
– Ribs and shadows clear
Problem: Handmotion appears like lung sliding
• Solution?
Anchor probe to the chest wall with fingertips