Benign Breast Stuff Flashcards

(30 cards)

1
Q
A

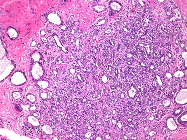
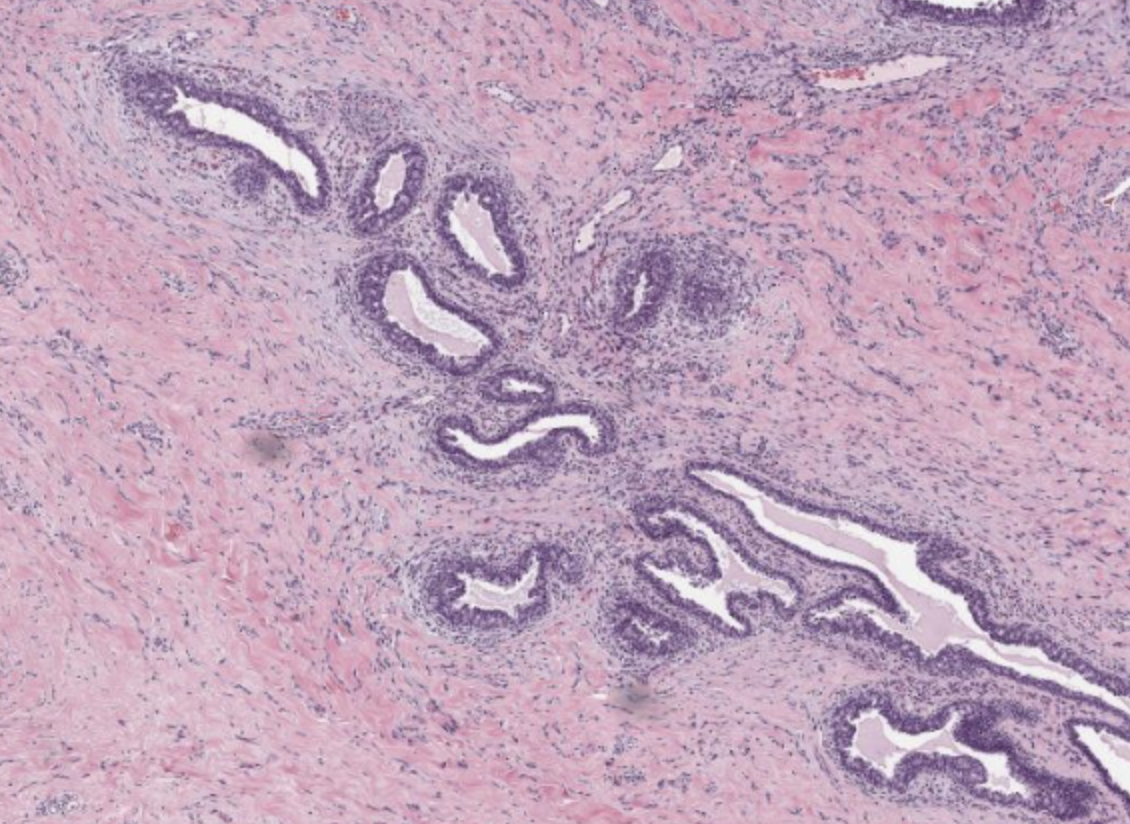
Slcerosing adenosis

A benign hyperplastic process, often present in young individuals ~30 years. At low power, lobular configuration is maintained and the lesion is more cellular at the center (due to the compression of the fibrosis).

How well did you know this?
1
Not at all
2
3
4
5
Perfectly
2
Q
A

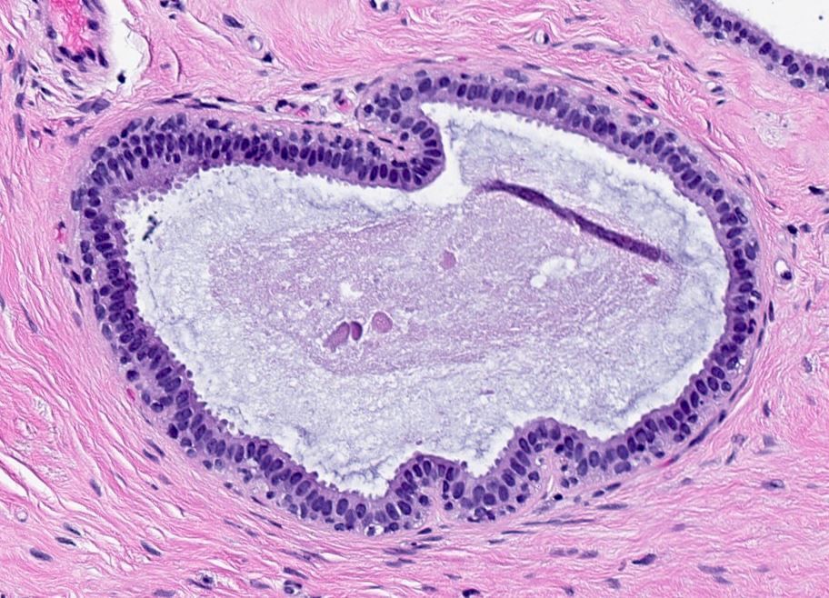
Benign breast cyst

Cyst lined by a single layer of epithelial cells without outer myoepithelial cells. The lumen may contain calcifications (often pale yellow calcium oxalate crystals), secretions, or foamy histiocytes.

Lining may be flat, cuboidal, or undergo columnar change. May even be denuded. Surrounding inflammation/fibrosis is common.

How well did you know this?
1
Not at all
2
3
4
5
Perfectly
3
Q

Breast myoepithelial cell markers

A

p63, SMA, calponin

How well did you know this?
1
Not at all
2
3
4
5
Perfectly
4
Q

GCDFP-15

A

Marker for apocrine differentiation in breast and salivary lesions

Stains apocrine metaplasia, but also can suggest breast or salivary origin in a metastatic tumor.

Usually strong in salivary ductal carcinoma and acinic cell carcinoma.

Usually strong in primary extramammary Paget’s disease and negative in secondary extramammary Paget’s disease

How well did you know this?
1
Not at all
2
3
4
5
Perfectly
5
Q
A

Columnar cell change

Terminal duct lobular units with irregular, variably dilated acini. Acini lined by 1 - 2 cell layers. Lining cells have uniform, ovoid to elongated nuclei oriented perpendicular to basement membrane. Apical snouts are frequently present. Luminal secretions may or may not be present.

If cytologic atypia is present, may represent a form of flat epithelial atypia.

How well did you know this?
1
Not at all
2
3
4
5
Perfectly
6
Q
A

Columnar cell hyperplasia

Terminal duct lobular units with irregular, variably dilated acini. Acini lined by stratified cells (more than 2 cell layers); may form tufts or mounds. Lining cells have uniform, ovoid to elongated nuclei that may appear crowded and overlap. Apical snouts often present. Luminal secretions and calcifications may be present.

If cytologic atypia is present, may represent a form of flat epithelial atypia.

How well did you know this?
1
Not at all
2
3
4
5
Perfectly
7
Q

“Fibrocystic changes”

A

A constellation of benign changes related to increased hormone exposure. Most often seen in conditions of late age menopause (prolonged estrogen exposure), hormonal replacement therapy, nulliparity, and low BMI.

Composed of stromal fibrosis, cyst formation, apocrine metaplasia, columnar cell change, and adenosis.

How well did you know this?
1
Not at all
2
3
4
5
Perfectly
8
Q

Epithelial displacement

A

In biopsy sites, benign or atypical epithelium may be found within the stroma or vascular spaces as a result of push from the biopsy needle.

This is more common in papillary lesions, and caution should be taken to avoid an erroneous diagnosis of invasive carcinoma.

If the invasive components of a tumor are confined to the biopsy site, a diagnosis of epithelial displacement should be favored, or at least strongly considered. This should prompt careful earch away from the biopsy site.

How well did you know this?
1
Not at all
2
3
4
5
Perfectly
9
Q
A

Ductal ectasia

Dilated ducts with varying amounts of periductal chronic inflammation, fibrosis, and duct dilation. Insipissated lipid-rich material with foamy macrophages infiltrating the wall is present. May have squamous metaplasia or the “Garland sign” (obliterated duct lumen with recanalization around the periphery of duts by small tubules).

Primarily in perimenopausal and post-menopausal women. More common in smokers.

How well did you know this?
1
Not at all
2
3
4
5
Perfectly
10
Q
A

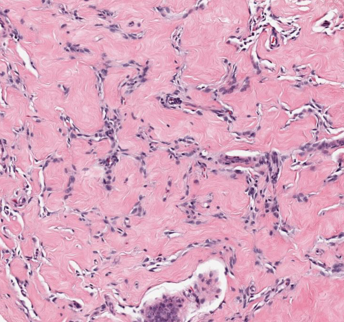
Diabetic / lymphocytic mastopathy

Dense, keloid-like fibrosis with epithelioid myofibroblasts in the stroma. A periductal, perivascular, and perilobular lymphocytic infiltrate consisting of motsly B cells is present.

Often presents as a dense breast mass, frequently bilateral. The cut surface is often homogeneous and white.

Characteristically seen in premenopausal women with long-stranding type 1 diabetes, but can also be seen in Grave’s, Hashimoto’s, pernicious anemia, SLE, RA, etc. Represents a dinstinct autoimmune disease.

Rarely can also be seen in men.

How well did you know this?
1
Not at all
2
3
4
5
Perfectly
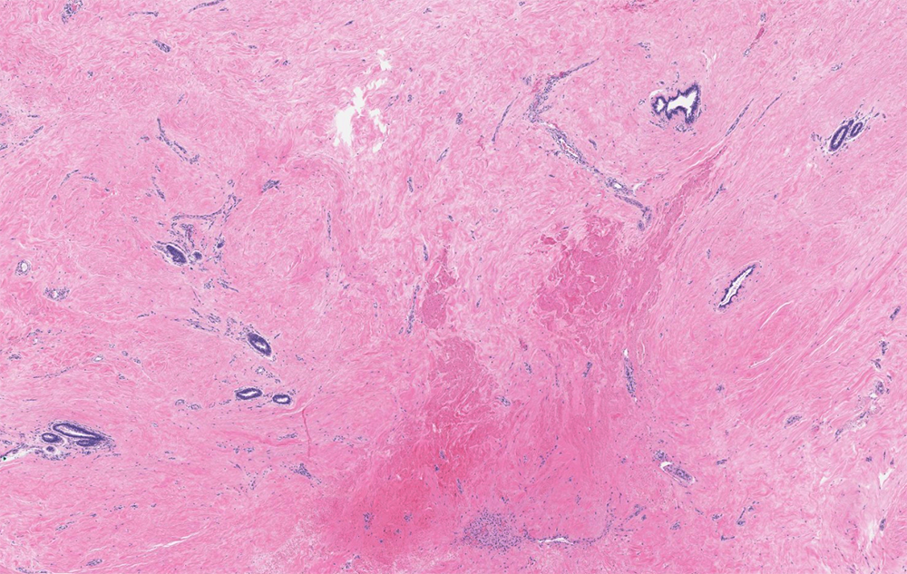
11
Q
A

Radial scar

Stellate, dense fibroelastosis with entrapped glandular structure in a radiating configuration. Two cell layers are maintained throughout the lesion. May have associated epithelial lesions (UDH, ADH, DCIS).

Radiographically presents as a spiculated lesion, which may have associated calcifications. Approximately 2/3 have a PIK3CA mutation.

Myoepithelial IHC helps exclude an invasive carcinoma.

Confers a 1.5-2 fold risk of invaive carcinoma, with a life-time risk of 5-7% in either breast (regardless of the laterality of the radial scar).

How well did you know this?
1
Not at all
2
3
4
5
Perfectly
12
Q
A

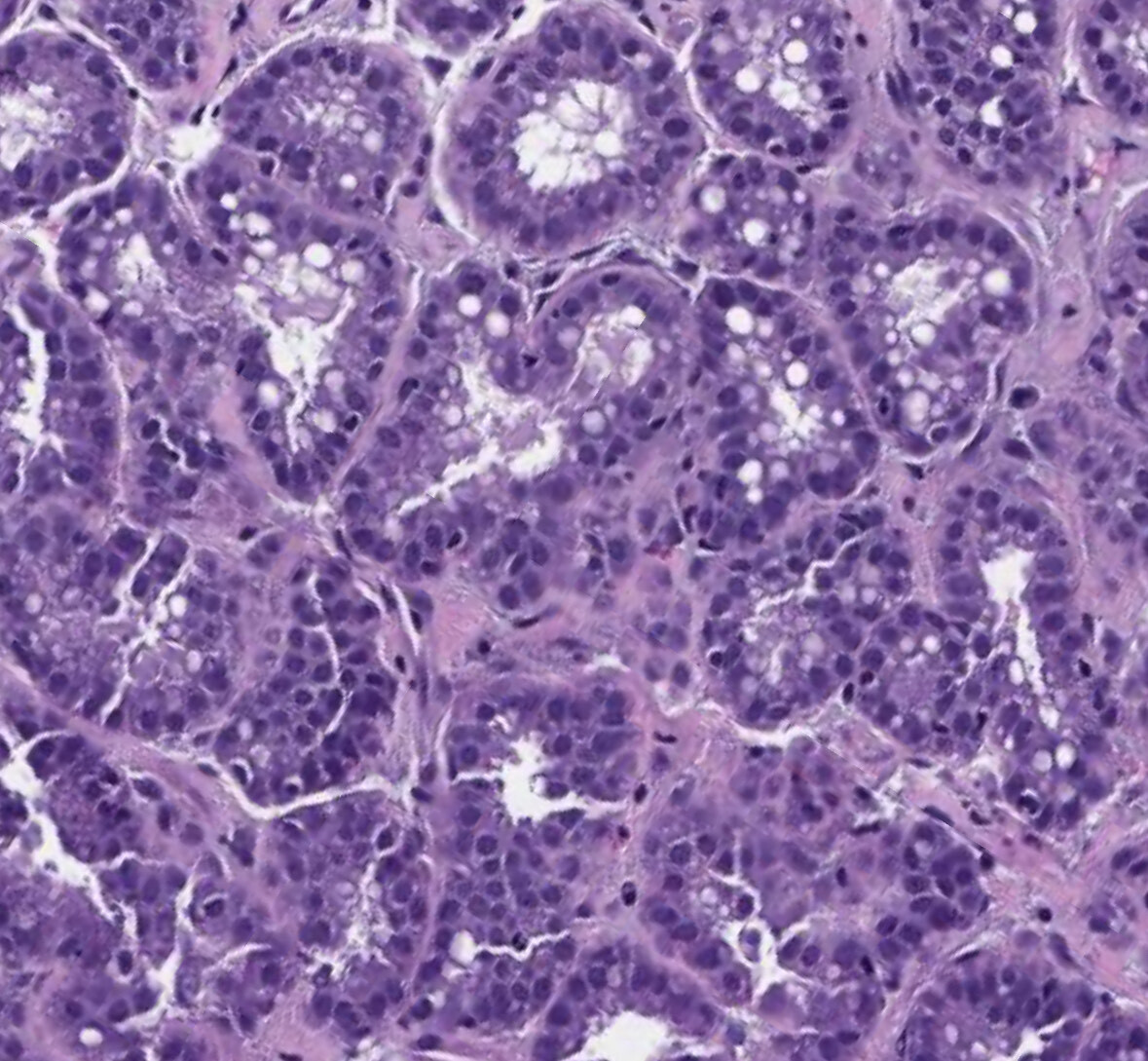
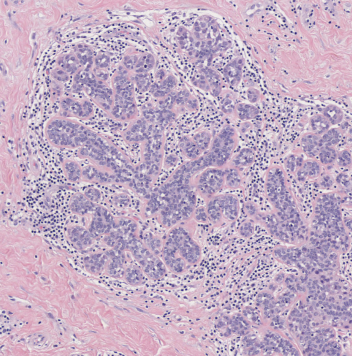
Tubular adenoma of the breast

Related to fibroadenoma, and sometimes the two coexist. Like fibroadenoma, not associated with any increased risk of breast cancer. Unlike fibroadenoma, there is no characteristic mutation.

Presents as a solid, circumscribed, firm mass. Should have very well-defined borders. Composed of closely packed small tubules lined by a layer of epithelial cells surrounded by myoepithelial cells. Rreally it is just the sparse intervening stroma and low-power appearance that make the diagnosis, once malignancy is ruled out.

How well did you know this?
1
Not at all
2
3
4
5
Perfectly
13
Q
A

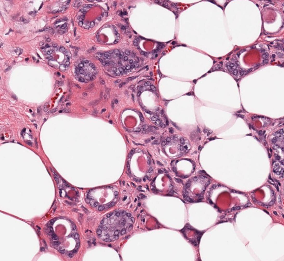
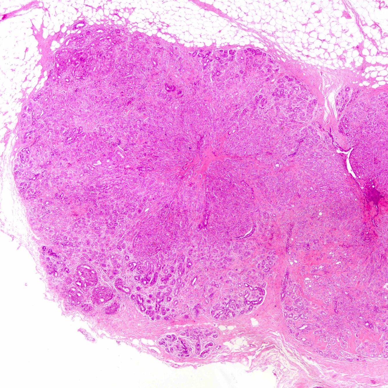
Lactating adenoma

Well-circumscribed proliferation of closely-packed hyperplastic secretory lobules separated by delicate connective tissue. Epithelial cells are cuboidal-to-hobnailed with bland, vacuolated-to-granular cytoplasm. Small, uniform, pinpoint nucleoli are present.

Benign nodules that are usually diagnosed during pregnancy/breastfeeding. Spontaneously regress after completion of lactation. No known progression to carcinoma. Can be anywhere along the mammary line.

How well did you know this?
1
Not at all
2
3
4
5
Perfectly
14
Q
A

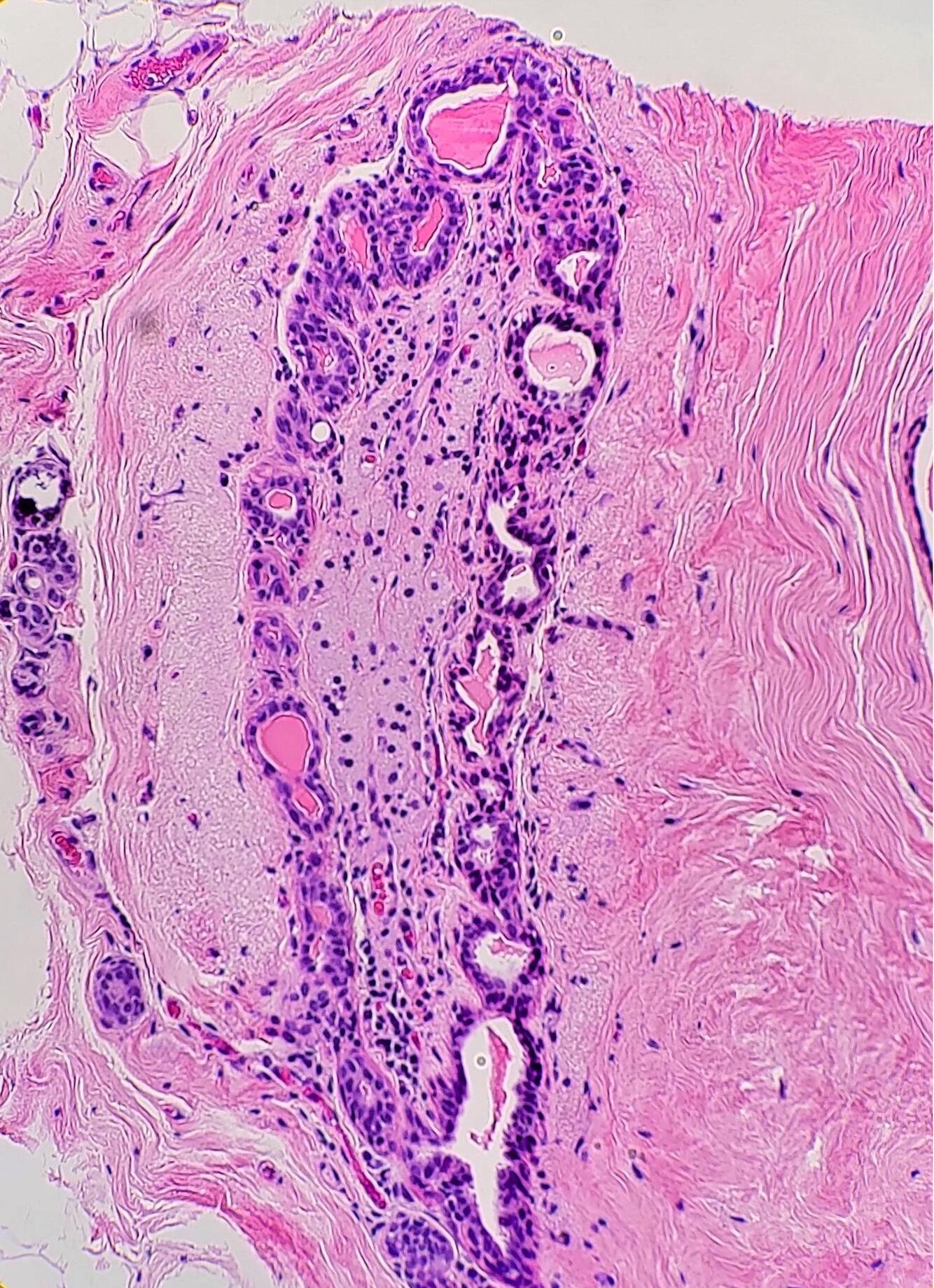
Microglandular adenosis

A haphazard proliferation of small, round, uniform, tubular glands composed of a single epithelial layer without myoepithelial cells. Often arranged with several glands spilling into surrounding adipose tissue. Have bland nuclei and amphophilic cytoplasm. Luminal spaces are open and often have eosinophilic colloid-like material.

About 25% of cases associated with an invasive carcinoma somewhere. Hypothesized to be a non-obligate precursor to basal-type breast cancer.

IHC: S100+, ER/PR/HER2 neg, myoepithelial marker neg

Molecular findings: Copy number alterations, TP53 mutations, PIK3CA mutations, BRCA1 mutations.

How well did you know this?
1
Not at all
2
3
4
5
Perfectly
15
Q

Taken from a male patient

A

Gynecomastia

Contains fibrous stroma and branching ducts with terminal ductules, but extremely few (if any) acini. In early stages, there is a loose periductal stroma with a mixed chronic inflammatory infiltrate, extensive epithelial hyperplasia, and tapering tufts (pyramid-shaped micropapillae). In later stages, there is fibrosis and hyalinization of periductal stroma and epithelial atrophy.

Here, early stage gynecomastia is shown.

Benign lesion of the male breast, often bilateral. Caused by androgen/estrogen imbalance. Physiologic in children, but often pathogenic in adults. May be seen normally during puberty, or in those taking dopaminergic medications, hormone therapy, those with Klinefelter syndrome, cirrhosis, or obesity.

No associated risk of malignancy.

How well did you know this?
1
Not at all
2
3
4
5
Perfectly
16
Q

Taken from a male patient

A

Gynecomastia

Contains fibrous stroma and branching ducts with terminal ductules, but extremely few (if any) acini. In early stages, there is a loose periductal stroma with a mixed chronic inflammatory infiltrate, extensive epithelial hyperplasia, and tapering tufts (pyramid-shaped micropapillae). In later stages, there is fibrosis and hyalinization of periductal stroma and epithelial atrophy.

Here, late stage gynecomastia is shown.

Benign lesion of the male breast, often bilateral. Caused by androgen/estrogen imbalance. Physiologic in children, but often pathogenic in adults. May be seen normally during puberty, or in those taking dopaminergic medications, hormone therapy, those with Klinefelter syndrome, cirrhosis, or obesity.

No associated risk of malignancy.

17
Q
A

Myxoid fibroadenoma

18
Q
A

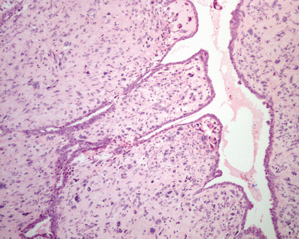
Phyllodes tumor

Biphasic tumor composed of spindled stromal cells and benign epithelial cells. Stromal cellularity is variable, and ranges from paucicellular to hypercellular. Prominent and exaggerated intracanalicular pattern with “leaf-like” projections into variably dilated lumina.

Shown is a benign phyllodes tumor, with a paucicellular stroma and stromal condensation under the epithelial-lining of the spaces.

Increased incidence in Li Fraumeni syndrome. Presents as a palpable, painless breast mass. Can have heterologous elements that are malignant.

Molecular: MED12 and RARA mutations in benign phyllodes tumors.
TERT promoter, ERBB4, TP53, EGFR, PIK3CA, and RB1 in borderline or malignant phyllodes tumors.

19
Q
A

Phyllodes tumor

Biphasic tumor composed of spindled stromal cells and benign epithelial cells. Stromal cellularity is variable, and ranges from paucicellular to hypercellular. Prominent and exaggerated intracanalicular pattern with “leaf-like” projections into variably dilated lumina.

Shown is a malignant phyllodes tumor. The stroma is diffusely hypercellular with pleomorphic cells, mitotic figures, and necrosis. “Stromal overgrowth” (where you can find fields of stroma only) is suggestive of malignancy as well.

Increased incidence in Li Fraumeni syndrome. Presents as a palpable, painless breast mass. Can have heterologous elements that are malignant.

Molecular: MED12 and RARA mutations in benign phyllodes tumors.
TERT promoter, ERBB4, TP53, EGFR, PIK3CA, and RB1 in borderline or malignant phyllodes tumors.

20
Q

Singapore Nomogram

A

Nomogram for predicting risk in a phyllodes tumor based on multiple variables.

To use the nomogram, locate the first variable. Draw a line straight upwards to the Points axis to determine the number of points received for the variable. Repeat this process for the other three variables and sum up the points achieved for each variable.

The sum of these numbers is located on the Total Points axis, and a line is drawn downwards to the survival axes to determine the likelihood of 1-, 3-, 5- or 10-year RFS. alculation of RFS can be automated through computerised programming.

‘For instance, a woman with a phyllodes
tumour that demonstrates moderate stromal atypia (11 points), mitoses
of 10 per 10 high-power fields (3 points), no stromal overgrowth (0
points) and positive surgical margin (40 points) will have a RFS (based
on total points of 54 points) of just above 0.9 at 1 year, 0.7 at 3 years,
0.58 at 5 years and 0.5 at 10 years.

Key factors:
* Atypia in the stroma
* Mitotic activity
* Stromal overgrowth
* Surgical margin status

21
Q

Definition of stromal overgrowth in a Phyllodes tumor

A

A low-power field (34 microscope objective and 310 eyepiece, 22.902 mm2) that comprises only stroma without epithelial elements.

22
Q

Classification of Phyllodes tumors (table)

23
Q
A

Myofibroblastoma

Bland, spindled cells composed of fibroblasts and myofibroblasts that are arranged in short, haphazardly intersecting fascicles.

Interspersed thick collagen bundles are often present. Minimal mitoses and atypia.

Presents as a slow-growing, painless mass that is well-circumscribed and unencapsulated.

IHC: Loss of RB1, spindle cells are positive for desmin, BCL-2, CD34, ER, PR, and AR.

Molecular: RB1 loss, 13q14 deletions (detect by FISH)

Cured by simple local excision.

24
Q
A

Pseudoangiomatous stromal hyperplasia (PASH)

Keloid-like stroma with complex anastomotic spaces that are often empty and have peripherally placed myofibroblasts.

Presents as an incidental mass-forming lesion.

IHC: Spindle cells are CD34, PR, and AR positive. They are keratin negative and negative for CD31.

25
Atypical vascular lesion Irregularly shaped, thin-walled vessels with branching and anastomotic growth. The lumen is lined by a single layer of endothelial cells with some hobnail and hyperchromatic features. Importantly, there is NO multilayering or true cytologic atypia. This is a benign condition which may occur in irradiated skin of the breast. Multiple lesions may be present. If superficial, there may be red-purple discoloring of the skin, IHC: CD31, CD34, and ERG. There should be no MYC overexpression/amplification.
26
Angiosarcoma Spindled to plump endothelioid cells lining vascular channels. The vascular spaces may be pinpoint or dilated and have exuberant anastamoses. The nuclei of these cells often contain a "bullet-shaped" nucleolus. May have hemosiderin, necrosis, atypical mitoses, and high-grade foci. Usually found incidentally, most commonly in middle-aged females. If superficial, may show red-purple discoloring on the skin. Post-radiation angiosarcoma occurs approximately 5 years post-radiation. IHC: CD31+, CD34+, ERG+, high KI67 index. Diffuse myc positivity suggests post-radiation angiosarcoma.
27
So you want to differentiate myofibroblastoma and fibromatosis. . .
. . . stain with beta-catenin, CD34, and BCL-2 Beta catenin + / CD34 and BCL-2 negative -> Fibromatosis Beta catenin negative / CD34 and BCL-2 + -> Myofibroblastoma
28
Use of CK5/6 stain in breast pathology
A mosaic pattern supports a non-clonal diagnosis. This is frequently used to confirm a borderline diagnosis of UDH. A negative pattern of CK5/6 with positive ER supports a neoplastic process like DCIS.
29
Definition of stromal overgrowth (for Phyllodes)
Absence of epithelial elements within the field of view at 4x manification and 10x occular.
30
When to consider a borderline Phyllodes tumor
When the lesion shows moderate stromal cell atypia with frequent mitoses (5 or more per 10 hpf), but without infiltrative margins or stromal overgrowth. Sometimes this diagnosis is still made when the margins are only very focally infiltrative.