Biliary System Pathology Flashcards

(112 cards)

1
Q

sludge is also called ______ bile

A

inspissated bile

How well did you know this?
1
Not at all
2
3
4
5
Perfectly
2
Q

sludge occurs in patient with (5)

A
  1. prolonged fasting
  2. biliary obstruction
  3. receiving hyperalimentation
  4. coexisting gallstones or GB carcinoma
  5. acute or chronic cholecystitis
How well did you know this?
1
Not at all
2
3
4
5
Perfectly
3
Q

what is hepatization of GB?

A

sludge-filled GB that appears isoechoic to liver

How well did you know this?
1
Not at all
2
3
4
5
Perfectly
4
Q

ultrasound appearance of sludge (2)

A

low-level “sandy” echoes
moves slowly with patient repositioning

How well did you know this?
1
Not at all
2
3
4
5
Perfectly
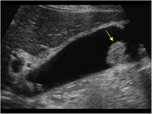
5
Q

sludge balls are also called _________

A

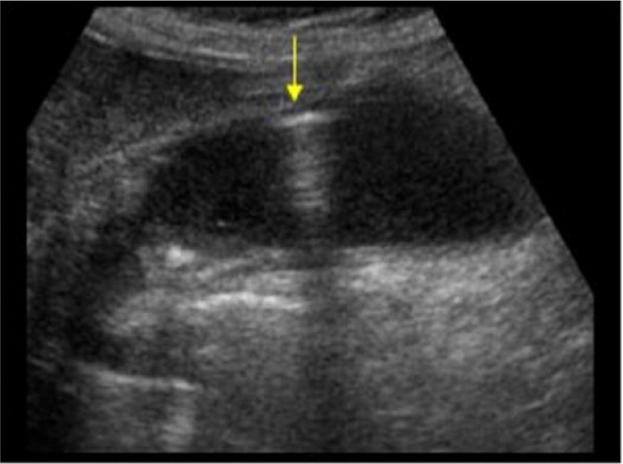
tumefactive sludge

How well did you know this?
1
Not at all
2
3
4
5
Perfectly
6
Q

what is tumefactive sludge?

A

sludge balls

thick sludge that mimics an GB mass
occurs with long-duration obstruction

How well did you know this?
1
Not at all
2
3
4
5
Perfectly
7
Q

ultrasound appearance of sludge balls

A

avascular mass with low-level echoes

How well did you know this?
1
Not at all
2
3
4
5
Perfectly
8
Q

hemobilia is also called _____

A

hematobelia

How well did you know this?
1
Not at all
2
3
4
5
Perfectly
9
Q

what is hemobilia?

A

blood within the biliary system

How well did you know this?
1
Not at all
2
3
4
5
Perfectly
10
Q

signs/symptoms of hemobilia (3)

A

pain
bleeding
jaundice

How well did you know this?
1
Not at all
2
3
4
5
Perfectly
11
Q

ultrasound appearance of hematobelia (2)

A

new blood = anechoic
old blood = echogenic

How well did you know this?
1
Not at all
2
3
4
5
Perfectly
12
Q

what is acute cholecystitis?

A

sudden onset of GB inflammation

How well did you know this?
1
Not at all
2
3
4
5
Perfectly
13
Q

complications of acute cholecystitis (6)

A
  1. emphysematous cholecystitis
  2. gangrenous cholecystitis
  3. GB perforation
  4. pericholecystitic abscess
  5. emphyema
  6. cholangitis
How well did you know this?
1
Not at all
2
3
4
5
Perfectly
14
Q

strong indicator of acute cholecystitis

A

gallstone and + Murphy’s sign

How well did you know this?
1
Not at all
2
3
4
5
Perfectly
15
Q

what is acalculous cholecystitis?

A

acute cholecystitis without gallstones

How well did you know this?
1
Not at all
2
3
4
5
Perfectly
16
Q

acalculous cholecsystitis is common in (3)

A

children
immunocompromised
hospitalized

How well did you know this?
1
Not at all
2
3
4
5
Perfectly
17
Q

what is calculous cholecystitis?

A

acute cholecystitis caused by gallstones

How well did you know this?
1
Not at all
2
3
4
5
Perfectly
18
Q

what is emphysematous cholecystitis?

A

acute cholecystitis caused by gas-forming organism

How well did you know this?
1
Not at all
2
3
4
5
Perfectly
19
Q

the gas in emphysematous cholecystitis will create ____,____,_____ which is also termed the _____

A

dirty shadowing, reverberation, and ring down artifact

aka champagne sign

How well did you know this?
1
Not at all
2
3
4
5
Perfectly
20
Q

emphysematous cholecystitis is common in _____ and can be ____

A

common in diabetics
can be fatal

How well did you know this?
1
Not at all
2
3
4
5
Perfectly
21
Q

what is gangrenous cholecystitis?

A

progression of acute cholecystitis that leads to GB necrosis and perforation

How well did you know this?
1
Not at all
2
3
4
5
Perfectly
22
Q

2 main ultrasound appearances of gangrenous cholecytitis

A

GB wall tear
irregular GB shape

How well did you know this?
1
Not at all
2
3
4
5
Perfectly
23
Q

GB perforation is more common after _____

A

gangrenous cholecystitis

How well did you know this?
1
Not at all
2
3
4
5
Perfectly
24
Q

common site of GB perforation

A

fundus of GB

How well did you know this?
1
Not at all
2
3
4
5
Perfectly
25
2 complications of GB perforation
peritonitis pericholecystic abscess
26
ultrasound appearance of GB perforation
infected = poorly defined hypoechoic mass with low-level echoes not infected = well defined band of low-level echoes
27
what is a pericholecystic abscess?
hypoechoic mass/area surrounding the GB
28
empyema is also called _____
pyogenic GB
29
what is empyema?
bacterial infection of bile
30
cholangitis is also called _____
primary sclerosing cholangitis (PSC)
31
what is cholangitis?
inflammation of biliary ducts
32
cholangitis should be suspected when bile duct wall thickness is greater than ____
5 mm
33
what are the 4 types of cholangitis?
1. acute bacterial cholangitis 2. AIDS cholangitis 3. oriental cholangitis 4. sclerosing cholangitis
34
what causes acute bacterial cholangitis?
bacterial accumulation secondary to obstruction
35
what is the charcot triad?
fever RUQ pain jaundice
36
AIDS cholangitis most often results from infection with _____ or ______
cryptosporidium cytomegalovirus
37
sclerosing cholangitis is characterized by _____
fibrotic thickening of the bile ducts
38
sclerosing cholangitis is associated with (2)
inflammatory bowel disease ulcerative colitis
39
what is used to diagnose primary sclerosing cholangitis?
ERCP = endoscopic retrograde cholangiopancreatography
40
patients with sclerosing cholangitis are at an increased risk for ____
cholangiocarcinoma
41
chronic cholecystitis results from ____
multiple bouts of acute cholecystitis with subsequent fibrosis of the GB wall
42
patients with chronic cholecystitis are at an increased risk for (3)
1. porcelain GB 2. stone formation 3. adenocarcinoma of the GB
43
signs/symptoms of chronic cholecystitis (3)
intolerance to fatty foods negative Murphy's sign RUQ pain
44
ultrasound appearance of chronic cholecystitis (4)
1. thick GB wall 2. WES sign 3. contracted GB (<2cm) 4. gallstones
45
what is cholelithiasis?
gallstones
46
what are gallstones made of (3)
cholesterol calcium bilirubinate calcium carbonate
47
risk factors for gallstones (5)
1. obesity 2. pregnancy 3. diabetes 4. oral contraceptives 5. rapid weight loss
48
what are the five F's for cholelithiasis
female fat fertile forty fair
49
pediatric patients who have _____ or _____ have higher risk for developing gallstones
hemolytic anemia (sickle cell) Crohn disease
50
T/F: patients with gallstones are usually asymptomatic
true
51
signs/symptoms of gallstones (3)
RUQ pain the radiates to shoulders intolerance to fatty foods nausea and vomiting
52
another name for milk of calcium bile
limey bile
53
what is limey bile?
GB filled with calcium carbonate
54
limey bile is associated with ____ and ____
GB stasis and chronic cholecystitis
55
an enlarged GB can also be called a ___ or _____ GB
hydropic or mucocele GB
56
what is the most common cause of an enlarged GB?
cystic duct obstruction
57
what is Courvoisier GB?
enlarged GB caused by a pancreatic head mass that usually has painless jaundice
58
GB hydrops in older infants and children's may be associated with _____
Kawasaki disease
59
what kind of GB polyps are the most common?
cholesterol polyps
60
GB polyps measure less than ____
10mm
61
rapid growing or large GB polyps can indicate ____
GB carcinoma
62
used to describe GB polyps
"ball on the wall"
63
what is strawberry GB?
abnormal cholesterol deposits within the GB wall seen with cholesterolosis
64
what is adenomyomatosis?
proliferation of epithelium and thickened muscular wall
65
tiny pockets produced in adenomyomatosis are called _____
Rokitansky-Aschoff sinuses
66
Rokintanksy-Aschoff sinuses contain _____ and produce ____
contain cholesterol crystals and produce comet tail artifact
67
what is porcelain GB?
calcification of the GB wall
68
porcelain GB is associated with (3)
GB carcinoma cholelithiasis chronic inflammation
69
T/F: GB carcinoma is the most common cancer of the biliary tract
true
70
adenocarcinoma of the GB has high association with ____
gallstones
71
ultrasound appearance of GB carcinoma (3)
non mobile mass greater than 1 cm thick GB wall invasion of mass into surrounding tissue
72
what is the most common metastatic disease of the GB?
malignant melanoma
73
what is cholangiocarcinoma?
primary biliary tree cancer
74
what is the most common risk factor of cholangiocarcinoma?
cholangitis
75
what is the most common manifestation of cholangiocarcinoma?
Klatskin tumors
76
Klatskin tumors are located at the junction of the ____
right and left hepatic ducts
77
ultrasound appearance of cholangiocarcinoma
dilated intrahepatic ducts that abruptly terminate at the level of the tumor
78
what lab values increase with cholangiocarcinoma? (2)
ALP and direct bilirubin
79
biliary dilation will occur ____ to the level of obstruction
proximal
80
what is the most common level for biliary obstruction?
distal CBD
81
what are the most common causes for biliary obstruction? (3)
choledocholithiasis pancreatitis pancreatic carcinoma
82
appearance of intrahepatic dilation (3)
parallel channel sign antler branching pattern too many tubes sign
83
appearance of extrahepatic dilation (2)
"double barrel" shotgun sign parallel tube sign
84
what is choledocholithiasis?
gallstones within the bile ducts
85
gallstones in the ____ is the most common cause of obstructive jaundice
CBD
86
T/F: choledocholithiasis always has biliary dilation
FALSE- may have biliary dilation but not always
87
what is Mirizzi syndrome?
when a gallstone blocks the cystic duct with subsequent compression of the CHD
88
how is Mirizzi syndrome diagnosed? (2)
cholangiography or ERCP
89
what is pneumobilia?
air or gas within the biliary tree
90
pneumobilia produces what artifacts? (2)
ring down and dirty shadowing
91
what is biliary atresia?
congenital disease narrowing or obliteration of all or a portion of the biliary tree
92
biliary anomaly is suspected when jaundice persists for more than _____ days after birth
14 days
93
biliary atresia may show evidence of "triangular cord sign" which is an ____
avascular, echogenic, triangular or tubular structure anterior to the PV
94
what does the "triangular cord sign" represent?
replacement of the extrahepatic duct with fibrous tissue in the porta hepatis
95
what is a choledochal cyst?
congenital cystic dilation of the CBD
96
choledochal cysts are confirmed with _____ aka _____ scans
hepatobiliary iminodiacetic acid (HIDA) cholescintigraphy scans
97
what is Caroli disease?
congenital disorder segmental dilation of the intrahepatic ducts (beaded appearance)
98
the "central dot sign" is an appearance of _____
Caroli disease
99
what is endoscopic retrograde cholangiopancreatography (ERCP)?
endoscope with x-ray imaging examine ducts that drain the liver, GB, and pancreas
100
what is percutaneous transhepatic cholangiography (PTC)?
dye injected into bile ducts within the liver with subsequent x-ray imaging
101
what is intraoperative cholangiography?
dye injected directly into the bile duct during GB operation
102
other causes of GB wall thickening (5)
hypoalbuminemia ascites hepatitis CHF pancreatitis
103
3 causes of jaundice
pre hepatic = excessive red cell breakdown causes unconjugated hyperbilirubinemia (Gilbert syndrome) hepatic = dysfunction of the liver post hepatic = obstruction of the biliary tree causes conjugated hyperbilirubinemia that results in pale stool and dark urine
104
what is choledochojejunostomy?
procedure for creating an anastomosis of the CBD to the jejunum relieve symptoms of biliary obstruction
105
causes of gas in the biliary system (5)
ERCP sphincter of oddi papilotomy choledochojejunostomy GB fistula emphysematous cholecsytitis
106
biliary dynamics, GB contractility, or obstruction can be assessed by
administering a fatty meal
107
a Klatskin tumor is located at the ____ resulting in _____ but not _____ biliary dilation
located at the hepatic hilum causes intrahepatic but NOT extrehapatic biliary diliation
108
what is biliary ascariasis?
obstruction caused by parasitic worm (Ascaris lumbricoides) common in the south-east asian countries
109
Kasai portoenterostomy (KPE) is most successful in the treatment of ____ if performed before ____ days of life.
biliary atresia 90 days
110
choledochal cysts are more prevalent in ____
female asians before puberty
111
what is primary biliary cholangitis?
autoimmmune disorder resulting in cholestasis (reduced or stopped bile flow) due to destruction of the small intrahepatic bile ducts
112
elevated lab values of primary biliary cholangitis (5)
AST ALT ALP GGT AMAs