BIOL tutorial final 2 Flashcards

(232 cards)

1
Q
A

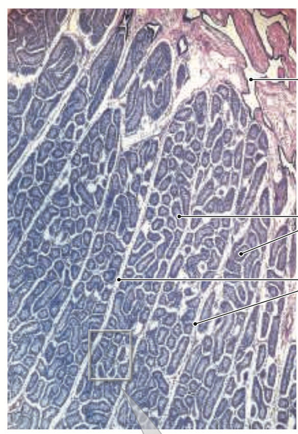
Testes: Rete testis, seminiferous tubules, Septa testis

How well did you know this?
1
Not at all
2
3
4
5
Perfectly
2
Q
A

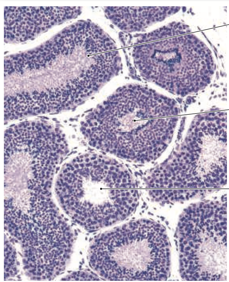
Seminiferous tubules: late spermatids, sperm, early spermatids

How well did you know this?
1
Not at all
2
3
4
5
Perfectly
3
Q
A

epidydimis: epithelium, sperm in lumen, stereocilia

How well did you know this?
1
Not at all
2
3
4
5
Perfectly
4
Q
A

ductus deferens

How well did you know this?
1
Not at all
2
3
4
5
Perfectly
5
Q
A

seminal gland: lumen, secretory pockets, smooth muscle

How well did you know this?
1
Not at all
2
3
4
5
Perfectly
6
Q
A

prostate: connective tissue and smooth muscle, tubulo-alveolar glands

How well did you know this?
1
Not at all
2
3
4
5
Perfectly
7
Q
A

bulbourethral gland: smooth muscle, capsule, mucous glands

How well did you know this?
1
Not at all
2
3
4
5
Perfectly
8
Q
A

corpus cavernosum

How well did you know this?
1
Not at all
2
3
4
5
Perfectly
9
Q
A

corpus spongiosum

How well did you know this?
1
Not at all
2
3
4
5
Perfectly
10
Q
A

epididymis

How well did you know this?
1
Not at all
2
3
4
5
Perfectly
11
Q
A

vas deferens

How well did you know this?
1
Not at all
2
3
4
5
Perfectly
12
Q
A

prostate gland

How well did you know this?
1
Not at all
2
3
4
5
Perfectly
13
Q
A

bulbourethral gland

How well did you know this?
1
Not at all
2
3
4
5
Perfectly
14
Q
A

membranous urethra

How well did you know this?
1
Not at all
2
3
4
5
Perfectly
15
Q
A

prostatic urethra

How well did you know this?
1
Not at all
2
3
4
5
Perfectly
16
Q
A

spongy urethraa

How well did you know this?
1
Not at all
2
3
4
5
Perfectly
17
Q
A

seminal vesicle

How well did you know this?
1
Not at all
2
3
4
5
Perfectly
18
Q
A

ejaculatory duct

How well did you know this?
1
Not at all
2
3
4
5
Perfectly
19
Q
A

glans penis

How well did you know this?
1
Not at all
2
3
4
5
Perfectly
20
Q

empties urethra and compresses the veins of the penis

A

bulbspongiosus - muscle

How well did you know this?
1
Not at all
2
3
4
5
Perfectly
21
Q

aids in maintaining erection

A

ischiocavernosus -muscle

How well did you know this?
1
Not at all
2
3
4
5
Perfectly
22
Q
A

illiococcygeus

How well did you know this?
1
Not at all
2
3
4
5
Perfectly
23
Q
A

pubococcygeus

How well did you know this?
1
Not at all
2
3
4
5
Perfectly
24
Q
A

coccygeus

How well did you know this?
1
Not at all
2
3
4
5
Perfectly
25
superficial transverse perineal
26
deep transverse perineal
27
puborectalis
28
round ligament
29
cardinal ligament
30
ovarian ligament
31
uterosacral ligament
32
delivers an oocyte or embryo to uterus
uterine tube.
33
finger like projections that extend into pelvic cavity
fimbrae
34
uterus fundus
35
uterine tube
36
uterine tube epithelial surface
37
uterine body
38
cervix
39
clitoral shaft
40
erectile tissue
clitoral glans
41
erectile tissue
vestibular/clitoral bulb
42
clitoal crus
43
erectile tissue
corpus cavernosum
44
bartholin's (vestibular) gland
45
closes vagina
bulbospongisus muscle
46
maintaing clitoral erection
ischiocavernosus muscle
47
defecation, childbirth, support
coccygeus
48
illococcygeus
49
pubococcygeus
50
puborectalis
51
superficial transverse perineal
52
deep transverse perineal
53
labia majora
54
prepuce (hood)
55
labia minora
56
vestibule
57
the _____ muscle elevates the testes and causes wrinkling of the scotum. it is a type of _____ muscle
Dartos, smooth
58
the ______ muscle contracts during sexual arousal or in response to cool temperature
cremaster
59
Greater vestibular glands (f) are hoomoloogus to __________ in males
bulbourethral
60
the clitoral bulb (f) is homlogus to _______ in males
corpus spongiosum
61
uterus: peri, myo, endo
62
penis
63
ovary
64
uterine tube
65
prostate gland
66
Oocytes mature in the _______of an ovary. At the point of ovulation, the gamete that is released is known as a ____________, and it is released into the __________ From this location, the gamete is drawn into the ____________and then travels to the ______. If fertilization and implantation have not occurred, the gamete will exit the body via the_______.
cortex, secondary oocyte, peritoneal cavity, uterine tube , uterus , vagina
67
Sperm are generated in the _______ within the _________. When anatomically mature, the sperm pass through the rete testis and into and through the ________ From this location, sperm move into the __________and then, during the sexual response, are ejected into the _________ and are mixed with a variety of glandular secretions, forming semen. Sperm and seminal fluid travel through the _________to exit the body
testis seminiferous tubules epididymis vas deferens ejaculatory duct urethra
68
The uterine cycle involves changes in the ____ layer of the endometrium
69
serous pericardium - visceral
70
pericardial cavity
71
seroous pericardium - parietal
72
fibrous pericardium
73
the heart is located _____ to the lungs in the ______ cavity and ______ to the sternum
medial, thoracic, posterior
74
pulmonary veins
75
pulmonary trunk
76
pulmonary arteries
77
R coronary artery
78
ant. braanch of L coronary artery
79
circumflex branch of L coronary artery
80
coronary sinus
81
great cardiac vein (ant. intraventricular)
82
middle cardiac vein
83
L coronary artery
84
internodal bundles
85
SA node
86
AV node
87
heart tissue
88
heart muscle: sarcomere striations, myocyte nucleus, intercalated disk
89
artery (L) and vein (R)
90
moderator band
91
what are the 5 major coronary arteries
Right coronary post. descending coronary Left coronary left ant. descending left circumflex
92
listt the major cardiac veins
Coronary sinus Great, small and middle cardiac veins Ant. cardiac vein post. cardiac vein `\
93
vein and muscular artery
94
endothelium
tunica intima - endothelium
95
smooth muscle
tunica media - smooth muscle
96
connective tissue
tunica externa (adventitia) - connective tissue
97
artery only
elastic membrane
98
subclavian
99
L side of head and neck
L common carotid
100
brachiocephalic trunk
101
blood to brain and eyes
internal carotid
102
external carotid
103
blood to braiin
vertebral artery
104
basilar artery
105
the vertebral arteries branch from the _____ artery and then fuse together to form the ______ arterrry
subclavian basillar
106
arteries that supply the head include (4)
internal carotid external carotid vertebral basilar
107
arteries that supply the brain include the _______ and the ________
circle of willis middle cerebral artery
108
arteries that branch froom the descending aorta are ___________
celiac trunk
109
arteries of the upper limb include (6)
axillary brachial deep brachial radial ulnar
110
iliac arteries include (3)
common iliac external iliac internal iliac
111
arteries of the lower limb include (6)
femoral popliteal ant. and post. tibial/ fibularr
112
middle cerebral artery
113
circle of willis
114
the circle of willis includes the (5)
ant. post. and middle cerebraal arteries post. and ant. communicating arteries `
115
upper extremity, neck, thorax
subclavian arteries
116
axilla, shoulder, thoracic muscles
axillary
117
arm
brachial
118
posterior triceps
deep brachial (profundus)
119
forearm wrist and fingers
radial
120
medial aspect of the forearm, wrist and hand
ulnar
121
supply sttomach, pancreas, liver and spleen
celiac trunk
122
lower abdomen, pelvis, lower limbs
common iliac
123
lower limbs, skin or lower abdomen
external iliac
124
gluteal and pelvic muscles, external genitalia, bladder, medial thigh, uterus and vagina
internal iliac
125
lower limb
femoral
126
ant. leg, knee and ankle
ant. tibial
127
knee
popliteal
128
post. tibial
129
fibular
130
veins that drain into the superior vena cava include
brachiocephalic azygos
131
brachiocephalic
132
thoracic wall
azygos
133
hemiazygos
134
accessory hemiazygos
135
veins that drain the head
verterbral external and internal carotid
136
sinuses that drain the head
superior saggital, transverse, sigmoid
137
veins that drain the upper limb
radial ulnar brachial median cubital cephalic basilar axillary subclavian
138
cephalic
139
median cubital
140
basilic
141
brachial
142
axillary
143
subclavian
144
veins that drain into IVC
lumbar veins Gonadal Hepatic adrenal phrenic
145
iliac veins
common iliac external iliac internal iliac
146
common iliac
147
external iliac
148
internal iliac
149
veins that drain the lower limb (8)
fibulaar ant. and post. tibial popliteal small and great saphenous deep and common femoral
150
femoral common
151
deep femoral
152
popliteal
153
great saphenous
154
anterior tibial
155
post. tibial
156
small saphenous
157
superficial veins of the upper limb
cephalic basilic
158
deep veins of upper limb
ulnar radial brachial axial
159
deep veins of loower limb
ant. and post. tibial deep femoral
160
superficial veins of lower limb
great and small saphenous
161
nasal cavity
162
maxillary sinus
163
froontal sinuses
164
eustacian tube
165
larynx
166
nasopharynx
167
orpharynx
168
epiglottis
169
thyroid cartilage
170
cricoid cartilage
171
arytenoid cartilage
172
corniculate cartilage
173
vestibular folds
174
volcal folds/cords
175
cricothyroid muscle
176
intrinsic muscle of the larynx
thyroartenoid
177
vocalis
178
intrtinsic muscles of larynx
lateral cricoarytenoid
179
intrinsic muscle of larynx
posterior cricoarytenoid
180
paranasal sinuses include (2)
frontal sinus and maxillary sinus
181
parts of the upper respiratory system
nose nasal cavity paranasal sinuses pharynx
182
parts of the lower respiraatory system
larynx trachea bronchus bronchioles respiratory bronchioles
183
respiratory mucosa with mucous cells lines the ______ and the _______ and the _______
nasal cavity upper part of the pharynx superior portion of lower respiratory tract
184
stratified squamous epithelium lines the _________
inferior pharynx
185
the epithelial tissue becomes cuboidal in the _________
naarrower bronchioles
186
simple squamous epithelium is found in ttissues that perform ________
gas exchange`
187
oral mucosa
188
nasal mucosa
189
olfactory mucosa
190
bronchus
191
bronchiole
192
alveoli
193
alveoli
194
trachea
195
nasal cartilages
196
muscles that move the nose - nasalis - procerus
197
structtures involved in phonation
hyoid bone thyroid cartilage cricoid carttilage arytenoid carilage epiglottis cuniform carttilage corniculate cartilage vocal cords
198
structures invovled in speech articulation
tongue lips hard and soft palate uvula glottis
199
Exttrinsic muscles of the larynx
200
membranes and cartilages of the larynx
201
laryngeal elevators end in _______
hyoid myo- thryro- stylo- genio-
202
laryngeal depressors
sternothyroid sternohyoid omohyoid
203
lobar bronchi are ______bronchi and segmental bronchi are _______
secondary tertiary
204
(accessory or primary) (inspiratory or expiratory) muscles
accessory inspiratory muscles
205
(accessory or primary) (inspiratory or expiratory) muscles
primary inspirattory muscles
206
(accessory or primary) (inspiratory or expiratory) muscles + external oblique
accessory expiratory muscles
207
pseudostratified columnar epitthelium changes to to stratified epithelium between the
nasopharynx and oropharynx
208
primary lymphoid organs
Thymus Bone marrow
209
B cells mature in the ______ and T cells mature in the _______
spleen, thymus
210
tongue
211
tooth
212
esophagus
213
stomach
214
salivary gland
215
orpharynx
216
extrinsic muscles of tongue
217
muscles of the pharynx
218
duodenum
219
jujenum
220
colon
221
gallbladder and liver
222
pancreas
223
anal canal
224
prostatic urethra
225
vulvar urethra
226
spoongy urethra
227
ureter
228
renal pelvis
229
spongy urethra
230
bladder
231
bladder
232
ureter