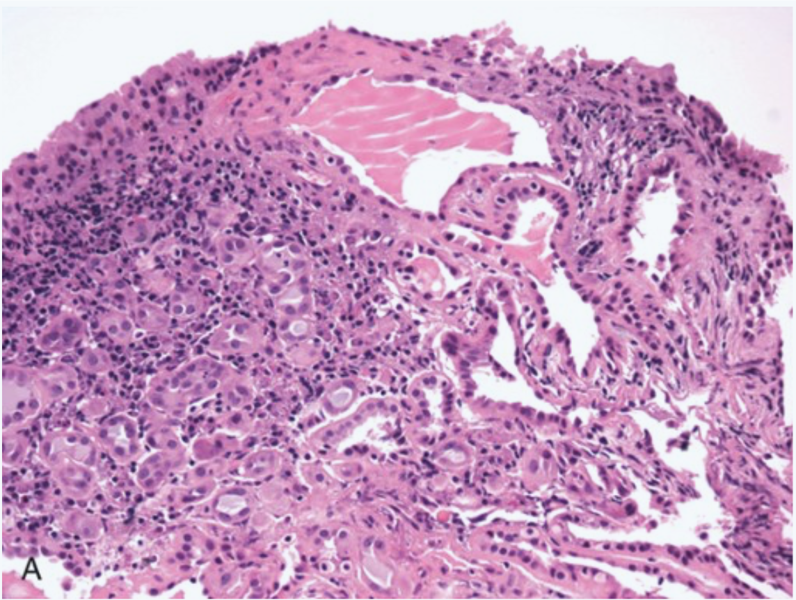
Posterior bladder wall, young man, post UTI (Trauma, calculi, transplant)

Nephrogenic adenoma.
SMALL TUBULES RESEMBLING RENAL TUBULES
Proliferation of small tubules or papillary fronds or flat architecture- all lined by eosinophilic cuboidal epithelium.
USUALLY RESTRICTED TO SUP LP BUT CAN BE INFILTRATIVE
OR
No mitotic activity or nuclear pleomorphism
Variable mixed inflammation
Nephorgenic adenoma- associations
Presenting complaint:
Cystoscopy findings
Trauma, Cystitis, Calculi, Surgery
Often asymptomatic, can present with haematuria
vague nodularity on mucosal surface and be velvety or polypoid
nephorgenic adenoma lining cells
Ususally pink
Can be oxyphilic, clear cells or have signet ring morphology
rare mitoses
DDX nephrogenic adenoma
IPX bladder
Urothelium is CK7+/20+
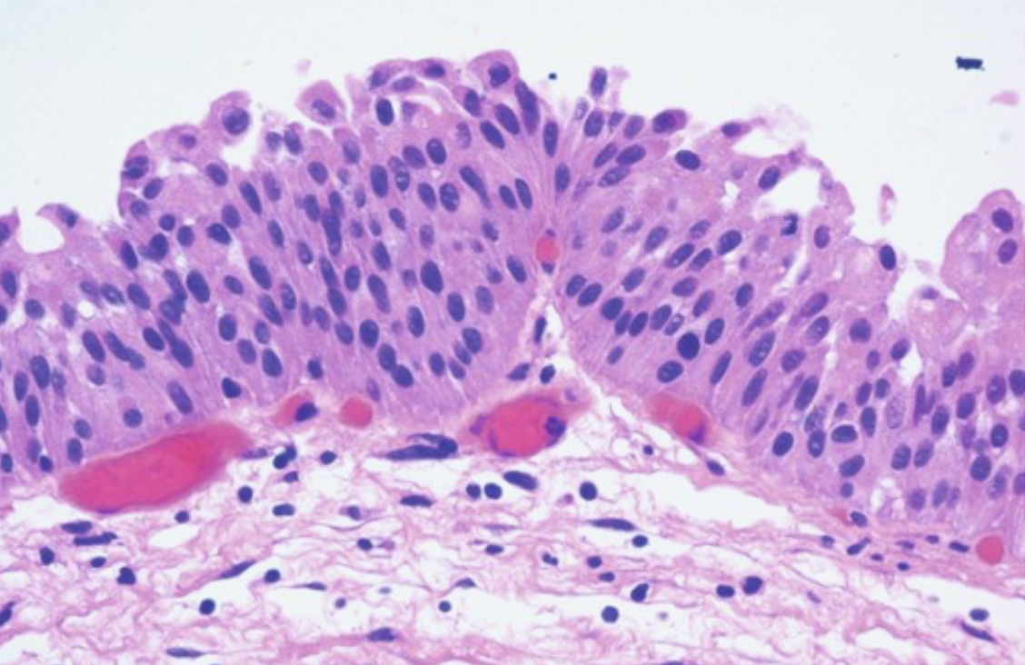
middle aged man, no sig hx, new onset irritative bladder sx w/wo haematuria
Bladder mucosa

description:
urothelium with variable loss of nuclear polarity with nuclear crowding and atypia but not severe enough to warrant a diagnosis of CIS ie
nuclei- mildly enlarged
chromatin- mildly altered
nuceloli- inconspicous
mitosses - rare
ANSWER IS: UROTHELIAL DYSPLASIA
DDX UROTHELIAL DYSPLASIA (3)
1.UROTHELIAL CARCINOMA IN SITU
N - pleomorphic
C - coarse
N - prominent
M - increased with upper level mitoses
Von Brunn nests may be involved by urothelial dysplasia
T/F
True
lamina propria in urothelial dysplasia
may contian increased inflammation and vascular congestion
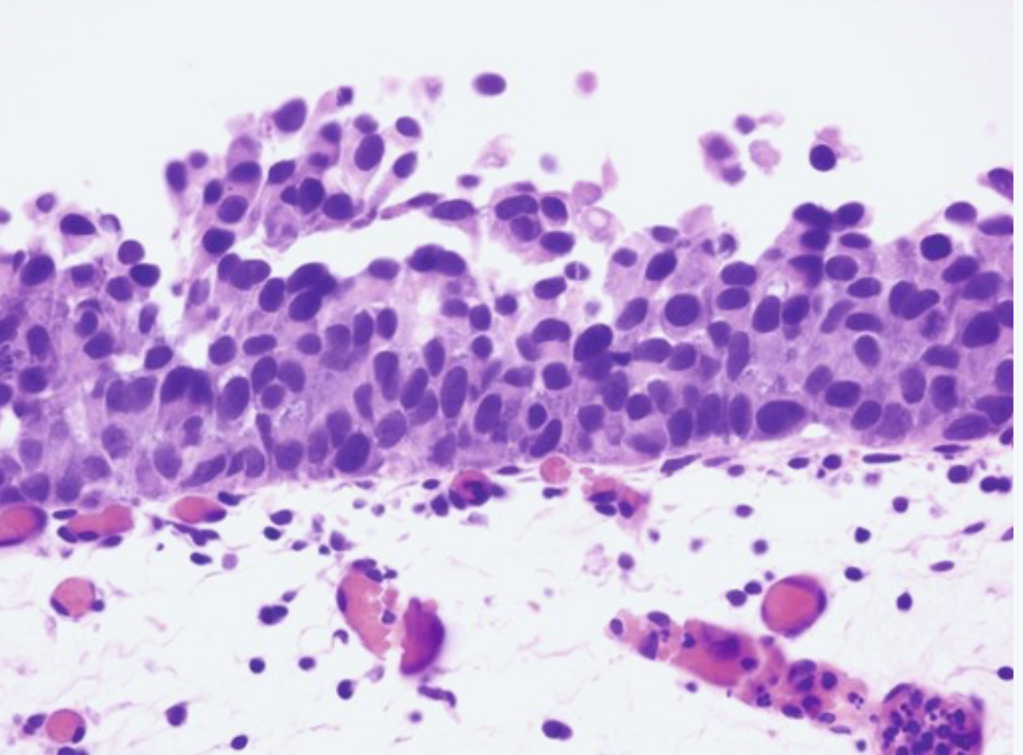
55 yr old man with with dysuria/frequency/haematuria

UROTHELIAL CIS: a non-papillary ie flat lesion in which th e surface epithelium contains cytologically malignant cells:
N pleomorphic, loss of polarity, crowding
C: hyperchromatic
N; prominent
M: increased and includes high levels
IPX doesn’t differentiated from urothelial dysplasia
IPX of both Urothelial dysplasia and CIS
(3)
Aberant CK 20 expression characterised by full thickness cytoplasmic staining (CF normal which is umbrella cells only
P53 overexpression
Ki 67 increased
DDX UROTHELIAL CIS
(5)
UROTHELIAL DYSPLASIA
REACTIVE ATYPIA
ATYPIA OF UNCERTAIN SIGNIFICANCE
RADIATION INDUCED ATYPIA
POLYOMA VIRUS INFECTION
Histo features radiation induced atypia
•Florid epithelial proliferation with cell enlargement, hyperchromasia, and prominent nucleoli: IE CYTOLOGY IS A GOOD MIMIC FOR CIS