What are the 3 common things that can be affected that cause abnormal bleeding?
1 - blood vessel disorders
2 - platelet disorders
3 - coagulation disorders (clotting factors)
Although uncommon, what is Hereditary Haemorrhagic Telangiectasia as a form of blood vessel disorder?
Inherited collagen abnormalities can cause dysfuctional blood vessels. What happens in this instance?
Scurvy is an acquired disorder that can affect blood vessels. How can scurvy cause this?

What is the most commonly acquired cause of dysfuctional blood vessels?
What is the normal range for platelets?
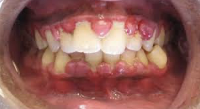
What is thrombocytopenia?
In relation to bleeding, what do patients with platelet disorders generally present with?
What are the 4 most common causes of acquired platelet dysfunction?
What is immune thrombocytopenic purpura?

Does immune thrombocytopenic purpura affect young or older people more?
What are the treatment options for patients with chronic immune thrombocytopenic purpura?
Drugs are the most common causes of acquired platelet dysfunction. What drugs have been linked with this?
Glanzmann’s thrombocytopenia is an inherited cause of platelet disorders. How does this affect platelet function?

Bernard-Soulier syndrome is an inherited cause of platelet disorders. How does this affect platelet function?

What is haemophilia?
What is the most common inherited blood coagulation abnormality?
Haemophilia A (which is the more common form) Haemophilia B are the 2 most common inherited blood clotting abnormality. What factors are affected in each?

What does X linked recessive mean?

Are men and women equally affected by haemophilia?

What are some of the common presenting symptoms of haemophilia?

The activated partial thromboplastin time (APTT) is a test to determine clotting pathways. What aspects of the clotting cascade can the APTT test assess?
The prothrombin time (PT) is a test to determine clotting pathways. What aspects of the clotting cascade can the PT test assess?
What is does the international normalised ratio (INR) mean in clotting function?