Bleeding Disorders Flashcards

(30 cards)

1
Q

these 2 drugs elevate PTT and PT b/c both at common pathway

A

heparin and warfarin

How well did you know this?
1
Not at all
2
3
4
5
Perfectly
2
Q

in adults, most commonly due to disease or IV drug therapy; PTT and PT elevated

A

vitamin K deficiency

How well did you know this?
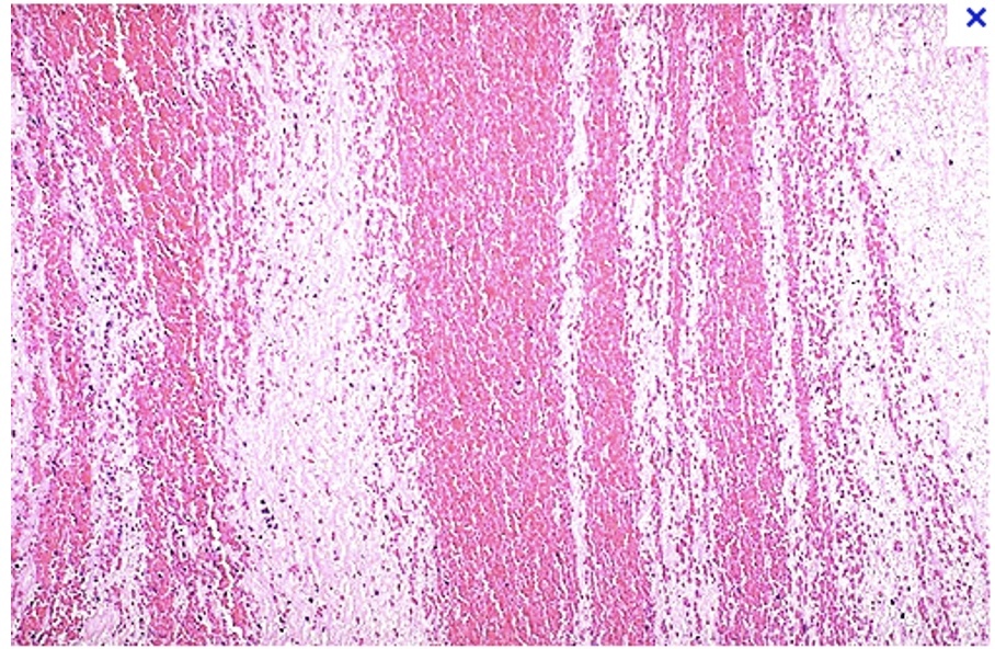
1
Not at all
2
3
4
5
Perfectly
3
Q

2 roles of vWF

A

binds activated platelets on subendothelium AND prolongs half-life of factor VIII

How well did you know this?
1
Not at all
2
3
4
5
Perfectly
4
Q

can present as teenage girl w/ heavy flow; PTT elevated

A

vWF disease

How well did you know this?
1
Not at all
2
3
4
5
Perfectly
5
Q

factor VIII deficiency w/ severe bleeding after trauma or surgery (into joints and muscles); PTT elevated

A

Hemophilia A

How well did you know this?
1
Not at all
2
3
4
5
Perfectly
6
Q
A

hemarthrosis (hemophilia A)

How well did you know this?
1
Not at all
2
3
4
5
Perfectly
7
Q

factor IX deficiency; looks the same as hemophilia A but not as common

A

Hemophilia B

How well did you know this?
1
Not at all
2
3
4
5
Perfectly
8
Q

breakdown of clots due to bacterial infection, medical disorder, or medicine

A

secondary fibrinolysis

How well did you know this?
1
Not at all
2
3
4
5
Perfectly
9
Q

lady presents to clinic and has history of miscarriages; (autoimmune)

A

Antiphospholipid syndrome

How well did you know this?
1
Not at all
2
3
4
5
Perfectly
10
Q

coagulation disorder most commonly due to infection and burns

A

Disseminated Intravascular Coagulation (DIC)

How well did you know this?
1
Not at all
2
3
4
5
Perfectly
11
Q

20% of patients w/ gram - sepsis can develop this

A

DIC

How well did you know this?
1
Not at all
2
3
4
5
Perfectly
12
Q

clots form and consume coagulation factors; result is hemorrhage

A

DIC

How well did you know this?
1
Not at all
2
3
4
5
Perfectly
13
Q

signs of this include bleeding into surgical wounds and at venous access sites; petechiae and ecchymoses

A

DIC (clotting factors taken up by disseminating clots)

How well did you know this?
1
Not at all
2
3
4
5
Perfectly
14
Q
A

L: petechiae
R: ecchymoses

How well did you know this?
1
Not at all
2
3
4
5
Perfectly
15
Q

tests for DIC

A

PT/PTT elevated
D-dimer elevated
low fibrinogen
platelet count

How well did you know this?
1
Not at all
2
3
4
5
Perfectly
16
Q

Ab mediated accelerated platelet destruction

A

Idiopathic Thrombocytopenic Purpura (ITP)

17
Q

Increased arterial flow in large arteries and heart chambers can hamper platelet clot formation and repair of the endothelium leading to thrombosis

A

endothelial injury

18
Q

disruption of blood flow causes what to come in contact with endothelium

19
Q

most commonly due to endothelial injury and turbulent blood flow

A

arterial thrombi

20
Q

more commonly due to stasis

A

venous thrombi

21
Q

gross and microscopic alternating pale lines (platelets and fibrin) and dark line (red blood cells)

A

Lines of Zahn

22
Q

this can make coagulation cascade more active (hypercoagulability)

A

birth control

23
Q

3 components of Virchow’s triangle:

A
  1. endothelial injury
  2. hypercoagulability
  3. abnormal blood flow
24
Q

besides birth control, what other factors affect hypercoagulability

A

antithrombin III deficiency
elevated factor V
immobilization

25
prevents protein C from inactivating factor V; thrombus in veins
Factor V Leiden mutation
26
nonblanching rash no platelets (b/c in clots) fatigue and fever women in 30s-40s
Thrombotic Thrombocytopenic Purpura (TTP)
27
Fever thrombocytopenia hemolytic anemia
TTP triad
28
any patient who comes in complaining of fatigue
draw blood
29
patient presents w/ warm painful swollen leg and jaundice; discomfort in abdomen (mass on pancreas)
Trousseau syndrome
30
lots of clots due to cancer thromboembuli paraneoplastic syndrome
Trousseau syndrome